Tin tức
Người đàn ông mắc viêm đa xoang cấp mủ do sai lầm nhiều người mắc phải
- 04/03/2021 | Viêm đa xoang: nguyên nhân, triệu chứng và phương pháp điều trị
- 03/06/2021 | Viêm đa xoang là gì và triệu chứng điển hình của bệnh
- 22/03/2022 | Viêm đa xoang và những điều người bệnh nên biết!
Chủ quan với triệu chứng viêm - mũi họng, người đàn ông nhận chẩn đoán viêm đa xoang cấp mủ
Khoảng 2 tuần nay, anh N.N.K. (35 tuổi, Hà Nội) xuất hiện các triệu chứng đau đầu kèm ngạt mũi, chảy nước mũi và đau rát họng. Nghĩ là viêm mũi - họng, Anh K. đã tự ý mua kháng sinh về sử dụng 2 đợt (mỗi đợt 3 ngày), không rõ loại thuốc. Tuy nhiên, các triệu chứng không thuyên giảm mà có xu hướng kéo dài. Anh K. quyết định đến Phòng khám Đa khoa MEDLATEC Tây Hồ thăm khám.
Qua thăm khám và hỏi bệnh, anh K. có tình trạng đau nhức vùng sọ mặt kèm ngạt mũi, chảy nước mũi, ho rát họng.
Kết quả nội soi tai mũi họng cho thấy niêm mạc mũi phù nề, xuất hiện dịch mủ tại khe mũi giữa; niêm mạc họng nề đỏ, gợi ý tình trạng viêm nhiễm rõ rệt. Xét nghiệm máu ghi nhận số lượng bạch cầu tăng, chủ yếu là bạch cầu đa nhân trung tính, CRP tăng cao - dấu hiệu phản ánh tình trạng viêm cấp. Đồng thời, men gan cũng tăng, nhiều khả năng liên quan đến việc sử dụng thuốc trước đó.
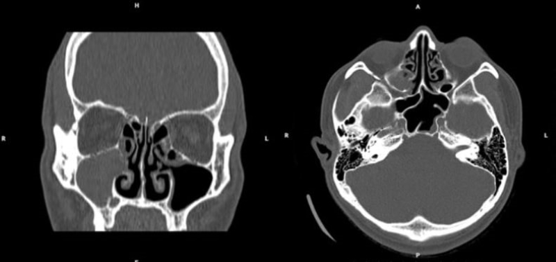
Hình ảnh chụp cắt lớp vi tính xoang cho thấy tình trạng viêm đa xoang mức độ III theo phân độ Lund-Mackay. Đặc biệt, kết quả nuôi cấy và định danh vi khuẩn xác định tác nhân gây bệnh là Haemophilus influenzae - một trong những vi khuẩn thường gặp gây viêm xoang cấp mủ.

Hình ảnh chụp cắt lớp vi tính xoang phát hiện tình trạng viêm đa xoang mức độ III
Chẩn đoán xác định, anh K. mắc viêm đa xoang cấp mủ do Hemophilus influenzae. Bác sĩ chỉ định phác đồ điều trị và tư vấn thói quen sinh hoạt phù hợp, hẹn lịch tái khám.
Sai lầm khi “tự làm bác sĩ” điều trị viêm xoang
Theo ThS. Nguyễn Thị Hồng Tuyết - Chuyên khoa Tai Mũi Họng, Phòng khám Đa khoa MEDLATEC Tây Hồ - người trực tiếp thăm khám và điều trị cho anh K., việc tự ý sử dụng kháng sinh là một trong những sai lầm phổ biến khiến nhiều trường hợp viêm đường hô hấp trên, đặc biệt là viêm xoang, trở nên phức tạp hơn.
“Không phải mọi triệu chứng ngạt mũi, đau họng đều cần dùng kháng sinh. Nếu sử dụng không đúng loại, không đủ liều hoặc ngắt quãng, vi khuẩn không những không bị tiêu diệt hoàn toàn mà còn có nguy cơ kháng thuốc, khiến việc điều trị sau này khó khăn hơn”, ThS. Tuyết cho biết.

Việc tự ý dùng thuốc điều trị xoang có thể gây ra nhiều hệ lụy đối với sức khỏe
Trong trường hợp của anh K., việc dùng kháng sinh không rõ loại trong thời gian ngắn, không theo chỉ định đã không kiểm soát được tác nhân gây bệnh là Haemophilus influenzae, đồng thời làm che lấp triệu chứng, khiến bệnh kéo dài và tiến triển nặng thành viêm đa xoang cấp mủ. Đáng chú ý, kết quả xét nghiệm còn ghi nhận men gan tăng - một dấu hiệu cảnh báo tác động không mong muốn của việc sử dụng thuốc tùy tiện.
ThS. Nguyễn Thị Hồng Tuyết cũng nhấn mạnh rằng, viêm xoang nếu không được phát hiện và điều trị kịp thời có thể dẫn tới nhiều biến chứng nguy hiểm như viêm tai giữa, ù tai, suy giảm thính lực, ảnh hưởng đến thị lực, thậm chí nhiễm trùng lan rộng.
“Người bệnh tuyệt đối không nên tự ‘làm bác sĩ’ tại nhà. Khi có các biểu hiện kéo dài như ngạt mũi, đau đầu, chảy mũi mủ, đau rát họng hoặc sốt, cần đến cơ sở y tế để được thăm khám, chẩn đoán chính xác và điều trị đúng phác đồ”, bác sĩ khuyến cáo.
Những việc cần làm để phòng ngừa viêm xoang hiệu quả
Để hạn chế nguy cơ mắc viêm xoang, đặc biệt là các thể viêm cấp mủ dễ gây biến chứng, mỗi người cần chủ động xây dựng thói quen chăm sóc sức khỏe đường hô hấp đúng cách:
- Giữ ấm cơ thể, đặc biệt vùng mũi - họng: Khi thời tiết thay đổi, nhất là lúc giao mùa, cần giữ ấm cổ, ngực, mũi để tránh nhiễm lạnh - yếu tố thuận lợi gây viêm nhiễm;
- Vệ sinh mũi họng thường xuyên: Rửa mũi bằng nước muối sinh lý giúp làm sạch bụi bẩn, vi khuẩn, giảm nguy cơ viêm nhiễm và hỗ trợ thông thoáng đường thở;
- Đeo khẩu trang khi ra ngoài: Hạn chế tiếp xúc với khói bụi, ô nhiễm môi trường - nguyên nhân hàng đầu gây kích ứng và viêm niêm mạc mũi xoang;
- Tăng cường sức đề kháng: Duy trì chế độ ăn uống đầy đủ dinh dưỡng, bổ sung vitamin (đặc biệt là vitamin C), uống đủ nước và tập luyện thể dục đều đặn để nâng cao hệ miễn dịch;
- Điều trị triệt để các bệnh tai mũi họng: Các bệnh như viêm mũi, viêm họng, viêm amidan nếu không điều trị dứt điểm có thể lan lên xoang, gây viêm xoang;

Người dân cần điều trị triệt để bệnh lý tai mũi họng để tránh tiến triển thành xoang
- Không tự ý dùng thuốc, đặc biệt là kháng sinh: Việc lạm dụng thuốc có thể làm bệnh nặng hơn và gây kháng thuốc. Khi có triệu chứng bất thường kéo dài, cần đi khám để được chẩn đoán và điều trị đúng cách;
- Giữ môi trường sống sạch sẽ: Thường xuyên vệ sinh nhà cửa, hạn chế nấm mốc, bụi bẩn; có thể sử dụng máy lọc không khí nếu cần thiết.
Với 30 năm đồng hành cùng sức khỏe cộng đồng, MEDLATEC khẳng định vị thế là một trong những địa chỉ uy tín hàng đầu trong khám và điều trị các bệnh lý đa chuyên khoa, đặc biệt là chuyên khoa Tai - mũi - họng.
MEDLATEC quy tụ đội ngũ chuyên gia, bác sĩ chuyên khoa Tai - mũi - họng giàu kinh nghiệm, có trình độ chuyên môn sâu, tận tâm với nghề, mang đến sự an tâm cho người bệnh trong suốt quá trình thăm khám và điều trị.
Bên cạnh đó, MEDLATEC còn đầu tư mạnh mẽ vào hệ thống thiết bị y tế tiên tiến, đảm bảo chất lượng chẩn đoán và điều trị, an toàn và thoải mái cho bệnh nhân trong suốt quá trình khám chữa bệnh. Chuyên khoa Tai - mũi - họng sử dụng:
- Máy nội soi ống mềm Olympus, cung cấp hình ảnh sắc nét, tiếp cận các vị trí khó mà không gây đau, hỗ trợ phát hiện sớm các bệnh lý như viêm xoang, polyp mũi hay khối u;
- Hệ thống CT-Scanner 128 dãy, cho phép đánh giá chi tiết tổn thương xoang và cấu trúc vùng đầu cổ, giúp bác sĩ đưa ra phác đồ điều trị phù hợp;
- Hệ thống máy xét nghiệm áp dụng song hành hai tiêu chuẩn ISO 15189:2022 và CAP (Hoa Kỳ), cho phép đáp ứng đầy đủ xét nghiệm để xác định chính xác tác nhân gây bệnh và độ nhạy kháng sinh, tối ưu hóa hiệu quả điều trị.
Cùng với đó, MEDLATEC không ngừng cập nhật công nghệ tiên tiến để mang lại kết quả điều trị vượt trội. Nhiều bệnh nhân viêm mũi xoang cấp và mạn tính đã được điều trị thành công thông qua phẫu thuật nội soi mũi xoang, đạt tỷ lệ hồi phục cao, ít xâm lấn và đảm bảo tính thẩm mỹ.
Để đặt lịch khám chuyên khoa Tai - mũi - họng cùng chuyên gia, bác sĩ tại MEDLATEC, khách hàng liên hệ 1900 56 56 56 để được tư vấn, hỗ trợ.
Bình luận ()
Lựa chọn dịch vụ
Quý khách hàng vui lòng lựa chọn dịch vụ y tế theo nhu cầu!