Tin tức
Kịp thời cứu sống người đàn ông bị tràn khí màng phổi mức độ nặng do vỡ kén khí
- 16/02/2022 | Tràn khí khoang màng phổi tự phát ở người trẻ
- 31/01/2024 | Một số điều nên biết về chụp X-quang tràn khí màng phổi
- 10/05/2025 | Dẫn lưu màng phổi trong điều trị tràn dịch, tràn khí: Khi nào cần thực hiện?
- 18/06/2025 | Tập gym đẩy tạ quá sức, nam bệnh nhân nhập viện trong tình trạng tràn khí màng phổi nguy hiểm
Tức ngực, khó thở - Dấu hiệu cảnh báo tràn khí màng phổi
Vừa qua, Phòng khám Đa khoa MEDLATEC Thanh Xuân tiếp nhận anh L.H.H (49 tuổi) đến khám do đột ngột đau tức ngực, khó thở.
Khai thác bệnh sử được biết, cách vào viện 2 giờ, anh H. đột ngột xuất hiện đau tức ngực trái như dao đâm, đau lan vai cánh tay trái, tăng khi thay đổi tư thế hít thở mạnh, khó thở nhẹ, ho khan thúng thắng. Ngoài ra, bệnh nhân có tiền sử hút thuốc lá 30 năm, 2 ngày/1 bao, phát hiện kén khí phổi năm 2022, không có bệnh phổi mạn tính, có vợ bị lao phổi, điều trị từ tháng 1 đến tháng năm 6/2025.
Khám lâm sàng nhận thấy lồng ngực 2 bên cân đối, di động kém, không co kéo cơ hô hấp, thở nhanh nông, phổi trái thông khí kém, rì rào phế nang giảm, gõ vang, rung thanh giảm, tam chứng Galliard (+), tim nhịp đều, T1T2 mờ, mạch 98 lần/phút, nhịp thở 23 lần/phút, huyết áp 140/90mmHg, SpO2 95%.
.jpg)
Hình ảnh chụp cắt lớp vi tính phổi liều thấp ghi nhận tràn khí khoang màng phổi trái mức độ nhiều
Kết quả chụp cắt lớp vi tính phổi liều thấp ghi nhận: hình ảnh tràn khí khoang màng phổi trái mức độ nhiều, gây xẹp thụ động nhu mô phổi (khoảng 75%), nghĩ đến do vỡ kén khí; kén khí thùy trên phổi trái; giãn phế nang cạnh vách thùy trên hai phổi.
.png)
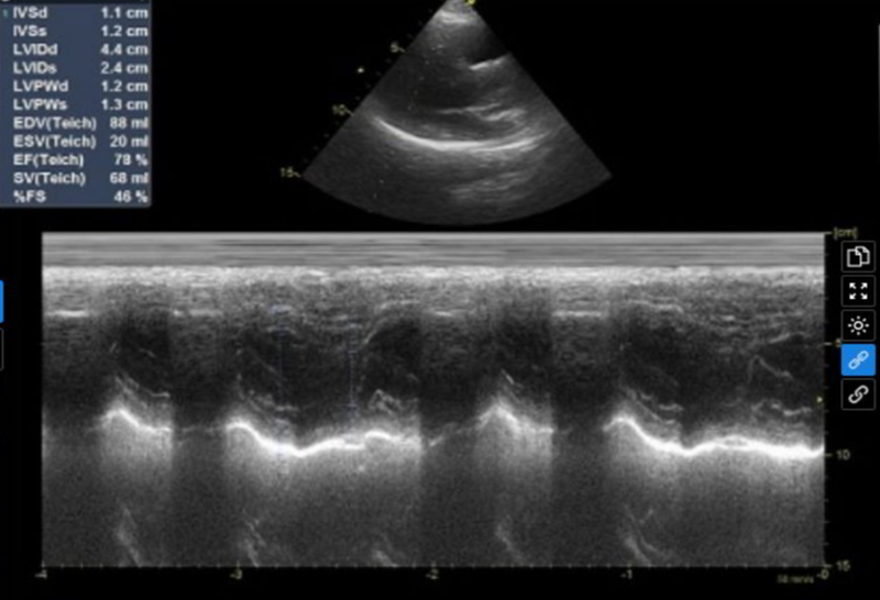
Kết quả siêu âm tim và màng phổi của bệnh nhân
Kết quả siêu âm tim và màng phổi cho thấy: tim lệch phải do tràn khí màng phổi mức độ nhiều; mất dấu trượt màng phổi, mất đường lines B; kích thước các buồng tim bình thường; chức năng tâm thu thất trái bình thường; không tăng áp lực động mạch phổi.
Dựa vào kết quả trên, anh H. được chẩn đoán tràn khí màng phổi mức độ nặng do vỡ kén khí.
.png)
Hình ảnh bác sĩ chọc hút dẫn lưu khí màng phổi trái bằng kim lớn 14G tại khoang liên sườn 2-3 thẳng đường giữa xương đòn trái và KLS 4-5 đường nách trước
Các bác sĩ nhanh chóng cấp cứu, chọc hút dẫn lưu khí màng phổi trái bằng kim lớn. Sau 30 phút, bệnh nhân đỡ Tức ngực khó thở, hút không còn khí màng phổi và được chuyển tuyến để can thiệp nội soi màng phổi.
.png)
Hình ảnh phim chụp sau khi chọc hút khí màng phổi cho thấy lượng khí tràn ở phổi còn ít
Hiện tại, anh H. đã được thực hiện phẫu thuật nội soi màng phổi để xử lý kén khí. Sau 1 tuần điều trị, bệnh nhân xuất viện trong tình trạng tỉnh táo, không còn đau ngực và không khó thở.
Kén khí ở phổi là gì? Nguyên nhân, mức độ nguy hiểm của bệnh?
Theo BSCKI. Hoàng Minh Toại - Chuyên khoa Hồi sức cấp cứu, Phòng khám Đa khoa MEDLATEC Thanh Xuân, kén khí phổi là các nang chứa khí trong nhu mô phổi, với một lớp thành mỏng bao quanh và không có nhu mô, do đó không thực hiện được chức năng hô hấp.
Nguyên nhân hình thành kén khí phổi, có thể do:
- Bẩm sinh (hiếm gặp): Là dị tật hiếm gặp do sự phát triển bất thường của mô phổi trong giai đoạn phôi thai, thường gặp ở trẻ em.
- Mắc phải: Là bệnh thứ phát sau các bệnh lý mạn tính tiềm ẩn (nhiễm trùng phổi do vi khuẩn, virus, nấm, ký sinh trùng, viêm phổi, viêm phế quản mạn tính, áp xe phổi do chấn thương, khí phế thũng, tăng sinh tế bào lympho, tân sinh, hút thuốc,...) và phổ biến hơn ở người lớn.
Phần lớn những trường hợp bị kén khí phổi đều không có triệu chứng gì đặc biệt, thậm chí có những bệnh nhân đã sống chung với bệnh trong nhiều năm mà không hề hay biết, chỉ tình cờ phát hiện khi khám sức khỏe.
Tuy nhiên, một trường hợp có thể xuất hiện các triệu chứng hô hấp, như: ho, khó thở (bị hụt hơi khi thở, luôn cảm thấy không đủ hơi khi nói), chủ yếu là ho khan có đờm dính khó khạc ra, về sau xuất hiện ho kịch phát và lượng đờm tăng lên. Đây là những triệu chứng rất dễ nhầm lẫn với các bệnh lý hô hấp khác. Ngoài ra, còn có các triệu chứng thiếu oxy (tức ngực, nghẹt thở, khó thở) kéo dài hàng tuần, thậm chí hàng tháng.
.jpg)
Khó thở và đau ngực là hai triệu chứng điển hình của tràn khí màng phổi do vỡ kén khí. Ảnh minh họa
Nếu không được can thiệp, bệnh có thể gây ra một số biến chứng nguy hiểm như:
- Khi kén khí bị vỡ, gây ra tràn khí màng phổi. Đây là tình trạng cấp cứu đòi hỏi phải được chẩn đoán sớm và xử trí kịp thời, vì nguy cơ diễn biến suy hô hấp và tử vong cao;
- Tình trạng kén bị nhiễm khuẩn và vỡ ra thông với phế quản, nếu chỗ vỡ thủng vào màng phổi có thể dẫn đến tràn mủ màng phổi;
- Những trường hợp kén khí có kích thước lớn gây chèn ép vào các vùng lân cận: Kén khí phổi đè vào khí quản gây khó thở, xẹp phổi; Những thùy phổi bị xẹp sẽ tăng nguy cơ nhiễm khuẩn; Kén khí đè vào thực quản sẽ khiến bệnh nhân bị khó nuốt, ảnh hưởng đến tiêu hóa.
Bác sĩ Toại khuyến cáo, người có tiền sử bệnh phổi mạn, nhiễm trùng hô hấp tái diễn, từng phát hiện kén khí phổi, hút thuốc lá nhiều năm, cần được theo dõi sát sao và thăm khám định kỳ. Việc kiểm tra sức khỏe hệ hô hấp thường xuyên, giúp phát hiện sớm bất thường, can thiệp kịp thời và ngăn ngừa các biến chứng nguy hiểm.
Chuyên khoa Hô hấp, Hệ thống Y tế MEDLATEC quy tụ đội ngũ chuyên gia đầu ngành giàu kinh nghiệm, cùng hệ thống máy móc trang thiết bị hiện đại Lựa chọn thăm khám và tầm soát các bệnh lý hô hấp tại MEDLATEC, người dân hoàn toàn an tâm nhờ sở hữu những năng lực vượt trội sau:
Người dân vui lòng liên hệ tổng đài MEDLATEC 1900 56 56 56 để được hỗ trợ đặt lịch thăm khám/ xét nghiệm kịp thời. |
Bình luận ()
Lựa chọn dịch vụ
Quý khách hàng vui lòng lựa chọn dịch vụ y tế theo nhu cầu!
.jpg)