Tin tức
Chỉ còn 3 ngày để nhận ưu đãi chăm sóc hệ tiêu hóa toàn diện tại MEDLATEC
- 17/10/2025 | Chăm sóc hệ tiêu hóa cùng MEDLATEC: Miễn phí xét nghiệm tại nhà và giảm tới 50% dịch vụ tại...
- 15/05/2025 | Thoát khỏi nỗi ám ảnh tiểu khó sau 3 năm nhờ phẫu thuật nội soi tuyến tiền liệt tại MEDLATEC
- 21/05/2025 | So sánh kỹ thuật cắt hớt niêm mạc qua nội soi (EMD) và cắt tách dưới niêm mạc qua nội soi (E...
- 05/06/2025 | Nội soi siêu âm (EUS): Giải pháp hiện đại trong phát hiện và điều trị bệnh tiêu hóa
Bảo vệ hệ tiêu hóa và sức khỏe lá gan của bạn với quà tặng sức khỏe từ MEDLATEC
Với mong muốn đồng hành cùng người dân trong hành trình bảo vệ sức khỏe hệ tiêu hóa một cách chủ động, toàn diện và khoa học, MEDLATEC triển khai chương trình ưu đãi đặc biệt. Cụ thể như sau:

Chương trình ưu đãi áp dụng đối với dịch vụ lấy mẫu xét nghiệm tận nơi
1/ Đối với khách hàng sử dụng dịch vụ lấy mẫu tại nhà, miễn phí 1 trong 2 xét nghiệm tầm soát ung thư:
- Xét nghiệm CEA (sàng lọc ung thư đường tiêu hóa);
- Xét nghiệm AFP (tầm soát ung thư gan).

Chương trình ưu đãi áp dụng đối với dịch vụ tại hệ thống bệnh viện/phòng khám
2/ Đối với khách hàng sử dụng dịch vụ tại bệnh viện/phòng khám, khách hàng lựa chọn 1 trong 2 chương trình ưu đãi: Nội soi tiêu hóa, hoặc Siêu âm ổ bụng tổng quát:
- Giảm 30% phí nội soi thực quản - dạ dày - tá tràng (không bao gồm gây mê và các dịch vụ đi kèm). Giảm thêm 15% phí nội soi đại trực tràng (áp dụng cho khách hàng đăng ký nội soi combo dạ dày và đại tràng, không bao gồm gây mê, các dịch vụ đi kèm);
- Giảm 50% phí siêu âm ổ bụng tổng quát.
Thời gian áp dụng: Từ 17/10 đến 31/10/2025.
Riêng đối với dịch vụ nội soi tiêu hóa áp dụng tại các cơ sở sau:
- Bệnh viện Đa khoa MEDLATEC: 42-44 Nghĩa Dũng, Hồng Hà, Hà Nội;
- Phòng khám Đa khoa MEDLATEC Tây Hồ: 99 Trích Sài, Tây Hồ, Hà Nội;
- Phòng khám Đa khoa MEDLATEC Cầu Giấy: Số 2/82 Duy Tân, Cầu Giấy, Hà Nội;
- Phòng khám Đa khoa MEDLATEC Thanh Xuân: Số 3 Khuất Duy Tiến, Thanh Xuân, Hà Nội.
Để nhận ưu đãi thành công, người dân vui lòng đăng ký trước thông qua các kênh của MEDLATEC:
Landing Page:
App My Medlatec
Tổng đài: 1900 56 56 56
Fanpage: Bệnh viện Đa khoa MEDLATEC
Kịp thời phát hiện xơ gan nhờ xét nghiệm AFP tại nhà
Trường hợp của bệnh nhân H.T.N (nam, 49 tuổi) may mắn phát hiện sớm bệnh lý gan nguy hiểm nhờ biết đến chương trình ưu đãi của MEDLATEC.
Anh N. cho biết, tình cờ biết đến chương trình miễn phí Xét nghiệm AFP tại nhà của MEDLATEC qua Facebook. Gần đây, xuất hiện các triệu chứng đau tức vùng thượng vị và hạ sườn phải, tiểu sẫm màu, mệt mỏi, ăn uống kém. Trước đó 10 năm, anh được chẩn đoán viêm gan B nhưng chưa điều trị, nên đã đăng ký sử dụng ưu đãi.
Kết quả cho thấy: hội chứng hủy hoại tế bào gan (+), hội chứng suy tế bào gan (+/-), HBeAb (+), HBV DNA: 35.650 cps/mL, các chỉ số men gan (AST, ALT, GGT) tăng, AFP lên tới 156 ng/mL (giá trị bình thường ≤ 10 ng/mL).
Bệnh nhân được tư vấn thực hiện thêm các kỹ thuật chẩn đoán chuyên sâu tại bệnh viện để xác định mức độ tổn thương gan. Do tới khám trong thời gian diễn ra chương trình ưu đãi, anh N. tiếp tục được giảm 50% chi phí siêu âm ổ bụng tổng quát.
.png)
Kết quả siêu âm tổng quát có đàn hồi mô gan cho thấy hình ảnh nhu mô gan thô, bờ không đều
Kết quả siêu âm tổng quát có đàn hồi mô gan cho thấy hình ảnh nhu mô gan thô, bờ không đều (theo dõi xơ gan). Độ cứng của gan tương đương F4 (theo Metavir-LB).
.png)
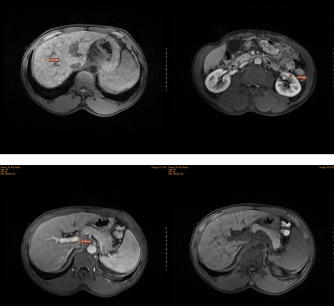
Chụp cộng hưởng từ tầng trên ổ bụng ghi nhận hình ảnh bất thường ở gan
Chụp cộng hưởng từ tầng trên ổ bụng ghi nhận hình ảnh các nốt tổn thương trong gan có ngấm thuốc tương đồng với nhu mô lành ở các thì tiêm thuốc hướng tới nốt tân tạo, trên nền xơ gan.
.png)
Kết quả nội soi tiêu hóa của bệnh nhân
Nội soi tiêu hóa cho kết quả viêm dạ dày.
Dựa vào các kết quả trên, anh N. được chẩn đoán mắc viêm gan B mạn tính - Xơ gan Child Pugh A, viêm dạ dày.
Bệnh nhân được kê đơn điều trị viêm gan B, hướng dẫn tuân thủ điều trị, hẹn tái khám sau 1 tháng.
Theo ThS.BSNT Phạm Thị Quế - Trung tâm Tiêu hóa, Hệ thống Y tế MEDLATEC, trường hợp của anh N. may mắn được phát hiện ở giai đoạn Child-Pugh A - tức xơ gan còn bù, thuộc giai đoạn đầu của quá trình xơ hóa gan. Ở giai đoạn này, gan mới bắt đầu tổn thương, chức năng gan vẫn duy trì hoạt động, những phần không bị tổn thương có thể làm việc "bù" cho phần bị tổn thương. Nếu phát hiện bệnh đang ở giai đoạn này thì gan có thể được phục hồi chức năng như ban đầu.
Ngược lại với xơ gan còn bù là xơ gan mất bù (Child - Push B/ C). Giai đoạn này gan đã bị tổn thương khá nặng và chức năng gan bị ảnh hưởng, không thể bù đắp cho phần bị tổn thương. Giai đoạn này có tiên lượng xấu, quá trình điều trị khó khăn và hiệu quả không cao.
Bác sĩ Quế khuyến cáo, nếu thấy xuất hiện bất kỳ biểu hiện nào bất thường ở đường tiêu hóa, người dân cần đến thăm tại cơ sở y tế uy tín để được đánh giá, chẩn đoán và điều trị kịp thời.

Trung tâm Tiêu hóa MEDLATEC quy tụ đội ngũ chuyên gia đầu ngành giàu kinh nghiệm, cùng hệ thống máy móc trang thiết bị hiện đại
Đừng bỏ lỡ cơ hội chủ động kiểm tra sức khỏe tiêu hóa một cách an toàn - tiện lợi - tiết kiệm cùng đội ngũ chuyên gia, y bác sĩ đầu ngành tại MEDLATEC.
Người dân có thêm thắc mắc cần giải đáp về chương trình hoặc có nhu cầu đăng ký nhận ưu đãi vui lòng liên hệ qua Tổng đài 1900 56 56 56 để được hỗ trợ kịp thời, nhanh chóng.
Bình luận ()
Lựa chọn dịch vụ
Quý khách hàng vui lòng lựa chọn dịch vụ y tế theo nhu cầu!