Tin tức
Tập gym cường độ cao, nam thanh niên nhập viện
- 08/05/2014 | Bệnh tiêu cơ vân và biến chứng nguy hiểm
- 31/08/2023 | Tổng hợp mọi kiến thức về bệnh tiêu cơ vân
- 23/07/2025 | Tập Gym bị đau khớp vai: Nguyên nhân và cách khắc phục
- 17/10/2025 | Nữ sinh 16 tuổi ăn kiêng và tập gym cường độ cao: Phát hiện vô kinh thứ phát, đối diện nguy...
Cảnh giác với triệu chứng đau cơ sau khi tập gym
Mới đây, Bệnh viện Đa khoa MEDLATEC tiếp nhận anh Đ.D.L (25 tuổi), đến khám do đau cơ đùi hai bên.
Khai thác bệnh sử được biết, trước khi vào viện 2 ngày anh L. có tập gym với cường độ cao, kéo dài 2 giờ/lần tập. Sau đó xuất hiện đau cơ đùi hai bên, đùi phải đau hơn đùi trái, kèm tiểu sẫm màu.
Khám lâm sàng ghi nhận bệnh nhân bị đau các bắp cơ đùi, cơ cẳng chân 2 bên.
Anh L. được chỉ định thực hiện các xét nghiệm và chẩn đoán hình ảnh nhằm đánh giá nguyên nhân đau cơ.
Kết quả xét nghiệm men cơ (CK total) tăng cao lên tới 111825.00 U/L (ngưỡng bình thường là 38-174 U/L).
.png)
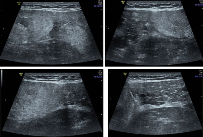
Kết quả siêu âm cho thấy hình ảnh vùng giảm âm trong tổ chức cơ tứ đầu đùi phải và trái
Siêu âm cho thấy hình ảnh vùng giảm âm trong tổ chức cơ tứ đầu đùi phải, trái, theo dõi tổn thương cấp.
Dựa vào triệu chứng lâm sàng và kết quả trên, anh L. được chẩn đoán mắc bệnh tiêu cơ vân cấp.
Bệnh nhân được nhập viện điều trị nội trú, xuất viện sau 7 ngày.
Bệnh tiêu cơ vân và biến chứng nguy hiểm
Theo BSCKI. Đào Việt Hưng - Chuyên khoa Nội, Bệnh viện Đa khoa MEDLATEC, tiêu cơ vân là tổn thương phá hủy các tế bào cơ vân, giải phóng các chất là thành phần của tế bào cơ vân vào trong máu như: creatin kinase, myoglobin, phospho.
Tiêu cơ vân có thể xuất phát từ nhiều nguyên nhân, bao gồm:
- Nguyên nhân do vận động hoặc chấn thương: Vận động quá sức, luyện tập cường độ cao, nhất là khi thời tiết nóng (như chạy marathon, tập gym nặng); Chấn thương dập nát cơ do tai nạn giao thông, vùi lấp, điện giật.
- Nguyên nhân do thuốc hoặc chất độc: thuốc giảm mỡ máu, chống loạn thần, chống co giật, rượu, ma túy, thuốc lắc, cocain.
- Nguyên nhân khác: sốt cao, co giật kéo dài, hạ thân nhiệt; bệnh lý chuyển hóa, nhiễm trùng nặng, nhiễm virus (cúm, COVID-19,...); thiếu máu cục bộ kéo dài ở cơ (do bó bột, chèn ép mạch máu,...).
Bộ ba triệu chứng điển hình của tiêu cơ vân là đau cơ, yếu cơ và nước tiểu sẫm màu (màu trà). Tuy nhiên, trên lâm sàng bác sĩ chỉ gặp khoảng 10% bệnh nhân có cả 3 triệu chứng điển hình hình. 90% còn lại bệnh nhân có triệu chứng không đầy đủ, thậm chí không có triệu chứng lâm sàng.
.jpg)
Triệu chứng điển hình của tiêu cơ vân là đau cơ, yếu cơ. Ảnh minh họa
Ngoài ra, người bệnh có thể kèm theo mệt mỏi, buồn nôn, sốt nhẹ, tiểu ít hoặc vô niệu (nguy cơ suy thận cấp), tim đập nhanh, chuột rút, co giật do rối loạn điện giải.
Bác sĩ Hưng cho biết, nếu không phát hiện và xử trí sớm, tiêu cơ vân cấp có thể gây ra những biến chứng nghiêm trọng như: suy thận cấp, rối loạn điện giải, co giật, loạn nhịp, toan chuyển hóa, tụt huyết áp, sốc giảm thể tích, rối loạn đông máu (DIC), tổn thương gan, tổn thương cơ quan đa hệ thống.
Mặc dù tiêu cơ vân cấp rất nguy hiểm, tuy nhiên nếu được phát hiện sớm và điều trị đúng cách, bệnh có thể hồi phục hoàn toàn. Bác sĩ Hưng khuyến cáo, nếu xuất hiện triệu bất thường nghi ngờ tiêu cơ vân cấp, người bệnh cần đến ngay cơ sở y tế để được khám và điều trị kịp thời.
.jpg)
An tâm thăm khám bệnh lý Cơ - Xương - Khớp tại MEDLATEC cùng PGS.TS.BSCC Nguyễn Mai Hồng
Người dân có nhu cầu thăm khám, kiểm tra các bệnh lý về Cơ - Xương - Khớp vui lòng liên hệ tới Hệ thống Y tế MEDLATEC qua Tổng đài 1900 56 56 56 để được hỗ trợ kịp thời.
Bình luận ()
Lựa chọn dịch vụ
Quý khách hàng vui lòng lựa chọn dịch vụ y tế theo nhu cầu!