Tin tức
Cô gái trẻ đi khám tiền hôn nhân phát hiện mắc tiền ung thư cổ tử cung, viêm âm đạo đa tác nhân
- 17/12/2025 | Bác sĩ giải đáp: Xét nghiệm máu có phát hiện ung thư cổ tử cung không?
- 12/01/2026 | Xét nghiệm ung thư cổ tử cung giá bao nhiêu? Có các loại xét nghiệm nào?
- 12/02/2026 | Ung thư cổ tử cung di căn hạch có tiên lượng thế nào? Phương pháp điều trị và chăm sóc sức k...
Cảnh báo nguy cơ bệnh phụ khoa âm thầm nếu không tầm soát sớm
Chị M.P.A. (20 tuổi, Hà Nội) đến Bệnh viện Đa khoa MEDLATEC khám tiền hôn nhân. Trước đó sức khỏe của chị A. hoàn toàn bình thường, không có triệu chứng lâm sàng của bệnh lý phụ khoa. Tiền sử gia đình khỏe mạnh, không có thành viên nào mắc ung thư cổ tử cung.
Bác sĩ tiến hành thăm khám và chỉ định thực hiện các kỹ thuật cận lâm sàng cần thiết. Đáng chú ý, kết quả xét nghiệm 12 tác nhân gây bệnh lây truyền qua đường tình dục cho kết quả dương tính với các tác nhân sau: Lậu, Chlamydia, Ureaplasma, Mycoplasma, nấm Candida. Cùng với đó, kết quả tầm soát ung thư cổ tử cung dương tính với 1/12 tuýp HPV nguy cơ cao.
Chẩn đoán xác định, bệnh nhân mắc viêm âm đạo đa tác nhân kèm nhiễm HPV nguy cơ cao. Bệnh nhân được bác sĩ chỉ định phác đồ điều trị phối hợp nhằm kiểm soát đồng thời các tác nhân gây bệnh.
Đáng chú ý, trong quá trình theo dõi sau điều trị, kết quả xét nghiệm CINtec của bệnh nhân cho thấy sự xuất hiện của tế bào đồng biểu hiện p16/Ki-67 - một dấu hiệu quan trọng gợi ý sự biến đổi bất thường của tế bào cổ tử cung. Đây là chỉ điểm sinh học có giá trị trong việc phát hiện sớm các tổn thương tiền ung thư, đặc biệt ở những trường hợp nhiễm HPV nguy cơ cao.
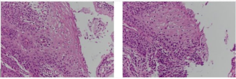
Tiếp đó, bệnh nhân được thực hiện soi cổ tử cung. Qua thăm khám, bác sĩ nhận thấy tổn thương, từ đó chỉ định sinh thiết tại nhiều vị trí nghi ngờ. Kết quả giải phẫu bệnh xác định tổn thương nội biểu mô vảy độ thấp (LSIL). Mặc dù đây chưa phải ung thư, nhưng là dấu hiệu cảnh báo sớm cho thấy tế bào cổ tử cung đã bắt đầu có những thay đổi bất thường dưới tác động của HPV.

Tổn thương được phát hiện trên kết quả giải phẫu bệnh sinh thiết cổ tử cung
Nhờ được phát hiện kịp thời, bệnh nhân chưa rơi vào giai đoạn nguy hiểm và có thể kiểm soát tốt bằng theo dõi định kỳ. Bác sĩ đã xây dựng kế hoạch quản lý lâu dài, bao gồm tái khám theo lịch hẹn, đánh giá lại tổn thương và tiếp tục theo dõi sự tiến triển của HPV trong cơ thể.
Tầm soát sớm giúp “chặn đứng” nguy cơ từ giai đoạn đầu
BS. Trương Minh Nguyệt - Chuyên khoa Sản, Bệnh viện Đa khoa MEDLATEC cho biết: “Trường hợp nói trên là minh chứng rõ ràng cho việc nhiều bệnh lý phụ khoa và bệnh lây truyền qua đường tình dục có thể diễn tiến âm thầm mà không gây triệu chứng. Nếu không thực hiện khám tiền hôn nhân hoặc thăm khám định kỳ, những bất thường này có thể bị bỏ qua trong thời gian dài, làm tăng nguy cơ biến chứng”.
Thực tế cho thấy, các tác nhân như Chlamydia, Mycoplasma hay lậu cầu có thể gây viêm nhiễm kéo dài, dẫn đến viêm vùng chậu, tắc vòi trứng và ảnh hưởng trực tiếp đến khả năng sinh sản. Trong khi đó, HPV nguy cơ cao là yếu tố hàng đầu liên quan đến ung thư cổ tử cung - một trong những bệnh ung thư phổ biến ở phụ nữ.

Virus HPV là thủ phạm hàng đầu gây ra ung thư cổ tử cung ở nữ giới (Ảnh minh họa - Nguồn: Internet)
Điều đáng mừng là phần lớn các tổn thương do HPV gây ra, đặc biệt ở giai đoạn sớm như tổn thương LSIL, hoàn toàn có thể kiểm soát nếu được phát hiện kịp thời và theo dõi đúng cách. Tuy nhiên, nếu chủ quan, không tái khám định kỳ, tổn thương có thể tiến triển thành mức độ nặng hơn.
Từ ca bệnh này, bác sĩ Nguyệt đưa ra khuyến cáo đối với chị em phụ nữ, như sau:
- Chủ động khám phụ khoa định kỳ ngay cả khi không có triệu chứng;
- Thực hiện khám tiền hôn nhân để tầm soát toàn diện sức khỏe sinh sản;
- Tầm soát HPV và ung thư cổ tử cung theo khuyến cáo;
- Điều trị triệt để và đồng thời cho cả bạn tình khi phát hiện bệnh lây truyền qua đường tình dục;
- Tuân thủ lịch tái khám để theo dõi diễn tiến bệnh.
MEDLATEC - Địa chỉ tin cậy trong thăm khám và tầm soát bệnh lý Sản phụ khoa
Trường hợp của chị M.P.A là một trong hàng ngàn khách hàng được phát hiện và theo dõi hiệu quả nhờ hệ thống thăm khám, xét nghiệm đồng bộ tại MEDLATEC - một trong những đơn vị uy tín trong lĩnh vực Sản phụ khoa.
Để có năng lực chuyên môn cao trong suốt 30 năm qua, MEDLATEC luôn chú trọng quy tụ đội ngũ bác sĩ giàu kinh nghiệm, cùng hệ thống trang thiết bị hiện đại, đáp ứng đầy đủ các kỹ thuật từ cơ bản đến chuyên sâu như:
- Xét nghiệm phát hiện đồng thời nhiều tác nhân lây truyền qua đường tình dục;
- Tầm soát HPV và ung thư cổ tử cung bằng các phương pháp tiên tiến;
- Soi cổ tử cung, sinh thiết và giải phẫu bệnh chính xác;
- Theo dõi và quản lý các tổn thương tiền ung thư.

Chị em nên duy trì thói quen thăm khám Sản phụ khoa định kỳ để chủ động bảo vệ sức khỏe
Bên cạnh đó, khách hàng đến khám chữa bệnh tại Hệ thống Y tế MEDLATEC còn an tâm với quy trình khép kín từ khám - xét nghiệm - chẩn đoán - theo dõi giúp rút ngắn thời gian phát hiện bệnh và nâng cao hiệu quả điều trị.
Mọi thông tin tìm hiểu về tầm soát bệnh lý Sản phụ khoa nói riêng và thăm khám sức khỏe tổng quát nói chung, người dân vui lòng liên hệ tới Hệ thống Y tế MEDLATEC qua tổng đài 1900 56 56 56, hoặc đến trực tiếp các cơ sở của MEDLATEC trên toàn quốc để được hỗ trợ.
Bình luận ()
Lựa chọn dịch vụ
Quý khách hàng vui lòng lựa chọn dịch vụ y tế theo nhu cầu!