Tin tức
Ngạt mũi kéo dài 6 tháng, nam thanh niên đi khám phát hiện bệnh lý phải phẫu thuật ngay
- 05/08/2024 | Chấm dứt ngạt mũi, đau đầu kéo dài nhiều năm do mào vách ngăn mũi bằng phẫu thuật nội soi ch...
- 14/10/2024 | 5 mẹo chữa ngạt mũi trong 20 giây khiến bạn bất ngờ
- 05/08/2024 | Ngạt mũi kéo dài, mất khứu giác, người đàn ông đi khám phát hiện polyp mũi hai bên và được đ...
Cảnh giác bệnh nặng từ dấu hiệu tắc mũi kéo dài
Thăm khám tại Phòng khám Đa khoa MEDLATEC Tây Hồ, anh P. chia sẻ, khoảng 6 tháng, có xuất hiện tình trạng ngạt tắc mũi bên phải, tình trạng ngạt mũi phải tăng dần, trong khi mũi trái vẫn thông thoáng bình thường. Trước dấu hiệu khó chịu đó, bệnh nhân tự mua thuốc xịt mũi (không rõ loại) để xịt nhưng không đỡ.
Đặc biệt, thời gian gần đây, anh P. vẫn ngạt mũi phải và cảm giác có khối bất thường trong mũi phải, di động theo nhịp thở, kèm theo giảm nhẹ khả năng ngửi. Dù không có biểu hiện đau đầu hay triệu chứng toàn thân khác, nhưng sự khó chịu kéo dài khiến anh quyết định đến Phòng khám Đa khoa MEDLATEC Tây Hồ thăm khám.
Ngoài ra, anh cho biết thêm, bản thân bệnh nhân và gia đình chưa phát hiện bệnh lý bất thường nào.
Tại đây, các bác sĩ tiến hành thăm khám và chỉ định cận lâm sàng:

Vùng tiền đình mũi phải có tổ chức mềm, nhẵn, màu hồng nhạt, che lấp gần hoàn toàn cửa mũi phải

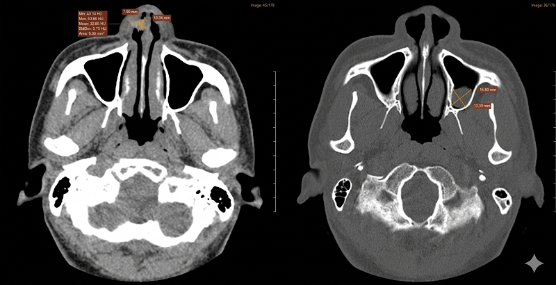
Chụp CT xoang phát hiện Polyp xoang hàm trái, nốt khu trú tiền đình mũi phải
- Nội soi Tai mũi họng: Vùng tiền đình mũi phải có tổ chức mềm, nhẵn, màu hồng nhạt, che lấp gần hoàn toàn cửa mũi phải.
- Chụp cắt lớp vi tính (CT-scanner) xoang: Ghi nhận tình trạng viêm đa xoang mức độ II theo phân loại Lund-Mackay, dày niêm mạc cuốn mũi hai bên, polyp xoang hàm trái và nốt khối khu trú tại tiền đình mũi phải.
- Các kiểm tra khác như: X-quang tim phổi, siêu âm ổ bụng, điện tim và xét nghiệm máu đều trong giới hạn bình thường.
Từ các kết quả trên, bệnh nhân được chẩn đoán sơ bộ theo dõi u nhú tiền đình mũi phải và được chỉ định nhập viện phẫu thuật.
Để điều trị dứt điểm, anh P. được tư vấn phẫu thuật cắt bỏ khối u tại Bệnh viện Đa khoa MEDLATEC. Ca mổ diễn ra thuận lợi, khối u cùng toàn bộ chân bám được loại bỏ.
Ngay sau khi thực hiện phẫu thuật, mẫu được chuyển đến Trung tâm Giải phẫu bệnh MEDLATEC phân tích, cho kết quả biểu mô vảy không sừng hóa quá sản tạo cấu trúc nhú với trục liên kết xơ mạch rõ. Các tế bào biểu mô có nhân nhỏ, đều, bào tương rộng, sắp xếp còn cực tính từ lớp đáy lên đến bề mặt. Từ các hình ảnh giải phẫu bệnh, kết luận u nhú biểu mô vảy. Kết luận giải phẫu bệnh này là “tiêu chuẩn vàng” để xác định chính xác bản chất khối u của bệnh nhân.
Dựa vào kết quả thăm khám trên, bác sĩ chẩn đoán xác định: U nhú tiền đình mũi phải.
Đánh giá thêm về trường hợp này, bác sĩ Nguyễn Đình Hiệp - chuyên khoa Tai Mũi Họng, Phòng khám Đa khoa MEDLATEC Tây Hồ cho biết, đây là ca bệnh ít gặp trong thực hành lâm sàng. Thông thường, u nhú mũi xoang có xu hướng xuất phát từ thành xoang hoặc các vị trí phổ biến trong hốc mũi, tuy nhiên ở bệnh nhân này, khối u lại có chân bám tại vách ngăn mũi - vị trí ít gặp.
Tuy nhiên, ekip của bác sĩ đã loại bỏ hoàn toàn chân bám của khối u nhằm hạn chế tối đa nguy cơ tái phát. Nhờ áp dụng phương pháp phẫu thuật nội soi hiện đại, các bác sĩ đã xử lý triệt để tổn thương, bảo tồn tối đa cấu trúc giải phẫu và chức năng sinh lý của mũi, giúp bệnh nhân hồi phục nhanh chóng và đạt hiệu quả điều trị tối ưu (không chảy máu, hết ngạt mũi, ngửi tốt hơn).
U nhú mũi xoang - bệnh lý lành tính nhưng không nên chủ quan
U nhú mũi xoang là loại u lành tính trong các khối u mũi xoang có nguồn gốc từ biểu mô, mặc dù là thường gặp nhưng không nên chủ quan, có thể gây nhiều biến chứng, thậm chí chuyển dạng ác tính.
U nhú mũi xoang thường được chia làm 3 loại gồm:
- U nhú thường (u nhú dạng nấm);
- U nhú tế bào lớn ưa acid;
- U nhú đảo ngược.
Trong đó, u nhú đảo ngược là loại thường gặp nhất, dễ tái phát nhất và cũng dễ tiến triển thành ung thư mũi xoang.
Nguyên nhân gây u nhú hiện chưa được xác định rõ ràng nhưng có những yếu tố nguy cơ như dị ứng, thuốc lá, môi trường ô nhiễm, tình trạng viêm mũi xoang mạn tính, virus HPV… có thể làm tăng khả năng mắc bệnh.
Dấu hiệu nhận biết sớm u nhú mũi xoang
Do dấu hiệu của u nhú mũi xoang dễ nhầm lẫn với các bệnh lý tai mũi họng thường gặp, bác sĩ Hiệp lưu ý, người dân khi xuất hiện các triệu chứng sau cần đi khám ngay, gồm:

Xuất hiện dấu hiệu ngạt mũi một bên kéo dài, người dân cần đi khám ngay. Ảnh minh họa, nguồn Internet
- Ngạt tắc mũi kéo dài, thường chỉ một bên;
- Chảy dịch mũi, có thể lẫn máu một bên;
- Cảm giác có khối bất thường trong mũi;
- Đau nhức vùng mặt hoặc mũi một bên;
- Giảm hoặc mất khứu giác một bên.
Ngoài ra, khi nội soi, bác sĩ có thể phát hiện khối u dạng chùm, màu hồng hoặc đỏ, dễ chảy máu khi chạm vào.
Các phương pháp chẩn đoán và điều trị u nhú mũi xoang
Để chẩn đoán chính xác u nhú mũi xoang, bên cạnh thăm khám lâm sàng, người bệnh cần được chỉ định thực hiện các phương pháp cận lâm sàng chuyên sâu. Những kỹ thuật này không chỉ giúp xác định vị trí, đặc điểm khối u mà còn đóng vai trò quan trọng trong việc phân loại và định hướng điều trị.
Theo kinh nghiệm của bác sĩ Hiệp, các phương pháp chẩn đoán u nhú mui xoang bao gồm:
- Chụp CT mũi xoang: Giúp đánh giá vị trí, chân bám, kích thước của khối u nhú trong hốc mũi và xoang.
- Chụp MRI mũi xoang: Được kết hợp nếu cần phân biệt khối u với tổ chức viêm hoặc dịch ứ đọng, đồng thời giúp đánh giá thêm mức độ lan rộng của khối u.
- Mô bệnh học: Là tiêu chuẩn vàng để chẩn đoán xác định u nhú, đồng thời phân loại u nhú và tiên lượng bệnh.
Điều trị u nhú mũi xoang
Sau khi được chẩn đoán xác định, việc lựa chọn phương pháp điều trị phù hợp đóng vai trò quyết định đến hiệu quả kiểm soát bệnh cũng như hạn chế nguy cơ tái phát. Tùy theo vị trí, kích thước, mức độ lan rộng của khối u và tình trạng cụ thể của từng bệnh nhân, bác sĩ sẽ xây dựng phác đồ điều trị tối ưu.
Hiện nay, các phương pháp điều trị u nhú mũi xoang bao gồm:
- Phẫu thuật loại bỏ khối u với nguyên tắc lấy bỏ toàn bộ chân bám của khối u gồm phẫu thuật đường ngoài và phẫu thuật nội soi mũi xoang, tuy nhiên hiện nay xu hướng chính là phẫu thuật nội soi để đảm bảo xâm lấn tối thiểu nhưng đạt hiệu quả tối đa và hồi phục sinh lý bình thường cho mũi xoang.
- Có thể kết hợp xạ trị với những trường hợp tái phát và tiến triển thành ung thư mũi xoang hoặc không phẫu thuật được.
- Tiêm thuốc chống virus vào khối u.
Với mục tiêu chăm sóc toàn diện các bệnh lý vùng Tai - Mũi - Họng, Hệ thống Y tế MEDLATEC không ngừng đầu tư phát triển chuyên khoa với đội ngũ bác sĩ giàu kinh nghiệm, y đức thăm khám, tư vấn kỹ lưỡng, chẩn đoán chính xác và xây dựng phác đồ điều trị cá thể hóa, phù hợp với từng tình trạng bệnh.

Hệ thống máy móc hiện đại cho kết quả chẩn đoán chính xác, tin cậy
Bên cạnh đó, MEDLATEC còn đầu tư đồng bộ hệ thống Nội soi Tai mũi họng hiện đại, kết hợp các phương tiện chẩn đoán hình ảnh tiên tiến như: máy chụp CT, hệ thống xét nghiệm, giải phẫu bệnh… Vì vậy, đơn vị có điều kiện tốt nhất phát hiện sớm và đánh giá chính xác toàn diện các bệnh lý từ viêm nhiễm thông thường đến các tổn thương phức tạp như polyp, u nhú mũi xoang…
Tùy theo kết quả chẩn đoán, người bệnh có thể được tư vấn điều trị phù hợp, hiệu quả, trong đó có phẫu thuật nội soi mũi xoang ít xâm lấn, giúp loại bỏ tổn thương triệt để, giảm đau, rút ngắn thời gian hồi phục và bảo tồn tối đa chức năng sinh lý tự nhiên.
Mọi thông tin tìm hiểu về dịch vụ khám chữa bệnh tại MEDLATEC, người dân vui lòng liên hệ tổng đài 1900 56 56 56.
Bình luận ()
Lựa chọn dịch vụ
Quý khách hàng vui lòng lựa chọn dịch vụ y tế theo nhu cầu!