Tin tức
Dị vật đâm thủng ruột, nam thanh niên được phẫu thuật cấp cứu ngay trong đêm tại MEDLATEC
- 27/08/2020 | Đi nội soi, giật mình phát hiện dị vật đâm xuyên thành dạ dày
- 06/02/2021 | Làm sao để phát hiện dị vật trong tai và cách xử lý ra sao?
- 18/08/2021 | Biến chứng của dị vật đường thở - sự bất cẩn dẫn đến nguy hiểm
Tưởng rối loạn tiêu hóa, đi khám phát hiện thủng ruột non
Bệnh nhân nam, 22 tuổi, tiền sử khỏe mạnh, nhập viện trong tình trạng đau bụng tăng dần sau ăn. Trước đó một ngày, sau khi ăn bún ngan, bệnh nhân xuất hiện đau âm ỉ vùng hạ vị, kèm theo đi ngoài phân lỏng 2-3 lần và sốt nhẹ. Nghĩ rằng chỉ bị rối loạn tiêu hóa, bệnh nhân tự điều trị tại nhà bằng men vi sinh. Tuy nhiên, sang ngày hôm sau, cơn đau không giảm mà tăng lên rõ rệt, xuất hiện các cơn đau quặn dữ dội nên đến Bệnh viện Đa khoa MEDLATEC thăm khám.
Qua thăm khám lâm sàng, bác sĩ chẩn đoán ban đầu đau bụng chưa rõ nguyên nhân, sốt ngày 1, nên được chỉ định thực hiện làm xét nghiệm và các thăm khám quan trọng tìm nguyên nhân.
Kết quả xét nghiệm ghi nhận tình trạng nhiễm trùng rõ rệt với chỉ số CRP tăng cao, Fibrinogen tăng.

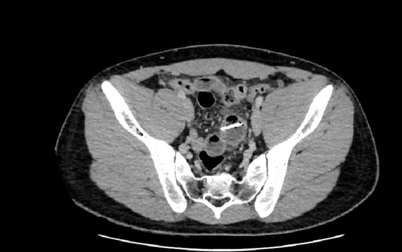
Bệnh nhân chụp CT phát hiện dị vật cản quang đoạn cuối hồi tràng
Dù siêu âm và X-quang ban đầu chưa phát hiện bất thường, nhưng kết quả chụp cắt lớp vi tính (CT-scanner) thấy dị vật cản quang đoạn ruột hồi tràng (đoạn cuối của ruột non) vùng tiểu khung đâm xuyên qua lớp cơ và thanh mạc (lớp ngoài cùng), thâm nhiễm xung quanh.
ThS.BSNT Lưu Tuấn Thành - Phó Giám đốc Trung tâm Tiêu hóa, Hệ thống Y tế MEDLATEC trực tiếp thăm khám bệnh nhân xác định đây là tình trạng nguy hiểm, nếu không xử trí kịp thời có nguy cơ tiến triển thành viêm phúc mạc, tức tình trạng nhiễm trùng lớp màng lót trong thành bụng. Vì vậy, bác sĩ lập tức hội chẩn cùng các chuyên gia của chuyên khoa Ngoại và có chỉ định phẫu thuật nội soi cấp cứu ngay trong đêm.

Dị vật là một mảnh xương nhọn dài khoảng 2,5 cm được lấy ra ngay khi nội soi
Trong quá trình mổ nội soi cấp cứu, các bác sĩ lấy ra dị vật là một mảnh xương nhọn dài khoảng 2,5 cm đã đâm thủng ruột hồi trang (ruột non) kèm ít dịch viêm xung quanh. Dị vật được lấy ra an toàn, tổn thương được xử trí triệt để, ổ bụng được làm sạch. Sau phẫu thuật, bệnh nhân hồi phục tốt, không còn sốt, vết mổ đau ít. Bệnh nhân được xuất viện sau 4 ngày theo dõi, điều trị nội trú tại khoa Ngoại, Bệnh viện Đa khoa MEDLATEC.
Những lưu ý giúp tránh xa dị vật
Bác sĩ Thành cho biết, hóc dị vật trong ăn uống là tình trạng khá phổ biến nhưng dễ bị xem nhẹ. Trên thực tế, các dị vật sắc nhọn như xương có thể gây tổn thương nghiêm trọng cho đường tiêu hóa, thậm chí dẫn đến thủng ruột, viêm phúc mạc và nhiễm trùng ổ bụng nếu không được phát hiện sớm.

Khi có dấu hiệu nghi ngờ hóc dị vật, người dân cần đến cơ sở y tế để được thăm khám. Ảnh minh họa, nguồn Internet
Điều đáng nói là các triệu chứng ban đầu thường không đặc hiệu, dễ nhầm lẫn với các rối loạn tiêu hóa thông thường như đau bụng, tiêu chảy nhẹ. Chính sự chủ quan này khiến nhiều người trì hoãn việc đi khám, làm tăng nguy cơ biến chứng.
Để phòng tránh tình trạng này, người dân cần chú ý ăn chậm, nhai kỹ, đặc biệt cẩn trọng khi ăn các món có xương nhỏ hoặc sắc nhọn. Thói quen vừa ăn vừa nói chuyện, cười đùa cũng cần hạn chế để tránh nuốt phải dị vật. Đối với trẻ nhỏ và người cao tuổi, cần loại bỏ xương kỹ trước khi ăn và lựa chọn thực phẩm phù hợp.
Ngoài ra, bác sĩ cũng lưu ý, người dân nếu xuất hiện các dấu hiệu bất thường sau ăn như đau bụng kéo dài, đau tăng dần, sốt, buồn nôn hoặc cảm giác nuốt vướng thì đến ngay cơ sở y tế để được kiểm tra. Việc tự xử trí tại nhà bằng các mẹo dân gian không những không hiệu quả mà còn có thể khiến tình trạng trở nên nghiêm trọng hơn.
Người dân khi có các dấu hiệu bất thường về sức khỏe, đặc biệt là đau bụng cấp tính hoặc nghi ngờ nuốt phải dị vật, nên chủ động đến thăm khám tại các cơ sở y tế uy tín như để được tư vấn, chẩn đoán và điều trị kịp thời, tránh những biến chứng đáng tiếc có thể xảy ra.
MEDLATEC - Địa chỉ khám chữa bệnh đa chuyên khoa uy tín, đáp ứng toàn diện nhu cầu người dân
Với hành trình 30 năm kinh nghiệm phụng sự chăm sóc sức khỏe nhân dân, Hệ thống Y tế MEDLATEC giờ đây đã khẳng định vị thế là địa chỉ khám chữa bệnh đa chuyên khoa uy tín, chất lượng qua những dấu ấn nổi bật như: đơn vị y tế đầu tiên ở nước ta có dịch vụ xét nghiệm đạt thương hiệu Quốc gia Việt Nam, đi đầu cả nước áp dụng song hành hai tiêu chuẩn quốc ISO 15189:2022, trở thành đơn vị y tế đầu tiên đạt ISO trong lĩnh vực chẩn đoán hình ảnh, là đơn vị tiên phong triển khai dịch vụ lấy mẫu xét nghiệm tận nơi.

Khám chữa bệnh tin cậy, chất lượng tại Hệ thống Y tế MEDLATEC
Theo đó, lựa chọn dịch vụ chăm sóc sức khỏe tại MEDLATEC, người dân hoàn toàn an tâm chất lượng chuyên môn, dịch vụ bởi những thế mạnh nổi bật sau:
- Được thăm khám, tư vấn và điều trị cá thể hóa bởi đội ngũ chuyên gia, bác sĩ đa chuyên khoa, giàu kinh nghiệm;
- Được tiếp cận công nghệ, kỹ thuật chẩn đoán hiện đại, tiên tiến bậc nhất thế giới như Trung tâm Xét nghiệm, Giải phẫu bệnh, Chẩn đoán hình ảnh cùng máy móc đa chuyên khoa cho kết quả chẩn đoán chính xác, tin cậy;
- Đáp ứng dịch vụ khám chữa bệnh đa chuyên khoa từ cơ bản đến chuyên sâu nhanh chóng, hiệu quả;
- Quy trình khám chữa bệnh được tối ưu hóa theo hướng liên thông - khép kín - thuận tiện, giúp người bệnh không phải di chuyển nhiều nơi mà vẫn được đáp ứng đầy đủ nhu cầu từ khám, chẩn đoán đến điều trị và theo dõi sau điều trị;
- Dịch vụ lấy mẫu xét nghiệm tận nơi nhanh chóng, tiện lợi và đáp ứng hơn 2.000 danh mục xét nghiệm phục vụ tối đa nhu cầu chăm sóc sức khỏe của người dân mọi độ tuổi trên khắp mọi miền đất nước.
Với định hướng phát triển bền vững, Hệ thống Y tế MEDLATEC tiếp tục nâng cao chất lượng chuyên môn, mở rộng kết nối đa chuyên khoa và ứng dụng công nghệ hiện đại, nhằm mang đến giải pháp chăm sóc sức khỏe toàn diện, kịp thời và hiệu quả cho cộng đồng.
Mọi thông tin tìm hiểu về dịch vụ khám chữa bệnh tại MEDLATEC, người dân vui lòng liên hệ tổng đài 1900 56 56 56.
Bình luận ()
Lựa chọn dịch vụ
Quý khách hàng vui lòng lựa chọn dịch vụ y tế theo nhu cầu!