Tin tức
Ho khan kéo dài, nam bệnh nhân đi khám bất ngờ phát hiện viêm phổi hiếm gặp
- 17/06/2024 | Bỏ túi 5 cách trị ho khan đơn giản và nhanh chóng ngay tại nhà
- 21/06/2024 | Vì sao trẻ ho khan và cách điều trị bệnh
- 31/03/2025 | Liên tục ho khan - Dấu hiệu ngỡ là hô hấp, hóa ra tổn thương nguy hiểm ở đại tràng
Nam bệnh nhân Đ.V.C. (42 tuổi, Hà Nội) tới Phòng khám Đa khoa MEDLATEC Thanh Xuân thăm khám với tình trạng ho khan thúng thắng, cảm giác tức ngực nhẹ, không khó thở, kèm theo các biểu hiện mệt mỏi, khát nước, tiểu nhiều, gầy sụt cân nhanh 8kg trong vòng 3 tháng.
Trước đó, người bệnh đã tự test 5 tác nhân virus gây bệnh đường hô hấp với kết quả âm tính, tự dùng thuốc tại nhà. Tuy nhiên, các triệu chứng không thuyên giảm nên anh C. đã đến cơ sở y tế thăm khám. Ngoài ra, anh C. có sử dụng rượu bia hàng ngày. Khoảng 1 tháng trước khi nhập viện, bệnh nhân có sử dụng thuốc giảm cân và nước kiềm không rõ loại.
Tại MEDLATEC Thanh Xuân, các bác sĩ tiến hành thăm khám lâm sàng và chỉ định các xét nghiệm cận lâm sàng cần thiết phục vụ chẩn đoán.
Thăm khám phổi ghi nhận thông khí kém, rì rào phế nang giảm, nghe thấy nhiều ran ẩm ran nổ, gõ đục nhiều vùng phổi, có rung thanh tăng, các dấu hiệu phù hợp với hội chứng đông đặc tổn thương phổi dương tính.
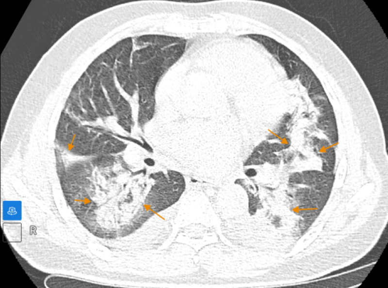
Trên hình ảnh chụp cắt lớp vi tính (CLVT) phổi cho thấy tổn thương đông đặc nhu mô phổi, kèm theo xẹp phổi quanh bó mạch - phế quản. Dày tổ chức kẽ dạng lưới và các vùng kính mờ tập trung thành đám, lan tỏa trong nhu mô phổi, tràn dịch khoang màng phổi hai bên.

Phim chụp cắt lớp vi tính phát hiện tổn thương đông đặc nhu mô phổi
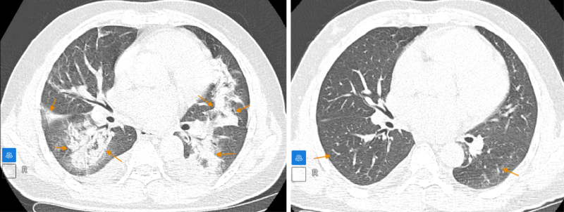
Chẩn đoán xác định, bệnh nhân mắc viêm phổi tổ chức hóa - một bệnh lý viêm phổi hiếm gặp. Trên cơ sở đó, bác sĩ đã chỉ định phác đồ điều trị nội khoa phù hợp cho người bệnh. Sau quá trình điều trị, các đánh giá trên phim chụp CLVT phổi cho thấy tổn thương phổi giảm đáng kể, tình trạng tràn dịch đa màng có xu hướng cải thiện rõ rệt.

Bệnh nhân đáp ứng tốt phác đồ điều trị, tổn thương được giảm đáng kể (Ảnh trái: Trước điều trị - Ảnh phải: Sau điều trị)
BSCKI. Hoàng Minh Toại - Chuyên khoa Hồi sức cấp cứu, Phòng khám Đa khoa MEDLATEC Thanh Xuân trực tiếp thăm khám, chẩn đoán và điều trị trường hợp này cho biết, viêm phổi tổ chức hóa (Cryptogenic organizing Pneumonia - COP) là một bệnh viêm phổi hiếm gặp, không rõ nguyên nhân, đặc trưng bởi sự xuất hiện các nút tổ chức viêm hạt tự do trong lòng khoang chứa khí (phế nang và tiểu phế quản).
Các xét nghiệm máu vi sinh thông thường, thường không đặc hiệu. Chẩn đoán bệnh dựa vào triệu chứng lâm sàng và tổn thương đặc hiệu trên phim chụp cắt lớp vi tính phổi. Đây là kỹ thuật chụp CT độ phân giải cao, tạo ra hình ảnh cực kỳ chi tiết của nhu mô phổi, phế nang và đường thở nhỏ, giúp chẩn đoán chính xác các bệnh lý phổi.
Các triệu chứng lâm sàng cảnh báo bệnh bao gồm:
- ho khan, khó thở, mệt mỏi, gầy sụt cân, có thể sốt nhẹ;
- Có thể ho khạc ít đờm, ho ít máu, đau ngực, ớn lạnh vã mồ hôi;
- Không thấy rõ dấu hiệu nhiễm trùng do virus, vi khuẩn hay ký sinh trùng.
Viêm phổi tổ chức hóa thường đáp ứng tốt với điều trị corticosteroid nếu được chẩn đoán sớm và điều trị đúng theo phác đồ. Thời gian điều trị có thể kéo dài vài tháng, cần theo dõi sát để phòng ngừa tái phát. Nếu không được phát hiện kịp thời, bệnh có thể tiến triển mạn tính, ảnh hưởng đến chức năng hô hấp và chất lượng sống của người bệnh.
Do đó, bác sĩ Toại khuyến cáo: “Người dân tuyệt đối không chủ quan trước các dấu hiệu ho khan kéo dài, sụt cân nhanh, mệt mỏi mặc dù không sốt hay khó thở. Việc thăm khám sớm và thực hiện các thăm dò cận lâm sàng cần thiết giúp phát hiện những bệnh lý phổi hiếm gặp như viêm phổi tổ chức hóa, từ đó đưa ra phác đồ điều trị kịp thời và hiệu quả”.

Người dân tuyệt đối không chủ quan trước triệu chứng ho khan kéo dài (Ảnh minh họa - Nguồn: Internet)
Là một trong những đơn vị y tế uy tín hàng đầu, Hệ thống Y tế MEDLATEC nói chung và Phòng khám Đa khoa MEDLATEC Thanh Xuân nói riêng sở hữu đội ngũ bác sĩ chuyên khoa giàu kinh nghiệm, cùng hệ thống trang thiết bị chẩn đoán hiện đại, đáp ứng tốt yêu cầu phát hiện và điều trị các bệnh lý phức tạp, hiếm gặp. Nhờ đó, nhiều trường hợp bệnh lý phổi khó, diễn tiến âm thầm như viêm phổi tổ chức hóa đã được phát hiện sớm và điều trị hiệu quả, giúp người bệnh tránh được những biến chứng nguy hiểm.

Hệ thống Y tế MEDLATEC trang bị hệ thống trang thiết bị hiện đại phục vụ quá trình chẩn đoán - điều trị bệnh
Để giúp người dân tiết kiệm tối đa chi phí khi khám chữa bệnh, MEDLATEC triển khai Thẻ 555. Với thẻ này, người dân chỉ cần “đầu tư” 555.000 VNĐ sẽ được hưởng ngay quyền lợi cho 10 thành viên trong gia đình kéo dài suốt 1 năm. Khám phá chi tiết ưu đãi và đăng ký mua thẻ TẠI ĐÂY.
Người dân có nhu cầu thăm khám sức khỏe vui lòng liên hệ tới MEDLATEC qua Tổng đài 1900 56 56 56 để được hỗ trợ nhanh chóng, kịp thờ
Bình luận ()
Lựa chọn dịch vụ
Quý khách hàng vui lòng lựa chọn dịch vụ y tế theo nhu cầu!