Tin tức

Các bài đăng được gắn thẻ "tử cung"

Thứ Ba, 4 tháng 4, 2023

Chụp x quang tử cung vòi trứng để làm gì?

Chụp x quang tử cung vòi trứng là phương pháp đơn giản, chi phí rẻ, không gây đau đớn nhưng có hiệu quả rất tốt trong đánh giá tình trạng của buồng tử cung, ống dẫn trứng (vòi trứng, vòi tử cung) từ đó xác định được nguyên nhân gây vô sinh, khó mang thai.
Thứ Tư, 22 tháng 3, 2023

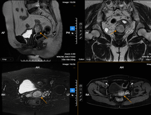
Chụp MRI tử cung phát hiện bệnh gì

Người mắc các bệnh lý về tử cung - phần phụ thường tự mua thuốc điều trị tại nhà, điều này có thể dẫn đến nhiều hậu quả nghiêm trọng, thậm chí gây ảnh hưởng đến khả năng sinh sản. Vì thế, việc nhận biết và chẩn đoán sớm bệnh lý tử cung - phần phụ là yếu tố quyết định trong điều trị khỏi hoàn toàn...
Thứ Sáu, 1 tháng 7, 2022

Tử cung: cấu tạo, vị trí trong cơ thể và các vấn đề liên...

Tử cung là bộ phận quan trọng của hệ thống sinh sản ở phụ nữ. Ở những thời điểm khác nhau trong kỳ kinh nguyệt hoặc khi mang thai, tử cung có nhiều sự thay đổi để đảm nhiệm các vai trò khác nhau. Các bệnh lý ở tử cung cần phát hiện và điều trị sớm để tránh ảnh hưởng đến chức năng sinh sản cũng nh...
Thứ Ba, 14 tháng 6, 2022

Bí quyết phân biệt các loại cơn gò tử cung mẹ bầu không n...

Cơn gò tử cung là một trong những dấu hiệu đặc trưng giúp bạn nhận biết quá trình chuyển dạ chuẩn bị diễn ra. Trên thực tế, có nhiều loại cơn gò khác nhau, chính vì thế chị em nên hiểu và phân biệt để có cách xử lý trong từng trường hợp. Mọi người có thể tham khảo một số kinh nghiệm dưới đây để p...
Thứ Ba, 14 tháng 6, 2022

Giải đáp: Trước khi đặt vòng có phải kiêng quan hệ không?

Là một phương pháp được rất nhiều chị em phụ nữ lựa chọn, đặt vòng là một biện pháp tránh thai hiệu quả tốt nhất cũng như sự đơn giản, thuận tiện và tiết kiệm chi phí. Tuy nhiên nếu muốn đặt vòng để tránh thai, chị em phải tuân thủ các yêu cầu cơ bản và phải chú ý về chuyện sinh hoạt tình dục. Cù...
Thứ Năm, 11 tháng 11, 2021

Ung thư cổ tử cung có di truyền hay không? Giải đáp thắc...

Ung thư là căn bệnh ác tính nguy hiểm với tỉ lệ bệnh nhân tử vong cao. Ung thư cổ tử cung là một trong những ung thư nguy hiểm ở nữ giới. Vậy “Ung thư cổ tử cung có di truyền hay không?”
Chủ Nhật, 11 tháng 4, 2021

Chuyên gia tư vấn: Phụ nữ cắt tử cung có quan hệ được không?

Cắt tử cung có quan hệ được không hay gây ảnh hưởng như thế nào đến đời sống tình dục là vấn đề của nhiều chị em hiện nay. Bài viết dưới đây, các chuyên gia tại Bệnh viện Đa khoa MEDLATEC sẽ giúp bạn tìm hiểu kĩ hơn về việc cắt tử cung cũng như ảnh hưởng của việc này đến chuyện “giường chiếu”.
Thứ Năm, 11 tháng 3, 2021

Hở eo tử cung là gì và những nguyên nhân gây bệnh?

Hở eo tử cung là nguyên nhân khiến nhiều phụ nữ mang thai nhưng sảy thai hoặc sinh non nhiều lần, ảnh hưởng đến sức khỏe cũng như tương lai của trẻ. Việc hiểu đúng về cũng như nguyên nhân dẫn đến bệnh sẽ giúp thai phụ chủ động hơn trong việc bảo vệ sức khỏe bản thân và thai nhi.
Thứ Bảy, 27 tháng 2, 2021

Các bài tập chữa sa tử cung hiệu quả chị em nên tham khảo

Sau sinh nở, phụ nữ có thể gặp phải nhiều khó khăn về sức khỏe, đặc biệt là các trường hợp sinh khó. Trong số đó, sa tử cung là căn bệnh khiến các bà mẹ lo lắng. Để lấy lại vóc dáng cũng như giúp chị em cải thiện tình trạng, chúng tôi đã tổng hợp một số bài tập chữa sa tử cung hiệu quả cho mẹ tha...

Lựa chọn dịch vụ

Quý khách hàng vui lòng lựa chọn dịch vụ y tế theo nhu cầu!

Lấy mẫu xét nghiệm tại nhà

Lấy mẫu xét nghiệm tại nhà giúp khách hàng chủ động tầm soát bệnh lý. Đồng thời tiết kiệm thời gian đi lại, chờ đợi kết quả với mức chi phí hợp lý.

Đặt lịch thăm khám tại MEDLATEC

Đặt lịch khám tại cơ sở khám chữa bệnh thuộc Hệ thống Y tế MEDLATEC giúp chủ động thời gian, hạn chế tiếp xúc đông người.
bác sĩ lựa chọn dịch vụ