Tin tức
Cô gái 25 tuổi phát hiện mắc ung thư từ dấu hiệu bất thường ở vùng cổ
- 25/02/2025 | Tìm hiểu bệnh u lympho không hodgkin tế bào B lớn tỏa rộng
- 12/09/2025 | Bệnh u lympho không Hodgkin: Những điều nên biết để nhận diện và điều trị sớm
- 27/10/2025 | U Lympho Hodgkin là gì? Giai đoạn tiến triển, triệu chứng và cách điều trị
Cảnh giác với khối u bất thường ở vùng cổ
Mới đây, Phòng khám Đa khoa MEDLATEC Tây Hồ tiếp nhận chị N.A.N (25 tuổi) đến khám do sờ thấy khối vùng thượng đòn trái.
Khai thác bệnh sử được biết, khoảng 1 tháng gần đây chị N. xuất hiện đau bụng thượng vị, ợ hơi, tự sờ thấy khối vùng thượng đòn trái, không đau, người mệt mỏi, đôi khi hụt hơi khi lên xuống cầu thang.
Tại MEDLATEC, qua khám lâm sàng bác sĩ ghi nhận tại vùng hố thượng đòn trái có khối kích thước khoảng 3x2cm, bề mặt nhẵn, mật độ chắc, ranh giới tương đối rõ, di động kém, ấn hơi tức, da trên bề mặt khối không loét.
Nội soi thực quản dạ dày cho kết quả viêm dạ dày (HP âm tính).
Siêu âm vú cho thấy hình ảnh nhân và nang tuyến vú trái - đều hướng đến tổn thương lành tính.
.png)
Siêu âm tuyến giáp ghi nhận hạch vùng cổ và hố thượng đòn hai bên
Siêu âm tuyến giáp ghi nhận nhiều hạch bất thường vùng hố thượng đòn hai bên, hạch lớn nhất vùng cổ trái kích thước khoảng 35x15mm.
.png)
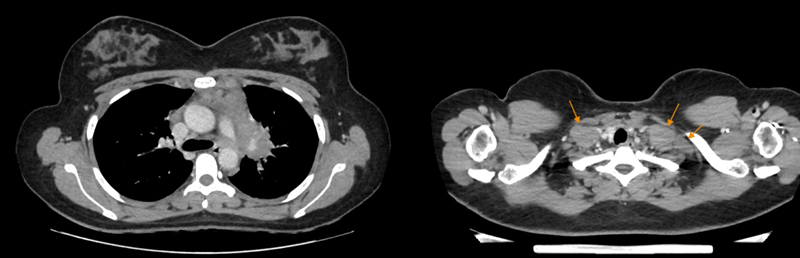
Hình ảnh tổn thương trung thất trên, lan vào rốn phổi trái, ôm quanh và làm hẹp lòng các nhánh động mạch - tĩnh mạch phổi và phế quản thùy trên

CT ghi nhận vùng nền cổ, thượng đòn hai bên có nhiều khối hạch bất thường, bờ đa cung, ngấm thuốc không đồng nhất sau tiêm, hạch lớn kích thước khoảng 32x45mm
Chụp CT toàn thân có tiêm cản quang phát hiện nhiều hạch bất thường vùng nền cổ, hố thượng đòn hai bên và trung thất, các hạch tạo thành đám ôm quanh các mạch máu trong trung thất và ôm quanh phế quản gốc hai bên.
Để đánh giá bản chất tổn thương, bệnh nhân đã được chỉ định chọc tế bào kim nhỏ và sinh thiết hạch thượng đòn trái.
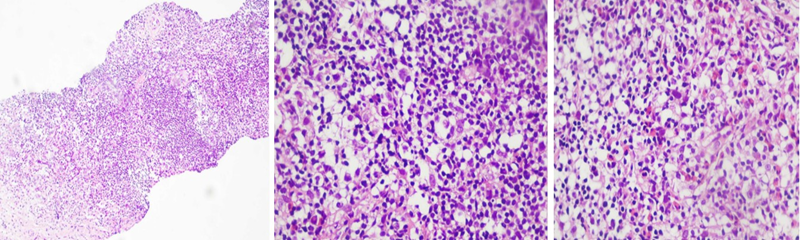
Kết quả chọc tế bào hạch thượng đòn trái hướng tới u lympho ác tính. Mô bệnh học sinh thiết hạch thượng đòn trái hướng đến U lympho Hodgkin. Nhuộm hóa mô miễn dịch 5 dấu ấn cho kết quả dương tính với CD 15, CD 30, PAX 5 giúp khẳng định chẩn đoán.
.png)
Trên phiến đồ thấy tăng sinh mạnh các tế bào lympho kích thước trung bình đến lớn, các tế bào có nhân kiềm tính, chất nhiễm sắc thô, màng nhân méo mó không đều
.png)
Kết quả mô bệnh học mẫu sinh thiết hạch thượng đòn trái cho thấy nhiều bạch cầu đa nhân, một số ổ viêm hạt, một số tế bào nhân lớn, kiềm tính, đứng rải rác
.png)
Kết quả hóa mô miễn dịch kết luận phù hợp u lympho Hodgkin kinh điển
Dựa vào kết quả trên, chị N. được chẩn đoán mắc u lympho Hodgkin. Bệnh nhân đã được tư vấn và hướng dẫn chuyển đến bệnh viên chuyên khoa phù hợp để điều trị.
Ca bệnh trên tiếp tục khẳng định năng lực chẩn đoán chuyên sâu cùng hiệu quả của mô hình đa chuyên khoa tại Hệ thống Y tế MEDLATEC.
U lympho Hodgkin: Nguyên nhân, triệu chứng, mức độ nguy hiểm của bệnh
Theo BSCKI. Đoàn Như Hoa – Chuyên khoa Nội, Phòng khám Đa khoa MEDLATEC Tây Hồ, bệnh Hodgkin là một trong hai nhóm bệnh ác tính của tế bào lympho. Trong đó, u lympho Hodgkin hay còn gọi là ung thư hạch Hodgkin (chiếm khoảng 20-30%) và u lympho không Hodgkin (chiếm khoảng 70-80%). Tại Việt Nam, bệnh này xếp thứ 14 trong các loại ung thư hay gặp.
Báo cáo từ Tổ chức Y tế Thế giới (WHO) cho thấy, tổng số ca mắc Lympho Hodgkin trong năm 2022 ước đạt 82.469 ca, con số tử vong tương ứng 22.733 ca (chiếm 27.5%). Bệnh gặp ở nam nhiều hơn nữ và phân bố chủ yếu ở hai nhóm tuổi: thanh thiếu niên, người trẻ (khoảng 20 tuổi) và người cao tuổi (khoảng 60 tuổi).
Cho đến nay, nguyên nhân dẫn đến ung thư hạch Hodgkin vẫn chưa được xác định chính xác. Mặc dù vậy, nhiều yếu tố nguy cơ được cho là có khả năng tạo điều kiện cho căn bệnh này khởi phát. Đơn cử như: nhiễm virus Epstein-Barr virus (EBV), Cytomegalovirus (CMV); suy giảm miễn dịch (sau ghép tạng, nhiễm HIV/AIDS...); các bệnh lý tự miễn và tiền sử gia đình có người mắc ung thư hạch bạch huyết .
.png)
Nổi hạch to bất thường ở vùng cổ có thể là dấu hiệu cảnh báo u lympho Hodgkin. Ảnh minh họa
U lympho Hodgkin có biểu hiện lâm sàng rất đa dạng và dễ gây nhầm lẫn với các tình trạng nhiễm trùng thông thường, bao gồm:
- Hạch to bất thường (chiếm 70% trường hợp): Thường xuất hiện ở cổ, nách, bẹn. Hạch có mật độ chắc, số lượng nhiều nhưng đặc biệt không đau;
- khối u trung thất (vị trí tổn thương phổ biến thứ hai): Khối u này thường diễn tiến âm thầm hoặc gây ra các triệu chứng hô hấp không đặc hiệu như: đau tức sau xương ức, ho kéo dài, khó thở (thở nông) hoặc tràn dịch màng phổi;
- Triệu chứng toàn thân: Ngứa, mệt mỏi, tam chứng B (sốt, ra mồ hôi đêm, sút cân trên 10% trọng lượng cơ thể trong 6 tháng không giải thích được nguyên nhân);
- Một vài hội chứng cận u hiếm: Đau do rượu (đau xương hoặc ở vị trí hạch xảy ra sau vài phút sử dụng rượu dù với lượng nhỏ), tổn thương da (mày đay, hồng ban..), hội chứng thận hư.
Bệnh thường tiến triển theo hướng lan tràn có trật tự, ban đầu từ một nhóm hạch khu trú sang các hạch lân cận, sau đó có thể xâm lấn tới các cơ quan ngoài hạch như lách và tủy xương. Khi khối u phát triển kích thước lớn và không được kiểm soát, bệnh sẽ gây ra các biến chứng do thâm nhiễm và chèn ép như:
- Hội chứng chèn ép tĩnh mạch chủ trên: Gây phù áo khoác (phù mặt, cổ, tay), tĩnh mạch cổ nổi to do máu không lưu thông được về tim.
- Biến chứng hô hấp: Tràn dịch màng phổi diện rộng, chèn ép khí quản gây suy hô hấp cấp.
- Suy kiệt hệ thống: Thiếu máu nặng, xuất huyết do giảm tiểu cầu và nhiễm trùng cơ.
Phối hợp đa chuyên khoa chẩn đoán u lympho Hodgkin

Mô hình phối hợp đa chuyên khoa tại Hệ thống Y tế MEDLATEC giúp rút ngắn thời gian chờ đợi, mang lại lộ trình điều trị cá thể hóa cho người bệnh
Để chẩn đoán u lympho Hodgkin và xây dựng phác đồ điều trị hiệu quả các cần có sự phối hợp của đa chuyên khoa (Lâm sàng, Chẩn đoán hình ảnh, Xét nghiệm, Giải phẫu bệnh).
Phương tiện chẩn đoán bao gồm:
- Các phương pháp chẩn đoán hình ảnh như: Siêu âm, X-quang, CT, MRI, PET, PET-CT giúp phát hiện hạch sâu, vị trí di căn khác và theo dõi sau điều trị;
- Hạch đồ: Hạch tăng sinh, đa hình thái, ngoài dòng lympho còn gặp nhiều bạch cầu trung tính, bạch cầu ưa acid, tế bào plasmo, đại thực bào, tế bào xơ. Trong trường hợp điển hình gặp tế bào Reed-Sternberg;
- Tổng phân tích tế bào máu ngoại vi: Có thể thiếu máu, tăng bạch cầu trung tính, bạch cầu ưa acid, số lượng tiểu cầu bình thường;
- Tốc độ máu lắng và protein C phản ứng thường tăng;
- Tủy đồ, sinh thiết tủy xương và nhuộm hóa mô miễn dịch giúp phát hiện u xâm lấn tủy;
- Xét nghiệm di truyền có thể thấy đột biến gen như: TP53, PDL1, PDL2...;
- Xét nghiệm virus EBV, CMV IgG, IgM và đo tải lượng EBV, CMV để xác định nguyên nhân gây bệnh;
- Mô bệnh học, hóa mô miễn dịch qua sinh thiết hạch hoặc u vị trí ngoài hạch được coi là tiêu chuẩn vàng để chẩn đoán xác định bệnh.
Bác sĩ Hoa cho hay, ung thư hạch Hodgkin có điều trị thành công được hay không còn phụ thuộc vào một số yếu tố như: giai đoạn tiến triển, tình trạng sức khỏe người bệnh, khả năng đáp ứng điều trị... Nếu được chữa trị trong giai đoạn đầu, khả năng kéo dài sự sống cho người bệnh thêm ít nhất 5 năm là khá cao. Tuy nhiên, nếu bệnh đã tiến triển sang giai đoạn muộn, khả năng điều trị thành công thường giảm sút đáng kể.
Do đó, bác sĩ Hoa khuyến cáo người dân khi xuất hiện các dấu hiệu nghi ngờ bệnh cần chủ động đến cơ sở y tế uy tín, có đầy đủ năng lực chuyên môn để được thăm khám và điều trị kịp thời.
Mọi thông tin về dịch vụ khám chữa bệnh tại Hệ thống Y tế MEDLATEC trên toàn quốc, người dân vui lòng liên hệ tổng đài 1900 56 56 56 để được hỗ trợ.
Bình luận ()
Lựa chọn dịch vụ
Quý khách hàng vui lòng lựa chọn dịch vụ y tế theo nhu cầu!