Tin tức
Bé gái 13 tuổi rong kinh suốt 2 tuần, đi khám phát hiện dị tật bẩm sinh hiếm gặp
- 08/09/2020 | Phụ nữ bị rong kinh nên ăn gì để bổ sung máu nhanh nhất?
- 11/12/2020 | Rong kinh tuổi dậy thì: Nguyên nhân và cách phòng tránh
- 02/07/2025 | “Thủ phạm” khiến người phụ nữ bị rong kinh suốt 20 ngày
- 27/10/2025 | Rong kinh kéo dài 27 ngày, người phụ nữ đi khám phát hiện do polyp buồng tử cung
Phát hiện bất thường từ dấu hiệu rong kinh kéo dài
Bệnh nhi (13 tuổi) bắt đầu có kinh nguyệt từ năm 12 tuổi, chu kỳ vốn rất đều đặn (4-5 ngày kinh/chu kỳ 28-30 ngày). Tuy nhiên, 3 tháng gần đây, bé xuất hiện tình trạng rong kinh kéo dài khoảng 2 tuần ở mỗi kỳ kinh.
Tại MEDLATEC, qua thăm khám lâm sàng và các chỉ định cận lâm sàng, các bác sĩ đã phát hiện những dấu hiệu bất thường.

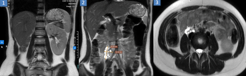
Kết quả chụp MRI không quan sát thấy thận trong hố thận phải. Vị̣ trí khoang sau phúc mạc bên phải ngang mức L3-4, phía trước cơ thắt lưng chậu có cấu trúc nghi thận kích thước 27x44mm, kèm nhiều nang nhỏ

Trên MRI cho thấy 2 sừng tử cung, 2 cổ tử cung riêng biệt, vách ngăn âm đạo

Âm đạo bên phải ứ dịch (kích thước 75x40mm), âm đạo bên trái xẹp, theo dõi có lỗ thông nhỏ, vị trí tắc cách tiền đình âm đạo 9mm
Kết quả siêu âm ổ bụng và MRI tiểu khung ghi nhận: hình ảnh tử cung đôi hoàn toàn; vách ngăn âm đạo kèm ứ đọng dịch máu trong nửa phải âm đạo; thận phải loạn sản đa nang, lạc chỗ.
Dựa vào kết quả trên, bệnh nhi được chẩn đoán mắc Hội chứng Herlyn – Werner – Wunderlich (HWW), chuyển viện Bệnh viện Phụ sản Hà Nội phẫu thuật. Sau phẫu thuật, hiện tại bệnh nhi đã có kinh lại chu kỳ bình thường.
Hội chứng HWW và những thông tin cần biết
Theo BS. Nguyễn Thị Duyên – Chuyên khoa Chẩn đoán hình ảnh, PKĐK MEDLATEC Tây Hồ, Hội chứng HWW là bất thường bẩm sinh hiếm gặp phối hợp ở đường sinh dục và hệ tiết niệu, do bất thường phát triển ống trung thận (Wolff) và ống cận trung thận (Muller), bao gồm:
- Tử cung đôi;
- Tắc nghẽn một bên âm đạo;
- Bất sản thận cùng bên (trường hợp không điển hình có thể có loạn sản thận đa nang, thận lạc chỗ).
Do cấu tạo vách ngăn gây tắc nghẽn âm đạo một bên, máu kinh không thể thoát ra ngoài dẫn đến trào ngược. Nếu không được phát hiện sớm, người bệnh có thể đối mặt với các biến chứng như:
- Lạc nội mạc tử cung: Máu kinh trào ngược vào ổ bụng gây nên các khối lạc nội mạc;
- Viêm nhiễm vùng chậu: Sự tích tụ máu lâu ngày là môi trường thuận lợi để vi khuẩn phát triển, dẫn đến viêm dính vòi trứng, buồng trứng, thậm chí áp xe vùng chậu;
- Ảnh hưởng khả năng sinh sản: Các biến chứng viêm nhiễm và lạc nội mạc tử cung là nguyên nhân hàng đầu dẫn đến nguy cơ vô sinh sau này.
MRI là tiêu chuẩn vàng để đánh giá chính xác hình thái dị tật tử cung - âm đạo, dị tật hệ tiết niệu kèm theo, cũng như biến chứng lạc nội mạc, viêm dính vùng chậu, hạch chậu….
Phương pháp điều trị chính là phẫu thuật cắt vách ngăn âm đạo để giải phóng tắc nghẽn và điều trị các biến chứng đi kèm. Bệnh nhân có thể có đời sống tình dục bình thường, đa số các trường hợp thụ thai và mang thai bình thường.
Bác sĩ Duyên khuyến cáo, Hội chứng HWW thường không có triệu chứng rõ rệt cho đến khi bắt đầu có kinh nguyệt, thậm chí nhiều năm sau đó. Cha mẹ cần theo dõi sát chu kỳ kinh nguyệt cho con, tốt nhất nên thực hiện siêu âm tầm soát cho bé gái ngay từ nhỏ giúp phát hiện sớm các dị tật bẩm sinh. Khi có các dấu hiệu như rối loạn kinh nguyệt, dịch âm đạo bất thường, đau bụng kinh tăng dần hoặc sờ thấy khối bất thường vùng bụng dưới, cần đưa trẻ đi khám ngay. Phát hiện sớm, điều trị kịp thời giúp giảm nguy cơ biến chứng.
Địa chỉ khám sản - phụ khoa uy tín, chính xác, tiện lợi

MEDLATEC quy tụ đội ngũ bác sĩ Sản phụ khoa đầu ngành, có nhiều năm kinh nghiệm
Chuyên khoa Sản - Phụ khoa, Hệ thống Y tế MEDLATEC quy tụ đội ngũ chuyên gia, bác sĩ giàu kinh nghiệm, cùng hệ thống trang thiết bị y tế hiện đại (máy MRI; máy nội soi cổ tử cung; máy cắt đốt, LEEP cổ tử cung; nội soi vú; máy siêu âm LOGIQ F6; máy X-quang tuyến vú), giúp chẩn đoán, hỗ trợ điều trị hiệu quả bệnh lý sản - phụ khoa và đáp ứng đa dạng các dịch vụ như:
- Khám và điều trị các bệnh lý phụ khoa: Viêm sinh dục, u buồng trứng, u xơ tử cung, lạc nội mạc tử cung, viêm phần phụ, rong kinh,…;
- Khám tiền hôn nhân;
- Xét nghiệm đánh giá khả năng sinh sản ở nữ giới;
- Hỗ trợ sinh sản: Tư vấn, điều trị và bơm IUI;
- Khám, quản lý và theo dõi thai kỳ: Điều trị sảy thai liên tiếp, thai lưu, theo dõi sức khỏe thai kỳ;
- Tầm soát các loại ung thư nữ giới: Ung thư cổ tử cung, buồng trứng, vú;
- Kế hoạch hóa gia đình: Đặt vòng tránh thai, cấy - tháo que tránh thai.
- Không gian khám riêng tư, thông tin và kết quả bảo mật tuyệt đối theo quy định của Bộ Y tế;
- Quy trình khép kín – Không chờ đợi lâu – Khám và có hướng điều trị trong cùng buổi.
Đặc biệt, khách hàng sở hữu Thẻ 555 khi khám và điều trị các bệnh lý (bao gồm cả thăm khám sản - phụ khoa) tại hệ thống MEDLATEC sẽ được:
- Miễn phí 10 lượt khám đầu vào;
- Giảm 15% chi phí các dịch vụ phát sinh (áp dụng với gần 2.500 dịch vụ kỹ thuật trong hệ thống).
Mọi thông tin về dịch vụ khám chữa bệnh tại Hệ thống Y tế MEDLATEC trên toàn quốc, quý khách vui lòng liên hệ tổng đài 1900 56 56 56 để được hỗ trợ.
Bình luận ()
Lựa chọn dịch vụ
Quý khách hàng vui lòng lựa chọn dịch vụ y tế theo nhu cầu!