Tin tức

Các bài đăng được gắn thẻ "chụp MRI khớp vai"

Thứ Bảy, 29 tháng 6, 2024

Quy trình thực hiện chụp MRI khớp vai diễn ra thế nào?

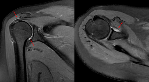
Khớp vai là khớp quan trọng trong việc hỗ trợ các vận động của cơ thể ở vùng vai và cánh tay. Do tính chất phải hoạt động liên tục và nhiều, khớp vai rất dễ bị tổn thương. Các tổn thương tại khớp vai được phát hiện chính xác nhất nhờ kỹ thuật chụp MRI khớp vai. Vậy hãy cùng Medlatec tìm hiểu xem...

Lựa chọn dịch vụ

Quý khách hàng vui lòng lựa chọn dịch vụ y tế theo nhu cầu!

Lấy mẫu xét nghiệm tại nhà

Lấy mẫu xét nghiệm tại nhà giúp khách hàng chủ động tầm soát bệnh lý. Đồng thời tiết kiệm thời gian đi lại, chờ đợi kết quả với mức chi phí hợp lý.

Đặt lịch thăm khám tại MEDLATEC

Đặt lịch khám tại cơ sở khám chữa bệnh thuộc Hệ thống Y tế MEDLATEC giúp chủ động thời gian, hạn chế tiếp xúc đông người.
bác sĩ lựa chọn dịch vụ