Bác sĩ: ThS.BS Trần Minh Dũng
Chuyên khoa: Tai mũi họng - Tai Mũi Họng
Năm kinh nghiệm: 9 năm
Tuyến giáp là một cơ quan nội tiết nhỏ, hình cánh bướm, nằm ở phía trước cổ, đóng vai trò điều hòa nhiều chức năng chuyển hóa quan trọng của cơ thể thông qua các hormone T3 và T4. Trong những thập kỷ gần đây, cùng với sự phát triển của kỹ thuật chẩn đoán hình ảnh, đặc biệt là siêu âm, việc phát hiện các tổn thương tại tuyến giáp ngày càng trở nên phổ biến. Trong số đó, u tuyến giáp là một phát hiện thường gặp, và phần lớn trong số này là u lành tính. Theo nhiều nghiên cứu dịch tễ học, ước tính có tới 50–60% người trưởng thành có thể có một hoặc nhiều u giáp khi được khảo sát bằng siêu âm, nhưng chỉ một tỷ lệ nhỏ trong số đó thực sự gây triệu chứng hoặc mang nguy cơ ác tính.
U lành tuyến giáp là một khối hoặc vùng mô tăng sinh bất thường trong tuyến giáp nhưng không có đặc tính ác tính. Các u này có thể là nang giáp chứa dịch, u tuyến giáp dạng nang hoặc thể rắn, hoặc tổn thương tăng sinh liên quan đến viêm tuyến giáp mạn tính. Điểm quan trọng cần nhấn mạnh là, mặc dù tỷ lệ phát hiện u giáp ngày càng gia tăng, nhưng tỷ lệ ác tính của chúng lại rất thấp, chỉ dao động khoảng 1–5%. Điều này đặt ra một thách thức lớn cho y học hiện đại: làm thế nào để phân biệt được những u cần can thiệp với những u có thể chỉ cần theo dõi, nhằm tránh tình trạng chẩn đoán và điều trị quá mức, vốn là vấn đề được quan tâm rộng rãi trong các báo cáo gần đây của Hiệp hội Tuyến giáp Hoa Kỳ (ATA) và Hiệp hội Tuyến giáp châu Âu (ETA).

Tuyến giáp và u lành tuyến giáp
Trong phạm vi bài viết này, chúng ta sẽ cùng tìm hiểu sâu hơn về dịch tễ học, sinh bệnh học, nguyên nhân, phương pháp chẩn đoán, điều trị và theo dõi u lành tuyến giáp. Ngoài ra, bài viết cũng sẽ phân tích các bằng chứng khoa học cập nhật đến năm 2025, đồng thời thảo luận về hạn chế của các nghiên cứu hiện tại và hướng phát triển trong tương lai. Mục tiêu là mang lại một cái nhìn toàn diện, khoa học và dễ hiểu, giúp người đọc có thể nắm bắt bản chất của u lành tuyến giáp và tầm quan trọng của việc quản lý hợp lý trong thực hành lâm sàng.
U tuyến giáp là một phát hiện và chẩn đoán cực kỳ phổ biến, đặc biệt ở những quốc gia có điều kiện dinh dưỡng và mức độ tiếp cận y tế cao. Các nghiên cứu dịch tễ học quy mô lớn trên PubMed cho thấy rằng nếu chỉ dựa vào thăm khám lâm sàng, tỷ lệ phát hiện u giáp chỉ khoảng 4–7%. Tuy nhiên, khi ứng dụng siêu âm tuyến giáp, con số này có thể lên đến 50–60% ở người trưởng thành. Tỷ lệ phát hiện cao hơn ở nữ giới và tăng dần theo tuổi. Phần lớn các trường hợp được phát hiện tình cờ khi siêu âm vùng cổ hoặc khi làm các thăm dò hình ảnh khác như CT, MRI cho những lý do không liên quan.
Mặc dù tỷ lệ hiện mắc cao, song phần lớn u giáp là lành tính. Chỉ khoảng 1–5% số u giáp được phát hiện có bản chất ác tính, chủ yếu là ung thư tuyến giáp thể nhú. Điều này đồng nghĩa rằng đa số bệnh nhân được chẩn đoán có u giáp sẽ không cần đến những can thiệp phức tạp như phẫu thuật, xạ trị hay điều trị bằng thuốc đặc hiệu. Tuy nhiên, chính vì tỷ lệ phát hiện cao nhưng nguy cơ ác tính thấp, tình trạng chẩn đoán và điều trị quá mức đã trở thành một vấn đề y tế công cộng. Báo cáo của ETA năm 2023 đã nhấn mạnh rằng số lượng ca phẫu thuật tuyến giáp tăng mạnh trong 20 năm qua phần lớn là do phát hiện sớm và điều trị cả những u lành tính không gây hại, dẫn đến gia tăng biến chứng và chi phí y tế không cần thiết.
Về mặt sinh bệnh học, u lành tuyến giáp có thể xuất hiện do nhiều cơ chế. Một số u là kết quả của sự tăng sinh lành tính của các tế bào nang tuyến giáp, có thể hình thành dưới dạng u tuyến hoặc u dạng nang. Một số khác là nang giáp đơn thuần, chứa dịch và ít nguy cơ tiến triển ác tính. Ngoài ra, viêm tuyến giáp Hashimoto – một bệnh lý tự miễn phổ biến – cũng có thể tạo ra các nhân giáp giả u. Trong bối cảnh thiếu hụt i-ốt, sự kích thích quá mức tuyến giáp bởi hormone TSH cũng có thể dẫn đến sự hình thành nhiều nhân, tạo thành bướu giáp đa nhân lành tính.
U lành tuyến giáp có thể hình thành từ nhiều cơ chế khác nhau, liên quan đến cả yếu tố nội sinh và ngoại sinh. Thiếu hụt i-ốt từ lâu đã được coi là một trong những nguyên nhân quan trọng dẫn đến sự phát triển bướu giáp và nhân giáp lành tính. Khi thiếu i-ốt, tuyến giáp phải hoạt động mạnh hơn để tổng hợp hormone, và sự kích thích kéo dài của TSH sẽ thúc đẩy phì đại và tăng sinh tế bào nang, từ đó hình thành các nhân giáp.
Yếu tố tự miễn cũng đóng vai trò quan trọng. Trong viêm tuyến giáp Hashimoto, sự xâm nhập của tế bào lympho và quá trình viêm mạn tính dẫn đến tổn thương cấu trúc tuyến, tạo điều kiện cho hình thành các nhân. Ngoài ra, sự tích tụ collagen và xơ hóa cũng có thể tạo ra hình ảnh giả u trên siêu âm.
Một số yếu tố nguy cơ khác được ghi nhận trong nghiên cứu bao gồm tuổi tác, giới tính nữ, tiền sử phơi nhiễm phóng xạ vùng cổ trong thời thơ ấu, và yếu tố di truyền. Tuy nhiên, không phải tất cả các yếu tố này đều trực tiếp liên quan đến u lành; nhiều yếu tố đồng thời cũng làm tăng nguy cơ ác tính, do đó cần đánh giá thận trọng trong từng trường hợp.
Việc chẩn đoán u tuyến giáp ngày nay dựa trên sự kết hợp của thăm khám lâm sàng, xét nghiệm cận lâm sàng, và quan trọng nhất là siêu âm và chọc hút tế bào bằng kim nhỏ (FNA).
Trên lâm sàng, nhiều u giáp lành tính hoàn toàn không gây triệu chứng, được phát hiện tình cờ. Một số ít trường hợp có thể gây cảm giác khó nuốt, nghẹn cổ hoặc mất thẩm mỹ nếu khối u to.

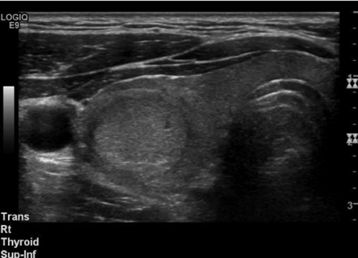
Hình ảnh siêu âm của u lành tuyến giáp
Siêu âm tuyến giáp là phương pháp hình ảnh quan trọng nhất, cho phép phân loại u dựa trên đặc điểm hình thái. Các yếu tố như độ hồi âm, bờ, vi vôi hóa, hình dạng và mạch máu nội khối giúp phân biệt giữa u có nguy cơ ác tính và u lành tính. Nhiều hiệp hội, trong đó có ATA và ETA, đã đưa ra các hệ thống phân loại nguy cơ dựa trên siêu âm như TIRADS (Thyroid Imaging Reporting and Data System). Các hệ thống này giúp bác sĩ lâm sàng xác định trường hợp nào cần FNA và trường hợp nào chỉ cần theo dõi.
FNA là tiêu chuẩn vàng để phân biệt u lành và u ác. Kết quả FNA được phân loại theo hệ thống Bethesda thành 6 nhóm. Trong đó, nhóm II (benign) thường chiếm đa số, và những bệnh nhân này chỉ cần theo dõi định kỳ. Nhóm III (atypia of undetermined significance) và nhóm IV (follicular neoplasm) thường cần lặp lại FNA hoặc xét nghiệm phân tử bổ sung. Các nhóm V và VI gợi ý ác tính cao và thường được chỉ định phẫu thuật.
Ngoài siêu âm và FNA, xét nghiệm hormone tuyến giáp cũng hữu ích. Trong trường hợp bệnh nhân có TSH thấp, có thể cân nhắc xạ hình tuyến giáp để xác định nhân “nóng” (hyperfunctioning nodule), vốn hầu như luôn lành tính. Các xét nghiệm phân tử ngày càng được ứng dụng để phân tích gen, đặc biệt trong nhóm u không xác định, nhằm giảm thiểu số ca phẫu thuật không cần thiết. Tuy nhiên, các xét nghiệm này vẫn đang trong quá trình nghiên cứu và chi phí còn cao.
Nguyên tắc quan trọng nhất trong quản lý u lành tuyến giáp là “không điều trị quá mức”. Phần lớn u lành không gây triệu chứng, không có nguy cơ ác tính, và do đó không cần can thiệp. Hướng dẫn của AAFP và ATA đều khuyến nghị rằng những bệnh nhân có kết quả FNA lành tính chỉ cần theo dõi bằng siêu âm sau 12–24 tháng. Nếu khối u ổn định, khoảng cách theo dõi có thể kéo dài hơn.
Trong trường hợp u gây triệu chứng chèn ép như khó thở, khó nuốt, hoặc gây ảnh hưởng thẩm mỹ nặng nề, phẫu thuật cắt bỏ một phần hoặc toàn bộ tuyến giáp có thể được chỉ định. Ngoài ra, các khối u lớn trên 4 cm thường được cân nhắc phẫu thuật, ngay cả khi FNA cho kết quả lành tính, bởi nguy cơ âm tính giả tăng lên khi kích thước quá lớn.

Kỹ thuật đốt sóng cao tần và chọc hút kim nhỏ
Một hướng đi mới trong những năm gần đây là các phương pháp xâm lấn tối thiểu, bao gồm tiêm ethanol, đốt sóng cao tần và đốt laser. Các phương pháp này cho phép thu nhỏ khối u, cải thiện triệu chứng mà không cần phẫu thuật, đặc biệt phù hợp với bệnh nhân có nguy cơ phẫu thuật cao hoặc không muốn mổ. Nhiều nghiên cứu cho thấy hiệu quả lâu dài của các kỹ thuật này là khả quan, mặc dù vẫn cần thêm dữ liệu dài hạn để khẳng định tính an toàn và hiệu quả bền vững.
Một điểm đáng lưu ý là việc điều trị ức chế hormone bằng levothyroxine, từng được sử dụng rộng rãi trước đây nhằm làm nhỏ u giáp, hiện không còn được khuyến cáo. Các nghiên cứu chỉ ra rằng hiệu quả của biện pháp này không rõ ràng, trong khi nguy cơ gây cường giáp, loãng xương và rối loạn nhịp tim là đáng kể, nhất là ở người cao tuổi.
Nhiều nghiên cứu trong thập niên qua đã củng cố quan điểm rằng u lành tuyến giáp nên được quản lý bảo tồn và cá nhân hóa. Một phân tích tổng hợp đăng trên PubMed năm 2022 đã khẳng định rằng trong số hàng triệu người có nhân giáp, chỉ một tỷ lệ rất nhỏ cần can thiệp phẫu thuật. Báo cáo năm 2023 của ETA cũng đưa ra khuyến nghị rõ ràng rằng FNA chỉ nên được thực hiện ở những nhân có đặc điểm nghi ngờ trên siêu âm hoặc có kích thước vượt ngưỡng nhất định, nhằm tránh lạm dụng sinh thiết.
Ngoài ra, các nghiên cứu về molecular testing đã chứng minh giá trị trong việc giảm phẫu thuật không cần thiết. Một phân tích trên hơn 2000 bệnh nhân có kết quả FNA không xác định cho thấy rằng sử dụng xét nghiệm phân tử giúp giảm hơn 40% số ca phẫu thuật cắt tuyến giáp mà kết quả mô học sau đó chỉ ra là u lành. Tuy vậy, hạn chế là chi phí còn cao và tính khả thi chưa rộng rãi ở nhiều quốc gia.
Các kỹ thuật xâm lấn tối thiểu cũng ngày càng được chứng minh hiệu quả. Một thử nghiệm ngẫu nhiên có đối chứng năm 2021 tại Hàn Quốc cho thấy đốt sóng cao tần giúp giảm thể tích u lành tới 70% sau 12 tháng, cải thiện đáng kể triệu chứng chèn ép và chất lượng cuộc sống. Các nghiên cứu theo dõi 3–5 năm cho thấy hiệu quả duy trì khá tốt, mặc dù cần thêm dữ liệu dài hạn hơn.
Dù đã có nhiều tiến bộ trong chẩn đoán và điều trị u lành tuyến giáp, vẫn còn tồn tại những thách thức. Thứ nhất, hiện tượng chẩn đoán quá mức là vấn đề toàn cầu. Việc phát hiện ngày càng nhiều nhân giáp nhỏ nhờ siêu âm đã dẫn đến tâm lý lo lắng ở bệnh nhân, khiến nhiều người lựa chọn phẫu thuật không cần thiết. Đây không chỉ là gánh nặng y tế mà còn làm tăng nguy cơ biến chứng như suy giáp vĩnh viễn, tổn thương dây thần kinh thanh quản hoặc hạ calci máu sau mổ.
Thứ hai, mặc dù xét nghiệm phân tử mang lại hứa hẹn, nhưng sự thiếu hụt dữ liệu theo dõi dài hạn khiến khó có thể khẳng định độ chính xác tuyệt đối trong việc loại trừ ác tính. Đồng thời, chi phí cao khiến phương pháp này chưa thể phổ biến ở nhiều nước đang phát triển.
Thứ ba, các kỹ thuật xâm lấn tối thiểu như đốt laser hay RFA đang mở ra một hướng đi mới, nhưng vẫn cần được chuẩn hóa trong hướng dẫn lâm sàng và xác minh hiệu quả lâu dài. Sự khác biệt trong tiếp cận giữa các quốc gia cũng phản ánh thực tế rằng chúng ta chưa có sự đồng thuận tuyệt đối về việc áp dụng rộng rãi các phương pháp này.
Một hướng nghiên cứu đáng chú ý trong tương lai là ứng dụng trí tuệ nhân tạo (AI) trong chẩn đoán hình ảnh. Các mô hình deep learning đã cho thấy tiềm năng phân biệt u lành và u ác dựa trên siêu âm với độ chính xác tương đương, thậm chí vượt qua chuyên gia. Nếu được ứng dụng rộng rãi, công nghệ này có thể góp phần giảm số ca sinh thiết và phẫu thuật không cần thiết.
U lành tuyến giáp là một phát hiện phổ biến trong thực hành lâm sàng hiện nay. Phần lớn các u này không gây nguy hại và không cần điều trị, chỉ cần theo dõi định kỳ bằng siêu âm. FNA vẫn là tiêu chuẩn để xác định bản chất nhân giáp, trong khi các kỹ thuật phân tử và xâm lấn tối thiểu đang dần khẳng định vai trò bổ sung quan trọng. Tuy nhiên, cần tránh lạm dụng các biện pháp can thiệp, đồng thời nhấn mạnh chiến lược cá nhân hóa cho từng bệnh nhân dựa trên đặc điểm lâm sàng, cận lâm sàng và mong muốn cá nhân.
Sự phát triển của y học hiện đại đã mang lại nhiều công cụ mạnh mẽ, nhưng cũng đặt ra nguy cơ chẩn đoán quá mức. Vì vậy, nguyên tắc "ít nhưng đủ" nên được áp dụng trong quản lý u lành tuyến giáp: chỉ can thiệp khi thực sự cần thiết, còn lại tập trung vào theo dõi và ổn định tâm lý người bệnh. Trong bối cảnh tương lai, với sự hỗ trợ của công nghệ mới và các nghiên cứu dài hạn, hy vọng việc quản lý u tuyến giáp sẽ ngày càng tối ưu hơn, vừa đảm bảo an toàn, vừa tiết kiệm chi phí cho bệnh nhân và hệ thống y tế.
Tài liệu tham khảo:
Quý khách hàng vui lòng lựa chọn dịch vụ y tế theo nhu cầu!