Tin tức

Các bài đăng được gắn thẻ "cắt lớp"

Thứ Năm, 30 tháng 6, 2022

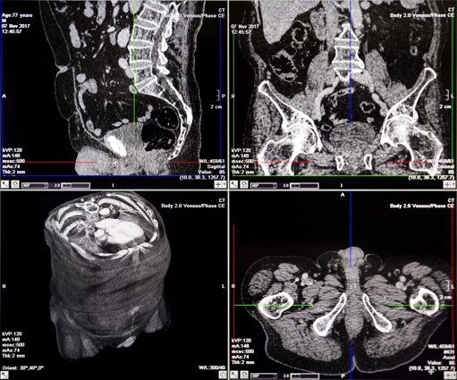
Chụp cắt lớp vi tính tầm soát toàn thân tại bệnh viện đa...

Chụp cắt lớp vi tính tầm soát toàn thân là một kỹ thuật vô cùng quan trọng trong chẩn đoán cận lâm sàng đặc biệt về ý nghĩa tầm soát di căn hay trong đa chấn thương. Kỹ thuật có thể đánh giá được toàn diện hệ thống phần mềm, xương, xoang…
Thứ Hai, 10 tháng 1, 2022

Chụp CT có tác dụng gì? Khoảng cách giữa các lần chụp CT...

Chụp cắt lớp vi tính hay chụp CT (Computed Tomography Scan) trong gần một thập kỷ trở lại đây được chỉ định rộng rãi hơn và được nâng cấp, cải tiến rất nhiều giúp rút ngắn thời gian chụp mà vẫn đảm bảo chất lượng hình ảnh sắc nét. Chụp CT là gì? Chụp CT có tác dụng gì? Khoảng cách giữa các lần ch...
Thứ Năm, 2 tháng 12, 2021

Chụp cắt lớp vi tính tai - xương đá là gì?

Các bệnh lý về tai -xương đá vốn được coi là các bệnh khó do cấu trúc giải phẫu nhỏ, phức tạp của tai-xương đá cũng như diễn biến bệnh mờ hồ. Ngày nay các bệnh này dần dần được chẩn đoán, điều trị kịp thời do những tiến bộ về hiểu biết y học, máy nội soi và máy chụp cắt lớp vi tính hiện đại.

Lựa chọn dịch vụ

Quý khách hàng vui lòng lựa chọn dịch vụ y tế theo nhu cầu!

Lấy mẫu xét nghiệm tại nhà

Lấy mẫu xét nghiệm tại nhà giúp khách hàng chủ động tầm soát bệnh lý. Đồng thời tiết kiệm thời gian đi lại, chờ đợi kết quả với mức chi phí hợp lý.

Đặt lịch thăm khám tại MEDLATEC

Đặt lịch khám tại cơ sở khám chữa bệnh thuộc Hệ thống Y tế MEDLATEC giúp chủ động thời gian, hạn chế tiếp xúc đông người.
bác sĩ lựa chọn dịch vụ