Tin tức

Các bài đăng được gắn thẻ "chướng bụng"

Thứ Bảy, 7 tháng 2, 2026

Chướng bụng lâu ngày, người phụ nữ đi khám bất ngờ phát h...

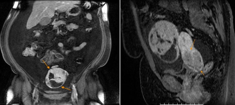
Người phụ nữ ở Hà Nội có biểu hiện chướng bụng khoảng 01 tháng gần đây nên đến Phòng khám Đa khoa MEDLATEC Tây Hồ thăm khám. Nhờ làm xét nghiệm và chẩn đoán hình ảnh phù hợp, bệnh nhân phát hiện ra dấu hiệu ung thư buồng trứng và tư vấn kịp thời để có hướng xử trí phù hợp.
Thứ Tư, 25 tháng 8, 2021

Biết để xử lý đúng với hiện tượng chướng bụng đầy hơi ở t...

Chướng bụng đầy hơi ở trẻ sơ sinh là hiện tượng rất phổ biến, gây ra nhiều lo lắng cho cha mẹ vì bé khóc và khó chịu mà không hiểu nguyên nhân. Nếu hiện tượng này kéo dài sẽ ảnh hưởng không tốt đến sức khỏe và sự phát triển của trẻ.
Thứ Sáu, 23 tháng 4, 2021

Cách chữa chướng bụng đầy hơi ở trẻ hiệu quả các mẹ cần g...

Tình trạng chướng bụng đầy hơi ở trẻ không phải là một hiện tượng lạ mà thậm chí nó còn xuất hiện nhiều ở những bé dưới 3 tuổi. Vậy tình trạng này có gây nguy hiểm cho bé hay không? Các mẹ đã biết cách chữa chướng bụng đầy hơi ở trẻ chưa? Hãy cùng chúng tôi tham khảo những kinh nghiệm dưới đây nhé!
Thứ Sáu, 29 tháng 1, 2021

Mách mẹ cách chữa chướng bụng đầy hơi ở trẻ nhanh và dễ

Ai làm cha mẹ lần đầu chắc hẳn cũng khó tránh khỏi hoang mang, lúng túng khi con bị chướng bụng đầy hơi. Vậy đây là hiện tượng như thế nào, làm sao để chữa chướng bụng đầy hơi ở trẻ, bài viết sau sẽ mách cách giúp cha mẹ nhẹ nhàng đi qua lúng túng ban đầu ấy.

Lựa chọn dịch vụ

Quý khách hàng vui lòng lựa chọn dịch vụ y tế theo nhu cầu!

Lấy mẫu xét nghiệm tại nhà

Lấy mẫu xét nghiệm tại nhà giúp khách hàng chủ động tầm soát bệnh lý. Đồng thời tiết kiệm thời gian đi lại, chờ đợi kết quả với mức chi phí hợp lý.

Đặt lịch thăm khám tại MEDLATEC

Đặt lịch khám tại cơ sở khám chữa bệnh thuộc Hệ thống Y tế MEDLATEC giúp chủ động thời gian, hạn chế tiếp xúc đông người.
bác sĩ lựa chọn dịch vụ