Tin tức
Chủ quan khối u ở tuổi già, cụ bà 75 tuổi phát hiện ung thư vú giai đoạn xâm nhập
Tuổi cao không đồng nghĩa với “miễn nhiễm” ung thư vú
Vừa qua, Bệnh viện Đa khoa MEDLATEC tiếp nhận bà N.A.T (75 tuổi) đến thăm khám trong tình trạng có khối u tại vú trái. Bà T. cho biết, bản thân chỉ nghĩ đơn giản đó là những thay đổi lão hóa tự nhiên của tuổi già.
Tại MEDLATEC, bệnh nhân được TTND.PGS.TS.BSCC Đoàn Hữu Nghị - Nguyên Giám đốc Bệnh viện E, Nguyên Phó Giám đốc Bệnh viện K, Phó Chủ tịch Hội ung thư Hà Nội, Chuyên gia Ung bướu tại Hệ thống Y tế MEDLATEC – trực tiếp thăm khám và chỉ đạo chẩn đoán.
Bằng kinh nghiệm lâm sàng dày dạn, PGS.TS Đoàn Hữu Nghị nhận định đây là tổn thương nghi ngờ ác tính cao và chỉ định thực hiện các chẩn đoán cận lâm sàng chuyên sâu để "truy vết" bản chất khối u.
Chụp X-quang tuyến vú kỹ thuật số (Mammography) phát hiện nốt tăng đậm độ nhu mô vú trái, phân loại BIRADS 5.
Trên siêu âm tuyến vú cho thấy hình ảnh nhân tuyến vú trái (BIRADS 5), kèm hạch hố nách hai bên.
Kết quả chụp CT lồng ngực ghi nhận hình ảnh khối u tuyến vú trái.

Chụp X-quang tuyến vú ghi nhận nốt tăng đậm độ nhu mô vú trái, phân loại BIRADS 5

Trên siêu âm cho thấy hình ảnh nhân tuyến vú trái (BIRADS 5), kèm hạch hố nách hai bên
Để xác định chính xác bản chất tổn thương, PGS. Nghị đã chỉ định thực hiện sinh thiết dưới hướng dẫn của siêu âm. Mẫu bệnh phẩm nhanh chóng được chuyển tới Trung tâm Giải phẫu bệnh MEDLATEC để phân tích chuyên sâu.
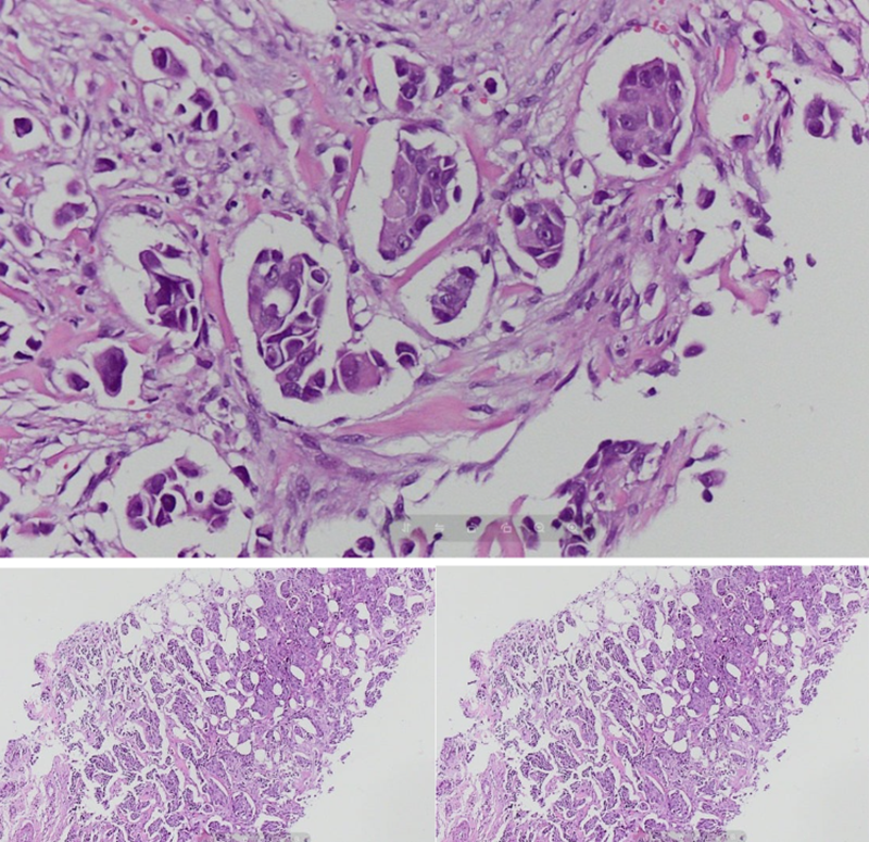
Kết quả xét nghiệm mô bệnh học thường quy (nhuộm Hematoxylin - Eosin) xác định bệnh nhân mắc Carcinoma tuyến vú thể ống xâm nhập (NST), độ mô học II.

Xét nghiệm mô bệnh học xác định bệnh nhân mắc Carcinoma tuyến vú thể ống xâm nhập
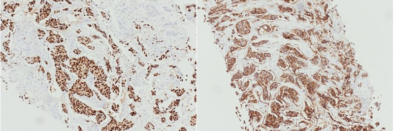
Tuy nhiên, để đánh giá chính xác tiên lượng và xây dựng phác đồ điều trị tối ưu, cần thực hiện thêm xét nghiệm hóa mô miễn dịch (HMMD) với bộ 4 dấu ấn đặc hiệu (ER, PR, HER-2, Ki-67). Kết quả đây là Carcinoma tuyến vú xâm nhập, phân típ phân tử lòng ống B (Luminal B), HER-2 dương tính 3+.

Xét nghiệm hóa mô miễn dịch cho kết quả Carcinoma tuyến vú xâm nhập, phân típ phân tử lòng ống B (Luminal B), HER-2 dương tính 3+
Căn cứ vào kết quả trên, bác sĩ chẩn đoán bà T. mắc ung thư tuyến vú biểu mô thể ống xâm nhập, độ mô học II.
Với kết quả mô bệnh học và HMMD thực hiện tại MEDLATEC, các bác sĩ đã có đầy đủ căn cứ để lựa chọn thuốc điều trị đích hiệu quả nhất. Hiện tại bệnh nhân đã truyền hóa chất 3 đợt, đáp ứng tốt, khối u nhỏ hơn 50% so với thời điểm khám.
Giải phẫu bệnh: "Tiêu chuẩn vàng" giúp giải mã bản chất và cá thể hóa điều trị khối u

Trung tâm Giải phẫu bệnh MEDLATEC thực hiện đầy đủ các xét nghiệm về mô bệnh học và hóa mô miễn dịch
Theo PGS Đoàn Hữu Nghị, ung thư tuyến vú xâm nhập là ung thư vú thường gặp nhất, có khả năng tiến triển và di căn nếu không được phát hiện kịp thời.
Nếu Chẩn đoán hình ảnh (siêu âm, X-quang, MRI) giúp bác sĩ "nhìn thấy" khối u, thì Giải phẫu bệnh giúp bác sĩ "thấu hiểu" khối u. Tầm quan trọng của chuyên khoa này được thể hiện rõ qua các khía cạnh:
- Xác định bản chất thực sự: Phân biệt chính xác giữa khối u lành tính và ác tính (ung thư);
- Định danh loại mô học: Ung thư vú không chỉ có một loại. Giải phẫu bệnh giúp xác định là ung thư biểu mô ống hay thùy, từ đó dự báo mức độ xâm lấn;
- Xác định "đặc tính sinh học" (Hóa mô miễn dịch): Đây là bước tiến hiện đại giúp xác định các thụ thể nội tiết (ER, PR) hay protein HER2;
- Đánh giá mức độ ác tính (Grading): Cho biết tế bào ung thư phát triển nhanh hay chậm, giúp tiên lượng khả năng tái phát.
Ở người cao tuổi, các triệu chứng ung thư vú thường diễn tiến âm thầm, dễ bị nhầm lẫn hoặc bỏ sót. Việc thực hiện sinh thiết và xét nghiệm giải phẫu bệnh không chỉ giúp phát hiện sớm mà còn là tiền đề để xây dựng chiến lược "điều trị trúng đích".
Sự nhạy bén của các chuyên gia kết hợp với kết quả giải phẫu bệnh chính xác, giúp bệnh nhân tránh được các tác dụng phụ không mong muốn từ những liệu pháp không phù hợp.
Địa chỉ uy tín khám, tầm soát ung thư vú

TTND.PGS.TS.BSCC Đoàn Hữu Nghị là một trong những chuyên gia đầu ngành chuyên khoa Ung bướu
Trường hợp ca bệnh trên tiếp tục khẳng định năng lực chẩn đoán chuyên sâu và mô hình đa chuyên khoa hiệu quả tại Hệ thống Y tế MEDLATEC.
Bằng sự nhạy bén trong lâm sàng, hệ thống trang thiết bị hiện đại, cùng việc phối hợp chặt chẽ giữ các chuyên khoa (Lâm sàng – Xét nghiệm – Chẩn đoán hình ảnh – Giải phẫu bệnh), các bác sĩ đã xác định chính xác đặc tính sinh học, mức độ ác tính của khối u, từ đó đánh giá chính xác tiên lượng và xây dựng phác đồ điều trị tối ưu cho bệnh nhân.
Lựa chọn thăm khám, tầm soát ung thư vú tại MEDLATEC, người dân hoàn toàn an tâm bởi sở hữu những năng lực vượt trội sau:
- Quy tụ đội ngũ chuyên gia, bác sĩ đầu ngành lĩnh vực Ung bướu, Chẩn đoán hình ảnh, Giải phẫu bệnh, Xét nghiệm;
- Là đơn vị y tế đầu tiên sở hữu dịch vụ xét nghiệm đạt Thương hiệu Quốc gia Việt Nam và tiên phong quản lý chất lượng xét nghiệm bằng hai tiêu chuẩn quốc tế song hành CAP, ISO 15189:2022.
- Mô hình Trung tâm Chẩn đoán hình ảnh “không khoảng cách”, đáp ứng chẩn đoán hình ảnh từ xa, nhanh chóng, chính xác. Hệ thống thiết bị đồng bộ, hiện đại như máy MRI, CT/MSCT, máy X-quang, máy chụp cắt lớp vi tính, Fibroscan, siêu âm.
- Trung tâm Giải phẫu bệnh có năng lực đáp ứng hơn 150.000 xét nghiệm mỗi năm gồm: tế bào học, mô bệnh học, hóa mô miễn dịch và đột biến gen. Thời gian trả kết quả nhanh, kịp thời để phục vụ tối đa nhu cầu chẩn đoán chính xác các bệnh lý u, nghi ngờ u.
Người dân vui lòng liên hệ tổng đài MEDLATEC 1900 56 56 56 để được hỗ trợ đặt lịch thăm khám/ xét nghiệm kịp thời.
Bình luận ()
Lựa chọn dịch vụ
Quý khách hàng vui lòng lựa chọn dịch vụ y tế theo nhu cầu!