Tin tức
Đi khám tiêu hóa, bất ngờ phát hiện ung thư phổi hiếm gặp
- 26/12/2025 | MEDLATEC phát hiện ca ung thư tế bào nuôi nguyên phát tại phổi hiếm gặp, thế giới ghi nhận d...
- 21/08/2025 | SPOT-MAS Lung - xét nghiệm tầm soát sớm nguy cơ ung thư phổi
- 27/09/2025 | Đau ngực trái dai dẳng, nữ bệnh nhân bất ngờ được chẩn đoán ung thư phổi
- 28/01/2026 | Ung thư phổi di căn hạch ở cổ: Mức độ nguy hiểm, phương pháp chẩn đoán và điều trị
Bệnh nhân V.N.P (67 tuổi) đến khám vì viêm dạ dày – thực quản trào ngược, có tiền sử cắt polyp trực tràng loạn sản độ thấp.
.jpg)
PGS.TS Nguyễn Thị Vân Hồng - Giám đốc Trung tâm Tiêu hóa MEDLATEC
Khi thăm khám, PGS.TS Nguyễn Thị Vân Hồng – Giám đốc Trung tâm Tiêu hóa MEDLATEC phát hiện chỉ số CEA tăng rất cao (128 ng/mL), gợi ý nguy cơ bệnh lý ác tính.
Bệnh nhân được chỉ định nội soi tiêu hóa chuyên sâu. Kết quả mô bệnh học chỉ ghi nhận polyp tăng sản và u tuyến loạn sản độ thấp, không phát hiện ung thư đường tiêu hóa.
Trước tình trạng CEA tăng cao nhưng chưa tìm được nguyên nhân, bác sĩ quyết định mở rộng tầm soát.
Chụp CT phổi và lồng ngực liều thấp phát hiện khối u thùy trên phổi trái kèm hạch trung thất, bệnh nhân được chuyển sang chuyên khoa Hô hấp.

PGS.TS Hoàng Thị Phượng – chuyên gia cao cấp Hệ thống Y tế MEDLATEC
Dưới sự chỉ đạo của PGS.TS Hoàng Thị Phượng – Chuyên khoa Hô hấp, chuyên gia cao cấp của Hệ thống Y tế MEDLATEC, bệnh nhân được sinh thiết dưới hướng dẫn CT.
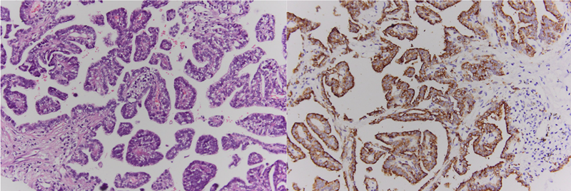
Kết quả mô bệnh học và hóa mô miễn dịch cho thấy đây là ung thư biểu mô tuyến nhú của phổi, các tế bào u dương tính TTF-1, Napsin A, CK7. Đây là phân nhóm hiếm của ung thư phổi không tế bào nhỏ, đặc trưng bởi cấu trúc nhú, khả năng xâm lấn và di căn cao, tiên lượng phụ thuộc lớn vào phát hiện sớm.

Kết quả mô bệnh học và hóa mô miễn dịch cho thấy đây là ung thư biểu mô tuyến nhú của phổi
Với kết quả mô bệnh học và HMMD thực hiện tại MEDLATEC, các bác sĩ đã có đầy đủ căn cứ để lựa chọn thuốc điều trị đích hiệu quả nhất.
Ca bệnh cho thấy vai trò then chốt của mô hình phối hợp đa chuyên khoa, trong đó giải phẫu bệnh là yếu tố quyết định giúp xác định bản chất khối u và định hướng điều trị chính xác. Qua đây tiếp tục khẳng định năng lực chẩn đoán chuyên sâu tại MEDLATEC, đặc biệt với các ca ung thư hiếm và biểu hiện không điển hình.

Trung tâm Xét nghiệm và Trung tâm Chẩn đoán hình ảnh MEDLATEC sở hữu hệ thống máy móc đồng bộ, hiện đại
Lựa chọn thăm khám, tầm soát ung thư phổi tại MEDLATEC, người dân hoàn toàn an tâm bởi sở hữu những năng lực vượt trội sau:
- Quy tụ đội ngũ chuyên gia, bác sĩ đầu ngành lĩnh vực Ung bướu, Chẩn đoán hình ảnh, Giải phẫu bệnh, Xét nghiệm;
- Là đơn vị y tế đầu tiên sở hữu dịch vụ xét nghiệm đạt Thương hiệu Quốc gia Việt Nam và tiên phong quản lý chất lượng xét nghiệm bằng hai tiêu chuẩn quốc tế song hành CAP, ISO 15189:2022;
- Mô hình Trung tâm Chẩn đoán hình ảnh “không khoảng cách”, đáp ứng chẩn đoán hình ảnh từ xa, nhanh chóng, chính xác. Hệ thống thiết bị đồng bộ, hiện đại như máy MRI, CT/MSCT, máy X-quang, máy chụp cắt lớp vi tính, Fibroscan, siêu âm;
- Trung tâm Giải phẫu bệnh có năng lực đáp ứng hơn 150.000 xét nghiệm mỗi năm gồm: tế bào học, mô bệnh học, hóa mô miễn dịch và đột biến gen. Thời gian trả kết quả nhanh, kịp thời để phục vụ tối đa nhu cầu chẩn đoán chính xác các bệnh lý u, nghi ngờ u.
Người dân vui lòng liên hệ tổng đài MEDLATEC 1900 56 56 56 để được hỗ trợ đặt lịch thăm khám/xét nghiệm kịp thời.
Bình luận ()
Lựa chọn dịch vụ
Quý khách hàng vui lòng lựa chọn dịch vụ y tế theo nhu cầu!