
PHÒNG KHÁM ĐA KHOA MEDLATEC SỐ 11
Phiếu kết quả
NGUYỄN QUỐC ĐIỀU
Nam
14/02/1992
0337***483
240925-560019000276
24/09/2025
Hà Nội-Ba Đình-Khám Sức Khỏe
24/09/2025
Đủ kết quả
Danh mục khám | Kết quả | Khoảng tham chiếu | Ghi chú | Đơn giá (VNĐ) |
---|---|---|---|---|
Huyết học | ||||
Tổng phân tích máu 18 chỉ số: | ||||
- Hồng cầu | ||||
Số lượng hồng cầu (RBC) | 5.95 (Tera/L ) | 4.20-6.00 | ||
Huyết sắc tố (Hb) | 16.5 (g/dL ) | 13.5-18.0 | ||
Thể tích khối hồng cầu (HCT) | 50.0 (% ) | 40.0-54.0 | ||
Thể tích trung bình HC (MCV) | 84.0 (fL ) | 80-100 | ||
Lượng Hb trung bình HC (MCH) | 27.7 (pg ) | 26.0-34.0 | ||
Nồng độ Hb trung bình HC (MCHC) | 33.0 (g/dL ) | 32.0-36.0 | ||
Độ phân bố HC (RDW- CV) | 12.3 (% ) | 10.0-16.5 | ||
- Tiểu cầu | ||||
Số lượng tiểu cầu (PLT) | 163 (G/L ) | 150-450 | ||
Thể tích trung bình tiểu cầu( MPV) | 8.5 (fL ) | 4.0-11.0 | ||
Thể tích khối tiểu cầu (PCT) | 0.14 (% ) | 0.100-1.000 | ||
Độ phân bố TC (PDW) | 18.2 % | 10.0-18.0 | Cao | |
- Bạch cầu | ||||
Số lượng bạch cầu (WBC) | 4.6 (G/L ) | 3.5-10.5 | ||
Tỷ lệ % bạch cầu đoạn (GRAN %) | 50.4 (% ) | 43.0-76.0 | ||
Tỷ lệ % bạch cầu Lympho | 47.1 (% ) | 17.0-48.0 | ||
Tỷ lệ % bạch cầu Mono | 2.5 (% ) | 0.0-10.0 | ||
Số lượng bạch cầu đoạn ( GRAN #) | 2.3 (G/L ) | 2.0-6.9 | ||
Số lượng bạch cầu Lympho | 2.2 (G/L ) | 0.6-3.4 | ||
Số lượng bạch cầu Mono | 0.1 (G/L ) | 0-0.9 | ||
Hóa sinh | ||||
AST (Alinity c)* | 19.14 (U/L ) | (<34.0) | ||
ALT (Alinity c)* | 24.01 (U/L ) | (<45.00) | ||
Gamma GT (Alinity c) | 38.68 (U/L ) | (<55.00) | ||
Glucose máu (Alinity c)* | 4.40 (mmol/L ) | (3.90 - 5.60) | ||
Ure máu (Alinity c)* | 5.06 (mmol/L ) | (3.20-7.40) | ||
Creatinin máu (Enzymatic-Alinity c) | 76.79 (µmol/L ) | (64.0-104.0) | ||
Uric acid máu (Alinity c)* | 376.6 (µmol/L ) | (220-450) | ||
Triglyceride (Alinity c)* | 3.19 mmol/L | (<1.70) | Tăng | |
Cholesterol (Alinity c)* | 5.71 mmol/L | (≤5.18) | Tăng | |
HDL-Cholesterol (Alinity c) | 1.11 (mmol/L ) | (≥1.03) | ||
LDL-Cholesterol (Alinity c) | 3.16 (mmol/L ) | (<3.40) | ||
Miễn dịch | ||||
CEA (Alinity i-CMIA)* | 2.45 (ng/mL ) | (0-5.00) | ||
H.pylori IgM miễn dịch tự động (Maglumi 2000) | 0.33 (U/mL ) | (<0.8) | Âm tính | |
Nước tiểu | ||||
Tổng phân tích nước tiểu 14 CS : | ||||
Tỉ trọng (Urit 500C) | 1.030 () | (1.005 - 1.025) | Tăng | |
pH (Urit 500C) | 5.0 | (5.5 - 7.5) | Axít | |
Bạch cầu (Urit 500C) | Âm tính (BC/µL ) | (Âm tính) | ||
Nitrite (Urit 500C) | Âm tính | (Âm tính) | ||
Protein nước tiểu (Urit 500C) | Âm tính (mg/dL ) | (Âm tính) | ||
Glucose nước tiểu (Urit 500C) | Âm tính (mg/dL ) | (Âm tính) | ||
Ketone (Urit 500C) | Âm tính (mg/dL ) | (Âm tính) | ||
Urobilinogen (Urit 500C) | Âm tính (mg/dL ) | (Âm tính) | ||
Bilirubin nước tiểu | Âm tính (mg/dL ) | (Âm tính) | ||
Hồng cầu (Urit 500C) | Âm tính (HC/µL ) | (Âm tính) | ||
Axit Ascorbic (Urit 500C) | Âm tính (mg/dL ) | (Âm tính) | ||
Calci niệu (Urit 500C) | 5 (mmol/L ) | 1.5-9.0 | ||
Creatinin niệu (Urit 500C) | 200.0 (mg/dL ) | 22.7-250.0 | ||
Microalbumin niệu (Urit 500C) | <=1 (mg/dL ) | <2.0 | ||
Tỷ số microalbumin/creatinine(ACR) (Urit 500C) | <30 (mg/g ) | < 30 | ||
Khám nội | ||||
Khám sức khỏe tổng quát định kỳ | ||||
Tiền sử | ||||
Chiều cao (cm) | 165 | |||
Cân nặng (kg) | 65 | |||
BMI (kg/m2) | ||||
Mạch (l/p) | 71 | |||
Huyết áp (mmHg) | 120/60 | |||
Khám Nội | Tiền sử trào ngược dạ dày thực quản đã điều trị ổn định | |||
Khám Ngoại | Thoát vị bẹn | |||
Khám Da liễu | Hiện tại bình thường. | |||
Khám Sản phụ khoa | ||||
Khám Mắt | Hiện tại bình thường. | |||
Khám Tai mũi họng | Hiện tại bình thường. | |||
Khám Răng hàm mặt | Sâu R18,28,46. lệch R38,48. Cao răng, viêm lợi. | |||
Phân loại sức khỏe | II | |||
Các bệnh, tật (nếu có) | Tiền sử trào ngược dạ dày thực quản. Tiền sử thoát vị bẹn trái. Sâu 2 răng. Lệch 2 răng. Cao răng, viêm lợi. Rối loạn chuyển hóa Lipid. | |||
Hướng dẫn | Điều trị chuyên khoa răng hàm mặt. Hạn chế mỡ | |||
Ghi chú | ||||
Chẩn đoán hình ảnh | ||||
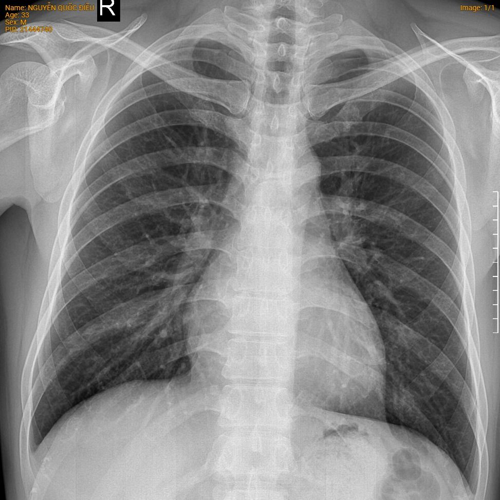
Tim phổi thẳng KTS/KSK (Ko in phim) | Hình ảnh X quang tim phổi hiện tại không thấy bất thường. | |||
Siêu âm tuyến giáp | Hình ảnh siêu âm tuyến giáp và vùng cổ hiện tại không thấy bất thường | |||
Điện tim | Hình ảnh điện tâm đồ hiện tại không phát hiện thấy sóng bất thường | |||
Siêu âm ổ bụng | Hình ảnh siêu âm ổ bụng hiện tại chưa thấy bất thường. |
Xin cảm ơn Quý Khách đã lựa chọn dịch vụ y tế của chúng tôi. Nếu cần tư vấn kết quả xin liên hệ tổng đài 1900565656
HÒM THƯ GÓP Ý ONLINE
Quét mã QR hoặc truy cập
https://medltec.vn/gop-y-online
Để góp ý chất lượng dịch vụ
Quét mã QR hoặc truy cập
https://medltec.vn/gop-y-online
Để góp ý chất lượng dịch vụ
Kết quả dịch vụ: Tim phổi thẳng KTS/KSK (Ko in phim)
- Hình dạng lồng ngực: cân đối
- Phổi phải: đồng nhất. Không thấy dấu hiệu giãn phế quản, phế nang. Không thấy các hình mờ dạng lưới, nốt
- Phổi trái: đồng nhất. Không thấy dấu hiệu giãn phế quản, phế nang. Không thấy các hình mờ dạng lưới, nốt
- Khoang màng phổi hai bên không thấy dấu hiệu tràn dịch, tràn khí
- Khí quản và phế quản gốc: cân đối, không bị đè đẩy
- Trung thất: cân đối, không rộng.
- Bóng tim: hình ảnh bình thường, chỉ số tim ngực trong giới hạn bình thường.
- Cung động mạch chủ: không giãn, bờ đều. Không vôi hóa
- Các xương sườn: hình dạng bình thường, không thấy tiêu xương, đặc xương. Không thấy đường gãy xương
- Phần mềm thành ngực: không thấy cản quang bất thường.
Kết luận
Hình ảnh X quang tim phổi hiện tại không thấy bất thường.
Ban cố vấn chuyên môn
Ngày 27 tháng 9 năm 2025
Bác sỹ chuyên khoa
Hình ảnh


Kết quả dịch vụ: Siêu âm tuyến giáp
Thùy phải:
- Kích thước bình thường
- Nhu mô đồng nhất
- Không thấy cấu trúc dạng nang, khối đặc
Thùy trái:
- Kích thước bình thường
- Nhu mô đồng nhất
- Không thấy cấu trúc dạng nang, khối đặc
Eo tuyến: Hình dạng và cấu trúc bình thường
Tuyến nước bọt:
- Tuyến dưới hàm hai bên: Cấu trúc đồng nhất, ống tuyến không giãn
- Tuyến mang tai hai bên: Cấu trúc đồng nhất, ống tuyến không giãn
Phần mềm vùng cổ:
- Cơ ức đòn chũm và cơ vùng cổ: Hình ảnh bình thường
- Hạch to vùng cổ: Không thấy
Kết luận
Hình ảnh siêu âm tuyến giáp và vùng cổ hiện tại không thấy bất thường
Ban cố vấn chuyên môn
Ngày 27 tháng 9 năm 2025
Bác sỹ chuyên khoa
Hình ảnh
Kết quả dịch vụ: Điện tim
- Nhịp xoang đều
- Tần số tim (lần/phút): 75
- Trục điện tim: trung gian
- Hiện tại không thấy tăng gánh nhĩ, thất
- Hiện tại không có biến đổi sóng ST, sóng T
- Hiện tại không có rối loạn nhịp nhĩ, nhịp thất, rối loạn dẫn truyền nhĩ thất
Kết luận
Hình ảnh điện tâm đồ hiện tại không phát hiện thấy sóng bất thường
Ban cố vấn chuyên môn
Ngày 28 tháng 9 năm 2025
Bác sỹ chuyên khoa
BS Dương Tuấn Khôi
Hình ảnh

Kết quả dịch vụ: Siêu âm ổ bụng
- Gan: kích thước bình thường. Nhu mô đồng nhất
- Đường mật trong gan: không giãn, thành đều. Không thấy sỏi hay cấu trúc bất thường
- Đường mật ngoài gan: không giãn, thành đều. Không thấy sỏi hay cấu trúc bất thường
- Tuỵ: kích thước bình thường. Nhu mô đồng nhất. Ống tuỵ không giãn, không thấy sỏi. Xung quanh tuỵ không thấy tụ dịch
- Lách: kích thước bình thường. Nhu mô đồng nhất
- Thận phải: kích thước bình thường. Nhu mô đồng nhất. Xung quanh thận không tụ dịch. Đài thận và bể thận không giãn, không thấy sỏi. Niệu quản không đánh giá được
- Thận trái: kích thước bình thường. Nhu mô đồng nhất. Xung quanh thận không tụ dịch. Đài thận và bể thận không giãn, không thấy sỏi. Niệu quản không đánh giá được
- Bàng quang: thành đều, nước tiểu trong
- Tiểu khung: không thấy hình ảnh bất thường
- Hố chậu hai bên: không thấy hình ảnh bất thường
- Dịch tự do ổ bụng: không thấy
Kết luận
Hình ảnh siêu âm ổ bụng hiện tại chưa thấy bất thường.
Ban cố vấn chuyên môn
Ngày 27 tháng 9 năm 2025
Bác sỹ chuyên khoa