Tin tức
Tưởng mất ngủ do tuổi tác, người phụ nữ phát hiện u màng não khi khám sức khỏe
- 27/12/2024 | Nữ bệnh nhân đau đầu dữ dội sau khi lỡ ngậm nhầm thuốc diệt chuột
- 13/03/2025 | Đau đầu chóng mặt kéo dài, đi khám, người phụ nữ phát hiện phình động mạch não nguy cơ cao đ...
- 04/04/2025 | Phát hiện nhồi máu não nguy hiểm từ dấu hiệu đau đầu tưởng “bệnh vặt”
Phát hiện u màng não từ dấu hiệu mất ngủ triền miên
Trong suốt nhiều năm, tình trạng mất ngủ triền miên khiến cuộc sống của cô Đ.T.T.H. (59 tuổi, Hà Nội) bị đảo lộn. Cô luôn cho rằng đây là vấn đề “đến hẹn lại lên” của tuổi trung niên nên cố gắng chịu đựng, thỉnh thoảng tự mua thêm các loại thực phẩm hỗ trợ giấc ngủ để dùng nhưng hiệu quả không kéo dài. Khi các triệu chứng không cải thiện, thậm chí ngày một trầm trọng hơn, cô cũng chỉ nghĩ cơ thể đang lão hóa và việc ngủ kém là điều khó tránh.
Tuy nhiên, thời gian gần đây, tình trạng mất ngủ của cô H. phát triển theo chiều hướng xấu: những cơn đau đầu âm ỉ xuất hiện ngày một nhiều, có hôm đau đến mức khiến cô không thể tập trung sinh hoạt bình thường. Tần suất triệu chứng dày lên, mức độ khó chịu tăng rõ rệt khiến cô bắt đầu lo lắng và quyết định đến Bệnh viện Đa khoa MEDLATEC để kiểm tra sức khỏe tổng quát nhằm tìm hiểu nguyên nhân thực sự.
Tại cơ sở y tế, bác sĩ tiến hành thăm khám lâm sàng, đánh giá toàn diện từ triệu chứng, tiền sử bệnh lý đến các yếu tố nguy cơ. Bên cạnh tình trạng tăng huyết áp, cô H. từ trước nay không ghi nhận bất cứ bệnh lý nghiêm trọng nào. Để có cơ sở chẩn đoán chính xác, bác sĩ chỉ định cô H. thực hiện một số kỹ thuật cận lâm sàng, trong đó có chụp cộng hưởng từ (MRI) não - phương pháp đánh giá hình thái não bộ chi tiết và chính xác nhất hiện nay.
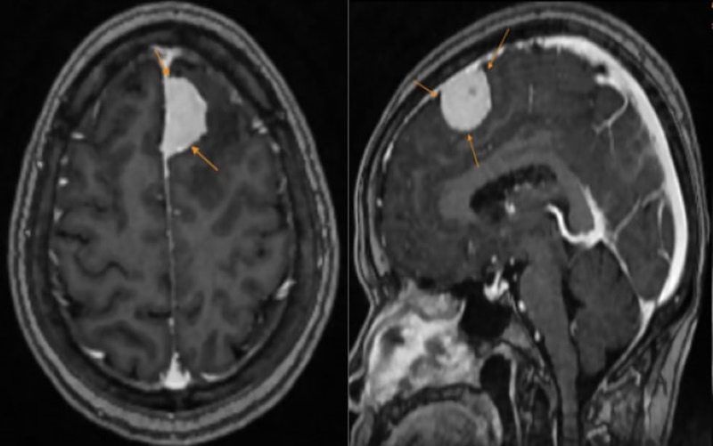
Kết quả trả về khiến cô H. vô cùng bất ngờ: hình ảnh MRI ghi nhận có một khối u lớn vùng trán trái kích thước khoảng 27x15mm, nghĩ nhiều đến u màng não. Sau khi phân tích mức độ tổn thương, các nguy cơ tiềm ẩn và khả năng tiến triển, bác sĩ đã đưa ra tư vấn chuyên môn phù hợp, giúp cô H. định hướng phương án can thiệp kịp thời sao cho an toàn và hiệu quả nhất.

Hình ảnh khối u được phát hiện trên phim chụp MRI
Trường hợp của cô H. là lời cảnh báo quan trọng dành cho nhiều người: những rối loạn tưởng như đơn giản, đặc biệt là mất ngủ kéo dài hoặc đau đầu không rõ nguyên nhân, có thể là dấu hiệu của những vấn đề sức khỏe nghiêm trọng hơn. Việc thăm khám sớm giúp phát hiện bệnh từ giai đoạn đầu - thời điểm điều trị thuận lợi nhất, hạn chế nguy cơ biến chứng và bảo vệ sức khỏe lâu dài.
Cảnh giác biểu hiện đa dạng của u màng não
U màng não là khối u phát triển từ lớp màng nhện của màng não, chiếm khoảng 15% trong số các loại u não. Đây là bệnh lý thuộc hệ thần kinh trung ương, có thể gặp ở mọi lứa tuổi và giới tính nhưng xuất hiện ở người lớn nhiều hơn trẻ em và tỷ lệ nữ nhiều hơn nam. Hầu hết u màng não phát triển chậm và lành tính, nhưng cũng có một số có thể trở thành ác tính (ung thư).
U màng não đa số tiến triển rất chậm và thường không có triệu chứng, hoặc triệu chứng nghèo nàn nên rất khó phát hiện. Khi khối u phát triển đủ lớn chèn ép vào cấu trúc não hoặc dây thần kinh sọ, tùy vị trí của u mà biểu hiện khác nhau như: Đau; hội chứng tăng áp lực nội sinh. Khi u màng não tiến triển nặng sẽ có dấu hiệu tổn thương thần kinh sọ như: Mất ngủ, nhìn mờ, mất thị lực một phần hoặc toàn bộ, nhìn đôi, lác, ù tai, giảm thính lực, điếc, tê bì mặt, yếu hoặc liệt tăng dần, co giật… Ngoài ra, còn một số dấu hiệu khác như thay đổi tính cách, hành vi; giảm trí nhớ; rối loạn giấc ngủ; động kinh.

U màng não có thể gặp ở mọi độ tuổi và giới tính
MRI và CT - Kỹ thuật chẩn đoán hình ảnh đầu tay chẩn đoán tổn thương não
ThS.BS Lê Quỳnh Sơn - Phòng Chẩn đoán hình ảnh, Phòng khám Đa khoa MEDLATEC Cầu Giấy cho biết: "U màng não nói riêng hay các tổn thương u não nói chung thì MRI và CT vẫn là những phương tiện chẩn đoán hình ảnh được các bác sĩ chuyên môn đánh giá rất cao trong thực hành lâm sàng. Hai kỹ thuật này không chỉ đánh giá tính chất của khối u mà còn cho cái nhìn đa chiều về mối tương quan của tổn thương với các cấu trúc lân cận”.
Ngoài ra, chụp MRI não còn hữu ích trong việc tìm ra nguyên nhân của các triệu chứng bất thường như: chóng mặt, đau đầu kéo dài, yếu hoặc liệt cơ, suy giảm thị lực - thính lực, động kinh... Và có thể giúp phát hiện các bệnh lý của não như xuất huyết, khối u, phù nề; tổn thương não xảy ra do chấn thương hay đột quỵ, đặc biệt, là khả năng phát hiện sớm các ổ nhồi máu não rất nhỏ chưa có biểu hệ bất thường trên lâm sàng với người bệnh.
Các bác sĩ khuyến cáo: những trường hợp đau đầu kéo dài có thể đánh giá sâu hơn bởi các thăm dò bằng MRI hoặc CT.

Các kỹ thuật chẩn đoán hình ảnh chuyên sâu có vai trò quan trọng trong chẩn đoán u màng não
Sự quy tụ đội ngũ chuyên gia, bác sĩ đầu ngành,phối hợp giữa trang thiết bị hiện đại, quy trình chụp - đọc kết quả chuẩn quốc tế là những yếu tố giúp MEDLATEC trở thành địa chỉ tin cậy trong tầm soát các bệnh lý hệ thần kinh trung ương như u màng não, dị dạng mạch máu não, tổn thương do đột quỵ hay các bất thường cấu trúc não khác. Nhờ vậy, nhiều bệnh nhân có biểu hiện mơ hồ như đau đầu kéo dài, mất ngủ, chóng mặt… đã được phát hiện nguyên nhân chính xác và điều trị kịp thời.
Người dân xuất hiện các triệu chứng bất thường cảnh báo bệnh lý Thần kinh, hoặc có nhu cầu thăm khám sức khỏe, vui lòng liên hệ tới MEDLATEC qua Tổng đài 1900 56 56 56 để được hỗ trợ kịp thời và đặt lịch nhanh chóng.
Bình luận ()
Lựa chọn dịch vụ
Quý khách hàng vui lòng lựa chọn dịch vụ y tế theo nhu cầu!