Tin tức
Thai phụ đau bụng dữ dội giữa đêm, đến MEDLATEC khám phát hiện viêm ruột thừa cấp
- 11/01/2020 | Cẩm nang những điều cần biết về siêu âm viêm ruột thừa
- 30/06/2023 | Viêm ruột thừa cấp: triệu chứng và phương pháp điều trị
- 25/11/2024 | Trẻ bị viêm ruột thừa: Cách nhận biết bệnh sớm để đưa trẻ đi khám
- 09/03/2025 | Viêm ruột thừa có tự khỏi được không? Cần điều trị bằng cách nào?
Đau bụng giữa đêm, thai phụ 12 tuần được phát hiện viêm ruột thừa cấp
Mới đây, Phòng khám Đa khoa MEDLATEC Gò Vấp tiếp nhận thai phụ N.T.L.A. (25 tuổi, trú tại TP. Hồ Chí Minh) trong tình trạng Đau bụng dữ dội. Thai phụ đang mang thai tự nhiên, con so tuần thứ 12.
Theo bệnh nhân chia sẻ, khoảng 3 giờ sáng, khi chị đang ngủ thì xuất hiện cơn đau âm ỉ vùng thượng vị, đau tăng khi thay đổi tư thế, kèm buồn nôn và chán ăn. Sau đó, vùng thượng vị hết đau, chuyển đau tại hố chậu phải với mức độ ngày càng tăng, khiến bệnh nhân phải đi khám.
Tại MEDLATEC Gò Vấp, bác sĩ khám thấy bụng mềm, ấn đau rõ vùng hố chậu phải, điểm McBurney (điểm đau của viêm ruột thừa) dương tính và có phản ứng dội, gợi ý viêm ruột thừa.
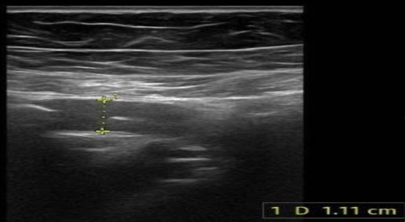
Siêu âm bụng ghi nhận, có 1 thai khoảng 12 tuần trong buồng tử cung. Ruột thừa vùng hố chậu phải có đường kính 11 mm, không xẹp khi đè, kèm hình ảnh thâm nhiễm mỡ xung quanh. Xét nghiệm máu, tình trạng viêm rõ rệt với số lượng bạch cầu tăng 15 G/L, tỷ lệ bạch cầu trung tính 88,8% và chỉ số CRP tăng 19,19 mg/L.

Siêu âm phát hiện ruột thừa ở vùng hố chậu phải, có đường kính khoảng 11mm
Trên cơ sở các triệu chứng, thăm khám đa chuyên khoa, xét nghiệm máu và siêu âm, các bác sĩ Nội khoa, Sản khoa, Chẩn đoán hình ảnh… đã hội chẩn, chẩn đoán bệnh nhân mắc viêm ruột thừa cấp giờ thứ 8, chưa có biến chứng, trên nền thai 12 tuần. Thai phụ được chuyển viện để xử trí phẫu thuật.
Kết quả chụp cộng hưởng từ (MRI) ổ bụng trước mổ khẳng định chẩn đoán của MEDLATEC Gò Vấp là chính xác. MRI ghi nhận ruột thừa vùng hố chậu phải tăng khẩu kính đến 12 mm, thành dày, phù nề, trong lòng chứa dịch, thâm nhiễm mô mỡ xung quanh và có sỏi phân tại gốc ruột thừa, kích thước 12 × 7 mm – hình ảnh điển hình của viêm ruột thừa cấp ở thai phụ.

Hình ảnh chụp cộng hưởng từ cho thấy có sỏi phân tại gốc ruột thừa
Theo hồi cứu, thai phụ đã được phẫu thuật, mẹ và bé đều an toàn. Chẩn đoán xác định sau mổ là viêm ruột thừa cấp do sỏi phân.
Đau bụng cấp ở phụ nữ mang thai nguy hiểm như thế nào?
BSCKI. Nguyễn Thị Mỹ Lệ - Chuyên ngành Nội khoa, Phòng khám Đa khoa MEDLATEC Gò Vấp cho biết, đau bụng cấp ở phụ nữ có thai là tình trạng cấp cứu của cả hai bệnh nhân (mẹ và thai nhi).
Triệu chứng bệnh không điển hình, dễ nhầm lẫn với tình trạng sinh lý bình thường của thai kỳ, vị trí đau thay đổi không giống như lúc trước mang thai, giới hạn cận lâm sàng cần khảo sát vì phải xem xét có ảnh hưởng đến thai nhi hay không... đây là những những thách thức trong chẩn đoán đau bụng cấp ở phụ nữ có thai. Việc chậm trễ trong chẩn đoán và điều trị có thể đe dọa tính mạng của mẹ và thai nhi.

Viêm ruột thừa cấp rất nguy hiểm cho mẹ bầu và thai nhi nếu không được chẩn đoán và xử trí kịp thời. Ảnh minh họa
Viêm ruột thừa cấp là nguyên nhân thường gặp nhất trong nhóm đau bụng cấp không do sản phụ khoa ở phụ nữ mang thai. Khi bệnh tiến triển đến giai đoạn vỡ ruột thừa, nguy cơ biến chứng nặng, nhiễm trùng ổ bụng, đe dọa tính mạng của cả mẹ và thai nhi tăng lên rõ rệt. Những can thiệp phẫu thuật không cần thiết cũng có thể làm gia tăng nguy cơ sảy thai hoặc sinh non. Vì vậy, khi nghi ngờ viêm ruột thừa cấp ở phụ nữ có thai, việc chẩn đoán cần được thực hiện thận trọng, chính xác bằng các phương tiện phù hợp, nhằm đưa ra chỉ định phẫu thuật kịp thời và đúng thời điểm.
Bác sĩ Mỹ Lệ khuyến cáo, các thai phụ cần đặc biệt chú ý đến những triệu chứng gợi ý đau bụng cấp nguy hiểm như: đau bụng dữ dội, đau tăng dần hoặc đau khu trú rõ; kèm sốt; đau kèm ra máu âm đạo hoặc choáng, mệt nhiều… Khi có các triệu chứng bất thường như trên, thai phụ tuyệt đối không chủ quan, cần đến cơ sở y tế uy tín để được thăm khám và xử trí kịp thời.
MEDLATEC Gò Vấp - Địa chỉ thăm khám uy tín cho người dân phía Nam
Trực thuộc Hệ thống Y tế MEDLATEC - Đơn vị y tế có 30 năm kinh nghiệm đồng hành chăm sóc sức khỏe cộng đồng, Phòng khám Đa khoa MEDLATEC Gò Vấp đã tiếp nối, phát huy thế mạnh của thương hiệu y tế hàng đầu tại Việt Nam để mang đến địa chỉ chăm sóc sức khỏe tin cậy, chất lượng phục vụ người dân khu vực phía Nam.
Lựa chọn thăm khám tại MEDLATEC Gò Vấp, người dân hoàn toàn an tâm, tin tưởng, bởi những lý do sau:
- Quy tụ đội ngũ chuyên gia, bác sĩ đầu ngành, tận tâm với từng người bệnh, phục vụ khám chữa bệnh đa chuyên khoa;
- Sở hữu Trung tâm Xét nghiệm hiện đại hàng đầu Việt Nam với hệ thống máy móc đồng bộ, hiện đại; thực hiện được hơn 2.000 danh mục xét nghiệm từ cơ bản đến chuyên sâu;
- Áp dụng song hành 2 chứng chỉ xét nghiệm quốc tế là CAP (Hoa Kỳ) và ISO 15189:2022; giải thưởng Thương hiệu Quốc gia Việt Nam 2024;
- Là đơn vị y tế đầu tiên tại Việt Nam đạt chứng chỉ ISO 15189:2022 trong lĩnh vực Chẩn đoán hình ảnh;
- Dịch vụ lấy mẫu xét nghiệm tận nơi phủ sóng trên toàn quốc, nhanh chóng, bảo mật.

Hệ thống Y tế MEDLATEC luôn mang đến cho mẹ bầu sự an tâm trong suốt thai kỳ
Ngoài ra, để giúp người dân tiết kiệm tối đa chi phí khi khám chữa bệnh, MEDLATEC triển khai Thẻ 555 với chi phí 555.000 VNĐ, người dân có ngay quyền lợi cho 10 thành viên trong gia đình kéo dài suốt 1 năm, cụ thể như sau:
- Miễn phí 10 lần khám và tư vấn;
- Miễn phí 10 lần khám răng và giảm 15% dịch vụ nha khoa tại MEDDENTAL;
- Giảm 15% dịch vụ y tế phát sinh (áp dụng gần 2.500 danh mục, dịch vụ);
- Đặc biệt, trong tháng 12/2025, mua thẻ mới, người dân còn được hưởng ưu đãi cực lớn gồm: giảm 25% chi phí dịch vụ xét nghiệm; giảm 35% chi phí dịch vụ Chẩn đoán hình ảnh; giảm 50% chi phí dịch vụ MRI và CT (không tiêm thuốc). Chương trình áp dụng từ nay đến hết ngày 31/12/2025.
Đặt lịch thăm khám tại MEDLATEC, người dân vui lòng liên hệ tổng đài 1900 56 56 56 để được tư vấn và hỗ trợ 24/24h.
Bình luận ()
Lựa chọn dịch vụ
Quý khách hàng vui lòng lựa chọn dịch vụ y tế theo nhu cầu!