Tin tức
Kiểm tra định kỳ tăng huyết áp, người đàn ông phát hiện mắc hội chứng Conn
- 13/05/2025 | Tăng huyết áp cấp cứu: Nhận biết dấu hiệu và cách xử trí hiệu quả
- 14/08/2025 | Tăng huyết áp - “Kẻ giết người thầm lặng” đe dọa tính mạng người lao động
- 22/11/2025 | Tăng huyết áp - Bệnh mạn tính nguy hiểm và lợi ích khi khám bằng BHYT tại MEDLATEC
Phát hiện mắc hội chứng Conn từ chỉ số kali giảm kéo dài
Người đàn ông 51 tuổi đi khám và phát hiện hội chứng Conn tại Phòng khám Đa khoa MEDLATEC Tây Hồ.
Bệnh nhân cho biết, năm 2019 đã phát hiện tăng huyết áp, rối loạn lipid máu điều trị thường xuyên. Từ năm 2023, ghi nhận kali máu thấp (3.2-3.3 mmol/L) nhưng chưa được thăm dò chuyên sâu.

Từ năm 2023, bệnh nhân phát hiện kali máu thấp nhưng chưa được thăm dò chuyên sâu. Ảnh minh họa, nguồn Internet
Khám toàn thân có huyết áp 160/110 mmHg, mạch: 71 lần/phút, BMI: 27.1 kg/m2 (béo phì độ I). Xét nghiệm máu thấy kali máu giảm: 2.94mmol/L (bình thường 3.50-5.00).
Sau khi nhận định bất thường trên bệnh nhân, bác sĩ đã cho đổi thuốc huyết áp đang sử dụng sang loại ít ảnh hưởng đến xét nghiệm nhất. Sau 2 tuần đổi thuốc kết quả ghi nhận:
- Kali niệu tăng cao: 100 mmol/24h (bình thường > 15 mmol/24h);
- Chỉ số chênh áp kali qua ống thận: 11.5 (tăng);
- Aldosterone máu tư thế nằm: 29 ng/dl (tăng);
- Renin máu tư thế nằm: 1.9 mcUI/ml (giảm);
- Cortisol, ACTH, TSH, FT4, calci máu, niệu 24h, magie: bình thường.
Các xét nghiệm này hướng đến bệnh nhân mắc cường aldosterone nguyên phát (hội chứng Conn).
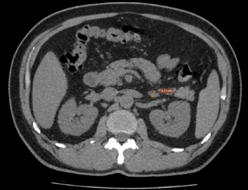
Sau đó, bác sĩ đã chỉ định chụp cắt lớp vi tính tuyến thượng thận. Kết quả chụp tuyến thượng thận: tuyến thượng thận trái tăng kích thước, vị trí lớn nhất dày xấp xỉ 13 mm, không thấy khối rõ ràng - gợi ý tăng sản tuyến thượng thận trái.

Chụp cắt lớp vi tính ổ bụng phát hiện hình ảnh phì đại (tăng sản) tuyến thượng thận trái.
Dựa vào kết quả lâm sàng, xét nghiệm và chẩn đoán hình ảnh, bệnh nhân được chẩn đoán xác định: Cường aldosterone nguyên phát (Hội chứng Conn) - Tăng sản tuyến thượng thận trái.
Cường aldosterone nguyên phát là gì?
Cường aldosterone nguyên phát (hội chứng Conn) là tình trạng tăng sản xuất aldosterone một cách không thích hợp, không phụ thuộc vào renin.
Khác với cường aldosterone thứ phát là tình trạng tăng sản xuất aldosterone thích hợp phụ thuộc vào renin khi đáp ứng với giảm thể tích tuần hoàn tương đối như tăng huyết áp do bệnh lý mạch thận, điều trị lợi tiểu.
Một số nguyên nhân gây cường aldosterone nguyên phát gồm:
- U tuyến tuyến thượng thận (adenoma);
- Tăng sản tuyến thượng thận (một bên hoặc hai bên);
- Ung thư tuyến thượng thận;
- Cường aldosterone có tính chất gia đình.
Cường aldosterone nguyên phát được chẩn đoán và điều trị thế nào?
Theo bác sĩ chuyên khoa Nội Tiết của Phòng khám Đa khoa MEDLATEC Tây Hồ, quy trình chẩn đoán cường aldosterone nguyên phát gồm:
- Sàng lọc: Nồng độ Aldosterone huyết tương (PAC), renin hoạt động huyết tương (PRA) hoặc nồng độ renin huyết tương (PRC), từ đó tính tỷ lệ Aldosterone/Renin.
- Chẩn đoán xác định: Test truyền muối, test nạp natri đường uống, test ức chế fludrocortisone, thử thách captopril.
- Xác định nguyên nhân: Chụp CT/MRI tuyến thượng thận; lấy máu tĩnh mạch thượng thận (AVS-Adrenal Venous Sampling).
Bác sĩ cho biết, cường aldosterone nguyên phát cần được điều trị để kiểm soát huyết áp, ngừa biến chứng tim mạch - thận, phòng hạ kali gây rối loạn nhịp và cải thiện chất lượng sống. Điều trị đúng giúp ổn định điện giải và giảm nguy cơ tử vong.
Vì vậy, dựa trên kết quả chụp cắt lớp vi tính hoặc cộng hưởng từ tuyến thượng thận có bất thường hay không, bác sĩ sẽ đưa ra hướng điều trị cho người bệnh, cụ thể như sau:
- Tiến hành lấy máu tĩnh mạch thượng thận (AVS) để xác định bên tăng tiết. Kết quả tăng tiết aldosterone một bên điều trị bằng phẫu thuật cắt tuyến thượng thận. Kết quả tăng tiết aldosterone hai bên điều trị nội khoa lâu dài.
- Nếu bệnh nhân không có chỉ định phẫu thuật hoặc không đồng ý phẫu thuật sẽ được điều trị nội khoa bằng thuốc đối kháng thụ thể mineralcorticoid.
Những lưu ý quan trọng của người mắc “bộ đôi bệnh” - Tăng huyết và hạ kali máu kéo dài
Trường hợp của bệnh nhân này cho thấy tăng huyết áp kèm hạ kali máu kéo dài là dấu hiệu quan trọng nhưng dễ bị bỏ sót, dẫn đến chậm chẩn đoán hội chứng Conn - một nguyên nhân gây tăng huyết áp thứ phát có thể điều trị hiệu quả, ngăn ngừa biến chứng nếu phát hiện sớm.
Để không bỏ sót và phát hiện bệnh kịp thời, bác sĩ có một số lưu ý:
- Khi tăng huyết áp khó kiểm soát hoặc xuất hiện hạ kali máu dai dẳng không rõ nguyên nhân, hoặc tăng huyết áp ở người trẻ tuổi trước tuổi 30, hoặc tăng huyết áp mới chẩn đoán mà đã có tổn thương cơ quan đích cần đi khám ngay để tìm nguyên nhân tăng huyết áp thứ phát, đặc biệt các nguyên nhân liên quan đến bệnh lý nội tiết như bệnh lý tại tuyến thượng thận.
- Việc khai thác tiền sử kỹ, theo dõi định kỳ và làm xét nghiệm chuyên sâu (Aldosterone, Renin, cortisol, ACTH, điện giải đồ niệu 24h, áp lực thẩm thấu máu - niệu, magie, calci…) là rất quan trọng để phát hiện sớm bất thường nội tiết ảnh hưởng huyết áp.
- Cường aldosterone nguyên phát nếu chẩn đoán sớm có thể điều trị khỏi bằng phẫu thuật (đối với trường hợp tăng tiết một bên), hoặc kiểm soát tốt bằng thuốc đối kháng thụ thể mineralcorticoid.
MEDLATEC - Địa chỉ chẩn đoán, điều trị tin cậy bệnh lý nội tiết
Hệ thống Y tế MEDLATEC là nơi quy tụ đội ngũ chuyên gia, bác sĩ đa chuyên khoa đầu ngành, nhiều năm công tác tại các bệnh viện tuyến trung ương, cùng đầy đủ trang thiết bị hiện đại. Theo đó, MEDLATEC có điều kiện đáp ứng tối đa nhu cầu chẩn đoán, theo dõi và điều trị hiệu quả bệnh lý đa chuyên khoa.

Hệ thống Y tế MEDLATEC trang bị đồng bộ hệ thống máy móc, trang thiết bị hiện đại cho kết quả chẩn đoán chính xác , tin cậy
Riêng với bệnh lý nội tiết, chuyển hóa, người dân hoàn toàn an tâm với kết quả chẩn đoán chính xác, cá nhân hóa phác đồ điều trị, bởi đơn vị sở hữu đầy đủ những thế mạnh vượt trội như sau:
- Trung tâm Xét nghiệm MEDLATEC - Đơn vị y tế đầu tiên ở Việt Nam đạt chuẩn quốc tế ISO 15189:2022 và CAP, đáp ứng chính xác hơn 2.000 danh mục xét nghiệm từ cơ bản đến chuyên sâu như: xét nghiệm Aldosterone, Renin, tỷ số ARR…
- Trung tâm Chẩn đoán hình ảnh công nghệ cao MEDLATEC đầu tư đồng bộ máy móc hiện đại, tiêu biểu như: máy siêu âm (3D, 4D, Doppler), CT scanner đa dãy, MSCT, MRI… phát hiện chính xác tổn thương tuyến thượng thận.
- Tối ưu chi phí do được áp dụng thanh toán đồng thời BHYT và Bảo lãnh viện phí. Bên cạnh đó, MEDLATEC còn triển khai Thẻ 555, với thẻ này, người dân chỉ cần “đầu tư” 555.000 đồng là có ngay quyền lợi đặc biệt cho 10 thành viên trong gia đình và kéo dài trong 1 năm. Các quyền lợi đặc biệt áp dụng từ nay đến hết tháng 12/2025, cụ thể như sau:
- Miễn phí 10 lần khám và tư vấn;
- Miễn phí 10 lần khám răng tại MEDDENTAL;
- Giảm 25% chi phí dịch vụ xét nghiệm;
- Giảm 35% chi phí chẩn đoán hình ảnh;
- Giảm 50% chi phí dịch vụ MRI và CT không tiêm thuốc;
- Giảm 15% các dịch vụ y tế còn lại theo quy chế sử dụng thẻ đã được ban hành;
- Tặng thêm ưu đãi khi mua mới thẻ (HPV tự lấy mẫu, NIPT, Spot-Mas 10...), chương trình áp dụng từ 01/10/2025 đến hết ngày 31/12/2025.
- Quy trình đăng ký, thăm khám được chuẩn hóa, khép kín, giúp người dân tiết kiệm tối đa thời gian và công sức.
Mọi thông tin tìm hiểu về dịch vụ khám chữa bệnh tại MEDLATEC, người dân vui lòng liên hệ tổng đài toàn quốc: 1900 56 56 56.
Bình luận ()
Lựa chọn dịch vụ
Quý khách hàng vui lòng lựa chọn dịch vụ y tế theo nhu cầu!