Bác sĩ: ThS.BS Trần Minh Dũng
Chuyên khoa: Tai mũi họng - Tai Mũi Họng
Năm kinh nghiệm: 9 năm
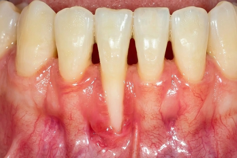
Tụt lợi (hay còn gọi là tụt nướu răng) là tình trạng bờ lợi di chuyển xuống phía chóp răng, làm lộ phần cổ răng hoặc chân răng vốn được che phủ và bảo vệ bởi mô lợi khỏe mạnh. Khi hiện tượng này xảy ra, răng thường có cảm giác “dài ra” hơn so với trước, đồng thời vùng cổ răng trở nên nhạy cảm rõ rệt.
Về bản chất, tụt lợi không phải là một hiện tượng sinh lý bình thường, cũng không đơn thuần chỉ liên quan đến thẩm mỹ. Đây là dấu hiệu cho thấy mô nâng đỡ răng (lợi và xương ổ răng) đã bị tổn thương ở một mức độ nhất định. Trong nhiều trường hợp, tụt lợi là biểu hiện bề ngoài của các vấn đề sâu hơn bên dưới như viêm nha chu, sang chấn cơ học kéo dài hoặc bất thường về cấu trúc răng - lợi.
Một điểm quan trọng người bệnh cần lưu ý là: Khi lợi đã tụt xuống, mô lợi không thể tự mọc trở lại như ban đầu. Do đó, việc phát hiện sớm và kiểm soát nguyên nhân đóng vai trò then chốt trong bảo tồn răng lâu dài.

Khi tụt lợi xảy ra, răng thường có cảm giác “dài ra” hơn so với trước.
Tụt lợi là tình trạng rất thường gặp trong cộng đồng, đặc biệt ở người trưởng thành và người lớn tuổi. Tuy nhiên, đây không phải là vấn đề chỉ xuất hiện ở tuổi già. Trên thực tế, tụt lợi có thể bắt đầu từ lứa tuổi thiếu niên hoặc người trẻ tuổi, nhất là ở những người có thói quen chải răng sai cách, lợi mỏng bẩm sinh hoặc răng mọc lệch.
Một đặc điểm khiến tụt lợi dễ bị bỏ sót là bệnh tiến triển chậm và âm thầm. Trong giai đoạn đầu, người bệnh có thể chỉ cảm thấy ê buốt nhẹ hoặc nhận thấy răng trông hơi dài hơn, nhưng không đau rõ rệt. Theo thời gian, khi phần chân răng lộ ra nhiều hơn, các biến chứng mới dần xuất hiện.
Chính vì vậy, không ít trường hợp chỉ phát hiện tụt lợi khi đã kèm theo viêm nha chu, sâu chân răng hoặc răng bắt đầu lung lay.
Tụt lợi không chỉ ảnh hưởng đến thẩm mỹ nụ cười mà còn tác động trực tiếp đến sức khỏe răng miệng. Khi chân răng bị lộ, lớp men bảo vệ không còn, răng dễ bị ê buốt khi ăn đồ nóng, lạnh, chua hoặc ngọt. Đồng thời, nguy cơ sâu chân răng và viêm nhiễm vùng cổ răng tăng lên rõ rệt.
Về lâu dài, nếu tụt lợi đi kèm tiêu xương ổ răng và không được điều trị kịp thời, răng có thể mất dần độ vững chắc, dẫn đến lung lay và thậm chí mất răng. Do đó, tụt lợi cần được xem là dấu hiệu cảnh báo sớm của tổn thương nha chu, thay vì chỉ coi là vấn đề thẩm mỹ đơn thuần.
Trong cấu trúc răng miệng bình thường, răng được nâng đỡ và bảo vệ bởi xương ổ răng, dây chằng nha chu và mô lợi. Khi một hoặc nhiều thành phần trong hệ thống này bị tổn thương, mô lợi sẽ dần di chuyển xuống phía chóp răng, làm lộ cổ răng hoặc chân răng.
Điều quan trọng cần hiểu là: Tụt lợi không phải là căn bệnh độc lập, mà là hệ quả cuối cùng của nhiều tác động kéo dài, bao gồm viêm nhiễm, sang chấn cơ học hoặc bất thường cấu trúc. Vì vậy, muốn kiểm soát hiệu quả tụt lợi, cần xác định đúng nguyên nhân gốc rễ.
Trên lâm sàng, tụt lợi được chia thành hai nhóm nguyên nhân chính: Tụt lợi do viêm nha chu và tụt lợi không do viêm.
Đây là nguyên nhân thường gặp và nguy hiểm hơn, vì có thể dẫn đến mất răng nếu không điều trị kịp thời.
Cơ chế hình thành bắt đầu từ:
Đặc điểm thường gặp của tụt lợi do viêm nha chu:
Trong nhiều trường hợp, sau khi điều trị viêm nha chu, lợi bớt sưng nề và phần tụt lợi trở nên rõ ràng hơn, khiến người bệnh lầm tưởng rằng điều trị làm tụt lợi nặng thêm, trong khi thực chất đây là tình trạng đã tồn tại từ trước.

Tụt lợi do viêm nha chu là nguyên nhân thường gặp.
Khác với viêm nha chu, nhóm này xảy ra khi mô lợi bị tổn thương cơ học hoặc chịu tác động bất thường kéo dài, trong khi bản thân mô lợi có thể vẫn hồng hào và không viêm.
Các nguyên nhân thường gặp bao gồm:
Đặc điểm lâm sàng:
Nhóm tụt lợi không viêm dễ bị chủ quan vì ít đau, nhưng nếu không điều chỉnh nguyên nhân, tình trạng vẫn có thể tiến triển nặng dần theo thời gian.
Người bệnh có thể nghi ngờ tụt lợi khi xuất hiện một hoặc nhiều biểu hiện sau:

Người bệnh tụt lợi thường ê buốt răng khi ăn đồ nóng lạnh, chua hay ngọt.
Trong trường hợp tụt lợi do viêm nha chu, có thể kèm theo:
Người bệnh không nên chờ đến khi đau nhiều mới đi khám. Việc thăm khám sớm được khuyến cáo khi:
Khám và điều trị từ sớm giúp ngăn chặn tiến triển, giảm nguy cơ phải can thiệp phẫu thuật về sau.
Chẩn đoán tụt lợi không chỉ dựa vào quan sát bằng mắt thường, mà cần kết hợp nhiều bước:
Mục tiêu cuối cùng của chẩn đoán là phân biệt tụt lợi do viêm hay không viêm, từ đó lựa chọn phương án điều trị phù hợp và hiệu quả nhất cho từng người bệnh.
Một trong những hiểu lầm phổ biến của người bệnh là cho rằng lợi có thể tự mọc lại theo thời gian. Trên thực tế, khi lợi đã tụt xuống và mô nâng đỡ răng bị tổn thương, lợi không thể tự hồi phục về vị trí ban đầu nếu không có can thiệp y khoa.
Vì vậy, mục tiêu điều trị tụt lợi không chỉ là cải thiện thẩm mỹ mà quan trọng hơn là:
Việc lựa chọn phương pháp điều trị phụ thuộc vào nguyên nhân gây tụt lợi, mức độ tổn thương và triệu chứng người bệnh đang gặp phải.
Đối với các trường hợp tụt lợi nhẹ hoặc tụt lợi không do viêm, điều chỉnh thói quen chăm sóc răng miệng đóng vai trò rất quan trọng.
Các biện pháp thường được khuyến cáo gồm:
Những biện pháp này không làm lợi mọc lại, nhưng giúp ổn định tình trạng tụt lợi, hạn chế tiến triển và giảm cảm giác ê buốt rõ rệt.

Việc điều chỉnh thói quen chăm sóc răng miệng đóng vai trò rất quan trọng với tụt lợi nhẹ hoặc không do viêm.
Trong trường hợp tụt lợi do viêm nha chu, điều trị nguyên nhân viêm là bước bắt buộc.
Các biện pháp thường bao gồm:
Để giảm ê buốt răng do lộ cổ răng, bác sĩ có thể chỉ định:
Điều trị đúng giúp ổn định mô nha chu, giảm nguy cơ mất răng và cải thiện chất lượng sống của người bệnh.
Khi tụt lợi tiến triển nặng, lộ nhiều chân răng hoặc ảnh hưởng lớn đến thẩm mỹ và chức năng, bác sĩ có thể cân nhắc các phương pháp can thiệp sâu hơn như:
Việc chỉ định can thiệp nào cần được đánh giá cá thể hóa, không áp dụng chung cho tất cả người bệnh.
Tiên lượng của tụt lợi phụ thuộc vào nhiều yếu tố, bao gồm:
Nếu được phát hiện sớm và xử trí đúng cách, tụt lợi có thể được kiểm soát ổn định trong thời gian dài, giúp người bệnh duy trì răng thật và hạn chế biến chứng.
Ngược lại, nếu phát hiện muộn, đặc biệt khi đã kèm tiêu xương ổ răng, nguy cơ răng lung lay và mất răng sẽ tăng cao.
Tụt lợi có thể tái phát nếu các yếu tố nguy cơ không được kiểm soát triệt để, chẳng hạn như:
Do đó, điều trị tụt lợi không phải chỉ “một lần là xong”, mà cần theo dõi và chăm sóc lâu dài.
Các biện pháp phòng ngừa tụt lợi hiệu quả bao gồm:
Phát hiện sớm, kiểm soát đúng và theo dõi lâu dài chính là chìa khóa giúp người bệnh sống chung với tụt lợi và bảo vệ răng miệng bền vững.
Tài liệu tham khảo:
Quý khách hàng vui lòng lựa chọn dịch vụ y tế theo nhu cầu!