Tin tức
Căn bệnh hiếm gặp khiến nam thanh niên có nguy cơ bị tắc ruột
- 13/10/2024 | Phân loại hội chứng tắc ruột và các dấu hiệu bệnh thường gặp
- 17/03/2025 | Phẫu thuật tắc ruột: Quy trình thực hiện và những rủi ro tiềm ẩn
- 05/06/2025 | Chụp X-quang tắc ruột: Ý nghĩa và cách thức thực hiện
- 09/07/2025 | Bé gái đau bụng 3 ngày, đi khám phát hiện bị tắc ruột non do mắc ung thư đường tiêu hóa
Mới đây, Phòng khám Đa khoa MEDLATEC Gò Vấp tiếp nhận anh T.P.H. (28 tuổi), đến khám sức khỏe định kỳ.
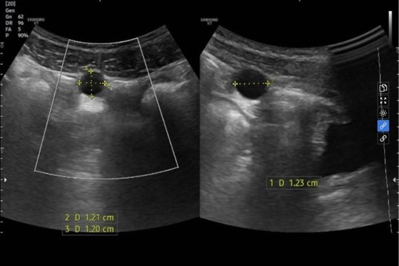
Siêu âm ổ bụng phát hiện ở sát thành bụng vùng hạ vị có một cấu trúc dạng nang kích thước khoảng 12x12mm, ranh giới rõ với bàng quang. Chẩn đoán theo dõi nang mạc treo vùng hạ vị.
Siêu âm ổ bụng cho kết quả theo dõi nang mạc treo vùng hạ vị
Bệnh nhân được tư vấn theo dõi định kỳ, siêu âm lại sau 6 tháng.
Theo ThS.BSCKI Phạm Đặng Hoài Nam - Chuyên khoa Y học gia đình, Phòng khám Đa khoa MEDLATEC Gò Vấp, nang mạc treo là một loại nang hiếm gặp, phát triển trong mạc treo ruột non hoặc đại tràng, chứa dịch bên trong. Nang này có thể là u nang mạc treo hoặc các dạng nang khác như nang ruột đôi, u mạch bạch huyết, hoặc giả nang không do tụy.
Bệnh thường lành tính, không có triệu chứng, có thể được phát hiện tình cờ khi siêu âm hoặc chụp CT bụng.
Nguyên nhân gây nang mạc treo thường là do các yếu tố bẩm sinh, viêm nhiễm, tụ dịch hoặc u phát triển tại mạc treo vùng bụng.
Bác sĩ Nam cảnh báo, nguy cơ biến chứng nang mạc treo có thể rất nghiêm trọng, đặc biệt là xoắn và tắc nghẽn ruột, vì vậy phẫu thuật được chỉ định khi nang lớn, có biến chứng hoặc triệu chứng ảnh hưởng sức khỏe đáng kể.
Dấu hiệu cảnh báo biến chứng nang mạc treo bao gồm:
- Đau bụng dữ dội, đột ngột và lan tỏa, không giảm sau nghỉ hoặc dùng thuốc giảm đau.
- Buồn nôn, nôn nhiều, không kiểm soát, không ăn uống được.
- Sốt cao kéo dài trên 38.5°C kèm theo lừ đừ, mệt mỏi, vật vã hoặc li bì.
- Sưng to vùng bụng hoặc xuất hiện khối u lớn kèm đau tăng dần.
- Dấu hiệu tắc ruột như bụng phình to, không đại tiện hoặc trung tiện được.
- Dấu hiệu nhiễm trùng như sốt cao, ớn lạnh, mạch nhanh, huyết áp tụt.
- Dấu hiệu vỡ nang hoặc viêm phúc mạc như đau bụng lan rộng, cứng bụng, khó thở.
- Các triệu chứng cảnh báo nguy hiểm khác như thở nhanh, khó thở, tụt huyết áp, mạch nhanh, rối loạn ý thức.
Nếu gặp các dấu hiệu trên cần nhập viện cấp cứu ngay để được đánh giá, chẩn đoán và xử trí kịp thời tránh các biến chứng nghiêm trọng như xoắn mạc treo, tắc ruột, hoại tử ruột hoặc viêm phúc mạc nguy hiểm đến tính mạng.
Chuyên khoa Ngoại, Bệnh viện Đa khoa MEDLATEC - nơi phẫu thuật thành công cho hàng trăm bệnh nhân Chuyên khoa Ngoại, Bệnh viện Đa khoa MEDLATEC quy tụ đội ngũ chuyên gia, bác sĩ giàu kinh nghiệm, cùng hệ thống trang thiết bị y tế hiện đại, giúp chẩn đoán, hỗ trợ điều trị hiệu quả bệnh lý viêm ruột thừa và đáp ứng đa dạng các dịch vụ như:
Bên cạnh đó, MEDLATEC còn liên kết với các bệnh viện tuyến Trung ương đầu ngành cả nước như: Bạch Mai, Việt Đức, Tim Hà Nội,... giúp khách hàng thuận tiện chuyển tuyến khi có chỉ định chuyên sâu. Mọi thông tin về dịch vụ khám chữa bệnh tại Chuyên khoa Ngoại - Hệ thống Y tế MEDLATEC, quý khách hàng vui lòng liên hệ tổng đài 1900 56 56 56. |
Bình luận ()
Lựa chọn dịch vụ
Quý khách hàng vui lòng lựa chọn dịch vụ y tế theo nhu cầu!
