Tin tức
Kịp thời phát hiện và loại bỏ tổn thương tiền ung thư từ dấu hiệu rối loạn đại tiện
- 17/02/2025 | Chi phí cắt polyp đại tràng có đắt không và câu trả lời từ bác sĩ chuyên khoa
- 17/04/2025 | Sau cắt polyp đại tràng có phải kiêng gì không để tránh biến chứng?
- 23/06/2025 | Bệnh nhân sau cắt polyp đại tràng có phải nằm viện không và những thắc mắc liên quan?
- 26/06/2025 | Sinh thiết polyp đại tràng: Những vấn đề được nhiều người quan tâm
Cảnh giác khi đại tiện lẫn nhầy máu
Mới đây, Bệnh viện Đa khoa MEDLATEC tiếp nhận ông N.V.T. (52 tuổi) đến khám do đại tiện phân nhầy máu.
Qua khai thác bệnh sử, ghi nhận trong khoảng 6 tháng gần đây, bệnh nhân thỉnh thoảng xuất hiện đại tiện phân nhầy máu với lượng ít, hút thuốc lá và thuốc lào khoảng 40 năm.
Tại MEDLATEC, bệnh nhân được thực hiện các xét nghiệm, siêu âm và nội soi để đánh giá tình trạng sức khỏe.
.png)
Kết quả nội soi thực quản - dạ dày - tá tràng ghi nhận nhiều bất thường
Hình ảnh nội soi thực quản - dạ dày cho thấy, ngoài tình trạng viêm thực quản trào ngược độ A, bệnh nhân còn có viêm teo niêm mạc dạ dày C1, theo dõi dị sản ruột và có polyp nhỏ ở dạ dày, HP dương tính.
.png)
Hình ảnh polyp tại đại tràng sigma và trực tràng
Trên nội soi đại tràng phát hiện có vài polyp ở đại tràng sigma và trực tràng. Trong đó, polyp ở đại tràng sigma có kích thước khá lớn (khoảng 2cm), đầu polyp có vùng biến đổi cấu trúc hoàn toàn, phân loại NICE 2.
.png)
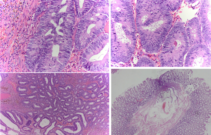
Hình ảnh vi thể cho thấy u tuyến ống đại tràng với loạn sản độ cao
Bệnh nhân được kết hợp cắt bỏ polyp qua nội soi và lấy mẫu làm xét nghiệm mô bệnh học. Kết quả giải phẫu bệnh: các polyp nhỏ ở trực tràng là u tuyến ống loạn sản độ thấp, polyp lớn ở đại tràng sigma loạn sản độ cao, tuy nhiên diện cắt chân polyp không còn u.
Với kết quả giải phẫu bệnh như trên, bệnh nhân được bác sĩ tư vấn kỹ về tình trạng và tiên lượng bệnh, hẹn tái khám nội soi đánh giá lại diện cắt chân polyp sau 6 tháng.
U tuyến ống loạn sản độ cao và những thông tin quan trọng nhất định phải biết
Theo ThS.BS Nguyễn Thị Hồng Nga - Trung tâm Giải phẫu bệnh, Hệ thống Y tế MEDLATEC, polyp u tuyến ống loạn sản ở đại tràng (Tubular adenomatous polyp with dysplasia) là một loại polyp tiền ung thư, có thể tiến triển thành ung thư đại trực tràng nếu không được phát hiện và điều trị kịp thời.
Không có một nguyên nhân duy nhất rõ ràng, nhưng nhiều yếu tố nguy cơ và cơ chế bệnh sinh đã được xác định, bao gồm:
- Chế độ ăn uống và lối sống: Ăn nhiều thịt đỏ, chất béo bão hòa, thực phẩm chế biến sẵn; Ít ăn chất xơ, rau xanh, trái cây; Hút thuốc lá, uống rượu, thiếu vận động.
- Tuổi tác: Nguy cơ tăng theo tuổi, đặc biệt sau 50 tuổi.
- Béo phì và hội chứng chuyển hóa: Béo phì, tiểu đường type 2, tăng insulin có liên quan đến nguy cơ hình thành polyp.
- Tiền sử bệnh lý đại tràng: Tiền sử polyp tuyến hoặc ung thư đại tràng; Bệnh viêm ruột mạn tính (như viêm loét đại tràng hoặc Crohn).
Bác sĩ Nga cho hay, polyp loạn sản thường tiến triển âm thầm, không triệu chứng, được phát hiện tình cờ qua nội soi đại tràng. Một số trường hợp polyp phát triển lớn có thể gây ra các triệu chứng như:
- Chảy máu trực tràng;
- Rối loạn đại tiện (táo bón hoặc tiêu chảy);
- Đau bụng;
- Mệt mỏi;
- Thiếu máu.
Bác sĩ Nga khuyến cáo, nếu thấy xuất hiện bất kỳ biểu hiện nào như trên, người dân cần đến thăm khám Chuyên khoa Tiêu hóa thực hiện nội soi để được đánh giá, chẩn đoán và xử trí điều trị kịp thời.
Trung tâm Tiêu hóa MEDLATEC quy tụ đội ngũ chuyên gia đầu ngành giàu kinh nghiệm, cùng hệ thống máy móc trang thiết bị hiện đại Với đội ngũ chuyên gia, bác sĩ hàng đầu cùng hệ thống máy móc hiện đại, Trung tâm Tiêu hóa MEDLATEC đáp ứng đầy đủ các dịch vụ như:
|
Bình luận ()
Lựa chọn dịch vụ
Quý khách hàng vui lòng lựa chọn dịch vụ y tế theo nhu cầu!
