Tin tức
Loại bỏ thành công ổ đa u xơ khiến tử cung to như thai 3 tháng
- 25/09/2025 | U xơ tử cung: Tất cả kiến thức bạn cần biết để bảo vệ sức khỏe
- 28/10/2025 | Giải đáp u xơ tử cung có được ăn trứng không và 8 câu hỏi thường gặp khác
- 06/11/2025 | Chi phí mổ u xơ tử cung có bảo hiểm y tế cao hay thấp và một số lưu ý
Cảnh giác với triệu chứng đau bụng hạ vị
Vừa qua, Bệnh viện Đa khoa MEDLATEC tiếp nhận chị Đ.C.T. (48 tuổi) đến khám do đau bụng hạ vị.
Chị T. có tiền sử u xơ tử cung phát hiện cách đây 3 năm, nhưng do chủ quan vì nghĩ rằng u xơ tử cung là một bệnh lành tính hay gặp ở phụ nữ nên chị không theo dõi tiếp. Khoảng 1 tháng gần đây, bệnh nhân bắt đầu xuất hiện đau âm ỉ vùng hạ vị tăng dần, tiểu tiện khó.
Tại MEDLATEC, chị T. được khám lâm sàng kết hợp xét nghiệm và chẩn đoán hình ảnh nhằm xác định nguyên nhân gây triệu chứng.
Khám cơ quan, bộ phận bác sĩ nhận thấy hạ vị bên phải có khối không di động, kích thước 5- 7cm. Tử cung kích thước lớn tương đương tử cung có thai 3 tháng, di động kém.
.jpg)
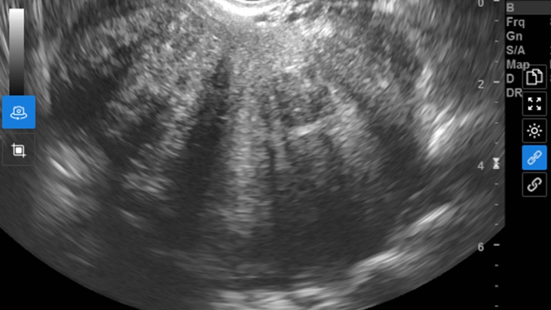
Kết quả siêu âm ghi nhận hình ảnh bất thường ở tử cung
Siêu âm ghi nhận hình ảnh đa u xơ tử cung, đồng thời phát hiện vùng tổn thương nghi lạc nội mạc tử cung ở buồng trứng trái kích thước 25 mm.
.png)
Chụp MRI vùng tiểu khung cho thấy hình ảnh đa u xơ tử cung
MRI vùng tiểu khung cho thấy tử cung có nhiều khối u xơ (khối u lớn nhất có kích thước 47x53mm), được xếp loại từ L2 - L6. Đây là phân loại dựa trên vị trí u xơ theo hệ thống FIGO (International Federation of Gynecology and Obstetrics):
- L2: u xơ dưới thanh mạc có <50% thể tích nằm ngoài tử cung;
- L3–L5: u xơ nằm trong thành cơ tử cung, có xu hướng làm biến dạng cấu trúc tử cung;
- L6: u xơ dưới thanh mạc có cuống, dễ xoắn hoặc gây đau.
Ngoài ra, MRI còn ghi nhận nang lạc nội mạc ở buồng trứng trái.
Dựa vào các kết quả trên, bệnh nhân được chẩn đoán đa u xơ tử cung, lạc nội mạc tử cung buồng trứng trái.

Hình ảnh khối u xơ tử cung sau khi được phẫu thuật cắt bỏ
Do khối u xuất hiện ở nhiều vị trí, kích thước lớn, gây đau và tiểu khó, đồng thời, có nang lạc nội mạc buồng trứng trái, càng làm triệu chứng nặng hơn, bệnh nhân được chỉ định phẫu thuật cắt tử cung bán phần, mẫu bệnh phẩm được gửi làm giải phẫu bệnh.
Kết quả mô bệnh học xác định khối u là u cơ trơn (leiomyoma) - bản chất lành tính.
Sau 3 ngày theo dõi và chăm sóc sau mổ, bệnh nhân hồi phục tốt và được xuất viện trong tình trạng ổn định.
Biến chứng nguy hiểm của u xơ tử cung
Theo BSCKI. Nguyễn Thị Thùy Linh - Chuyên khoa Sản, Bệnh viện Đa khoa MEDLATEC, u xơ tử cung là khối u lành tính được hình thành từ các tế bào cơ trơn của tử cung, có thể xuất hiện đơn lẻ hoặc nhiều khối, với kích thước từ vài mm đến vài cm. Bệnh có thể xảy ra ở mọi lứa tuổi, nhưng thường gặp nhất ở những phụ nữ trong tuổi sinh sản và phụ nữ đang ở giai đoạn mãn kinh.
Hiện nay, nguyên nhân gây ra u xơ tử cung vẫn chưa được xác định rõ ràng. Nhưng theo các chuyên gia, nhiều khả năng căn bệnh này chính là do tình trạng rối loạn nội tiết tố estrogen gây ra vì nội tiết tố này được chứa nhiều trong những khối u xơ. Nhưng rất có thể, rối loạn nội tiết tố lại chính là do u xơ tử cung gây ra. Điều này rất khó để khẳng định.
Ngoài ra, những yếu tố nguy cơ gây bệnh khác có thể kể đến là: di truyền, thừa cân, béo phì, dậy thì sớm, quan hệ tình dục sớm, sinh đẻ nhiều lần, thường xuyên nạo phá thai, viêm nhiễm phụ khoa, căng thẳng kéo dài,...

U xơ tử cung là khối u lành tính ở tử cung, thường gặp ở phụ nữ trong độ tuổi sinh sản. Ảnh minh họa
Đa phần u xơ tử cung là những khối u lành tính nhưng nếu không theo dõi và điều trị, u xơ có thể gây ra biến chứng như:
- Xuất huyết tử cung bất thường: rong kinh, rong huyết, băng kinh, băng huyết, thiếu máu,…
- Biến chứng cơ học do khối u xơ tử cung to chèn ép: đau, táo bón, rối loạn tiểu tiện, thận ứ nước,...
- Biến chứng sản khoa: vô sinh, dọa sẩy thai, sẩy thai, dọa đẻ non, đẻ non, ngôi bất thường, băng huyết sau sinh,…
- Biến chứng ung thư hóa (rất ít gặp): U xơ tử cung to nhanh, hoặc xuất hiện ở tuổi mãn kinh.
Bác sĩ Linh cho hay, để loại bỏ các khối u xơ tử cung, tùy theo hình thái u, các yếu tố bệnh lý cũng như tình trạng riêng của bệnh nhân, có thể phân loại thành các kỹ thuật như sau:
- Bóc u xơ tử cung, bảo tồn tử cung: Khi bệnh nhân còn có nhu cầu sinh sản, kích thước u xơ tử cung không quá to;
- Cắt tử cung hoàn toàn hoặc bán phần được chỉ định trong các trường hợp sau: Người bệnh không còn nhu cầu sinh sản và có bệnh lý đi kèm có thể điều trị hết khi cắt tử; Người bệnh có các biến chứng nặng do u xơ tử cung gây ra: thiếu máu do rối loạn kinh nguyệt, chèn ép cơ quan nội tạng xung quanh, đau bụng,... đã điều trị nội khoa không đỡ, đã đủ con, mong muốn được điều trị triệt để do không có điều kiện để theo dõi.
Việc phẫu thuật loại bỏ u xơ tử cung được thực hiện dựa trên chỉ định của bác sĩ, sau khi cân nhắc nhiều yếu tố khác nhau liên quan đến tình trạng bệnh và sức khỏe của người bệnh. Bên cạnh đó, nhiều phương pháp khác nhau cũng được ứng dụng hiệu quả trong việc điều trị u xơ tử cung.
Bác sĩ Linh khuyến cáo, phụ nữ được chẩn đoán u xơ tử cung nên chủ động thăm khám định kỳ tại các cơ sở chuyên khoa Sản - Phụ khoa. Việc này giúp đánh giá chính xác kích thước, số lượng và vị trí của khối u, phát hiện sớm các biến chứng, đồng thời lựa chọn phương án điều trị phù hợp và kịp thời.
Địa chỉ khám Sản - Phụ khoa uy tín, chính xác, tiện lợi

Chuyên khoa Sản phụ khoa của Hệ thống Y tế MEDLATEC là địa chỉ tin cậy của nhiều chị em phụ nữ
Lựa chọn khám, điều trị bệnh lý u xơ tử cung nói riêng và các bệnh lý phụ khoa nói chung tại Hệ thống Y tế MEDLATEC, chị em hoàn toàn an tâm bởi những năng lực sau:
- Chuyên khoa Sản - Phụ khoa quy tụ đội ngũ chuyên gia, bác sĩ giàu kinh nghiệm, cùng hệ thống trang thiết bị y tế hiện đại (máy nội soi cổ tử cung; máy cắt đốt, LEEP cổ tử cung; nội soi vú; máy siêu âm LOGIQ F6; máy X-quang tuyến vú), giúp chẩn đoán, hỗ trợ điều trị hiệu quả bệnh lý sản - phụ khoa và đáp ứng đa dạng các dịch vụ như:
- Khám và điều trị các bệnh lý phụ khoa: Viêm sinh dục, u buồng trứng, u xơ tử cung, lạc nội mạc tử cung, viêm phần phụ, rong kinh,…;
- Khám tiền hôn nhân;
- Xét nghiệm đánh giá khả năng sinh sản ở nữ giới;
- Hỗ trợ sinh sản: Tư vấn, điều trị và bơm IUI;
- Khám, quản lý và theo dõi thai kỳ: Điều trị sảy thai liên tiếp, thai lưu, theo dõi sức khỏe thai kỳ;
- Tầm soát các loại ung thư nữ giới: Ung thư cổ tử cung, buồng trứng, vú;
- Kế hoạch hóa gia đình: Đặt vòng tránh thai, cấy - tháo que tránh thai.
- Không gian khám riêng tư, thông tin và kết quả bảo mật tuyệt đối.
- Quy trình khép kín - Không chờ đợi lâu - Khám và có hướng điều trị trong cùng buổi.
Bên cạnh hệ thống bệnh viện và phòng khám hiện đại, MEDLATEC còn cung cấp dịch vụ lấy mẫu xét nghiệm tận nơi, với nhiều tiện ích vượt trội:
- Đặt lịch nhanh chóng, dễ dàng, giúp tiết kiệm tối đa thời gian và chi phí di chuyển;
- Lấy mẫu tận nơi, linh hoạt theo khung giờ chọn;
- Trả kết quả nhanh chỉ từ 2 giờ, qua ứng dụng My Medlatec;
- Bác sĩ Sản - Phụ khoa tư vấn chi tiết, hỗ trợ giải đáp sau khi có kết quả.
Chị em phụ nữ có nhu cầu thăm khám hoặc có thắc mắc liên quan đến bệnh lý cần giải đáp, vui lòng liên hệ tổng đài MEDLATEC 1900 56 56 56 để được tư vấn và hỗ trợ.
Bình luận ()
Lựa chọn dịch vụ
Quý khách hàng vui lòng lựa chọn dịch vụ y tế theo nhu cầu!