Tin tức
Nữ doanh nhân mắc xơ cứng bì hệ thống - căn bệnh tự miễn nguy hiểm, hiếm gặp
- 17/02/2025 | Xơ cứng bì là bệnh gì? Có chữa được không?
- 11/02/2026 | Đi khám tiêu hóa, bất ngờ phát hiện ung thư phổi hiếm gặp
- 10/03/2026 | Bệnh viện Đa khoa MEDLATEC phẫu thuật thành công trường hợp trẻ bị viêm ruột thừa có phủ tạn...
- 26/03/2026 | Nữ giáo viên mắc Hội chứng Muller-Weiss siêu hiếm gặp, thế giới ghi nhận 600 trường hợp
Loạt dấu hiệu bất thường cảnh báo bệnh lý xơ cứng bì hệ thống
Bệnh nhân nữ N.K.N (68 tuổi, doanh nhân) nhiều năm nay thường xuyên có cảm giác lạnh toàn thân, đặc biệt lạnh ở bàn tay, bàn chân, mức độ tăng dần kèm theo cảm giác lo lắng kéo dài.
Khoảng 2 năm trở lại đây, bệnh nhân xuất hiện thêm các triệu chứng: cứng hàm, cứng da mặt, hạn chế cử động, cảm giác lưỡi cứng, to bè gây khó khăn khi nói. Hai bàn tay có da thâm sậm màu, sưng nề các ngón, kèm đau khớp nhẹ.
Gần đây, bà N. xuất hiện khó thở nhẹ khi gắng sức, kèm các cơn đau tức ngực; xét nghiệm men tim ghi nhận tăng nhẹ trong cơn đau. Sau khi điều trị tại nhiều nơi nhưng triệu chứng không cải thiện, bệnh nhân đến khám tại Phòng khám Đa khoa MEDLATEC Gò Vấp.
.png)
BSCKI. Bùi Thị Cẩm Bình - Phụ trách chuyên môn Phòng khám Đa khoa MEDLATEC Gò Vấp
Tại đây, bệnh nhân được BSCKI. Bùi Thị Cẩm Bình - Chuyên khoa Nội, Phụ trách chuyên môn Phòng khám Đa khoa MEDLATEC Gò Vấp (TP.HCM) trực tiếp thăm khám.
.png)
Bàn tay của bệnh nhân có biểu hiện của hội chứng Raynaud
Khai thác tiền sử cho thấy bà N. có các bệnh lý nền gồm suy giáp (điều trị 7 năm), rối loạn lipid máu và viêm đa xoang.
Qua thăm khám và cận lâm sàng, ghi nhận các hội chứng và tổn thương đặc trưng:
- Hội chứng Raynaud (+): Da hai bàn tay thâm, sậm màu, sưng nề ngón tay, đau khớp nhẹ. Khi tiếp xúc lạnh, bàn tay chuyển màu sẫm nhiều hơn.
- Giai đoạn xơ cứng da (+): Cứng hàm, mặt, hạn chế vận động.
- Xét nghiệm miễn dịch: CENP A, CENP B, SSA dương tính mạnh; Ro-52 dương tính.
- Siêu âm tuyến giáp: Hình ảnh bệnh lý chủ mô tuyến giáp lan tỏa.
- Chụp CT phổi liều thấp: Giãn phế quản thùy dưới hai phổi; Dải xơ, dày tổ chức kẽ hai phổi (tổn thương cũ); Giãn phế nang thùy giữa phổi phải; Xơ vữa vôi hóa cung động mạch chủ; Thoái hóa cột sống ngực.
.png)
Siêu âm tuyến giáp gợi ý hình ảnh theo dõi bệnh lý chủ mô tuyến giáp lan tỏa
.png)
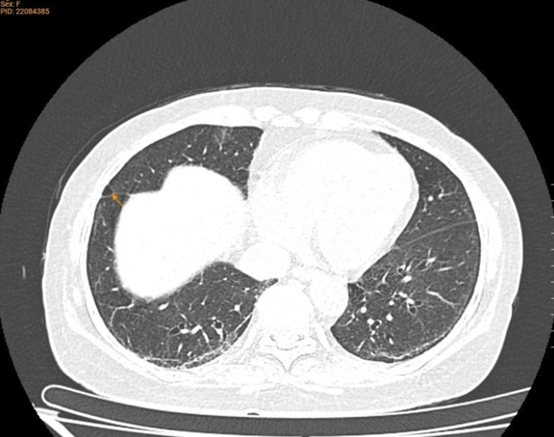
CT phổi cho thấy hình ảnh giãn phế nang thùy giữa phổi phải, giãn phế quản thùy dưới hai phổi, dải xơ, dày tổ chức kẽ hai phổi
.png)
Hình ảnh hai lá phổi xơ hóa
Dựa trên lâm sàng và cận lâm sàng, bà N. được chẩn đoán mắc xơ cứng bì hệ thống thể giới hạn mức độ trung bình (M34.1), bệnh phổi kẽ (J84), trào ngược dạ dày – thực quản (GERD), theo dõi khó nuốt.
Bệnh nhân đã được hội chẩn với chuyên gia chuyên khoa Miễn dịch - dị ứng trong quá trình điều trị và theo dõi bệnh, tầm soát sớm các biến chứng thường gặp: xơ hóa phổi, tăng áp phổi, bệnh lý tim mạch, suy thận và rối loạn nuốt.
Mức độ nguy hiểm của bệnh xơ cứng bì hệ thống
.png)
Cơ chế sinh bệnh học của bệnh lý xơ cứng bì hệ thống
Theo BSCKI. Phạm Đặng Hoài Nam - Chuyên khoa Y học gia đình, Hệ thống Y tế MEDLATEC, xơ cứng bì hệ thống là bệnh lý đặc trưng bởi 3 cơ chế chính song song: rối loạn vi mạch (bất thường mạch máu), rối loạn miễn dịch và xơ hóa (tích tụ collagen quá mức) tại da, các cơ quan nội tạng.
Đây là bệnh mạn tính, hiếm gặp và hiện chưa có phương pháp điều trị khỏi hoàn toàn. Tỷ lệ mắc mới hàng năm khoảng 9–19 ca/1 triệu dân, thường gặp ở độ tuổi 30–50, với tỷ lệ nữ/nam từ 3–12/1.
Bệnh hình thành do sự phối hợp giữa yếu tố di truyền và môi trường, với các cơ chế chính:
- Hoạt hóa quá mức nguyên bào sợi;
- Tổn thương tế bào nội mô gây thiếu máu cục bộ;
- Rối loạn miễn dịch với sự xuất hiện tự kháng thể và cytokine viêm;
- Rối loạn chuyển hóa collagen, lắng đọng bất thường gây xơ hóa và vôi hóa mô.
Xơ cứng bì được chia thành hai nhóm chính dựa trên mức độ tổn thương và phạm vi ảnh hưởng.
Ở thể khu trú, tổn thương chủ yếu giới hạn tại da và mô dưới da, ít khi ảnh hưởng đến cơ quan nội tạng. Biểu hiện thường gặp là các mảng da cứng khu trú, màu trắng hoặc tím nhạt. Hội chứng Raynaud nếu có thường không điển hình. Diễn tiến của thể này tương đối lành tính, nhiều trường hợp có thể ổn định lâu dài hoặc tự cải thiện, ít tái phát.
Ngược lại, xơ cứng bì hệ thống là thể bệnh có ý nghĩa lâm sàng quan trọng do không chỉ gây tổn thương da mà còn đi kèm xơ hóa nhiều cơ quan như phổi, tim, thận và đường tiêu hóa, cùng với bất thường vi mạch. Biểu hiện điển hình là tình trạng da dày, cứng đối xứng ở ngón tay, mặt và thân mình; có thể xuất hiện các đốm đỏ vùng mặt hoặc ngực do giãn mao mạch, loét đầu ngón tay. Phần lớn bệnh nhân (khoảng 90–95%) có hội chứng Raynaud. Xét nghiệm miễn dịch thường phát hiện các tự kháng thể đặc hiệu như Anti-centromere, Scl-70 hoặc RNA polymerase III. Bệnh diễn tiến mạn tính, nguy cơ tử vong sau 10 năm dao động khoảng 10–20%, chủ yếu do biến chứng nội tạng.
Một trong những dấu hiệu sớm quan trọng nhất của xơ cứng bì hệ thống là hội chứng Raynaud (có thể xuất hiện trước các triệu chứng khác nhiều năm) với các biểu hiện ở bàn tay như:
- Trắng (nhợt nhạt): Co thắt mạch đột ngột, giảm lưu lượng tuần hoàn;
- Xanh tím: Giai đoạn thiếu oxy, máu ứ đọng tĩnh mạch;
- Đỏ: Mạch máu giãn nở phản ứng đột ngột, gây đau nhức.
.png)
Các giai đoạn tiến triển tổn thương da
Song song với đó, tổn thương da tiến triển qua 3 giai đoạn đặc trưng:
- Giai đoạn phù nề: viêm sớm, thâm nhiễm tế bào, ngón tay sưng húp;
- Giai đoạn xơ cứng: lắng động collagen, da dày mất nếp nhăn, khuôn mặt vô cảm, khía da quanh miệng;
- Giai đoạn teo da: Teo mô mỡ dưới da, xơ hóa gân cơ, co rút ngón tay, loét đầu ngón.
Ở thể hệ thống, xơ cứng bì không chỉ dừng lại ở da mà còn ảnh hưởng đến nhiều cơ quan quan trọng, bao gồm:
- Phổi: Bệnh phổi kẽ, và tăng áp động mạch phổi (nguyên nhân tử vong hàng đầu);
- Tiêu hóa: teo cơ trơn ruột, khó nuốt, giảm hấp thu;
- Cơ xương khớp: viêm cơ, co rút khớp;
- Tim: tràn dịch mang ngoài tim, suy tim, rối loạn nhịp;
- Thận: cơn suy thận cấp.
Xơ cứng bì hệ thống và những khuyến cáo cần đặc biệt lưu ý
.png)
BSCKI. Phạm Đặng Hoài Nam - Chuyên khoa Y học gia đình đang thăm khám cho người bệnh
Chính việc ảnh hưởng tới đa cơ quan khiến xơ cứng bì hệ thống trở thành bệnh lý cần được theo dõi lâu dài và quản lý chặt chẽ.
Bác sĩ Nam khuyến cáo, với bệnh nhân mắc xơ cứng bì, cần theo dõi lâm sàng mỗi 3-6 tháng/lần, định kỳ 6 tháng/lần đối với tổn thương phổi (thông khí phổi (FVC, DLCO), CT phổi liều thấp nếu ho, khó thở, giảm DLCO/FVC) cũng như kiểm tra hằng năm để dự phòng các biến chứng khác có thể gặp về sau (tim, thận, tiêu hóa…).
Theo dõi điều trị và tác dụng phụ của thuốc, đánh giá chất lượng sống của bệnh nhân (HAQ‑DI là Health Assessment Questionnaire – Disability Index, một chỉ số phổ biến để đánh giá mức độ tàn tật chức năng và khả năng tự chăm sóc bản thân).
Việc tự chăm sóc và quản lý bệnh hằng ngày đóng vai trò then chốt trong duy trì chất lượng cuộc sống cho người bệnh. Quá trình theo dõi và điều trị cần được thực hiện theo mô hình phối hợp đa chuyên khoa: Hô hấp, tim mạch, da liễu, tiêu hóa...
MEDLATEC - Địa chỉ uy tín thăm khám, điều trị bệnh lý tự miễn
Hệ thống máy móc đồng bộ, hiện đại Lựa chọn thăm khám, tầm soát các bệnh lý tự miễn trong đó có bệnh lý xơ cứng bì tại MEDLATEC, người dân hoàn toàn an tâm bởi sở hữu những năng lực vượt trội sau:
Mọi thông tin về dịch vụ khám chữa bệnh tại Hệ thống Y tế MEDLATEC trên toàn quốc, người dân vui lòng liên hệ tổng đài 1900 56 56 56 để được hỗ trợ. |
Bình luận ()
Lựa chọn dịch vụ
Quý khách hàng vui lòng lựa chọn dịch vụ y tế theo nhu cầu!
.png)