Tin tức
U nang thận là gì? Triệu chứng nhận biết, điều trị và phòng ngừa
- 30/10/2025 | 4 loại cây thuốc nam chữa bệnh thận hư và lời khuyên của bác sĩ chuyên khoa
- 30/10/2025 | Nhận diện triệu chứng suy tuyến thượng thận và phương pháp chữa bệnh hiệu quả
- 06/11/2025 | Hẹp động mạch thận là gì? Mức độ nguy hiểm và phương pháp điều trị
- 10/11/2025 | Chi phí ghép thận tại Việt Nam có đắt không?
- 10/11/2025 | Mổ sỏi thận ở bệnh viện nào tốt - Hệ thống Y tế MEDLATEC
1. Tìm hiểu chung về u nang thận
U nang thận là những nang hình bầu dục hoặc hình tròn, xuất hiện trong nhu mô thận. Trong phần lớn trường hợp, u nang thận là dạng u đơn độc. Chúng hầu như không ảnh hưởng đến sức khỏe người bệnh. Các khối u này thường chỉ được phát hiện khi bệnh nhân kiểm tra sức khỏe, siêu âm ổ bụng.
Dựa theo đặc điểm cấu trúc, u nang thận sẽ được phân thành hai loại cơ bản, bao gồm:
- U nang thận đơn: Có cấu trúc đơn giản với phần thành mỏng, bên trong chứa dịch. Đây chủ yếu là loại u lành tính, hiếm khi gây nguy hiểm.
- U nang thận với cấu trúc phức tạp: Thành khối u tương đối dày, kèm theo vách và chứa dịch đặc bên trong. Trong một số ít trường hợp, loại u nang này có khả năng tiến triển thành ung thư.

U nang thận chủ yếu được phát hiện khi bệnh nhân kiểm tra sức khỏe, siêu âm
Thực tế, u nang có thể hình thành tại một hoặc hai bên thận. Thậm chí có những trường hợp, nhiều khối u nang phát triển tại cả hai bên thận. Khi đó, bệnh nhân cần được theo dõi và can thiệp nếu khối u gây nguy hiểm.
Tuy nhiên, cũng cần lưu ý rằng thận xuất hiện nhiều nang đơn khác với bệnh thận đa nang. Theo đó, bệnh thận đa nang có thể khiến thận tăng kích thước, còn nhiều nang thận đơn lại không làm thận to lên. Ở bệnh nhân bị suy thận mạn tính, các nang này dễ khiến thận bị teo nhỏ.
2. Triệu chứng
Đa phần u nang thận đều không biểu hiện triệu chứng. Nếu không kiểm tra sức khỏe, siêu âm, bệnh nhân rất khó phát hiện sự tồn tại của khối u này. Tuy nhiên, trong một số trường hợp, người bệnh có thể cảm nhận các triệu chứng như:
- Đau tại vùng hông, vùng bụng hoặc vùng lưng nếu khối u tăng kích thước gây chèn ép cơ quan lân cận.
- Nước tiểu lẫn máu trong trường hợp u nang xuất huyết.
- Sốt cao (dấu hiệu cho thấy nang thận đang bị nhiễm khuẩn).
- Tăng huyết áp khi khối u chèn ép.

Khi u nang thận tăng kích thước, chèn ép cơ quan lân cận, người bệnh thường cảm thấy đau bụng
3. Nguyên nhân
Nguyên nhân dẫn đến sự hình thành của u nang thận vẫn cần thời gian nghiên cứu. Tuy vậy, sự phát triển của dạng u nang này có thể bị thúc đẩy bởi những yếu tố như:
- Tuổi tác: Xuất hiện nhiều ở người trên 50 tuổi.
- Giới tính: Nam giới dễ bị u nang thận hơn nữ giới.
- Yếu tố từ bên ngoài: Chẳng hạn như thuốc lá, chế độ ăn uống, sinh hoạt không lành mạnh,...
- Các yếu tố khác: Ảnh hưởng từ quá trình chạy thận nhân tạo, tình trạng huyết áp cao hoặc một số bệnh lý mạn tính khác.

Người trên 50 tuổi dễ bị u nang thận hơn người trẻ
4. Mức độ nguy hiểm
U nang thận chủ yếu gây nguy hiểm khi phát triển lớn hoặc nằm tại các vị trí dễ gây chèn ép. Trong đó, những biến chứng người bệnh có nguy cơ phải đối mặt là:
- Khối u bị nhiễm khuẩn gây đau, sốt cao.
- Khối u bị vỡ gây rò rỉ dịch, chảy máu.
- Khối u tăng kích thước gây tình trạng khó tiểu, tổn thương thận.
- Tăng huyết áp, phình mạch máu não.
Còn với những khối u nhỏ, người bệnh có thể sống chung với chúng mà không gặp vấn đề nghiêm trọng về sức khỏe. Tuy vậy, bạn vẫn nên kiểm tra định kỳ để theo dõi sự phát triển của khối u, can thiệp xử lý kịp thời.
5. Phương pháp chẩn đoán
U nang thận hiếm khi khiến người bệnh biểu hiện triệu chứng nếu kích thước vẫn còn nhỏ. Dạng u nang này chủ yếu được phát hiện thông qua siêu âm ổ bụng hoặc một số kỹ thuật chẩn đoán hình ảnh khác như:
- Chụp CT cắt lớp: Cung cấp hình ảnh rõ nét về từng nang thận, đồng thời hỗ trợ phân biệt u nang lành tính và ác tính.
- Chụp cộng hưởng từ: Chỉ định trong trường hợp bệnh nhân mẫn cảm với thuốc cản quang hoặc bị suy thận.
- Xét nghiệm kiểm tra chức năng thận: Người bệnh có thể được yêu cầu làm xét nghiệm máu hoặc nước tiểu. Những xét nghiệm này sẽ cung cấp thông tin cần thiết hỗ trợ bác sĩ đánh giá chức năng thận cũng như sự ảnh hưởng của khối u đến thận.

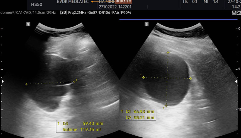
Hình ảnh nang thận khi siêu âm
6. Điều trị
Nếu kích thước u nang thận chưa vượt quá 3cm, đồng thời cơ thể chưa biểu hiện triệu chứng hoặc không có dấu hiệu là u ác tính, bệnh nhân thường chỉ cần theo dõi theo hướng dẫn của bác sĩ. Cứ sau khoảng 6 tháng, người bệnh lại tái khám để kiểm tra mức độ phát triển của khối u và chức năng thận.
Trường hợp khối u ngày càng lớn dần, gây chèn ép lên cơ quan xung quanh, kéo theo cơn đau, tiềm ẩn biến chứng nguy hiểm, bệnh nhân cần được điều trị. Trong đó, một số phương pháp điều trị thường được sử dụng phải kể đến là:
- Phẫu thuật loại bỏ u nang: Giúp cắt bỏ triệt để u nang thận, hạn chế tối đa nguy cơ tái phát. Cụ thể, phương pháp can thiệp, loại bỏ u nang phổ biến là phẫu thuật nội soi kết hợp bóc tách, cắt phần chỏm nang và hút hết dịch trong nang.
- Hút dịch và bơm chất làm đầy: Bệnh nhân được gây tê tại chỗ. Sau đó, bác sĩ sẽ tiến hành dẫn lưu dịch bằng kim. Khi dẫn lưu dịch xong, bác sĩ tiếp tục bơm cồn chuyên biệt nhằm mục đích xóa thành của khối u nang, hạn chế nguy cơ tái phát. Đây là phương pháp can thiệp xâm lấn tối thiểu, ít gây đau, bệnh nhân không cần nằm viện dài ngày. Chọc hút dịch và bơm chất làm đầy phù hợp áp dụng khi bệnh nhân không thể phẫu thuật. Mặc dù vậy trong một số trường hợp, u nang thận vẫn có thể xuất hiện lại.

Phẫu thuật chủ yếu được sử dụng khi u nang thận tăng kích thước, gây áp lực lên cơ quan xung quanh
7. Có thể phòng ngừa u nang thận không?
Hiện nay, chưa có phương pháp nào giúp phòng ngừa triệt để sự xuất hiện của u nang thận. Tuy nhiên, thông qua một vài điều chỉnh trong sinh hoạt hàng ngày, bạn có thể phần nào giảm bớt yếu tố nguy cơ. Chẳng hạn như:
- Duy trì thói quen uống nhiều nước.
- Áp dụng chế độ ăn uống khoa học, hạn chế tiêu thụ thực phẩm giàu Natri.
- Vận động thể chất mỗi ngày kết hợp nghỉ ngơi điều độ.
- Điều trị, kiểm soát bệnh lý mạn tính như đái tháo đường, cao huyết áp.
Mặc dù được đánh giá là lành tính nhưng u nang thận vẫn có thể gây nguy hiểm nếu kích thước của chúng tăng nhanh, ảnh hưởng đến cơ quan xung quanh. Để chủ động phát hiện, điều trị phòng ngừa biến chứng, bạn cần duy trì thói quen khám sức khỏe định kỳ hoặc khám ngay khi cảm thấy cơ thể thay đổi bất thường.
Nếu chưa biết nên lựa chọn địa chỉ nào uy tín để thăm khám, bạn có thể tham khảo chuyên khoa Ung bướu thuộc Hệ thống Y tế MEDLATEC. Để đặt lịch khám, Quý khách vui lòng liên hệ tổng đài 1900 56 56 56 của MEDLATEC để được tư vấn và hỗ trợ 24/7.
Bình luận ()
Lựa chọn dịch vụ
Quý khách hàng vui lòng lựa chọn dịch vụ y tế theo nhu cầu!