Tin tức
Đi khám xương khớp, tình cờ phát hiện tiền ung thư cổ tử cung
- 06/08/2024 | Cô gái 22 tuổi phát hiện tiền ung thư cổ tử cung từ những dấu hiệu nhiều người thường bỏ qua
- 10/09/2024 | Nữ bệnh nhân 24 tuổi bất ngờ nhận kết quả tổn thương tiền ung thư cổ tử cung - Tầm soát sớm...
- 23/01/2025 | Phát hiện mắc tiền ung thư cổ tử cung từ một triệu chứng rất thường gặp ở phái đẹp
- 11/04/2025 | Nhận biết tiền ung thư cổ tử cung và gợi ý cách phòng ngừa
Phát hiện tổn thương tiền ung thư cổ tử cung dù không có biểu hiện bất thường
Mới đây, Phòng khám Đa khoa MEDLATEC Cầu Giấy tiếp nhận chị L.H.D (52 tuổi) đến khám vì đau cột sống thắt lưng. Tại đây, bệnh nhân được thực hiện các xét nghiệm, chẩn đoán hình ảnh nhằm đánh giá tình trạng sức khỏe.
Kết quả thăm khám cho thấy cơn đau lưng xuất phát từ tình trạng thoái hóa cột sống – bệnh lý thường gặp ở người trung niên.
Do chị D. đang ở độ tuổi được khuyến cáo tầm soát ung thư cổ tử cung, bác sĩ đã khuyến nghị thực hiện xét nghiệm HPV. Kết quả cho thấy dương tính với HPV type 18.

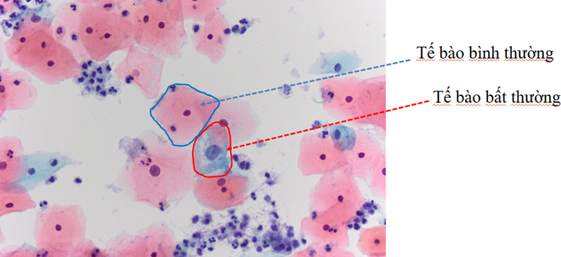
Xét nghiệm ThinPrep ghi nhận kết quả ASC-US
Xét nghiệm tế bào học cổ tử cung bằng phương pháp tế bào học dịch lỏng LiquiPrep (ThinPrep) ghi nhận kết quả ASC-US (tế bào vảy không điển hình, ý nghĩa chưa xác định).

Xét ngiệm CINtec® PLUS cho kết quả dương tính
Để đánh giá nguy cơ tổn thương nội biểu mô vảy mức độ cao (HSIL), bệnh nhân được khuyến nghị làm thêm xét nghiệm CINtec Plus, kết quả dương tính (phát hiện tế bào đồng biểu hiện p16/Ki-67).
Soi cổ tử cung – âm đạo ghi nhận hình ảnh tăng sinh mạch cổ tử cung, vết trắng tại vị trí 2 giờ và 10 giờ.

Kết quả mô bệnh học sau sinh thiết xác định loạn sản biểu mô vảy độ cao
Kết quả mô bệnh học sau sinh thiết xác định: Loạn sản biểu mô vảy độ cao (HSIL - CIN 3).
Dựa trên các kết quả cận lâm sàng, bệnh nhân được chẩn đoán loạn sản biểu mô vảy độ cao (HSIL - CIN 3). Chị D. được chỉ định phẫu thuật khoét chóp cổ tử cung.
Sau phẫu thuật, tiên lượng tốt do tổn thương được phát hiện sớm, chưa ghi nhận xâm nhập và diện cắt không còn tế bào bất thường.
Xét nghiệm CINtec Plus - Giải pháp tối ưu nhất trong phân tầng nguy cơ ung thư cổ tử cung
Thống kê năm 2022 của Tổ chức Y tế Thế giới (WHO) ghi nhận, toàn cầu có 662.301 ca mắc ung thư cổ tử cung mới và 348.874 trường hợp tử vong. Tại Việt Nam, 4.612 phụ nữ được chẩn đoán mắc bệnh và hơn 2.571 trường hợp tử vong.
Theo BS. Võ Thành Lai – Trung tâm Giải phẫu bệnh, Hệ thống Y tế MEDLATEC, "thủ phạm" đằng sau những con số đáng báo động này chính là virus HPV - nguyên nhân dẫn đến 99% trường hợp ung thư cổ tử cung.
-1.jpg)
Ung thư cổ tử cung được coi là mối đe dọa hàng đầu với sức khỏe nữ giới
Phần lớn phụ nữ nhiễm HPV có thể tự khỏi nhờ hệ miễn dịch, nhưng nếu virus tồn tại lâu dài, đặc biệt là chủng nguy cơ cao (16, 18, 31, 33, 35, 39, 45, 51, 52, 56, 58 và 59), sẽ gây biến đổi tế bào vùng cổ tử cung, hình thành tổn thương tiền ung thư (CIN) và tiến triển thành ung thư xâm nhập theo thời gian.
CIN được chia thành 3 mức độ:
- CIN 1: Loạn sản nhẹ, thường tự hồi phục.
- CIN 2: Loạn sản trung bình, cần theo dõi sát.
- CIN 3 (HSIL): Bao gồm loạn sản độ cao và ung thư biểu mô vảy tại chỗ, nếu không điều trị có thể tiến triển thành ung thư xâm nhập.
Bác sĩ Lai cho biết, phát hiện sớm là yếu tố quyết định tiên lượng bệnh. Hiện nay, nhiều kỹ thuật hiện đại được triển khai đồng bộ giúp tầm soát và chẩn đoán chính xác các tổn thương cổ tử cung:
- HPV genotype PCR: Phát hiện và định danh các type HPV nguy cơ cao.
- Tế bào học cổ tử cung LiquiPrep (ThinPrep): Phát hiện tế bào bất thường sớm hơn so với Pap smear truyền thống.
- CINtec Plus (p16/Ki‑67): Xét nghiệm nhuộm kép miễn dịch, phát hiện đồng thời hai dấu ấn p16 và Ki‑67 trên cùng một tế bào cổ tử cung - giúp phân tầng rõ ràng nguy cơ tổn thương nội biểu mô vảy mức độ cao (CIN2+) và giảm chỉ định soi cổ tử cung/sinh thiết không cần thiết.
- Khi CINtec® PLUS dương tính hoặc tế bào học nghi ngờ tổn thương mức độ cao, chỉ định soi cổ tử cung kèm sinh thiết định hướng để xác định chính xác vị trí và mức độ tổn thương trước khi điều trị.
-1.png)
Xét nghiệm CINtec Plus được đánh giá là bước tiến mới trong phân tầng nguy cơ ung thư cổ tử cung
Trường hợp được chẩn đoán loạn sản biểu mô vảy độ cao, phương pháp điều trị tối ưu là phẫu thuật khoét chóp cổ tử cung (LEEP hoặc Cold knife conization) nhằm loại bỏ toàn bộ vùng tổn thương. Sau phẫu thuật, nếu diện cắt âm tính, bệnh nhân sẽ được theo dõi định kỳ 6 - 12 tháng bằng tế bào học và HPV test để đảm bảo không tái phát.
Bác sĩ Lai khuyến cáo, để giảm thiểu nguy cơ mắc các bệnh lý do HPV gây ra, việc thực hiện các biện pháp phòng ngừa dưới đây là rất quan trọng:
- Tiêm phòng vaccine HPV;
- Quan hệ tình dục an toàn;
- Xét nghiệm định kỳ HPV giúp tầm soát sớm ung thư cổ tử cung.
Ngoài ra, nếu xuất hiện dấu hiệu như: âm đạo ra khí hư bất thường; chảy máu sau quan hệ; đau vùng chậu... chị em cần đến ngay các cơ sở y tế uy tín để được thăm khám, chẩn đoán, điều trị kịp thời.
MEDLATEC - Đơn vị tiên phong triển khai xét nghiệm CINtec Plus tại Việt Nam

Trung tâm Giải phẫu bệnh MEDLATEC tiên phong triển khai xét nghiệm CINtec Plus tại Việt Nam
Hiện nay, Hệ thống Y tế MEDLATEC là đơn vị tiên phong thực hiện xét nghiệm CINtec Plus tại Việt Nam. Tại đây, CINtec Plus được triển khai đồng bộ từ khâu tư vấn, lấy mẫu, phân tích trên hệ thống máy móc hiện đại đến đọc kết quả bởi đội ngũ chuyên gia giàu kinh nghiệm, đảm bảo tính chính xác và kịp thời.
Bên cạnh đó, MEDLATEC còn đáp ứng thực hiện các kỹ thuật từ cơ bản đến chuyên sâu trong chẩn đoán sớm, chính xác ung thư cổ tử cung như: xét nghiệm HPV tự lấy mẫu tại nhà; xét nghiệm HPV DNA; xét nghiệm Pap Smear; xét nghiệm Thinprep.
Mọi thông tin Quý khách hàng vui lòng liên hệ tổng đài MEDLATEC 1900 56 56 56 để được tư vấn, giải đáp kịp thời!
Bình luận ()
Lựa chọn dịch vụ
Quý khách hàng vui lòng lựa chọn dịch vụ y tế theo nhu cầu!