Tin tức
Cô gái 32 tuổi phát hiện u thần kinh nội tiết dù không có triệu chứng
- 05/11/2021 | U thần kinh nội tiết - Những thông tin bạn cần biết!
- 03/06/2022 | U thần kinh nội tiết và những thông tin không phải ai cũng biết
- 23/03/2022 | Những điều nên biết về cách thức chẩn đoán u thần kinh nội tiết
- 23/09/2024 | U thần kinh nội tiết: Giải pháp điều trị hiện nay
Phẫu thuật nội soi loại bỏ thành công u thần kinh nội tiết đại tràng bằng EMR
Mới đây, Bệnh viện Đa khoa MEDLATEC tiếp nhận chị H.T.D (32 tuổi) đến kiểm tra sức khỏe định kỳ.
Khai thác tiền sử được biết, trước thời điểm thăm khám, bệnh nhân không ghi nhận bất kỳ triệu chứng bất thường nào như đau bụng, rối loạn đại tiểu tiện hay sụt cân.
.png)
Hình ảnh polyp kích thước khoảng 0,3cm tại thân vị dạ dày
Tuy nhiên, qua nội soi thực quản – dạ dày – tá tràng, bác sĩ phát hiện tại thân vị dạ dày có polyp kích thước khoảng 0,3cm. Tổn thương được cắt và gửi làm giải phẫu bệnh, kết quả là polyp tăng sản.
.png)
Hình ảnh khối u tại đại tràng có kích thước khoảng 1cm
Nội soi đại tràng cho thấy, cách ống hậu môn 6cm có khối đẩy lồi niêm mạc kích thước khoảng 1cm, màu vàng nhạt, niêm mạc phía trên giống niêm mạc xung quang, thăm thấy chắc, di động. Đây là hình ảnh nội soi gợi ý điển hình của u thần kinh nội tiết.

Khối u tại đại tràng dưới hình ảnh nội soi siêu âm
Để đánh giá chính xác hơn về đặc điểm và mức độ xâm lấn của khối u, bác sĩ đã tiến hành nội soi siêu âm. Hình ảnh trên nội soi siêu âm cho thấy, khối u có kích thước khoảng 0,8cm, giảm âm không đồng nhất, nằm ở lớp dưới niêm mạc, lớp cơ trơn còn nguyên vẹn.
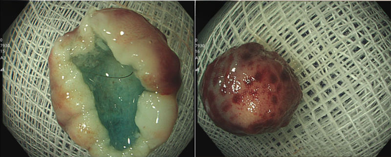
.png)
Hình ảnh khối u sau khi được cắt bỏ
Trên cơ sở đánh giá tổn thương, bác sĩ đã chỉ định cắt bỏ khối u dưới nội soi bằng kỹ thuật cắt niêm mạc qua nội soi (EMR) cải tiến và gửi mẫu làm giải phẫu bệnh. Kết quả là u thần kinh nội tiết, độ I, diện cắt không có u.

Hình ảnh mô tả vi thể khối u tại đại tràng
Với kết quả trên, bệnh nhân được chẩn đoán mắc u thần kinh nội tiết trực tràng độ I đã được cắt bỏ hoàn toàn và hẹn nội soi kiểm tra lại sau 3 tháng.
U thần kinh nội tiết và những thông tin nhất định phải biết
Theo ThS.BSNT Lưu Tuấn Thành - Phó Giám đốc Trung tâm Tiêu hóa, Hệ thống Y tế MEDLATEC, u thần kinh nội tiết (Neuroendocrine Tumor - NET) là nhóm u xuất phát từ các tế bào thần kinh nội tiết.
Trên nội soi, tổn thương thường có đặc điểm nằm dưới niêm mạc, hình tròn, kích thước nhỏ, màu vàng nhạt. Những dấu hiệu gợi ý nguy cơ ác tính được ghi nhận là bề mặt tổn thương lõm sâu hoặc loét, kèm theo tình trạng tăng sinh mạch máu với biểu hiện giãn mạch và sung huyết rõ.

ThS.BSNT Lưu Tuấn Thành - Phó Giám đốc Trung tâm Tiêu hóa, Hệ thống Y tế MEDLATEC đang thăm khám cho bệnh nhân
Về vị trí giải phẫu, u thần kinh nội tiết thường gặp nhất tại:
- Đường tiêu hóa: ruột non, ruột thừa, đại tràng và trực tràng;
- Phổi: là vị trí phổ biến thứ hai, thường xuất phát từ phế quản và có thể gây các triệu chứng hô hấp;
- Tuyến tụy: chiếm khoảng 7% tổng số trường hợp, còn được gọi là u thần kinh nội tiết tụy (PNET).
Tỷ lệ mắc u thần kinh nội tiết trực tràng đang gia tăng nhanh chóng (khoảng 1,2/100.000 người), chủ yếu do ý thức tầm soát bệnh qua nội soi ngày càng được chú ý. Độ tuổi tầm soát ung thư đại trực tràng cũng thấp hơn, 45 tuổi thay vì 50 tuổi như trước đây (theo hướng dẫn của Mỹ). Các máy nội soi thế hệ mới tích hợp nhiều công nghệ hiện đại như hình ảnh 4K cho hình ảnh sắc nét, độ phóng đại gần 150 lần, nhuộm màu kỹ thuật số… giúp bác sĩ phát hiện các khối u dễ dàng hơn dù kích thước rất nhỏ, không có triệu chứng hoặc mơ hồ như: đau bụng, rối loạn tiêu hóa…

Máy nội soi thế hệ mới tích hợp nhiều công nghệ hiện đại giúp bác sĩ phát hiện các khối u dễ dàng hơn dù kích thước rất nhỏ
Bác sĩ Thành cho hay, sở dĩ u thần kinh nội tiết cần cắt bỏ càng sớm càng tốt, vì khối u có nguy cơ hóa ác tính và di căn cao. Có 90% u thần kinh nội tiết được phát hiện ở giai đoạn kích thước nhỏ và được can thiệp hiệu quả qua nội soi trực tràng. Trường hợp phát hiện trễ, khi kích thước khối u lớn, xâm lấn sâu vào thành trực tràng, di căn đến hạch bạch huyết hoặc gan, phổi… điều trị sẽ phức tạp hơn, tiên lượng sống thấp.
Các nghiên cứu chỉ ra rằng, nguy cơ di căn tăng đáng kể theo kích thước của khối u (<1cm chỉ chiếm 2%; >1cm tăng lên tới 20%), đồng thời phụ thuộc vào thời gian phát hiện và đặc điểm bề mặt của khối u.
Theo hướng dẫn của Hiệp hội U thần kinh nội tiết châu Âu, cần siêu âm nội soi (EUS) cho tất cả các tổn thương, kể cả tổn thương nhỏ nhất. Bởi phương pháp này có độ chính xác rất cao trong việc đánh giá kích thước thực của khối u, độ sâu xâm lấn và sự hiện diện của hạch bạch huyết lân cận.
Hiện nay, các phương pháp cắt bỏ u thần kinh nội tiết qua nội soi thường được áp dụng gồm:
- ERM tiêu chuẩn: Tiêm dưới niêm mạc sau đó cắt bằng snare;
- ERM cải tiến: thắt bằng dây thun, hỗ trợ bằng cap, cắt trước;
- Cắt tách dưới niêm mạc (ESD);
- Cắt toàn bề dày thành ruột (EFTR).
Bác sĩ Thành khuyến cáo, ở giai đoạn sớm, u thần kinh nội tiết trực tràng thường không có triệu chứng đặc hiệu hoặc dễ nhầm lẫn với các bệnh lý tiêu hóa thông thường như: đau bụng, thay đổi thói quen đại tiện hay xuất huyết tiêu hóa. Việc phát hiện sớm đóng vai trò quan trọng trong việc điều trị thành công, tiên lượng sống tốt. Do đó, khi có bất kỳ triệu chứng nào bất thường, người dân cần đến các cơ sở y tế uy tín để được thăm khám và chẩn đoán kịp thời.
Trung tâm Tiêu hóa MEDLATEC quy tụ đội ngũ chuyên gia đầu ngành giàu kinh nghiệm Với đội ngũ chuyên gia, bác sĩ đầu ngành cùng hệ thống máy móc hiện đại, Trung tâm Tiêu hóa MEDLATEC đáp ứng đầy đủ các dịch vụ như:
Mọi thông tin tư vấn và đặt lịch nội soi, người dân vui lòng liên hệ tổng đài 1900 56 56 56 để được hỗ trợ kịp thời. |
Bình luận ()
Lựa chọn dịch vụ
Quý khách hàng vui lòng lựa chọn dịch vụ y tế theo nhu cầu!
