Tin tức
Chưa từng khám vú định kỳ, người phụ nữ 41 tuổi đến MEDLATEC phát hiện ung thư
- 28/07/2025 | Cách nhận biết ung thư vú và phương pháp phòng bệnh
- 15/08/2025 | Xét nghiệm ung thư vú và các phương pháp chẩn đoán phổ biến khác
- 23/10/2025 | Tầm quan trọng của siêu âm vú định kỳ trong phòng ngừa ung thư vú
- 10/12/2025 | Chụp nhũ ảnh: Phương pháp quan trọng trong tầm soát ung thư vú
Người phụ nữ 41 tuổi lần đầu khám vú đã phát hiện ung thư
Chị N.T.T. (41 tuổi, Hà Nội) đến Phòng khám Đa khoa MEDLATEC Tây Hồ thăm khám khi xuất hiện khối ở vùng ngực. Khoảng 1 tháng trước khi đến khám, chị T. thấy khối và thỉnh thoảng đau tức ở vú phải.
Tại phòng khám, khai thác tiền sử ghi nhận, bệnh nhân chưa từng đi khám hay siêu âm tuyến vú trước đây. Bệnh nhân đã sinh hai con, chu kỳ kinh nguyệt đều và trong gia đình không ghi nhận trường hợp mắc ung thư vú.
Thăm khám lâm sàng thấy, bệnh nhân tỉnh táo, chỉ số sinh tồn ổn định với huyết áp 110/60 mmHg, mạch 80 lần/phút, nhiệt độ 36,8°C; cân nặng 56 kg, chiều cao 156 cm. Tại vú phải, vị trí khoảng 8 giờ sát núm vú sờ thấy khối kích thước khoảng 2x4 cm, mật độ chắc, ranh giới không rõ, di động kém, ấn hơi đau; núm vú không tụt và không có dịch bất thường; vú trái không phát hiện khối bất thường. Hai bên nách, mỗi bên ghi nhận một hạch kích thước khoảng 1 cm, mật độ mềm, ranh giới rõ, di động và không đau.
Kết quả siêu âm tuyến vú phát hiện đám giảm âm kèm giãn ống tuyến vú phải, được phân loại BIRADS 4 – mức độ nghi ngờ tổn thương ác tính. Chụp X-quang tuyến vú ghi nhận nốt vôi hóa tập trung thành đám tại vú phải, phân loại BIRADS 4B.

Hình ảnh siêu âm tuyến vú phát hiện đám giảm âm kèm giãn ống tuyến vú phải

Chụp X-quang tuyến vú ghi nhận nốt vôi hóa tập trung thành đám tại vú phải
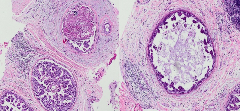
Để xác định bản chất tổn thương, bệnh nhân được thực hiện sinh thiết lấy mẫu gửi Trung tâm Giải phẫu bệnh MEDLATEC làm mô bệnh học. Kết quả cho thấy hình ảnh phù hợp với ung thư biểu mô ống tại chỗ.

Hình ảnh giải phẫu bệnh cho thấy phù hợp với ung thư biểu mô ống tại chỗ
Dựa trên các kết quả thăm khám, bác sĩ chẩn đoán bệnh nhân mắc ung thư vú phải. Sau đó, người bệnh được tư vấn và hướng dẫn điều trị theo tuyến chuyên khoa nhằm có phương án can thiệp kịp thời và phù hợp.
Ung thư vú – Căn bệnh nguy hiểm và phổ biến nhưng lại dễ bị bỏ sót ở phụ nữ
Ung thư vú hiện là loại ung thư có số ca mắc nhiều nhất tại Việt Nam. Số liệu từ Globocan năm 2022 cho thấy, nước ta ghi nhận 24.563 ca mới mắc ung thư vú và hơn 10.008 ca tử vong, chiếm 13,6% tổng số ca ung thư và gần 28,9% các ca ung thư ở nữ giới.
Theo BSCKI. Đoàn Như Hoa – Phòng Lâm sàng, Phòng khám Đa khoa MEDLATEC Tây Hồ, ung thư vú thường diễn tiến âm thầm trong giai đoạn đầu, nhiều bệnh nhân hầu như không có triệu chứng rõ ràng. Các dấu hiệu như khối bất thường ở vú, thay đổi da vùng vú hay chảy dịch núm vú thường chỉ xuất hiện khi bệnh đã tiến triển. Vì vậy, không ít trường hợp chỉ phát hiện bệnh khi khối u đã lớn hoặc khi người bệnh tình cờ đi khám sức khỏe.

Ung thư vú là loại phổ biến nhất trong các bệnh ung thư tại Việt Nam. Ảnh minh họa
Hiện nay, ung thư vú có tiên lượng điều trị rất tốt nếu được phát hiện sớm và can thiệp kịp thời. Nhờ sự phát triển của các phương tiện chẩn đoán như siêu âm tuyến vú và chụp X-quang tuyến vú (nhũ ảnh), nhiều tổn thương có thể được phát hiện ngay cả khi chưa sờ thấy khối u. Trong đó, tầm soát kết hợp siêu âm và X-quang tuyến vú được xem là phương pháp hiệu quả để phát hiện sớm các bất thường của tuyến vú, giúp tăng cơ hội điều trị thành công.
Bác sĩ Hoa khuyến cáo, phụ nữ nên chủ động tầm soát ung thư vú theo độ tuổi và yếu tố nguy cơ. Cụ thể, phụ nữ từ 20–39 tuổi nên khám chuyên khoa vú khoảng 3 năm/lần và siêu âm tuyến vú mỗi năm một lần. Phụ nữ từ 40 tuổi trở lên nên chụp nhũ ảnh định kỳ 1–2 năm/lần kết hợp siêu âm vú hàng năm để nâng cao khả năng phát hiện sớm. Đối với nhóm nguy cơ cao như người mang đột biến gen BRCA1/BRCA2 hoặc có người thân trong gia đình mắc ung thư vú, việc tầm soát nên thực hiện sớm hơn, từ khoảng 35 tuổi, đồng thời kết hợp cả siêu âm và chụp X-quang tuyến vú nhằm phát hiện bệnh ngay từ giai đoạn sớm nhất.
MEDLATEC làm chủ công nghệ hiện đại trong tầm soát ung thư vú
Với lịch sử 30 năm hình thành và phát triển, Hệ thống Y tế MEDLATEC tự hào là đơn vị y tế được đông đảo chị em phụ nữ trên cả nước tin tưởng, lựa chọn làm nơi thăm khám bệnh, đặc biệt là trong tầm soát ung thư vú.
MEDLATEC quy tụ đội ngũ chuyên gia, bác sĩ giàu kinh nghiệm trong các lĩnh vực Sản khoa, Ung bướu và Chẩn đoán hình ảnh, hỗ trợ đánh giá chính xác tổn thương và tư vấn hướng xử trí phù hợp cho người bệnh.
Bên cạnh đó, MEDLATEC sở hữu Trung tâm Chẩn đoán hình ảnh được đầu tư hiện đại, làm chủ nhiều công nghệ tầm soát ung thư vú như siêu âm tuyến vú và chụp X-quang tuyến vú (nhũ ảnh). Song song với đó là Trung tâm Giải phẫu bệnh - đây chính là “tiêu chuẩn vàng” giúp xác định bản chất tổn thương là lành tính hay ác tính, từ đó định hướng phương án điều trị chính xác.
Sự kết hợp chặt chẽ giữa chẩn đoán hình ảnh và giải phẫu bệnh giúp bác sĩ nâng cao độ chính xác trong chẩn đoán và rút ngắn thời gian phát hiện bệnh. Nhờ đó, “phái đẹp” hoàn toàn có thể an tâm khi lựa chọn MEDLATEC làm nơi tầm soát và phát hiện sớm ung thư vú.

Siêu âm tuyến vú định kỳ có thể giúp phát hiện sớm những bất thường, giúp tăng cơ hội điều trị thành công
Ngoài ra, để giúp người dân tiết kiệm tối đa chi phí khi khám chữa bệnh, MEDLATEC triển khai Thẻ 555 với chi phí chỉ 555.000 VNĐ, người dân có ngay quyền lợi cho 10 thành viên trong gia đình kéo dài trong 1 năm, cụ thể như sau:
- Miễn phí 10 lần khám và tư vấn;
- Giảm 15% dịch vụ y tế phát sinh (áp dụng gần 2.500 danh mục, dịch vụ) và dịch vụ lấy mẫu xét nghiệm tận nơi;
- Đặc biệt, từ nay đến ngày 31/03/2026, khi mua thẻ mới kích hoạt ngay, người dân còn được hưởng ưu đãi cực lớn gồm: miễn phí xét nghiệm Cholesterol, AST (GOT); giảm 50% phí siêu âm ổ bụng, siêu âm thai 2D, nội soi tai mũi họng ống mềm; giảm 30% phí chụp MRI não, mạch não không tiêm chất tương phản; giảm 20% phí chẩn đoán hình ảnh, HPV tự lấy mẫu, NIPT, Spot-Mas 10…
Link đăng ký mua thẻ 555 tại đây: https://medlatec.vn/dich-vu/the-555
Đặt lịch tầm soát ung thư vú tại MEDLATEC, chị em phụ nữ vui lòng liên hệ tổng đài 1900 56 56 56 để được tư vấn, hỗ trợ.
Bình luận ()
Lựa chọn dịch vụ
Quý khách hàng vui lòng lựa chọn dịch vụ y tế theo nhu cầu!