Tin tức

Các bài đăng được gắn thẻ "cộng hưởng từ"

Thứ Ba, 19 tháng 11, 2024

Cập nhật giá chụp cộng hưởng từ 3.0 Tesla và những thắc m...

Chụp cộng hưởng từ 3.0 Tesla là một trong những phương pháp chẩn đoán hình ảnh hiện đại và chính xác nhất hiện nay. Tuy nhiên, nhiều người vẫn băn khoăn về giá chụp cộng hưởng từ 3.0 Tesla cũng như các thông tin liên quan. Bài viết này sẽ giúp bạn có cái nhìn tổng quan về chi phí, cũng như giải đ...
Thứ Sáu, 12 tháng 5, 2023

Chúc mừng cuốn sách “Cẩm nang Chẩn đoán hình ảnh” chính t...

Sau gần 2 năm triển khai và biên soạn, chiều nay (11/5), chương trình thẩm định, nghiệm thu sách “Cẩm nang Chẩn đoán hình ảnh” (gồm 2 tập) do PGS.TS.BSCC Nguyễn Quốc Dũng chủ biên đã diễn ra tại Tòa nhà hành chính MEDLATEC GROUP. Chương trình diễn ra thành công tốt đẹp, cuốn sách chính thức được...
Thứ Tư, 15 tháng 3, 2023

Tai biến mạch máu não: phát hiện kịp thời và chẩn đoán sớm

Tai biến mạch máu não là tình trạng bệnh lý thường gặp với tỷ lệ tử vong cao, để lại di chứng nặng nề, chi phí điều trị tốn kém. Bệnh thường xảy ra ở người cao tuổi, nhiều bệnh lý nên như tăng huyết áp, đái tháo đường, xơ vữa mạch máu…Bệnh thường xảy ra nhanh, đột ngột với biểu hiện yếu liệt chân...
Thứ Hai, 6 tháng 3, 2023

Chụp cộng hưởng từ có tiêm chất tương phản nội khớp như t...

Các khớp trong cơ thể người có cấu tạo rất phức tạp, cấu thành bởi nhiều bộ phận nhỏ và xếp chồng lên nhau nên đôi khi trên hình ảnh rất khó phân biệt về ranh giới và xác định tổn thương tại bộ phận nào. Chụp cộng hưởng từ có tiêm chất tương phản nội khớp là phương pháp chẩn đoán hình ảnh xâm lấn...
Thứ Hai, 6 tháng 3, 2023

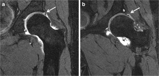
Quy trình chụp cộng hưởng từ khớp háng như thế nào?

Chụp cộng hưởng từ là kỹ thuật rất hiện đại và có nhiều giá trị to lớn trong phát hiện, tầm soát các bệnh lý về khớp háng. Chụp cộng hưởng từ khớp háng giúp quan sát một cách chi tiết, rõ nét về cơ, sụn viền, dây chằng, phần mềm xung quanh khớp háng mà không hề can thiệp gì vào cơ thể, không gây...
Thứ Ba, 28 tháng 2, 2023

Chụp cộng hưởng từ (MRI) tim tại trung tâm chẩn đoán hình...

Tim là bộ phận vô cùng quan trọng, không thể thiếu trong cơ thể, nằm tại trung thất và có chức năng bơm và tống máu chứa oxi đi toàn bộ cơ thể. Chụp cộng hưởng từ tim là kỹ thuật nâng cao được chỉ định khi bác sĩ lâm sàng chẩn đoán các bệnh lý về tim.
Thứ Hai, 9 tháng 1, 2023

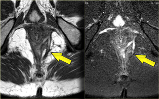
Chụp cộng hưởng từ rò hậu môn để làm gì?

Ngày nay, rò hậu môn là bệnh lý không hề hiếm gặp và mọi đối tượng, mọi lứa tuổi khác nhau đều có nguy cơ mắc phải, đây là bệnh lý không gây nguy hiểm đến tính mạng người bệnh nhưng ảnh hưởng rất lớn đến cuộc sống, sinh hoạt hàng ngày. Rò hậu môn là bệnh lý thường gặp và đứng thứ hai trong các bệ...
Thứ Sáu, 6 tháng 1, 2023

Vai trò của chụp cộng hưởng từ mạch não (MRA) trong chẩn...

Phình động mạch não là một bệnh lý khá phổ biến, khoảng 3-5% dân số bị phình động mạch não nhưng phần lớn họ không hề biết vì không có biểu hiện lâm sàng. Phình động mạch não thường gặp nhiều ở nữ giới hơn ở nam giới, độ tuổi thường gặp phình mạch não từ 40 đến 60 tuổi. Túi phình mạch não nhỏ thư...
Thứ Sáu, 6 tháng 1, 2023

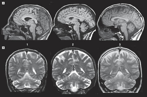
Vai trò của chụp cộng hưởng từ sọ não trong chẩn đoán xun...

Chụp cộng hưởng từ sọ não là kỹ thuật hình ảnh không đau, không xâm lấn được chỉ định chủ yếu trong chẩn đoán các bệnh lý về nhu mô não, mạch máu não, hệ thần kinh qua đó có thể giúp phát hiện xung đột mạch máu - thần kinh.

Lựa chọn dịch vụ

Quý khách hàng vui lòng lựa chọn dịch vụ y tế theo nhu cầu!

Lấy mẫu xét nghiệm tại nhà

Lấy mẫu xét nghiệm tại nhà giúp khách hàng chủ động tầm soát bệnh lý. Đồng thời tiết kiệm thời gian đi lại, chờ đợi kết quả với mức chi phí hợp lý.

Đặt lịch thăm khám tại MEDLATEC

Đặt lịch khám tại cơ sở khám chữa bệnh thuộc Hệ thống Y tế MEDLATEC giúp chủ động thời gian, hạn chế tiếp xúc đông người.
bác sĩ lựa chọn dịch vụ