Tin tức

Các bài đăng được gắn thẻ "thượng vị"

Thứ Tư, 25 tháng 3, 2026

Giải đáp: Tại sao bụng trên to hơn bụng dưới và cách giảm...

Tình trạng bụng trên to hơn bụng dưới không chỉ khiến vóc dáng mất cân đối mà đôi khi còn phản ánh những vấn đề sức khỏe tiềm ẩn. Không ít người dù cân nặng ở mức bình thường vẫn gặp hiện tượng mỡ tích tụ nhiều ở vùng bụng trên, gây cảm giác tự ti và khó chịu. Vậy tại sao bụng trên lại to hơn bụn...
Thứ Năm, 18 tháng 9, 2025

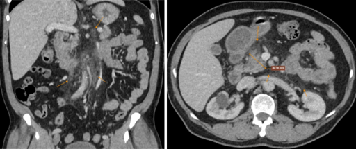
Mổ cấp cứu người đàn ông bị thủng ruột ở Hà Nội

Bằng kỹ thuật chụp cắt lớp vi tính ổ bụng, các bác sĩ tại Bệnh viện Đa khoa MEDLATEC đã nhanh chóng xác định được vị trí ruột bị thủng và phẫu thuật nội soi “vá” lỗ thủng cứu sống bệnh nhân.
Thứ Bảy, 13 tháng 9, 2025

Cảnh báo: Nhồi máu cơ tim “núp bóng” triệu chứng của bệnh...

“Nếu hôm đó tôi “chiều” bệnh nhân đi soi dạ dày… có lẽ anh ấy đã không còn cơ hội quay lại cảm ơn tôi”, đó là chia sẻ của BSCKII. Nguyễn Quang Minh - Trưởng chuyên khoa Tim mạch, Hệ thống Y tế MEDLATEC, người trực tiếp khám và cấp cứu cho bệnh nhân 53 tuổi bị nhồi máu cơ tim.
Thứ Tư, 6 tháng 8, 2025

Hiểu rõ giải phẫu ổ bụng để nhận biết sớm các bệnh lý ngu...

Ổ bụng là nơi tập trung nhiều cơ quan nội tạng quan trọng như dạ dày, gan, ruột, tụy, thận,... Đây là nơi chứa đựng các cơ quan quan trọng của cơ thể, từ tiêu hóa, hấp thụ chất dinh dưỡng đến đào thải độc tố. Việc hiểu rõ giải phẫu ổ bụng giúp bạn hình dung chính xác vị trí, chức năng của từng cơ...
Thứ Tư, 23 tháng 7, 2025

Động mạch thượng vị dưới là gì? Vị trí và chức năng trong...

Trong cơ thể người, hệ thống mạch máu đóng vai trò thiết yếu trong việc cung cấp oxy và dưỡng chất cho các cơ quan. Trong đó, động mạch thượng vị dưới - một nhánh nhỏ thuộc hệ tuần hoàn vùng bụng giữ vị trí quan trọng. Bài viết sau sẽ giúp bạn hình dung cụ thể hơn về động mạch thượng vị dưới, từ...
Thứ Ba, 8 tháng 7, 2025

Người đàn ông nhập viện vì sỏi túi mật không điều trị gây...

Sau 4 ngày liên tục bị đau âm ỉ vùng thượng vị không thuyên giảm, ông C. đã đến Bệnh viện MEDLATEC để thăm khám. Tại đây, qua thăm khám lâm sàng và làm các xét nghiệm, bác sĩ xác định ông bị viêm tụy cấp do biến chứng từ sỏi túi mật – căn bệnh mà trước đó ông không hề hay biết.
Thứ Sáu, 23 tháng 5, 2025

Phân khu ổ bụng và cách xử trí khi bị đau vùng bụng

Đau bụng là triệu chứng hầu như ai cũng gặp phải nhưng nguyên nhân gây đau và vị trí đau ở mỗi người không giống nhau. Trong những chia sẻ dưới đây, MEDLATEC sẽ cùng bạn tìm hiểu về phân khu ổ bụng, những nguyên nhân gây đau vùng bụng và cách xử trí để chủ động thực hiện biện pháp phòng ngừa, bảo...
Thứ Ba, 14 tháng 1, 2025

Phác đồ điều trị viêm tụy cấp bao gồm những bước nào?

Bệnh nhân bị viêm tụy cấp cần được can thiệp y tế kịp thời để tránh biến chứng nghiêm trọng, bảo vệ tính mạng. Dựa theo diễn biến bệnh lý, bác sĩ sẽ chỉ định phác đồ điều trị viêm tụy cấp phù hợp. Muốn nâng cao hiệu quả điều trị, người bệnh cần chủ động phát hiện bất thường và tìm đến cơ sở y tế...
Thứ Năm, 19 tháng 12, 2024

Các bệnh về dạ dày thường gặp: Tìm hiểu chi tiết nguyên n...

Dạ dày là cơ quan quan trọng của hệ tiêu hóa. Tuy nhiên, do áp lực từ cuộc sống, thói quen sinh hoạt và ăn uống không lành mạnh, thực tế hiện nay tỷ lệ người mắc các bệnh về dạ dày ngày càng nhiều. Bài viết sau đây sẽ giúp bạn có được những thông tin cơ bản nhất về nguyên nhân, triệu chứng, cách...

Lựa chọn dịch vụ

Quý khách hàng vui lòng lựa chọn dịch vụ y tế theo nhu cầu!

Lấy mẫu xét nghiệm tại nhà

Lấy mẫu xét nghiệm tại nhà giúp khách hàng chủ động tầm soát bệnh lý. Đồng thời tiết kiệm thời gian đi lại, chờ đợi kết quả với mức chi phí hợp lý.

Đặt lịch thăm khám tại MEDLATEC

Đặt lịch khám tại cơ sở khám chữa bệnh thuộc Hệ thống Y tế MEDLATEC giúp chủ động thời gian, hạn chế tiếp xúc đông người.
bác sĩ lựa chọn dịch vụ