Tin tức
Bệnh nhân hoại tử chỏm xương đùi may mắn tránh được phẫu thuật thay khớp háng nhờ phát hiện sớm và điều trị hiệu quả tại MEDLATEC
- 22/09/2020 | PGS. TS Nguyễn Mai Hồng - Chuyên gia Cơ xương khớp có 35 năm kinh nghiệm
- 03/09/2025 | Khám và điều trị bệnh cơ xương khớp cùng PGS.TS.BSCC Nguyễn Mai Hồng - chuyên gia hơn 40 năm...
- 23/10/2025 | Đi khám vì triệu chứng bệnh lý cơ xương khớp tình cờ phát hiện u tế bào thần kinh
Cảnh báo tình trạng hoại tử chỏm xương đùi từ dấu hiệu bệnh lý Cơ xương khớp
Suốt 1 tháng nay, bác Đ.Đ.B. (55 tuổi, Thái Bình) xuất hiện tình trạng đau khớp háng trái, đau tăng khi vận động mặc dù trước đó không có bất kỳ chấn thương nào. Một tuần trở lại đây cơn đau tăng lên liên tục, đau nhiều về đêm.
Bác B. tới một cơ sở y tế tại Hà Nội thăm khám và được chẩn đoán mắc hoại tử vô mạch chỏm xương đùi hai bên, chỉ định phẫu thuật thay khớp háng (hẹn phẫu thuật sau 1 tuần).
Chưa thật sự yên tâm với phương án này, bác B. đã tìm đến Bệnh viện Đa khoa MEDLATEC với hy vọng có thể tìm ra hướng điều trị hiệu quả hơn, giúp bảo tồn khớp tự nhiên.
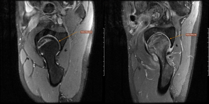
Tại đây, bác được các bác sĩ tiến hành thăm khám toàn diện, thực hiện chụp MRI khớp háng hai bên và xác định tình trạng hoại tử vô khuẩn chỏm cầu xương đùi (bên trái độ III, bên phải độ II theo phân loại ARCO) kết hợp viêm cơ khép háng trái và viêm cơ khép - chính là nguyên nhân gây đau.

Hình ảnh hoại tử vô khuẩn chỏm xương đùi hai bên, ưu thế bên trái
Dựa trên kết quả, thay vì phẫu thuật, bác sĩ đã cho bệnh nhân nhập viện điều trị thuốc chống viêm, giãn cơ kết hợp phương pháp tiêm huyết tương giàu tiểu cầu (PRP) - kỹ thuật tiên tiến giúp phục hồi mô xương, giảm viêm, tăng sinh mạch máu và thúc đẩy tái tạo tế bào.
Bệnh nhân được chỉ định điều trị bằng phương pháp tiêm huyết tương giàu tiểu cầu khớp háng 2 bên. Nhờ áp dụng phác đồ phù hợp, bệnh nhân đáp ứng tốt sau 1 tuần điều trị và ra viện với tình trạng đau ít, cải thiện 70-80% so với thời điểm nhập viện. Sau 3 tuần tái khám tiêm huyết tương giàu tiểu cầu, bệnh nhân vận động ổn định.
Vai trò của phương pháp tiêm huyết tương giàu tiểu cầu (PRP) trong điều trị hoại tử chỏm xương đùi
Hoại tử vô mạch chỏm xương là tình trạng chết các tế bào xương do gián đoạn cung cấp máu dưới sụn. Nó thường ảnh hưởng đến các đầu xương dài, gặp nhiều nhất ở chỏm xương đùi. Các yếu tố nguy cơ có liên quan đến tình trạng này bao gồm:
- Chấn thương: Trật khớp háng tái diễn, gãy xương…;
- Không do chấn thương: Rối loạn chuyển hóa (đái tháo đường, rối loạn chuyển hóa lipid máu...), nghiện rượu, hút thuốc lá, bệnh lý tăng đông, tắc mạch tự phát, bệnh tự miễn…;
- Công việc: Thợ lặn, công nhân hầm mỏ, thợ mộc…
Bệnh gặp chủ yếu ở nam giới (chiếm khoảng 80%) và tuổi trung bình 40 - 50. Nhưng hiện nay, bệnh đang có xu hướng trẻ hóa dần, đặc biệt ở nhóm nam thanh niên khoảng 30 tuổi đã có biểu hiện bệnh hoại tử chỏm xương đùi.
Biến chứng của hoại tử chỏm xương đùi rất nguy hiểm, có thể dẫn đến sự phá hủy và xẹp lún chỏm xương đùi, viêm khớp nặng, thoái hóa khớp háng sớm và tàn phế, nếu không được điều trị kịp thời.
Hiện nay có nhiều phương pháp được ứng dụng trong điều trị hoại tử chỏm xương đùi, trong đó kỹ thuật tiêm huyết tương giàu tiểu cầu (PRP) mang lại nhiều tín hiệu khả quan. Bệnh nhân đáp ứng tốt nếu hoại tử giai đoạn sớm.

Phương pháp tiêm huyết tương giàu tiểu cầu (PRP) mang lại nhiều tín hiệu khả quan trong điều trị hoại tử chỏm xương đùi
Huyết tương giàu tiểu cầu (PRP) là chế phẩm sinh học thu được từ máu ngoại vi của chính bệnh nhân, sau khi được ly tâm để tập trung tiểu cầu ở nồng độ cao hơn mức sinh lý (thường 3-5 lần). PRP chứa nhiều yếu tố tăng trưởng như: PDGF, TGF-β, VEGF, IGF-1.
ThS.BSCKII Trịnh Thị Nga - Trưởng Chuyên khoa Cơ xương khớp, Hệ thống Y tế MEDLATEC khẳng định những ứng dụng quan trọng của phương pháp này bao gồm:
- Kích thích lành vết thương: Giải phóng yếu tố tăng trưởng, kích thích nguyên bào sợi, nguyên bào sụn;
- Tăng sinh mạch máu: VEGF thúc đẩy hình thành mạch máu mới, cải thiện nuôi dưỡng chỏm xương;
- Giảm viêm: Điều hòa các cytokine, ức chế phản ứng viêm mạn tính;
- Thúc đẩy tổng hợp collagen: Cân bằng quá trình dị hóa - đồng hóa mô sụn, xương.
Ngoài ra, bác sĩ Nga đưa ra khuyến cáo: “Người bệnh nên nghĩ đến bệnh hoại tử chỏm xương đùi khi thấy mình nằm trong nhóm nguy cơ cao và kèm theo có biểu hiện đau khớp háng 1 bên hay 2 bên, đặc biệt khi ngồi xổm, dạng khép khớp háng, xoay trong xoay ngoài khớp háng, đau khi đi nhiều hay đứng lâu và giảm khi nghỉ ngơi, hoặc có biểu hiện đau khớp gối dai dẳng mà chưa tìm ra nguyên nhân tổn thương tại khớp gối. Người bệnh cần đi khám tại các bệnh viện lớn có chuyên khoa Cơ xương khớp để được chẩn đoán sớm và điều trị”.
Người dân cần chủ động thăm khám sớm nếu xuất hiện các dấu hiệu nghi ngờ
Hiện nay, phương pháp tiêm huyết tương giàu tiểu cầu nói riêng cùng nhiều kỹ thuật hiện đại khác nói chung đã và đang được ứng dụng hiệu quả tại Chuyên khoa Cơ xương khớp - Bệnh viện Đa khoa MEDLATEC, mang lại hiệu quả điều trị cao cho người bệnh.
Với đội ngũ chuyên gia, bác sĩ giàu kinh nghiệm, trang thiết bị chẩn đoán hình ảnh tiên tiến và phác đồ điều trị cá thể hóa, MEDLATEC giúp người bệnh giảm đau nhanh, phục hồi vận động sớm, bảo tồn khớp tối đa và hạn chế đáng kể nguy cơ phải phẫu thuật.

Người dân xuất hiện các dấu hiệu nghi ngờ cần được chẩn đoán chính xác sớm và đưa ra phương án điều trị phù hợp, hiệu quả.
Mọi thông tin tìm hiểu về dịch vụ khám chữa bệnh tại Hệ thống Y tế MEDLATEC, người dân vui lòng liên hệ qua Tổng đài 1900 56 56 56.
Nhằm giúp người dân tiết kiệm tối đa chi phí khi khám chữa bệnh, Hệ thống Y tế MEDLATEC triển khai Thẻ 555, theo đó, người dân chỉ cần “đầu tư” 555.000 đồng là có ngay quyền lợi đặc biệt cho 10 thành viên trong gia đình kéo dài trong 1 năm, cụ thể như sau:
|
Bình luận ()
Lựa chọn dịch vụ
Quý khách hàng vui lòng lựa chọn dịch vụ y tế theo nhu cầu!