Tin tức

Các bài đăng được gắn thẻ "tầm soát ung thư khoang miệng"

Thứ Ba, 15 tháng 12, 2020

Bệnh ung thư khoang miệng - những thông tin ai ai cũng cần

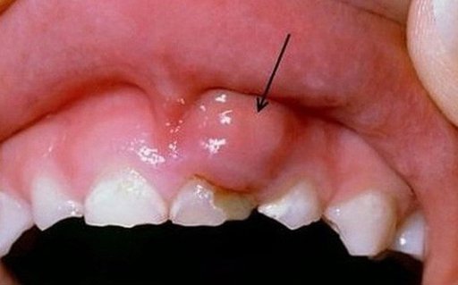
Ung thư khoang miệng thuộc dạng bệnh lý ác tính có nhiều triệu chứng khá giống viêm nhiễm ở miệng nên nhiều người nhầm lẫn, phát hiện khi bệnh đã ở giai đoạn muộn. Đây cũng chính là lý do khiến việc điều trị khó đạt được hiệu quả như mong muốn.  
Thứ Ba, 26 tháng 11, 2019

Tầm soát ung thư khoang miệng ở đâu uy tín? Có nên thực h...

Tầm soát ung thư khoang miệng ở đâu uy tín, cho kết quả nhanh chóng và chính xác được nhiều người quan tâm. Bởi đây là căn bệnh đang rất phổ biến, có chiều hướng gia tăng và có thể gặp ở mọi đối tượng, tầm tuổi. Và nếu bạn cũng đang có chung thắc mắc này thì đừng bỏ qua bài viết dưới đây nhé. Bài...

Lựa chọn dịch vụ

Quý khách hàng vui lòng lựa chọn dịch vụ y tế theo nhu cầu!

Lấy mẫu xét nghiệm tại nhà

Lấy mẫu xét nghiệm tại nhà giúp khách hàng chủ động tầm soát bệnh lý. Đồng thời tiết kiệm thời gian đi lại, chờ đợi kết quả với mức chi phí hợp lý.

Đặt lịch thăm khám tại MEDLATEC

Đặt lịch khám tại cơ sở khám chữa bệnh thuộc Hệ thống Y tế MEDLATEC giúp chủ động thời gian, hạn chế tiếp xúc đông người.
bác sĩ lựa chọn dịch vụ