Tin tức

Các bài đăng được gắn thẻ "mụn nước trong miệng"

Thứ Bảy, 1 tháng 7, 2023

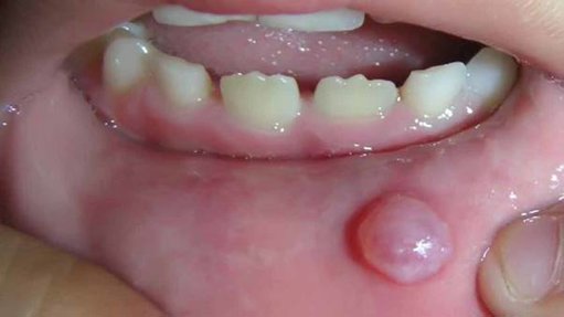
Bị nổi mụn nước trong miệng là do đâu, xử lý thế nào

Nổi mụn nước trong miệng thông thường là do nhiệt miệng nhưng vẫn có không ít trường hợp là do bệnh lý khác gây ra. Đặc biệt, có những bệnh như ung thư khoang miệng, nếu không được phát hiện để điều trị có thể khiến tính mạng người bệnh bị đe dọa. Tìm hiểu được nguyên nhân nổi mụn nước trong miện...

Lựa chọn dịch vụ

Quý khách hàng vui lòng lựa chọn dịch vụ y tế theo nhu cầu!

Lấy mẫu xét nghiệm tại nhà

Lấy mẫu xét nghiệm tại nhà giúp khách hàng chủ động tầm soát bệnh lý. Đồng thời tiết kiệm thời gian đi lại, chờ đợi kết quả với mức chi phí hợp lý.

Đặt lịch thăm khám tại MEDLATEC

Đặt lịch khám tại cơ sở khám chữa bệnh thuộc Hệ thống Y tế MEDLATEC giúp chủ động thời gian, hạn chế tiếp xúc đông người.
bác sĩ lựa chọn dịch vụ