Tin tức
Bác sĩ siêu âm cần rút kinh nghiệm gì từ ca bệnh Choriocarcinoma?
Ung thư tế bào nuôi là gì?
Ung thư nguyên bào nuôi là là một loại ung thư ác tính hiếm gặp, phát triển từ các tế bào nhau thai sau khi mang thai, sảy thai, hoặc chửa trứng. Choriocarcinoma (ung thư nguyên bào nuôi) đặc trưng bởi sự tăng sinh ác tính của tế bào nuôi, không có cấu trúc gai nhau, phát triển nhanh, xâm lấn mạnh và dễ di căn xa, thường gặp ở phổi, gan và não, nhưng đáp ứng rất tốt với hóa trị.
- Có thể thấy hoặc không thấy tổn thương nguyên phát tại cơ quan sinh dục.
- Những khối u này thường phát triển sau khi mang thai trứng và có tỷ lệ rất hiếm(1/160.000) xảy ra sau khi mang thai đủ tháng.
| Phân loại | Nguồn gốc | Đặc điểm chính |
|---|---|---|
| Thai kỳ | Mô nhau thai sau thai kỳ: bình thường, thai trứng, sảy thai, TNTC | Đáp ứng điều trị rất tốt |
| Không thai kỳ | Tế bào mầm và có thể gặp ở buồng trứng, tinh hoàn hoặc các vị trí ngoài tuyến sinh dục | Hiếm, tiên lượng kém hơn |
Bảng phân loại và nguồn gốc của choriocarcinoma
Bệnh diễn tiến âm thầm, dễ bỏ sót
Theo thông tin ghi nhận, bệnh nhân đến khám trong tình trạng sức khỏe tương đối ổn định, không có biểu hiện lâm sàng đặc hiệu. Người bệnh không đau bụng, không sốt, không rối loạn tiêu hóa hay dấu hiệu bất thường rõ rệt nào khác. Chính vì vậy, nếu chỉ dựa vào triệu chứng lâm sàng, rất khó để nghi ngờ một bệnh lý ác tính.
Trong nhiều trường hợp, choriocarcinoma có thể xuất hiện sau thai kỳ, sau sảy thai hoặc sau các bệnh lý nguyên bào nuôi. Tuy nhiên, các biểu hiện ban đầu đôi khi rất kín đáo. Một số bệnh nhân chỉ được phát hiện khi bệnh đã di căn đến các cơ quan khác như gan, phổi hoặc não.
Chính vì vậy, siêu âm – đặc biệt trong các đợt khám sức khỏe hoặc kiểm tra phụ khoa – có thể trở thành công cụ đầu tiên phát hiện những bất thường gợi ý bệnh lý nghiêm trọng.
Vai trò của siêu âm trong phát hiện tổn thương
Trong ca bệnh này, khi tiến hành siêu âm ổ bụng và khảo sát các cơ quan liên quan, bác sĩ không phát hiện những cấu trúc bất thường.

Bề dày niêm mạc tử cung 6mm. Chưa quan sát thấy hình ảnh túi thai
Sau khi phát hiện tổn thương nghi ngờ trên siêu âm, bệnh nhân được chỉ định chụp Cắt lớp vi tính (CLVT) để đánh giá chi tiết hơn.


Hình ảnh chụp trên CLVT của bệnh nhân
Hình ảnh cắt lớp vi tính cho thấy khối tổn thương trong gan có cấu trúc không đồng nhất, bên trong có các vùng hoại tử và xuất huyết. Sau tiêm thuốc đối quang từ, tổn thương có hiện tượng tăng ngấm thuốc không đồng đều, trong khi một số vùng hoại tử không bắt thuốc.
Những đặc điểm này gợi ý một khối u ác tính giàu mạch máu – một đặc điểm thường gặp trong choriocarcinoma di căn.

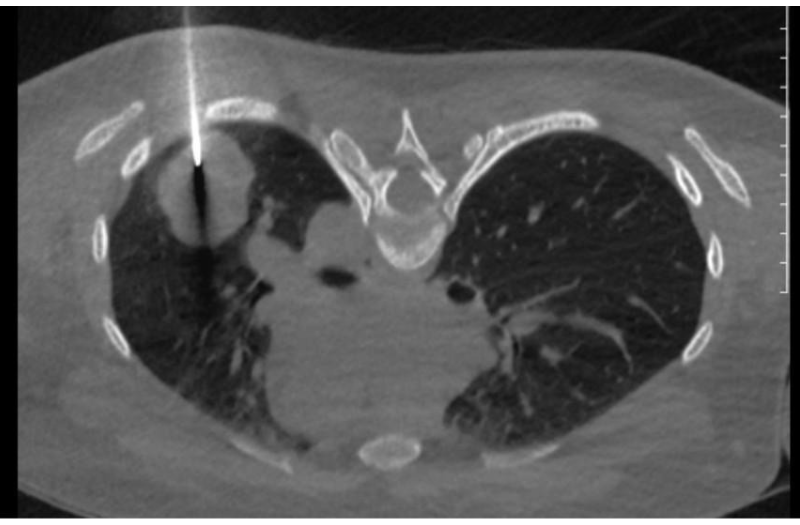
Hình ảnh sinh thiết u phổi trái của Bệnh nhân
Để củng cố chẩn đoán, bác sĩ tiếp tục chỉ định các xét nghiệm chuyên sâu: TPTTBMNV, sinh hóa máu, hormon tuyến giáp, AMH, Prolactin, beta-hCG (đạt 1540 U/L). Nồng độ hormone này tăng cao bất thường là dấu hiệu quan trọng giúp xác định bệnh lý nguyên bào nuôi, bao gồm choriocarcinoma.

Hình ảnh xét nghiệm mô bệnh học

Hình ảnh chụp phổi trái: Nhu mô thùy dưới phổi trái có khối mờ kích thước 34x42mm, bờ đều, sau sinh thiết, hiện không thấy tràn khí màng phổi.
Những bài học quan trọng cho bác sĩ siêu âm
Ca bệnh này đặt ra nhiều kinh nghiệm đáng chú ý trong thực hành siêu âm.
Thứ nhất, bác sĩ siêu âm cần luôn giữ thái độ thận trọng trước các tổn thương gan có cấu trúc hỗn hợp âm hoặc không đồng nhất. Những tổn thương tưởng chừng không điển hình đôi khi lại là dấu hiệu của bệnh lý ác tính.
Thứ hai, cần khảo sát toàn diện và hệ thống, đặc biệt khi phát hiện tổn thương bất thường. Việc đánh giá thêm các đặc điểm như mạch máu trên Doppler, cấu trúc bên trong khối và mối liên quan với các cơ quan xung quanh có thể giúp định hướng chẩn đoán sớm.
Thứ ba, bác sĩ siêu âm cần phối hợp chặt chẽ với thông tin lâm sàng và tiền sử sản khoa của bệnh nhân. Với phụ nữ trong độ tuổi sinh sản, đặc biệt có tiền sử thai kỳ gần đây, việc nghĩ đến bệnh lý nguyên bào nuôi là điều rất quan trọng.
Cuối cùng, khi gặp tổn thương nghi ngờ, cần chủ động đề xuất các phương tiện chẩn đoán hình ảnh chuyên sâu như CT hoặc MRI, đồng thời khuyến nghị các xét nghiệm sinh hóa đặc hiệu như beta-hCG để làm rõ bản chất bệnh.
Ý nghĩa của phát hiện sớm
Choriocarcinoma là bệnh lý ác tính nhưng có khả năng đáp ứng tốt với điều trị nếu được phát hiện sớm. Do đó, vai trò của bác sĩ siêu âm trong việc phát hiện các dấu hiệu ban đầu là vô cùng quan trọng.
Ca bệnh này là lời nhắc nhở rằng nhiều bệnh lý nguy hiểm có thể khởi phát âm thầm và chỉ được phát hiện tình cờ qua chẩn đoán hình ảnh. Việc nâng cao kỹ năng quan sát, phân tích hình ảnh và phối hợp chẩn đoán đa phương tiện sẽ giúp bác sĩ siêu âm góp phần quan trọng trong phát hiện sớm và cải thiện tiên lượng cho người bệnh.
Bình luận ()
Lựa chọn dịch vụ
Quý khách hàng vui lòng lựa chọn dịch vụ y tế theo nhu cầu!