Tin tức
Chẩn đoán chính xác, điều trị thành công ca viêm ruột thừa không điển hình
- 16/11/2021 | Các tiêu chí giúp phân biệt viêm ruột thừa với viêm túi thừa đại tràng
- 23/12/2025 | Thai phụ đau bụng dữ dội giữa đêm, đến MEDLATEC khám phát hiện viêm ruột thừa cấp
- 10/03/2026 | Bệnh viện Đa khoa MEDLATEC phẫu thuật thành công trường hợp trẻ bị viêm ruột thừa có phủ tạn...
Chấm dứt 42 giờ đau bằng chẩn đoán chính xác và phẫu thuật kịp thời
Phòng khám Đa khoa MEDLATEC Tây Hồ vừa tiếp nhận nam bệnh nhân, 26 tuổi đến khám trong tình trạng đau âm ỉ vùng hố chậu phải kéo dài khoảng 42 giờ. Bệnh nhân ghi nhận có cảm giác đau bụng, sốt nóng có lúc gai rét nhẹ, buồn nôn, không nôn và hai ngày chưa đại tiện. Tiền sử bản thân và gia đình trước đó hoàn toàn khỏe mạnh.

Nam bệnh nhân đến khám do tình trạng đau âm ỉ vùng hố chậu phải kéo dài khoảng 42 giờ. Ảnh minh họa, nguồn Internet
Bác sĩ Nguyễn Thị Thùy Linh - Phòng khám Đa khoa MEDLATEC Tây Hồ, khám lâm sàng ghi nhận bệnh nhân tỉnh táo, dấu hiệu sinh tồn ổn định. Bụng mềm nhưng ấn đau khu trú vùng hố chậu phải, điểm Mc Burney - dấu hiệu lâm sàng quan trọng gợi ý viêm ruột thừa cấp dương tính, có phản ứng thành bụng, chưa có dấu hiệu cảm ứng phúc mạc.
Với chẩn đoán sơ bộ đau bụng hố chậu phải giờ thứ 42 - theo dõi viêm ruột thừa, bác sĩ vẫn thận trọng đặt ra nhiều chẩn đoán phân biệt như: viêm hồi manh tràng, viêm túi thừa manh tràng, viêm bờm mỡ đại tràng hoặc nhiễm khuẩn tiết niệu.
Để đi đến chẩn đoán xác định, bệnh nhân được chỉ định thực hiện các xét nghiệm, chẩn đoán hình ảnh liên quan.
Xét nghiệm máu thấy tình trạng viêm rõ rệt với bạch cầu tăng 14,89 G/L, tỷ lệ bạch cầu đa nhân trung tính tăng cao và CRP tăng 85,11 mg/L.
Kết quả siêu âm ổ bụng ghi nhận hố chậu phải vị trí góc hồi manh tràng thành không dày, ruột thừa đoạn gốc và thân không tăng kích thước, đoạn ngọn đường kính 6.3mm, ấn không xẹp. Đoạn cuối hồi tràng có hình ảnh túi thừa kích thước 12.9x8.8mm, đường kính cổ túi thừa 2mm, xung quanh thâm nhiễm mỡ, thành hồi tràng lân cận dày 5.2mm

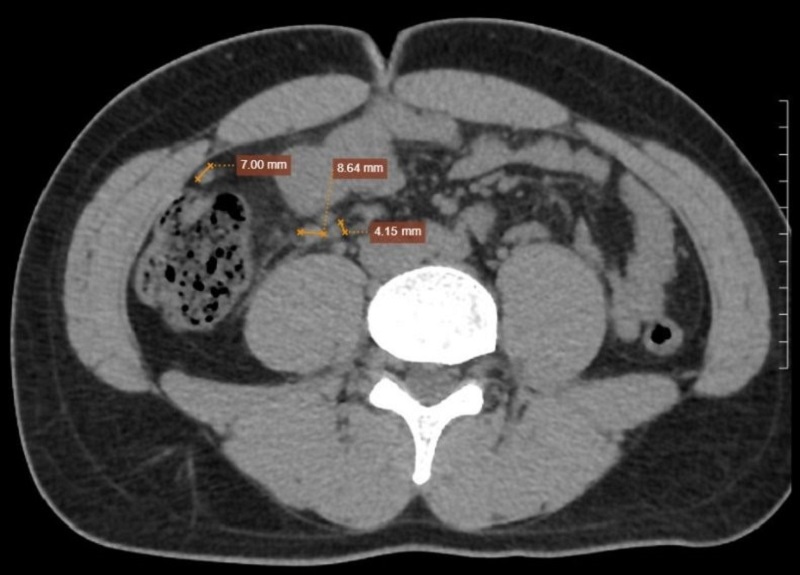
Những hình ảnh bất thường của bệnh nhân ghi nhận trên phim chụp CT Scanner ổ bụng
Trước sự không tương xứng giữa lâm sàng và siêu âm, bệnh nhân được chỉ định chụp CT Scanner ổ bụng. Kết quả ghi nhận ruột thừa vị trí góc manh tràng, đường kính gốc 7.7mm, thân 8.1mm, ngọn 7.2mm (đoạn ngọn quay ngược lại phía gốc ruột thừa tạo thành hình tròn), trong lòng chứa dịch, thành còn liên tục, ngấm thuốc sau tiêm. Hồi tràng thành dày nhẹ, thâm nhiễm mỡ xung quanh. Mạc treo lân cận có vài hạch, đường kính ngang lớn nhất 8.6mm. Từ đó, chẩn đoán xác định viêm ruột thừa cấp được đưa ra và bệnh nhân được chỉ định phẫu thuật kịp thời.
Phẫu thuật thành công viêm ruột thừa cấp ở vị trí khó
Ngay sau đó, ca bệnh được phẫu thuật nội soi thành công bởi BSCKII. Nguyễn Văn Thưởng - Trưởng chuyên khoa Ngoại, Bệnh viện Đa khoa MEDLATEC giàu kinh nghiệm. Bệnh nhân được xuất viện sau 03 ngày điều trị.

Hình ảnh ruột thừa của bệnh nhân sau phẫu thuật
Theo bác sĩ, điểm khác biệt lớn của trường hợp này so với các ca viêm ruột thừa cấp thông thường nằm ở tình trạng viêm và mức độ dính trong ổ bụng. Ruột thừa trong ca bệnh ở trạng thái viêm cấp căng mủ, xung quanh có mô mỡ viêm bám dính, đồng thời quai hồi tràng dính vào mạc Told. Điều này khiến việc tiếp cận và bộc lộ ruột thừa trở nên khó khăn hơn đáng kể so với các trường hợp thông thường, nơi ruột thừa thường ít dính và dễ xử trí.
Trong quá trình phẫu thuật, ê-kíp phải tiến hành gỡ dính tỉ mỉ để giải phóng mạc nối khỏi quai hồi tràng, tách quai hồi tràng khỏi mạc Told, sau đó mới có thể giải phóng hoàn toàn ruột thừa. Việc cắt ruột thừa được thực hiện sau khi đã kiểm soát tốt các cấu trúc xung quanh, với kỹ thuật kẹp gốc bằng hemolock.
Những dấu hiệu cần cảnh giác của viêm ruột thừa
Từ ca bệnh trên cho thấy viêm ruột thừa không phải lúc nào cũng có biểu hiện rầm rộ hoặc điển hình. Người bệnh có thể chỉ xuất hiện đau âm ỉ kéo dài, ít triệu chứng tiêu hóa đi kèm, dễ gây nhầm lẫn với các bệnh lý khác trong ổ bụng.
Trên thực tế, những dấu hiệu như đau vùng hố chậu phải kéo dài trên 24 giờ, đau tăng dần, kèm sốt nhẹ, rối loạn tiêu hóa hoặc cảm giác khó chịu toàn thân đều cần được lưu ý. Ngay cả khi triệu chứng chưa rõ ràng, người bệnh vẫn nên đi khám sớm để được đánh giá đầy đủ.
Việc chậm trễ trong chẩn đoán và điều trị có thể dẫn đến các biến chứng nguy hiểm như vỡ ruột thừa, viêm phúc mạc hoặc nhiễm trùng ổ bụng.
Bác sĩ khuyến cáo, khi xuất hiện đau bụng, đặc biệt tại vùng hố chậu phải, người dân nên chủ động đến cơ sở y tế để được thăm khám kịp thời. Chẩn đoán sớm và chính xác là yếu tố quyết định giúp điều trị hiệu quả và phòng tránh biến chứng nguy hiểm.
Vai trò của siêu âm và chụp CT Scanner ổ bụng trong chẩn đoán viêm ruột thừa
Trong chẩn đoán viêm ruột thừa, siêu âm ổ bụng thường là phương pháp được lựa chọn đầu tay nhờ tính an toàn, nhanh chóng và dễ thực hiện. Tuy nhiên, phương pháp này có thể gặp hạn chế trong các trường hợp ruột thừa có vị trí bất thường, hình thái không điển hình hoặc bị che lấp bởi các cấu trúc lân cận.

Chụp CT Scanner ổ bụng có vai trò quan trọng trong chẩn đoán các trường hợp nghi ngờ viêm ruột thừa
Ca bệnh tại MEDLATEC là một ví dụ điển hình khi siêu âm không phát hiện được dấu hiệu đặc trưng của viêm ruột thừa, thậm chí còn gợi ý sang hướng bệnh lý khác.
Bằng kỹ thuật chụp CT Scanner ổ bụng đã xác định rõ hình ảnh viêm ruột thừa, đồng thời đánh giá mức độ tổn thương và các yếu tố liên quan.
Điều này cho thấy, trong những trường hợp nghi ngờ nhưng chưa rõ ràng, việc chỉ định CT Scanner là cần thiết để đảm bảo chẩn đoán chính xác, từ đó đưa ra hướng xử trí phù hợp và kịp thời.
Với định hướng là hoạt động chuyên môn mũi nhọn, tại Hệ thống Y tế MEDLATEC, bên cạnh Trung tâm Xét nghiệm, Trung tâm Giải phẫu bệnh và Trung tâm Tiêu hóa, Trung tâm Chẩn đoán hình ảnh đã được đầu tư đồng bộ từ quy tụ đội ngũ chuyên gia, bác sĩ đầu ngành giàu kinh nghiệm, cùng đầy đủ hệ thống máy móc, trang thiết bị hiện đại bậc nhất (CT, MSCT, MRI...). Vì vậy, MEDLATEC có năng lực tốt nhất phục vụ khám chữa bệnh đa chuyên khoa chính xác, hiệu quả. Bên cạnh điều trị ngoại trú, MEDLATEC còn đáp ứng tối đa nhu cầu của người dân về điều trị nội trú, thực hiện phẫu thuật đa chuyên khoa như Tiêu hóa, Tiết niệu, Ung bướu, Sản khoa, Mắt và Ngoại tổng hợp với các dịch vụ nổi bật như phẫu thuật trĩ Longo, viêm ruột thừa, cắt u, nội soi can thiệp, phẫu thuật mộng, sụp mi, và các tiểu phẫu...
Mọi thông tin tìm hiểu về dịch vụ khám chữa bệnh tại Hệ thống Y tế MEDLATEC, người dân vui lòng liên hệ tổng đài: 1900 56 56 56.
Bình luận ()
Lựa chọn dịch vụ
Quý khách hàng vui lòng lựa chọn dịch vụ y tế theo nhu cầu!