Tin tức

Các bài đăng được gắn thẻ "ct gan"

Thứ Năm, 25 tháng 7, 2019

Kỹ thuật chụp cắt lớp gan - giải pháp mới hỗ trợ người bị...

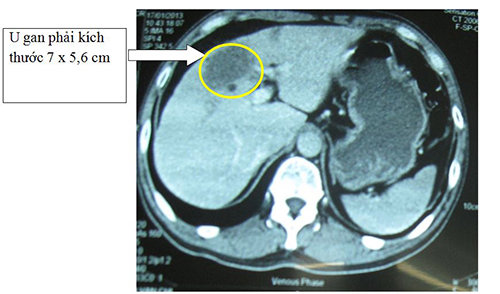
Trước sự phát triển của nền y học, nhiều thành tựu về y khoa đã được ứng dụng trong việc thăm khám, chẩn đoán bệnh, mang lại nguồn sống cho nhiều người. Đây là tin đáng mừng cho những ai đang mắc những căn bệnh khó chẩn đoán như bệnh gan. Trong đó, chụp cắt lớp gan là kỹ thuật được chỉ định phổ b...

Lựa chọn dịch vụ

Quý khách hàng vui lòng lựa chọn dịch vụ y tế theo nhu cầu!

Lấy mẫu xét nghiệm tại nhà

Lấy mẫu xét nghiệm tại nhà giúp khách hàng chủ động tầm soát bệnh lý. Đồng thời tiết kiệm thời gian đi lại, chờ đợi kết quả với mức chi phí hợp lý.

Đặt lịch thăm khám tại MEDLATEC

Đặt lịch khám tại cơ sở khám chữa bệnh thuộc Hệ thống Y tế MEDLATEC giúp chủ động thời gian, hạn chế tiếp xúc đông người.
bác sĩ lựa chọn dịch vụ