Tin tức
Người phụ nữ có nang thận to như quả trứng vịt
- 17/06/2021 | Tất tần tật mọi điều cần bỏ túi về nang thận
- 08/08/2025 | Nang thận to bao nhiêu thì phải mổ và phương pháp thực hiện?
- 17/11/2025 | U nang thận là gì? Triệu chứng nhận biết, điều trị và phòng ngừa
- 20/01/2026 | Nang thận uống thuốc gì và các phương pháp điều trị phổ biến
Tiêm cồn xử lý nang thận cho người phụ nữ 55 tuổi
Mới đây, Bệnh viện Đa khoa MEDLATEC tiếp nhận bà N.T.N. (55 tuổi) đến kiểm tra sức khỏe định kỳ.
Khai thác bệnh sử được biết, trước đó bà N. từng đi khám, được chẩn đoán có nang thận 2 bên và bệnh Parkinson trong nhiều năm.
Thời điểm tới MEDLATEC, bà N. có đau tức và khó chịu vùng hạ sườn phải. Bệnh nhân được chỉ định siêu âm ổ bụng, kết quả ghi nhận hình ảnh nang lớn thận phải (kích thước 65x54x70mm, tương đương 128ml), nang nhỏ thận trái (kích thước 11x13mm) và nang tuyến giáp lành tính.
.png)
Chụp CLVT hệ tiết niệu cho thấy hình ảnh nang thận hai bên
Để làm rõ hơn hình ảnh nang thận cũng như đánh giá sự thông thương với đài bể thận, bác sĩ đã chỉ định chụp CLVT hệ tiết niệu. Hình ảnh cho thấy nang thận hai bên (phân loại Bosniak I - lành tính), trong đó thận phải có nang lớn không thông với đài bể thận.
Với triệu chứng trên lâm sàng và hình ảnh, bệnh nhân được chỉ định điều trị nang thận phải. Thông thường, những nang lớn bác sĩ sẽ tư vấn cho người bệnh lựa chọn phẫu thuật hoặc chọc hút tiêm cồn, nhưng với tiền sử Parkinson và là xử lý lần đầu, nên kĩ thuật chọc hút tiêm cồn được ưu tiên hơn cả.
.png)
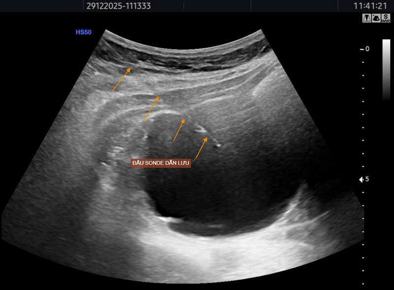
Hình ảnh hút dịch nang thận bằng sonde dẫn lưu dưới hướng dẫn siêu âm
.png)
BSCKI. Trần Văn Thụ – Phó Giám đốc Trung tâm Chẩn đoán hình ảnh MEDLATEC là người trực tiếp điều trị cho bệnh nhân
.png)
Lượng dịch hút ra từ nang thận lên tới 120ml
BSCKI. Trần Văn Thụ – Phó Giám đốc Trung tâm Chẩn đoán hình ảnh MEDLATEC là người trực tiếp thực hiện kỹ thuật tiêm cồn nang thận cho bệnh nhân. Kết quả sau điều trị vô cùng khả quan khi thể tích nang giảm tới 78%. Bà N. được hướng dẫn tái khám định kỳ theo dõi bằng siêu âm.
Tiêm cồn nang thận - Phương pháp điều trị đơn giản hiệu quả cao
Theo bác sĩ Thụ, nang thận là một trong các bệnh lý về thận hay gặp nhất, trong đó, phổ biến là nang thận đơn thuần - tổn thương lành tính. Bệnh thường được phát hiện tình cờ, không có triệu chứng và không cần điều trị.
Tuy nhiên, trong một số trường hợp nang thận đơn thuần có kích thước lớn gây triệu chứng (đau thắt lưng, tăng huyết áp,...) hoặc có biến chứng (chảy máu, nhiễm trùng,...) thì cần được điều trị.
Các phương pháp điều trị gồm: phẫu thuật cắt chỏm nang, chọc hút, chọc hút kết hợp tiêm cồn dưới hướng dẫn siêu âm.
Trong đó, phương pháp tiêm cồn nang thận là lựa chọn tối ưu với nhiều ưu điểm vượt trội như:
- Kỹ thuật không phức tạp, dễ thực hiện: không cần gây mê, không sử dụng dao kéo, thời gian thực hiện nhanh (30–60 phút) dưới hướng dẫn của siêu âm hoặc chụp cắt lớp vi tính (CT);
- Giá thành thấp và hiệu quả cao;
- Xâm lấn tối thiểu nên có thể ra viện ngay trong ngày, chỉ sau 2-3 giờ sau khi thực hiện;
- Hiệu quả tiêm xơ bằng cồn tuyệt đối đem lại kết quả tương tự dẫn lưu dịch qua nội soi ổ bụng và ít có biến chứng hơn.
.png)
Quy trình diễn ra thủ thuật tiêm cồn nang thận
Để thực hiện kỹ thuật này, sau khi hút hết dịch, bác sĩ bơm cồn tuyệt đối (95-99%) vào nang. Cồn làm protein biến tính, gây chết các tế bào biểu mô lót mặt trong bao nang, khiến chúng không còn khả năng tiết dịch, từ đó làm nang xơ hóa và xẹp đi.
Tiêm cồn nang thận thường áp dụng đối các trường hợp sau:
- Nang thận đơn thuần (Bosniak I hoặc II): Có kích thước lớn (thường > 5cm);
- Gây triệu chứng: Đau tức vùng thắt lưng, chèn ép đài bể thận gây thận ứ nước;
- Gây biến chứng: Tăng huyết áp do chèn ép mạch máu thận hoặc gây nhiễm trùng nang tái phát.
Bác sĩ Thụ khuyến cáo, phương pháp này không áp dụng cho nang thận có vách ngăn phức tạp, nang có dấu hiệu nghi ngờ ung thư (Bosniak III, IV) hoặc bệnh nhân có rối loạn đông máu nặng. Sau thủ thuật, bệnh nhân cần tái khám siêu âm sau 1, 3 và 6 tháng để đánh giá mức độ co nhỏ của nang.
Mặc dù tiêm cồn nang thận là thủ thuật ít xâm lấn, nhưng để đạt hiệu quả điều trị tối ưu, hạn chế biến chứng (nhiễm trùng, chảy máu trong nang hoặc tiêm lệch vị trí gây tổn thương nhu mô thận), người dân cần lựa chọn cơ sở y tế uy tín, với đội ngũ bác sĩ có chuyên môn cao và giàu kinh nghiệm.
MEDLATEC: Địa chỉ tiêm cồn nang thận uy tín
Trung tâm Chẩn đoán hình ảnh trang bị hệ thống thiết bị đồng bộ, hiện đại Lựa chọn điều trị các bệnh lý Thận - Tiết niệu tại MEDLATEC, người dân hoàn toàn an tâm bởi những năng lực vượt trội sau:
Người dân có nhu cầu thăm khám hoặc hoặc cần được giải đáp các thắc mắc liên quan đến bệnh lý, vui lòng liên hệ tổng đài MEDLATEC 1900 56 56 56 để được tư vấn và hỗ trợ kịp thời. |
Bình luận ()
Lựa chọn dịch vụ
Quý khách hàng vui lòng lựa chọn dịch vụ y tế theo nhu cầu!
.png)