Tin tức
Hội chứng Sturge-Weber hiếm gặp: Phát hiện tình cờ ở nữ bệnh nhân trẻ tuổi khi đi khám vì đau đầu, nhìn mờ
- 30/10/2025 | Đau đầu vú khi cho con bú: Dấu hiệu, nguyên nhân và mẹo giảm đau hiệu quả
- 13/01/2026 | Đau đầu vú khi chạm vào ở nữ giới: Cảnh báo những nguyên nhân không nên chủ quan
- 17/01/2026 | Đau đầu kéo dài suốt 1 năm, người phụ nữ 25 tuổi đi khám phát hiện nguyên nhân ít ngờ t...
Khoảng 1 tuần nay, chị N.H.A. (27 tuổi, Hà Nội) xuất hiện triệu chứng đau đầu, chóng mặt, nhìn mờ. Cùng với đó là tình trạng thấy nhức mắt, chói mắt, thi thoảng thấy ánh sáng nhiễu trước mắt hay ruồi bay. Chị A. tới Bệnh viện Đa khoa MEDLATEC thăm khám.
Quá trình thăm hỏi bệnh phát hiện bệnh nhân có tiền sử động kinh, đôi khi ngất, đã điều trị nhưng không cải thiện triệu chứng.
Bác sĩ tiến hành thăm khám lâm sàng và chỉ định các kỹ thuật cận lâm sàng cần thiết phục vụ chẩn đoán. Một trong những dấu hiệu dễ nhận biết ở người bệnh đó là sự biến đổi sắc tố da ở vị trí trán cung mày phải.

Bệnh nhân có vết bớt rượu vang vùng trán cung mày phải
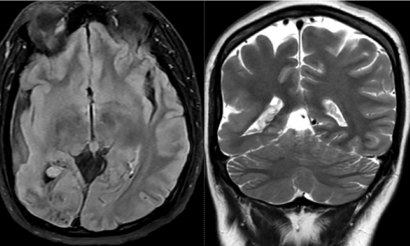
Đáng chú ý, trên phim chụp MRI sọ não phát hiện hình ảnh đám tổn thương cũ có vôi hóa, teo não thùy chẩm phải (vùng xuất phát của tia thị giác). Phì đại đám rối mạch mạc trong não thất bên phải. Thiểu sản động mạch đốt sống bên phải đoạn nội sọ.

Bất thường được phát hiện trên phim chụp MRI sọ não
Dựa vào các dấu hiệu lâm sàng điển hình và kết quả cận lâm sàng đã thực hiện, chẩn đoán xác định, bệnh nhân mắc hội chứng Sturge-Weber. Bác sĩ tư vấn theo dõi và lên phác đồ điều trị nội khoa cho bệnh nhân.
Hội chứng Sturge-Weber (SWS) là rối loạn bẩm sinh với bất thường mạch máu, điển hình với ba vị trí da mặt, màng não, màng mạch mắt. Hội chứng này rất hiếm gặp, tỷ lệ mắc bệnh là 1/20.000 - 50.000. Nguyên nhân được xác định không phải bệnh lây hay di truyền mà là do đột biến xuất hiện ngẫu nhiên từ giai đoạn bào thai.
Các triệu chứng của hội chứng Sturge-Weber có thể khác nhau đáng kể. Những người bị hội chứng Sturge-Weber có thể gặp phải:
- Vết bớt màu rượu vang (Port-wine stain): Đây là triệu chứng phổ biến nhất, thường xuất hiện ở vùng mặt và có màu đỏ hoặc tím, không biến mất theo thời gian;
- Động kinh: Khoảng 75 - 90% bệnh nhân mắc SWS có biểu hiện động kinh, thường bắt đầu trong những năm đầu đời;
- Tăng áp lực nội sọ: Do các bất thường về mạch máu trong não, bệnh nhân có thể bị tăng áp lực nội sọ, gây ra các triệu chứng như nhức đầu, buồn nôn và nôn mửa;

Người dân không nên chủ quan trước các triệu chứng đau đầu, chóng mặt (Ảnh minh họa - Nguồn: Intenet)
- Các vấn đề về mắt: Bệnh nhân có thể gặp các vấn đề như glaucoma (tăng nhãn áp), mất thị lực và các bất thường khác về mắt;
- Chậm phát triển và các vấn đề về học tập: Một số bệnh nhân có thể gặp khó khăn trong học tập và phát triển trí tuệ.
Các biến chứng có thể gặp khi mắc hội chứng Sturge-Weber bao gồm:
- Mất thị lực hoặc thính giác;
- Động kinh;
- Liệt tứ chi;
- Tử vong.
Chẩn đoán hội chứng Sturge-Weber thường dựa trên các biểu hiện lâm sàng (như bớt rượu vang đặc trưng) và các kỹ thuật hình ảnh y học như:
- Chụp cộng hưởng từ (MRI): Đây là phương pháp chính để xác định các bất thường mạch máu trong não;
- Chụp cắt lớp vi tính (CT scanner): Giúp phát hiện các bất thường về cấu trúc não;
- Kiểm tra mắt: Để phát hiện các vấn đề về mắt như glaucoma;
- Các xét nghiệm khác có thể bao gồm điện não đồ (EEG) để kiểm tra hoạt động điện của não và các xét nghiệm huyết học để đánh giá tình trạng sức khỏe tổng quát.
Hiện tại, không có biện pháp phòng ngừa cụ thể cho hội chứng Sturge-Weber, do đây là một rối loạn bẩm sinh. Việc phát hiện sớm và kiểm soát tốt các triệu chứng là quan trọng nhất để cải thiện chất lượng cuộc sống của bệnh nhân.
Hội chứng Sturge-Weber là một bệnh lý hiếm gặp và phức tạp, nhưng với sự tiến bộ trong y học, nhiều phương pháp điều trị hiệu quả đã được phát triển để giúp bệnh nhân kiểm soát các triệu chứng và cải thiện chất lượng cuộc sống. Điều quan trọng đó là việc người dân khi xuất hiện triệu chứng đau đầu, chóng mặt cần chủ động đến các cơ sở y tế để được được thăm khám và chẩn đoán chính xác.
Hệ thống Y tế MEDLATEC nói chung và Bệnh viện Đa khoa MEDLATEC nói riêng quy tụ đội ngũ bác sĩ chuyên khoa giàu kinh nghiệm, cùng hệ thống trang thiết bị chẩn đoán hiện đại, đáp ứng tốt yêu cầu phát hiện và điều trị các bệnh lý phức tạp, hiếm gặp. Nhờ đó, nhiều trường hợp bệnh lý khó, diễn tiến âm thầm đã được phát hiện sớm và điều trị hiệu quả, giúp người bệnh tránh được những biến chứng nguy hiểm.

Hệ thống Y tế MEDLATEC trang bị hệ thống trang thiết bị hiện đại phục vụ quá trình chẩn đoán chuyên sâu
Để giúp người dân tiết kiệm tối đa chi phí khi khám chữa bệnh, MEDLATEC triển khai Thẻ 555. Với thẻ này, người dân chỉ cần “đầu tư” 555.000 VNĐ sẽ được hưởng ngay quyền lợi cho 10 thành viên trong gia đình kéo dài suốt 1 năm. Khám phá chi tiết ưu đãi và đăng ký mua thẻ TẠI ĐÂY.
Người dân có nhu cầu thăm khám sức khỏe tại MEDALTEC, vui lòng liên hệ qua Tổng đài 1900 56 56 56 để được hỗ trợ nhanh chóng, kịp thời.
Bình luận ()
Lựa chọn dịch vụ
Quý khách hàng vui lòng lựa chọn dịch vụ y tế theo nhu cầu!