Tin tức
4 ngày xuất hiện sưng đau khớp gối, bệnh nhân nữ 71 tuổi đi khám phát hiện nhiều bệnh lý cùng lúc
- 20/11/2024 | Thông tin chi tiết về các biện pháp chữa trị thoái hóa khớp háng hiện nay
- 19/08/2025 | Triệu chứng thoái hóa khớp gối thường gặp và cách phòng tránh biến chứng
- 02/01/2026 | Bài thuốc dân gian chữa thoái hóa khớp gối và lời khuyên dành cho người mắc bệnh
- 03/02/2026 | Bị thoái hóa khớp gối có chữa được không và các cách điều trị phổ biến
Từ cơn đau "quen thuộc" đến nhiều bệnh lý cùng lúc
Vừa qua, Phòng khám Đa khoa MEDLATEC Thanh Xuân đã tiếp nhận bà N.T.D. (71 tuổi), đến khám trong tình trạng sưng đau khớp gối trái nghiêm trọng.
Theo chia sẻ, bà D. có tiền sử đau khớp từ 2 năm trước và từng can thiệp hút dịch, tiêm huyết tương giàu tiểu cầu (PRP). Tuy nhiên, khoảng 4 ngày gần đây, cơn đau tái phát dữ dội, tăng mạnh khi leo cầu thang và chỉ thuyên giảm phần nào khi nghỉ ngơi.
Bác sĩ khám toàn thân chưa phát hiện gì bất thường, chỉ số BMI 23,11 - mức thừa cân theo tiêu chuẩn người Châu Á. Ngoài ra, bác sĩ ghi nhận khớp gối trái sưng, lạo xạo khớp gối trái (+), bập bềnh xương bánh chè (+) , mức độ đau theo thang điểm VAS 7/10.
Để tìm nguyên nhân và có kết quả chẩn đoán chính xác, bệnh nhân được chỉ định thực hiện các kỹ thuật cận lâm sàng chẩn đoán chuyên sâu. Kết quả ghi nhận những bất thường sau:
- Siêu âm: Khớp trái có hình ảnh tràn dịch khớp gối, thoái hóa khớp gối trái, kén bao hoạt khoeo chân trái.
- Chụp X-quang khớp gối trái: Hình ảnh thoái hóa khớp gối trái giai đoạn 2 (Grade 2), kèm nốt cản quang cạnh đầu dưới xương đùi (theo dõi vôi hóa phần mềm).
- Đo loãng xương: Cho hình ảnh giảm mật độ xương.

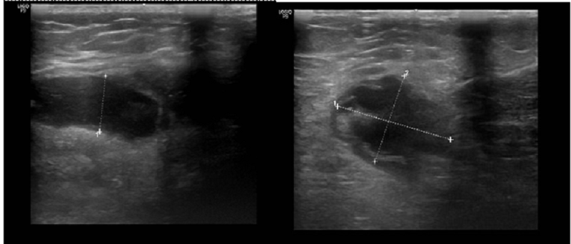
Hình ảnh tràn dịch khớp gối trái ghi nhận trên siêu âm
Dựa vào thăm khám và kết quả cận lâm sàng, bệnh nhân được chẩn đoán xác định: Thoái hóa khớp gối trái giai đoạn 2 - Kén khoeo chân trái - Giảm mật độ xương.
Sau đó, bệnh nhân được điều trị bằng phác đồ giảm viêm và đau khớp gối (hút dịch khớp gối và kén khoeo, tiêm corticoid, thuốc giảm đau), bảo vệ dạ dày và hỗ trợ xương sụn về lâu dài.
Hiểu đúng về thoái hóa khớp gối
Theo bác sĩ Nguyễn Thị Thu Thủy - Chuyên khoa Cơ xương khớp, Phòng khám Đa khoa MEDLATEC Thanh Xuân: Thoái hóa khớp là hệ quả của quá trình mất cân bằng giữa tổng hợp và hủy hoại của sụn và xương dưới sụn. Mặc dù không thể hồi phục hoàn toàn, nhưng nếu được phát hiện sớm, chúng ta có thể kiểm soát tốt diễn tiến của bệnh.
Thoái hóa khớp gặp ở mọi chủng tộc, dân tộc, mọi điều kiện khí hậu, địa lý, kinh tế; những người dễ mắc thoái hóa khớp gối, gồm:
- Người cao tuổi: Quá trình lão hóa tự nhiên làm suy yếu hệ xương khớp.
- Nữ giới: Tỷ lệ mắc bệnh thường cao hơn nam giới.
- Người thừa cân, béo phì: Áp lực trọng lượng gây quá tải cho khớp gối.
- Người có tiền sử chấn thương hoặc lao động nặng, vận động khớp gối quá mức.
5 dấu hiệu nhận biết điển hình của thoái hóa khớp gối

Đau khớp gối là một trong những dấu hiệu điển hình của thoái hóa khớp gối
Thoái hóa khớp gối thường tiến triển âm thầm, khiến người bệnh dễ lầm tưởng với những dấu hiệu đau thông thường. Nếu không được can thiệp kịp thời, tình trạng thoái hóa sẽ tiến triển nặng hơn, bệnh có thể dẫn đến đau khớp mạn tính, biến dạng trục khớp gối, giảm nghiêm trọng chức năng vận động, tăng nguy cơ té ngã và phụ thuộc trong sinh hoạt. Vì vậy, nếu người dân xuât hiện một trong 5 “tín hiệu” lạ dưới đây cần cảnh giác và đi khám ngay, gồm:
- Đau khớp gối: Đau tăng khi vận động, leo cầu thang, ngồi xổm; giảm khi nghỉ ngơi.
- Cứng khớp buổi sáng: Cảm giác chân bị cứng, khó cử động ngay khi ngủ dậy (thường kéo dài dưới 30 phút).
- “Âm thanh lạ”: Lục khục, lạo xạo khớp gối khi vận động.
- Sưng khớp: Khớp gối sưng to, có thể kèm theo tình trạng tràn dịch.
- Hạn chế vận động: Giảm khả năng đi lại, khó khăn trong sinh hoạt hàng ngày.
Các phương pháp điều trị hiện đại hiện nay
Tùy vào giai đoạn bệnh, bác sĩ sẽ chỉ định phác đồ điều trị phối hợp nhằm mang lại hiệu quả tối ưu:
Biện pháp không dùng thuốc (Thay đổi lối sống):
- Giảm cân: Đây là ưu tiên hàng đầu. Giảm 5-10% cân nặng trong 6 tháng có thể giúp giảm tới 50% cơn đau sau 18 tháng.
- Tập luyện: Ưu tiên các môn thể thao ít áp lực lên gối như bơi lội, đạp xe. Hạn chế đi bộ quá nhiều.
- Dụng cụ hỗ trợ: Sử dụng nẹp khớp gối giúp giảm đau đáng kể và tăng khoảng cách đi bộ cho bệnh nhân.
Điều trị nội khoa (Dùng thuốc và tiêm tại chỗ):
- Thuốc giảm đau, kháng viêm: Sử dụng Paracetamol hoặc NSAIDs theo chỉ định của bác sĩ.
- Thuốc chống thoái hóa tác dụng chậm: Bổ sung Glucosamine sulfate hoặc Diacerein để bảo vệ sụn.
- Tiêm nội khớp: Corticosteroid (Giảm viêm nhanh trong các đợt cấp), Acid Hyaluronic (Dịch khớp nhân tạo) có tác dụng bổ sung chất nhờn cho khớp, huyết tương giàu tiểu cầu (PRP) - phương pháp tiên tiến từ máu tự thân giúp hỗ trợ phục hồi mô.
Can thiệp ngoại khoa:
- Phẫu thuật nội soi: Làm sạch khớp cho các trường hợp tổn thương nhẹ và vừa.
- Thay khớp gối: Chỉ định khi điều trị nội khoa thất bại và bệnh nhân bị mất chức năng vận động nghiêm trọng.
Từ trường hợp bệnh nhân T., bác sĩ Thủy lưu ý, sưng đau khớp gối là tình trạng phổ biến, nhưng nhiều người vẫn có tâm lý chủ quan, chỉ đến khi các cơn đau gây cản trở vận động nghiêm trọng mới đi thăm khám thì có thể bỏ lỡ "thời điểm vàng" điều trị, nhất là các bệnh lý xương khớp phức tạp. Vì vậy, người dân nên đi thăm khám định kỳ, đặc biệt ở người trung niên và cao tuổi, từ đó có phác đồ điều trị ngay từ giai đoạn sớm để bảo tồn khớp gối và nâng cao chất lượng cuộc sống.
Hệ thống Y tế MEDLATEC với 30 năm kinh nghiệm là địa chỉ tin cậy được hàng triệu khách hàng lựa chọn để chăm sóc sức khỏe xương khớp với dịch vụ thăm khám toàn diện, giúp phát hiện sớm và điều trị hiệu quả các bệnh lý về xương khớp, bởi những thế mạnh nổi bật sau:
Mọi thông tin chi tiết hoặc để đặt lịch khám nhanh chóng, người dân vui lòng liên hệ tổng đài toàn quốc: 1900 56 56 56. |
Bình luận ()
Lựa chọn dịch vụ
Quý khách hàng vui lòng lựa chọn dịch vụ y tế theo nhu cầu!