Tin tức
Viêm nha chu: Nguyên nhân, dấu hiệu và cách điều trị
- 28/01/2021 | Các phương pháp áp dụng trong điều trị viêm nha chu
- 06/07/2022 | Ảnh hưởng của viêm nha chu nặng tới sức khỏe răng miệng và cách khắc phục
- 04/11/2022 | Dấu hiệu viêm nha chu: Bất cứ ai cũng không nên xem thường!
1. Viêm nha chu là gì?
Viêm nha chu là tình trạng nhiễm trùng mạn tính ảnh hưởng đến các mô nâng đỡ răng bao gồm nướu, dây chằng nha chu và xương ổ răng. Bệnh thường khởi phát từ viêm nướu kéo dài nhưng không được điều trị, khiến vi khuẩn tấn công sâu vào mô nha chu, gây phá huỷ cấu trúc giữ răng.
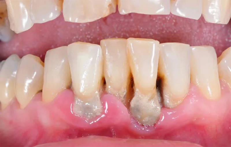
Nguyên nhân chủ yếu là do mảng bám vi khuẩn. Đây là lớp màng dính hình thành liên tục trên bề mặt răng. Nếu không được vệ sinh kỹ, mảng bám sẽ cứng lại thành cao răng, chứa nhiều vi khuẩn gây viêm. Các yếu tố góp phần làm tăng nguy cơ viêm nha chu gồm:
- Vệ sinh răng miệng kém: Chải răng không đúng cách hoặc không dùng chỉ nha khoa làm tích tụ mảng bám;

Vệ sinh răng miệng không đảm bảo là một trong những nguyên nhân dẫn đến tình trạng viêm nha chu
- Hút thuốc lá: Làm giảm tưới máu nướu, tăng tốc độ phá hủy mô nha chu;
- Thay đổi nội tiết tố như tuổi dậy thì, mang thai, tiền mãn kinh;
- Bệnh lý toàn thân: Tiểu đường, bệnh tim mạch, suy giảm miễn dịch;
- Di truyền: Một số người có cấu trúc mô nha chu yếu hơn bình thường;
- Stress, chế độ ăn nhiều đường, uống rượu bia nhiều;
- Khô miệng hoặc dùng thuốc gây giảm tiết nước bọt.
Ở giai đoạn đầu, viêm nha chu có thể rất âm thầm. Tuy nhiên, bạn có thể nhận biết qua những dấu hiệu sau:
- Nướu sưng đỏ, mềm hoặc chảy máu khi chải răng;
- Hơi thở hôi kéo dài dù đã vệ sinh răng;
- Nướu tụt, cổ răng lộ dài hơn trước;
- Xuất hiện túi nha chu (khoảng trống giữa răng và nướu);
- Răng ê buốt, dịch mủ chảy ở kẽ nướu;
- Răng lung lay, xô lệch vị trí.
Nếu xuất hiện một hoặc nhiều dấu hiệu trên, bạn cần đi khám sớm để tránh tiến triển thành viêm nha chu nặng.
2. Chẩn đoán và điều trị viêm nha chu
Chẩn đoán viêm nha chu
Các phương pháp chẩn đoán viêm nha chu gồm:
- Khám lâm sàng: quan sát tình trạng nướu, độ tụt nướu, mức độ mảng bám - cao răng;
- Đo túi nha chu: sử dụng thăm dò nha chu để xác định độ sâu túi quanh răng. Túi sâu ≥4 mm kèm theo mất bám dính và/hoặc tiêu xương ổ răng là dấu hiệu gợi ý viêm nha chu;
- Chụp X-quang răng: đánh giá mức độ tiêu xương ổ răng;
- Xét nghiệm vi khuẩn (nếu cần): dành cho trường hợp nặng hoặc dai dẳng.
Việc chẩn đoán chính xác giúp bác sĩ xây dựng phác đồ điều trị phù hợp với mức độ tổn thương.
Điều trị viêm nha chu
Viêm nha chu là bệnh lý mạn tính, không thể phục hồi hoàn toàn phần mô nha chu đã bị mất, nhưng hoàn toàn có thể kiểm soát tốt và duy trì ổn định lâu dài nếu được điều trị đúng và chăm sóc răng miệng hợp lý. Các phương pháp điều trị viêm nha chu bao gồm:
Điều trị khẩn cấp
Áp dụng khi có áp xe nướu, sưng đau. Bác sĩ có thể kê kháng viêm và chỉ định kháng sinh trong những trường hợp nhiễm trùng. Kháng sinh không thay thế cho việc làm sạch nha chu và chỉ mang tính hỗ trợ trong giai đoạn cấp.
Điều trị không phẫu thuật
Hiệu quả với viêm nha chu nhẹ - trung bình:
- Thuốc kháng khuẩn tại chỗ hoặc kháng sinh đường uống chỉ được cân nhắc trong những trường hợp nhiễm trùng, không sử dụng thường quy;
- Cạo vôi - làm sạch gốc răng (SRP): loại bỏ vi khuẩn sâu dưới nướu, làm nhẵn chân răng để hạn chế tái bám. Sau 1 tháng cần tái khám để đánh giá đáp ứng điều trị.
Điều trị phẫu thuật
Áp dụng với viêm nha chu trung bình đến nặng:
- Phẫu thuật vạt: lật nướu làm sạch sâu;
- Ghép xương: phục hồi vùng tiêu xương;
- Ghép nướu: điều trị tụt lợi, che lộ chân răng;
- Tái tạo mô có hướng dẫn (GTR): đặt màng chuyên dụng kích thích xương phát triển;
- PRP: Sử dụng huyết tương giàu tiểu cầu để kích thích tái tạo mô và xương. Đây là phương pháp hỗ trợ, hiệu quả còn đang được nghiên cứu và không phải là điều trị chuẩn áp dụng thường quy.

Có nhiều phương pháp được ứng dụng trong điều trị viêm nha chu
Điều trị duy trì
Sau khi kiểm soát bệnh, cần tái khám định kỳ theo hướng dẫn của bác sĩ để theo dõi nướu, làm sạch chuyên sâu và ngăn ngừa tái phát.
3. Phòng ngừa viêm nha chu
Viêm nha chu hoàn toàn có thể phòng tránh nếu bạn duy trì thói quen chăm sóc răng miệng khoa học, cụ thể như sau:
Chải răng đúng cách 2 lần mỗi ngày
- Dùng bàn chải lông mềm, đặt nghiêng 45 độ với nướu;
- Chải nhẹ nhàng 2 - 3 phút, không chải quá mạnh để tránh tổn thương nướu.
Sử dụng chỉ nha khoa hoặc tăm nước hàng ngày
Mảng bám giữa các kẽ răng là nguyên nhân chính gây viêm nướu và nha chu, chỉ nha khoa giúp làm sạch khu vực mà bàn chải không chạm tới.

Bạn đọc nên ưu tiên sử dụng chỉ nha khoa hoặc tăm nước để tăng hiệu quả làm sạch
Sử dụng nước súc miệng
Dùng nước súc miệng giúp giảm vi khuẩn trong khoang miệng.
Lấy cao răng định kỳ
Đây là biện pháp quan trọng để loại bỏ cao răng - tác nhân khiến viêm nha chu nặng hơn.
Bỏ thuốc lá
Người hút thuốc có nguy cơ viêm nha chu cao gấp 2 - 3 lần người không hút. Cai thuốc là bước quan trọng để phục hồi mô nha chu.
Chế độ ăn lành mạnh
- Tăng cường rau xanh, trái cây giàu vitamin C để hỗ trợ nướu khỏe mạnh;
- Hạn chế đồ ngọt, nước có gas, rượu - bia.
Thăm khám răng miệng định kỳ
Khám răng 2 lần mỗi năm giúp phát hiện sớm dấu hiệu viêm nha chu ngay khi mới khởi phát.
Tóm lại, viêm nha chu là bệnh lý răng miệng nguy hiểm nhưng lại rất dễ bị bỏ qua do tiến triển âm thầm và ít gây đau ở giai đoạn đầu. Khi không được phát hiện và điều trị kịp thời, viêm nha chu có thể dẫn đến những hậu quả nghiêm trọng như tiêu xương ổ răng, tụt nướu, răng lung lay và mất răng vĩnh viễn, ảnh hưởng lớn đến sức khỏe cũng như chất lượng cuộc sống. Nếu bạn đang gặp các dấu hiệu nghi ngờ viêm nha chu như nướu sưng đỏ, chảy máu, hơi thở hôi kéo dài hay răng có dấu hiệu lung lay… hãy chủ động đến các cơ sở nha khoa uy tín để được thăm khám và tư vấn sớm. Hệ thống Y tế MEDLATEC với Tổng đài 1900 56 56 56 sẵn sàng hỗ trợ người dân trong thăm khám, điều trị các bệnh lý Răng hàm mặt nói riêng và sức khỏe tổng quát nói chung.
Lựa chọn dịch vụ
Quý khách hàng vui lòng lựa chọn dịch vụ y tế theo nhu cầu!