Tin tức
Người phụ nữ 49 tuổi phát hiện mắc thai trứng toàn phần từ dấu hiệu mệt mỏi, rong kinh kéo dài
- 19/03/2021 | Bạn đã biết gì về thai trứng hay chửa trứng chưa?
- 14/09/2021 | Bác sĩ Sản khoa tư vấn: Những xét nghiệm cần làm sau khi điều trị thai trứng là gì?
Rong kinh, tử cung to bất thường… đến MEDLATEC khám phát hiện thai trứng toàn phần
Nữ bệnh nhân N.T.H. (49 tuổi, trú tại Hà Nội) đến Phòng khám Đa khoa MEDLATEC Thanh Xuân thăm khám trong tình trạng mệt mỏi, đau tức bụng.
Khai thác bệnh sử, khoảng hai tuần trước khi đến khám, bệnh nhân xuất hiện Rong kinh kéo dài, lượng máu ít nhưng sẫm màu, kèm cảm giác nghén và đau bụng âm ỉ. Bệnh nhân có tiền sử sản khoa PARA 2032 và đã từng phẫu thuật ung thư tuyến giáp năm 2018.
Thăm khám lâm sàng, bác sĩ ghi nhận, bệnh nhân tỉnh táo, tiếp xúc tốt. Khám sản khoa thấy tử cung to, kích thước tương đương thai khoảng 5 tháng, âm đạo có ít dịch máu. Trước những dấu hiệu không điển hình so với thai kỳ thông thường, bệnh nhân được chỉ định làm một số xét nghiệm và chẩn đoán hình ảnh cần thiết để chẩn đoán.
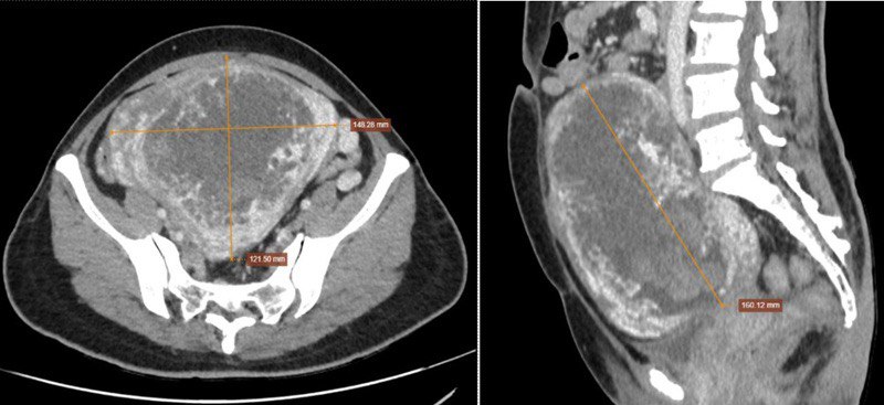
Kết quả, siêu âm cho thấy, vùng hạ vị xuất hiện khối cấu trúc hỗn hợp âm, kích thước khoảng 124 x 81mm, kèm tăng sinh mạch rõ trên siêu âm Doppler. Chụp cắt lớp vi tính (CT Scanner) ghi nhận tử cung kích thước lớn nhưng không thấy hình ảnh túi thai; bên trong là các vùng giảm tỷ trọng dạng dịch xen kẽ mô mềm, tạo hình ảnh đặc trưng dạng “bọt xà phòng”, kèm tăng sinh mạch mạnh quanh tử cung sau tiêm thuốc cản quang. Đặc biệt, nồng độ beta-hCG của bệnh nhân tăng rất cao, lên tới 2.692.965 mIU/mL.

Siêu âm thấy vùng hạ vị của bệnh nhân xuất hiện khối cấu trúc hỗn hợp âm, kèm tăng sinh mạch rõ trên siêu âm Doppler

CT Scanner thấy tử cung kích thước lớn nhưng không thấy hình ảnh túi thai (ảnh phải); bên trong có hình ảnh đặc trưng dạng “bọt xà phòng” (ảnh trái)
Từ những kết quả đó, bác sĩ chẩn đoán bệnh nhân mắc thai trứng toàn phần. Đây là bệnh lý tăng sinh bất thường của tổ chức nguyên bào nuôi, không có phôi thai thực sự, có nguy cơ gây biến chứng nặng và tiến triển ác tính nếu không được điều trị kịp thời.
Bệnh nhân được tư vấn chuyển viện chuyên sâu về phụ sản để thăm khám thêm. Kết quả thăm khám đều trùng khớp với chẩn đoán ban đầu của MEDLATEC. Sau đó, bệnh nhân được phẫu thuật cắt tử cung.
thai trứng – Bệnh lý thai kỳ rất nguy hiểm, cần phát hiện sớm
Theo BSCKI. Trần Thế Quỳnh – Chuyên khoa Chẩn đoán hình ảnh, Phòng khám MEDLATEC Thanh Xuân, thai trứng là một biến đổi bệnh lý trong thời kỳ có thai. Đặc trưng của bệnh là sự thoái hóa nước của các gai rau và tăng sinh tế bào biểu mô rau nên mạch máu không phát triển theo kịp, gai rau không còn tổ chức liên kết, không còn mạch máu và trở thành các bọc nước.
Nói cách khác, thai trứng không phải là một thai kỳ bình thường và không có khả năng phát triển thành thai nhi khỏe mạnh.
Các triệu chứng của bệnh gồm:
- Chảy máu âm đạo;
- Ra dịch bất thường;
- Đau bụng dưới;
- Nghén nặng: nôn, buồn nôn;
- Nhiễm độc thai nghén;
- Bụng dưới to như có thai và to hơn tuổi thai;
- Bụng không nhỏ lại sau sinh;
- Beta – hCG > 100.000UI/24h nhưng có thể gặp trong đa thai và có thể thai trứng mà beta không cao.
Thai trứng được chia thành 2 loại: thai trứng toàn phần và thai trứng bán phần. Trong đó, thai trứng toàn phần không có phôi thai và nguy cơ tiến triển thành bệnh nguyên bào nuôi ác tính cao hơn; nguy cơ di căn (phổi, gan, não…); gây băng huyết, thiếu máu nặng; ảnh hưởng khả năng sinh sản nếu không theo dõi đúng phác đồ.

Thai trứng là bệnh lý tăng sinh bất thường của tổ chức nguyên bào nuôi, có nguy cơ gây nhiều biến chứng nguy hiểm
Nguyên tắc xử trí chủ yếu là nạo hút thai, tuy nhiên nguy cơ tái phát của thai trứng toàn phần là 20% nên vẫn cần theo dõi chặt chẽ sau điều trị. Việc tuân thủ theo dõi sau điều trị có ý nghĩa quyết định, giúp phát hiện sớm các biến chứng và đảm bảo an toàn cho sức khỏe, cũng như khả năng sinh sản về sau của người phụ nữ.
Đối với trường hợp bệnh nhân trên được xử trí phẫu thuật cắt tử cung vì khối u có kích thước lớn, bệnh nhân đã lớn tuổi (49 tuổi), đủ con, nguy cơ tái hoặc tiến triển thành tân sinh nguyên bào nuôi là rất cao…
MEDLATEC – Địa chỉ thăm khám sản phụ khoa uy tín cho phái đẹp
Với lịch sử 30 năm hình thành và phát triển, Hệ thống Y tế MEDLATEC tự hào là đơn vị y tế uy tín được đông đảo người dân lựa chọn thăm khám. Mỗi năm, đơn vị phục vụ khoảng 15 triệu khách hàng trên toàn quốc.
Đến thăm khám, điều trị và theo dõi sau điều trị tại MEDLATEC, các chị em phụ nữ hoàn toàn an tâm bởi những lý do sau:
- Quy tụ đội ngũ chuyên gia, bác sĩ đầu ngành, phục vụ khám chữa bệnh đa chuyên khoa, trong đó có chuyên ngành Sản phụ khoa, Nhi khoa…;
- Sở hữu Trung tâm Xét nghiệm hiện đại hàng đầu Việt Nam với hệ thống máy móc đồng bộ, hiện đại; thực hiện được hơn 2.000 danh mục xét nghiệm từ cơ bản đến chuyên sâu;
- Áp dụng song hành 2 chứng chỉ xét nghiệm quốc tế là CAP (Hoa Kỳ) và ISO 15189:2022; giải thưởng Thương hiệu Quốc gia Việt Nam 2024;
- Là đơn vị y tế đầu tiên tại Việt Nam đạt chứng chỉ ISO 15189:2022 trong lĩnh vực Chẩn đoán hình ảnh;
- Dịch vụ lấy mẫu xét nghiệm tận nơi phủ sóng trên toàn quốc, nhanh chóng, bảo mật.

MEDLATEC được đông đảo chị em phụ nữ tin tưởng, lựa chọn làm nơi thăm khám các bệnh lý về sản phụ khoa
Ngoài ra, để giúp người dân tiết kiệm tối đa chi phí khi khám chữa bệnh, MEDLATEC triển khai Thẻ 555 với chi phí 555.000 VNĐ, người dân có ngay quyền lợi cho 10 thành viên trong gia đình kéo dài suốt 1 năm, cụ thể như sau:
- Miễn phí 10 lần khám và tư vấn;
- Miễn phí 10 lần khám răng và giảm 15% dịch vụ nha khoa tại MEDDENTAL;
- Giảm 15% dịch vụ y tế phát sinh (áp dụng gần 2.500 danh mục, dịch vụ);
- Đặc biệt, trong từ 01/01/2026 – 31/03/2026, khi mua thẻ mới kích hoạt ngay, người dân còn được hưởng ưu đãi cực lớn gồm: miễn phí xét nghiệm Cholesterol, AST (GOT); giảm 50% phí siêu âm ổ bụng, siêu âm thai 2D, nội soi tai mũi họng ống mềm; giảm 30% MRI não, mạch não không tiêm chất tương phản; giảm 20% phí chẩn đoán hình ảnh, HPV tự lấy mẫu, NIPT, Spot-Mas 10…
Đặt lịch thăm khám tại MEDLATEC, người dân vui lòng liên hệ tổng đài 1900 56 56 56 để được tư vấn và hỗ trợ 24/24h.
Bình luận ()
Lựa chọn dịch vụ
Quý khách hàng vui lòng lựa chọn dịch vụ y tế theo nhu cầu!