Tin tức
17 năm sống trong hình hài là nữ nhưng không có buồng trứng, tử cung - đi khám phát hiện tinh hoàn lạc chỗ
- 01/04/2021 | Giáo dục giới tính cho trẻ nhỏ - việc làm hết sức cần thiết
- 03/06/2022 | Bạn đã thực sự hiểu biết về giới tính và chuyển giới?
- 01/11/2022 | Vai trò và phương pháp giáo dục giới tính cho con trẻ
Bước vào tuổi 17, em N.N.T. vẫn chưa có dấu hiệu phát triển ngực, cùng với đó là không có kinh nguyệt. Lo lắng trước những biểu hiện bất thường kéo dài ở tuổi dậy thì, gia đình đã đưa em đi thăm khám.
Tại cơ sở y tế, qua thăm khám lâm sàng ban đầu, các bác sĩ ghi nhận em T. có bộ phận sinh dục ngoài hoàn toàn mang đặc điểm nữ giới, không phát hiện bất thường rõ ràng ở các cơ quan khác. Tuy nhiên, trước các dấu hiệu dậy thì không hoàn chỉnh, bệnh nhân được chỉ định thực hiện loạt xét nghiệm và thăm dò cận lâm sàng chuyên sâu để tìm nguyên nhân.
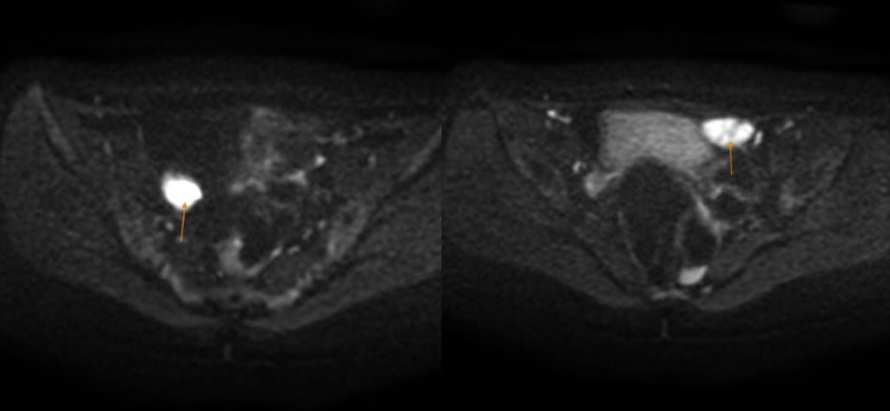
Kết quả siêu âm và chụp cộng hưởng từ cho thấy một thực tế khiến cả gia đình bàng hoàng: không phát hiện hình ảnh tử cung và buồng trứng ở cả hai bên.


Trên hình ảnh chụp cộng hưởng từ phát hiện bệnh nhân không có tử cung và buồng trứng hai bên
Thay vào đó, tại vùng hạ vị xuất hiện các khối tổ chức nghi ngờ là tinh hoàn lạc chỗ. Đây là dấu hiệu gợi ý đến một rối loạn phát triển giới tính hiếm gặp.

Hình ảnh các khối tổ chức tại vùng hạ vị, nghĩ nhiều tới tinh hoàn lạc chỗ
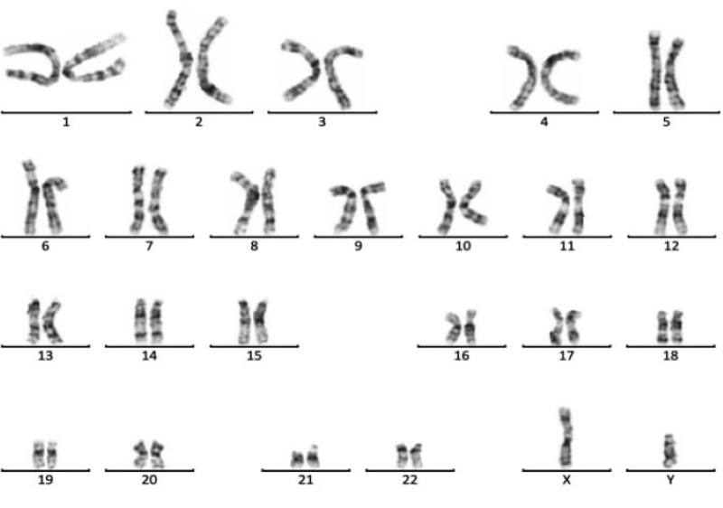
Để làm rõ chẩn đoán, các bác sĩ tiếp tục chỉ định xét nghiệm nhiễm sắc thể. Kết quả cho thấy bệnh nhân có bộ nhiễm sắc thể 46, XY thuần, tức về mặt di truyền là nam giới, dù hình thái bên ngoài hoàn toàn là nữ (hội chứng AIS). Trước kết quả này, bác sĩ đề nghị thực hiện thêm các xét nghiệm chuyên sâu như SRY, AZF và AR nhằm xác định nguyên nhân cụ thể và định hướng phương án theo dõi, điều trị phù hợp trong thời gian tới.

Kết quả xét nghiệm nhiễm sắc thể của bệnh nhân
ThS.BS Nguyễn Quỳnh Xuân - Trưởng Chuyên khoa Nội tiết, Hệ thống Y tế MEDLATEC cho biết, hội chứng AIS (Androgen Insensitivity Syndrome) là một rối loạn phát triển giới tính (DSD) xảy ra ở người có bộ nhiễm sắc thể 46, XY - tức là di truyền nam, nhưng cơ thể không đáp ứng hoặc đáp ứng không đầy đủ với hormone androgen (testosterone và DHT). Kết quả là người bệnh có thể có hình thể nữ hoặc bộ phận sinh dục ngoài không điển hình, dù về mặt di truyền là nam.
Hội chứng này được gây ra do đột biến gen AR (Androgen Receptor gene) - đây là gen mã hóa thụ thể androgen, nằm trên nhiễm sắc thể X. Gen AR có nhiệm vụ tạo ra thụ thể androgen - loại protein giúp cơ thể phản ứng với hormone androgen (testosterone và DHT). Nếu gen AR bị đột biến, thụ thể không hoạt động bình thường, cơ thể không nhận được tín hiệu của hormone nam, dù hormone này vẫn được sản xuất đầy đủ.
tinh hoàn lạc chỗ nếu không được theo dõi và xử trí phù hợp có thể tiềm ẩn nguy cơ biến đổi ác tính theo thời gian. Vì vậy, sau khi hoàn thiện các xét nghiệm di truyền và nội tiết cần thiết, bệnh nhân sẽ được tư vấn chi tiết về phương án theo dõi lâu dài, thời điểm can thiệp phẫu thuật lấy tinh hoàn nếu cần, cũng như kế hoạch điều trị hormone thay thế nhằm duy trì sức khỏe xương, chuyển hóa và chất lượng sống.
Không chỉ là một vấn đề y khoa thuần túy, hội chứng AIS còn đặt ra thách thức lớn về mặt tâm lý - xã hội. Việc phát hiện mình có giới tính di truyền khác với giới tính đã sống suốt nhiều năm có thể gây hoang mang, lo lắng, thậm chí khủng hoảng tâm lý ở người bệnh, đặc biệt là ở lứa tuổi vị thành niên. Do đó, các chuyên gia nhấn mạnh tầm quan trọng của việc tư vấn tâm lý song hành, giúp người bệnh và gia đình hiểu đúng về tình trạng sức khỏe, từ đó có sự chuẩn bị tinh thần và lựa chọn hướng đi phù hợp cho tương lai.
Bác sĩ Xuân khuyến cáo thêm, trường hợp của em N.N.T. cũng là lời nhắc nhở về vai trò của việc thăm khám sức khỏe dậy thì đúng thời điểm. Khi trẻ đến tuổi dậy thì nhưng không xuất hiện các dấu hiệu phát triển sinh lý đặc trưng như phát triển ngực, có kinh nguyệt ở nữ hoặc các đặc điểm sinh dục thứ phát ở nam, gia đình cần sớm đưa trẻ đi khám chuyên khoa. Việc phát hiện sớm các rối loạn phát triển giới tính không chỉ giúp can thiệp y khoa kịp thời mà còn góp phần bảo vệ sức khỏe thể chất, tinh thần và chất lượng sống lâu dài cho người bệnh.
Phụ huynh có nhu cầu tư vấn và kiểm tra các vấn đề sức khỏe trong giai đoạn dậy thì cho trẻ, vui lòng liên hệ tới Hệ thống Y tế MEDLATEC qua Tổng đài 1900 56 56 56 để được hỗ trợ kịp thời.
Bình luận ()
Lựa chọn dịch vụ
Quý khách hàng vui lòng lựa chọn dịch vụ y tế theo nhu cầu!