Tin tức
3 tháng yếu nhẹ nửa người, người đàn ông phát hiện bệnh ung thư nguy hiểm di căn đa cơ quan
- 11/10/2022 | Triệu chứng ung thư phổi di căn xương và các liệu pháp điều trị
- 24/10/2022 | Ung thư phổi di căn não nguy hiểm như thế nào?
- 28/01/2026 | Ung thư phổi di căn hạch ở cổ: Mức độ nguy hiểm, phương pháp chẩn đoán và điều trị
Cảnh giác diễn biến bệnh từ triệu chứng yếu nhẹ nửa người
Bệnh nhân đến khám tại Phòng khám Đa khoa MEDLATEC Tây Hồ trong tình trạng liệt nửa người phải. Theo chia sẻ, khoảng 3 tháng trước, ông bắt đầu cảm thấy tay phải yếu nhẹ, khó thực hiện các động tác tinh vi như viết hay cầm đũa, bát. Do triệu chứng chưa ảnh hưởng nhiều đến sinh hoạt, người bệnh không đi kiểm tra.

Khoảng 3 tháng trước, người bệnh cảm thấy tay phải yếu nhẹ, khó thực hiện các động tác tinh vi như viết hay cầm đũa, bát. Ảnh minh họa, nguồn Internet
Theo thời gian, tình trạng yếu lan dần xuống chân phải, tuy nhiên ông vẫn có thể tự đi lại. Khoảng 1 tháng trước khi nhập viện, các biểu hiện trở nên rõ rệt hơn: tay yếu nhiều hơn chân, xuất hiện đau đầu âm ỉ kéo dài không dứt, kèm theo cảm giác chóng mặt, mất thăng bằng.
Không chỉ vậy, người bệnh còn có biểu hiện chậm chạp trong suy nghĩ, giao tiếp khó khăn hơn, thỉnh thoảng lú lẫn. Cùng với đó là tình trạng ăn uống kém và sụt cân nhưng không rõ nguyên nhân.
Ngoài ra, bệnh nhân cho biết có tiền sử viêm gan B mạn tính nhưng không theo dõi định kỳ. Gia đình có yếu tố nguy cơ cao với bố mất vì ung thư gan, hai em trai mất do u não. Tuy nhiên, trong suốt quá trình xuất hiện triệu chứng, người bệnh chưa từng dùng thuốc hay đi khám trước đó.
Tại phòng khám, bác sĩ ghi nhận bệnh nhân tỉnh táo nhưng phản ứng chậm, trả lời câu hỏi chậm và có dấu hiệu lú lẫn về thời gian. Thể trạng gầy, da xanh, niêm mạc nhợt cho thấy tình trạng sức khỏe đã suy giảm.
Khám thần kinh phát hiện rõ tình trạng liệt nửa người phải với sức cơ giảm (4/5), phản xạ gân xương tăng và xuất hiện các dấu hiệu bệnh lý như Babinski (+), Hoffmann (+). Đây là những dấu hiệu điển hình của tổn thương hệ thần kinh trung ương, đặc biệt là tổn thương não thực thể.
Từ đó, bác sĩ chỉ định thực hiện các xét nghiệm và chẩn đoán hình ảnh chuyên sâu để tìm nguyên nhân.
Chẩn đoán xác định ung thư phổi di căn
Kết quả xét nghiệm cho thấy một số bất thường như tải lượng virus viêm gan B tăng, bạch cầu tăng và có protein trong nước tiểu. Tuy nhiên, điều đáng chú ý nhất là kết quả chẩn đoán hình ảnh.
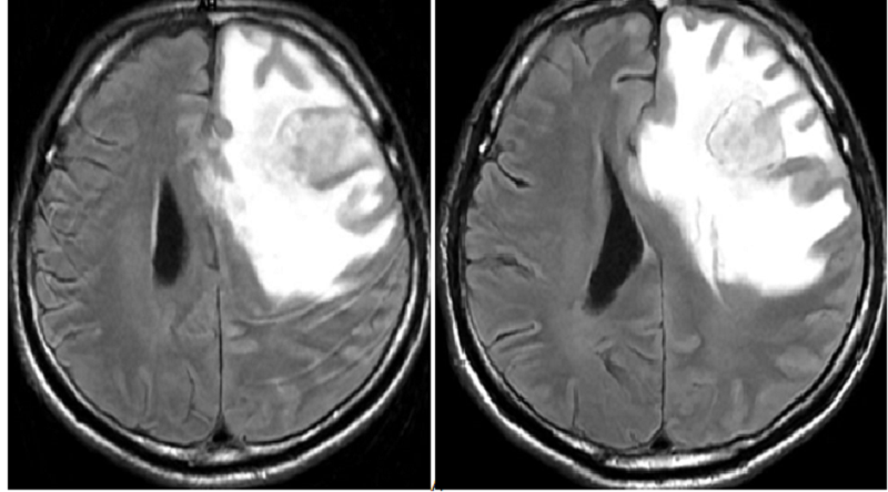
Hình ảnh MRI sọ não phát hiện một khối choán chỗ tại vùng thái dương - đỉnh trái với kích thước khoảng 32mm. Không chỉ có một khối u đơn độc, não còn xuất hiện nhiều tổn thương rải rác ở cả hai bán cầu và màng não. Tình trạng phù não lan rộng, gây chèn ép và đẩy lệch đường giữa gần 8 mm - đây là dấu hiệu nguy hiểm, có thể ảnh hưởng trực tiếp đến tính mạng.

Chụp MRI sọ não có khối choán chỗ vùng thái dương - đỉnh trái, kích thước 32x33x32mm

MRI sọ não cho thấy não phù nhiều

MRI sọ não phát hiện tổn thương ngấm thuốc hai bán cầu và tổn thương màng não

Phát hiện nhiều nốt tổn thương ngấm thuốc hai bán cầu và tổn thương màng não
Bên cạnh đó, các khảo sát khác như siêu âm ổ bụng, nội soi tiêu hóa, Fibroscan cũng phát hiện thêm một số bất thường như gan nhiễm mỡ, polyp đại tràng, viêm dạ dày… Tuy nhiên, các tổn thương này không phải nguyên nhân chính gây ra tình trạng thần kinh hiện tại.
Dựa trên tổng hợp lâm sàng và cận lâm sàng, bác sĩ chẩn đoán xác định bệnh nhân theo dõi ung thư phổi di căn đa cơ quan (não, phổi đối bên, hạch ổ bụng) trên nền viêm gan B mạn tính.
Điều này đồng nghĩa với việc khối u nguyên phát nhiều khả năng xuất phát từ phổi, sau đó đã lan rộng đến nhiều cơ quan khác, đặc biệt là não, nguyên nhân trực tiếp gây ra các triệu chứng yếu liệt và rối loạn nhận thức.
Ngay sau đó, bệnh nhân được tư vấn nhập viện để điều trị chống phù não nhằm giảm áp lực nội sọ, đồng thời áp dụng các biện pháp điều trị giảm nhẹ. Bác sĩ cũng chỉ định bệnh nhân sinh thiết khối u phổi và thực hiện giải trình tự gen để xác định hướng điều trị phù hợp.
5 cách chẩn đoán phân biệt: U não nguyên phát và u não thứ phát
BSCKI. Hoàng Anh Tuấn - Chuyên khoa Thần kinh, Phòng khám Đa khoa MEDLATEC chia sẻ về các cách chẩn đoán phân biệt u não nguyên phát và u não thứ phát, cụ thể như sau:
- Số lượng: U não nguyên phát thường là duy nhất, còn u não thứ phát thường đa ổ.
- Vị trí: Nằm sâu trong nhu mô, có xu hướng xâm lấn qua đường giữa (đối với u não nguyên phát) và nằm ở ranh giới chất xám - chất trắng, vùng vỏ não hoặc dưới vỏ (đối với u não thứ phát).
- Phù não: Phù não xâm lấn, ranh giới không rõ ràng với khối u (đối với u não nguyên phát) và rất rộng, thường không tương xứng với kích thước u nhỏ (đối với u não thứ phát).
- Ngấm thuốc: Ngấm thuốc dạng viền dày, không đều, hình thái đa dạng (đối với u não nguyên phát) và ngấm thuốc dạng viền tròn trịa, sắc nét hơn (đối với u não thứ phát).
- Ranh giới: Thường thâm nhiễm, ranh giới không rõ (đối với u não nguyên phát) và ranh giới thường rất rõ, dạng khối tròn (đối với u não thứ phát).
Trong ca bệnh này, các tổn thương não có số lượng nhiều (4-5 ổ), phân bố ở vùng vỏ và dưới vỏ não, phù não lan rộng và hình ảnh ngấm thuốc dạng viền rõ. Những đặc điểm này phù hợp với u não thứ phát, tức là u di căn từ cơ quan khác, thay vì u não nguyên phát.
Ung thư phổi - nguyên nhân hàng đầu gây di căn não
Bác sĩ Tuấn cho biết, trong các bệnh ung thư, phổi là cơ quan nguyên phát phổ biến nhất gây di căn não so với các loại ung thư thường gặp khác, cụ thể như sau:
- Phổi (40% - 50%): Phổ biến nhất ở nam giới, thường di căn đa ổ.
- Vú (15% - 25%): Phổ biến nhất ở nữ giới, thường di căn muộn sau vài năm điều trị.
- Melanoma (U hắc tố) (5% - 15%): Ái tính với não cao nhất, thường gây xuất huyết nội sọ.
- Thận (5% - 10%): Thường di căn đơn độc và có tăng sinh mạch.
- Đại trực tràng (3% - 5%): Thường di căn tiểu não.
- Chưa rõ nguyên phát (5% - 10%): Phát hiện u não trước khi tìm thấy ổ nguyên phát.
Ung thư phổi tiến triển âm thầm, ít triệu chứng ở giai đoạn sớm nên dễ bị bỏ qua. Khi xuất hiện các biểu hiện thần kinh như đau đầu, yếu liệt, rối loạn ý thức, bệnh thường đã ở giai đoạn muộn, việc điều trị gặp nhiều khó khăn. Vì vậy, nếu người dân xuất hiện những triệu chứng ban đầu như yếu tay, khó cầm nắm, đau đầu… dù nhẹ nhưng kéo dài cũng cần được thăm khám.

Chụp MRI sọ não giúp chẩn đoán chính xác nhiều bệnh lý chuyên sâu
Để an tâm kiểm soát sức khỏe, bác sĩ lưu ý người dân như sau:
- Không chủ quan với các dấu hiệu thần kinh dù thoáng qua;
- Theo dõi sức khỏe định kỳ, đặc biệt với người có bệnh nền hoặc tiền sử gia đình ung thư;
- Đi khám ngay khi có dấu hiệu bất thường kéo dài.
Với 30 năm kinh nghiệm trong khám chữa bệnh, là nơi quy tụ đội ngũ chuyên gia, bác sĩ đầu ngành giàu kinh nghiệm, trang bị đồng bộ hệ thống máy móc hiện đại như Trung tâm Xét nghiệm đạt tiêu chuẩn quốc tế (ISO 15189:2022 và CAP), hệ thống chẩn đoán hình ảnh tiên tiến (MRI, CT…), các kỹ thuật chuyên sâu như sinh học phân tử, giải trình tự gen... Vì vậy, Hệ thống Y tế MEDLATEC có điều kiện đáp ứng tối đa nhu cầu người dân về thăm khám, tầm soát và chẩn đoán sớm các bệnh lý nguy hiểm, đặc biệt là ung thư.
Mọi thông tin liên hệ về dịch vụ khám chữa bệnh tại MEDLATEC, người dân vui lòng liên tổng đài 1900 56 56 56.
Bình luận ()
Lựa chọn dịch vụ
Quý khách hàng vui lòng lựa chọn dịch vụ y tế theo nhu cầu!