Tin tức
Phát hiện ổ mủ hình thành trong gan từ triệu chứng sốt cao, mệt mỏi
- 21/07/2025 | Áp xe phần phụ - Biến chứng có thể đe dọa tính mạng người bệnh
- 13/08/2025 | Đi khám vì yếu chân phải, nam bệnh nhân phát hiện áp xe não đỉnh trái
- 15/09/2025 | Nam thanh niên sốt cao, đau hạ sườn phải, đến MEDLATEC khám phát hiện áp xe gan
Cảnh giác mắc bệnh từ dấu hiệu sốt cao, mệt mỏi không rõ nguyên nhân
Anh N.T.K. (36 tuổi, Hà Nội) đến khám với lý do sốt cao (nhiệt độ cao nhất ghi nhận 41.5 độ C), kèm tình trạng đau bụng hạ sườn phải, đau mỏi người.
Bệnh nhân đến khám tại một cơ sở y tế và được chẩn đoán sốt chưa rõ nguyên nhân, yêu cầu chuyển viện. Do có người thân từng điều trị tại MEDLATEC, anh K. đã lựa chọn đến đây để được thăm khám chuyên sâu, chẩn đoán chính xác và điều trị kịp thời.
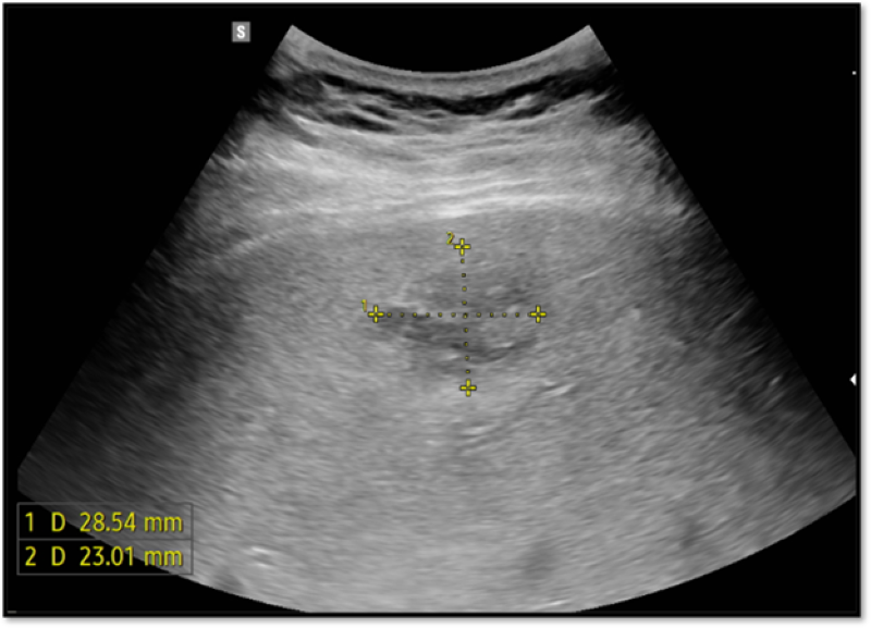
Kết quả xét nghiệm có CRP và nhiều chỉ số khác cao vượt ngưỡng bình thường cho thấy tình trạng nhiễm trùng. Trên siêu âm và cắt lớp vi tính ổ bụng cho thấy hình ảnh ổ dịch hỗn hợp âm gan phải, theo dõi áp xe gan.

Trên siêu âm phát hiện hình ảnh ổ dịch hỗn hợp âm gan phải, theo dõi áp xe gan
Chẩn đoán xác định, bệnh nhân mắc áp xe gan phải. Bác sĩ chỉ định phác đồ điều trị bằng kháng sinh và chọc hút ổ áp xe. Kết quả nuôi cấy vi khuẩn xác định tác nhân gây bệnh là Klebsiella pneumoniae. Nhờ được phát hiện kịp thời và áp dụng phác đồ điều trị phù hợp, sau 7 ngày điều trị, bệnh nhân tỉnh táo, tình trạng toàn thân cải thiện rõ rệt và sức khỏe ổn định.
Áp xe gan có nguy hiểm không?
BSCKI. Đào Việt Hưng - Chuyên khoa Nội, Bệnh viện Đa khoa MEDLATEC cho biết, áp xe gan là tổn thương tạo mủ tại gan gây ra do các tác nhân khác nhau như vi trùng hay ký sinh trùng.
Một số tác nhân gây bệnh thường gặp như: vi trùng sinh mủ (Klebsiella pneumoniae, E.Coli…); amip (Entamoeba histolytica); sán lá gan lớn. Ngoài ra, có thể do chấn thương, nấm, lao... hoặc các trường hợp không rõ nguyên nhân.

Tình trạng áp xe gan có thể do nhiều nguyên nhân gây ra
Ba triệu chứng điển hình của bệnh gồm: sốt; đau hạ sườn phải; gan to. Tuy nhiên, các triệu chứng này chỉ gặp trong khoảng 50% trường hợp. Ngoài ra, còn một số triệu chứng khác như: vàng da, mệt mỏi, buồn nôn, nôn, sụt cân...
Bệnh lây lan theo các đường như: đường mật, đường tĩnh mạch cửa, động mạch gan hoặc xâm lấn trực tiếp từ các cơ quan lân cận.
Yếu tố thuận lợi của bệnh: lớn tuổi, bệnh lý nền (tiểu đường, suy giảm miễn dịch).
Bệnh có thể gây ra những biến chứng nguy hiểm như: sốc nhiễm trùng, vỡ ổ áp xe vào ổ bụng, khoang màng phổi, màng tim… có thể đe dọa tính mạng bệnh nhân.
Vai trò của siêu cắt lớp vi tính trong chẩn đoán và điều trị áp xe gan
Trong chẩn đoán và điều trị áp xe gan, chẩn đoán hình ảnh có vai trò rất quan trọng, đặc biệt là siêu âm và chụp cắt lớp vi tính (CT), cụ thể như sau:
- Siêu âm có vai trò phát hiện bất thường ở ổ bụng và hỗ trợ điều trị (theo dõi hiệu quả điều trị, chọc hút ổ mủ);
- CT có vai trò chẩn đoán xác định áp xe gan và giúp phân biệt với các bệnh lý viêm túi mật, viêm đường mật… Chẩn đoán vị trí, số lượng, kích thước và giai đoạn bệnh.
Bên cạnh đó, CT ổ bụng còn giúp phát hiện ổ áp xe ngay cả khi áp xe nhỏ ở bất cứ vị trí nào. Chụp CT ổ bụng chính xác hơn trong việc phân biệt áp xe với khối u; chẩn đoán biến chứng: ổ áp xe vỡ vào ổ bụng hoặc khoang màng phổi, màng tim…

Các kỹ thuật chẩn đoán hình ảnh đóng vai trò quan trọng trong chẩn đoán và điều trị áp xe gan
Bác sĩ Hưng khuyến cáo, người dân khi thấy các triệu chứng bất thường như trên, không nên tự ý dùng thuốc điều trị mà hãy đến những cơ sở y tế để được thăm khám và có phác đồ điều trị đúng cách, kịp thời.
Hệ thống Y tế MEDLATEC với nền tảng kinh nghiệm gần 30 năm hình thành và phát triển tự hào là đơn vị y tế tư nhân uy tín được đông đảo người dân lựa chọn, tin tưởng làm nơi thăm khám bệnh, đặc biệt là những bệnh về gan mật, đường tiêu hóa. Tại đây quy tụ đội ngũ chuyên gia, bác sĩ giàu chuyên môn; Trung tâm Xét nghiệm, Trung tâm Tiêu hóa, Trung tâm Chẩn đoán hình ảnh với hệ thống máy móc hiện đại bậc nhất Việt Nam, hỗ trợ đắc lực cho các bác sĩ trong quá trình chẩn đoán và điều trị bệnh.
Để giúp người dân tiết kiệm tối đa chi phí khi khám chữa bệnh, MEDLATEC triển khai Thẻ 555. Với thẻ này, người dân chỉ cần “đầu tư” 555.000 VNĐ sẽ được hưởng ngay quyền lợi cho 10 thành viên trong gia đình kéo dài suốt 1 năm. Khám phá chi tiết ưu đãi thẻ 555 TẠI ĐÂY.
Đặt lịch thăm khám tại MEDLATEC, người dân vui lòng liên hệ tổng đài 1900 56 56 56 để được tư vấn và hỗ trợ (24/24h).
Bình luận ()
Lựa chọn dịch vụ
Quý khách hàng vui lòng lựa chọn dịch vụ y tế theo nhu cầu!