Tin tức
Ngón tay trái xuất hiện khối bất thường, đến MEDLATEC khám phát hiện thêm điều không ngờ
- 01/04/2024 | Liệu da bị mụn có nên đắp mặt nạ sữa chua không? Sử dụng như thế nào mới tốt?
- 28/04/2025 | U da lành tính là gì? Có nguy hiểm không?
- 10/12/2025 | Chấm dứt cơn đau dai dẳng ở vai bằng kỹ thuật tiêm nong
Khối u nhỏ ở ngón tay gây vướng víu khi sinh hoạt và ảnh hưởng thẩm mỹ
Nam bệnh nhân C.T.N. (32 tuổi, Hà Nội) đến Phòng khám Đa khoa MEDLATEC Cầu Giấy thăm khám vì xuất hiện khối vùng mu ngón IV tay trái. Theo lời kể, khối này đã xuất hiện khoảng một năm, phát triển chậm, không đau, không sưng đỏ, thỉnh thoảng chỉ ngứa nhẹ rồi tự hết nên bệnh nhân không để ý. Tuy nhiên, thời gian gần đây Khối u to nhanh hơn, gây vướng khi gõ phím, cầm nắm và lái xe, đồng thời ảnh hưởng đến thẩm mỹ nên bệnh nhân quyết định đi khám.

Khối bất thường xuất hiện ở vùng mu ngón IV tay trái của bệnh nhân
Khai thác bệnh sử cho thấy bệnh nhân trước đó hoàn toàn khỏe mạnh, không có tiền sử bệnh lý nội khoa hay ngoại khoa đáng chú ý, gia đình cũng chưa ghi nhận bệnh lý liên quan.
Tại phòng khám, bác sĩ khám lâm sàng thấy các chỉ số toàn thân ổn định, không sốt, mạch và huyết áp bình thường. Khám tại chỗ phát hiện một khối ở vùng mu ngón IV tay trái, kích thước khoảng 0,5 x 0,5 x 1 cm. Khối có màu hồng, bề mặt nhẵn, mật độ chắc, nổi gồ trên da, không di động, không đau, không viêm tấy hay chảy dịch. Vận động ngón tay vẫn trong giới hạn bình thường.
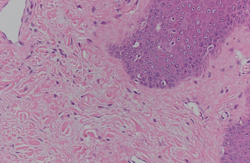
Để xác định chính xác bản chất khối u, bác sĩ đã chỉ định thực hiện các cận lâm sàng cần thiết và lấy mẫu bệnh phẩm gửi làm mô bệnh học. Kết quả chụp X-quang bàn tay trái không ghi nhận bất thường về xương, chỉ thấy nốt phần mềm tại đầu gần đốt 2 ngón IV. Xét nghiệm máu cho thấy, thể tích trung bình hồng cầu nhỏ hơn 85fL và/hoặc lượng huyết sắc tố trung bình hồng cầu thấp hơn 28pg, chưa loại trừ mang gen Thalassemia; chỉ số HbE tăng cao (24,9%). Đặc biệt, kết quả mô bệnh học xác định khối u là u xơ da lành tính.

Hình ảnh mô bệnh học xác định, khối u của bệnh nhân là u xơ da lành tính
Từ các kết quả trên, bác sĩ chẩn đoán bệnh nhân mắc u xơ da ngón IV tay trái, kèm tình trạng hồng cầu nhỏ nhược sắc và tăng HbE. Bệnh nhân đã được tiến hành tiểu phẫu bóc u, kê đơn điều trị ngoại trú. Đồng thời, bác sĩ cũng tư vấn người bệnh bệnh nên thực hiện xét nghiệm gen sàng lọc Thalassemia trước khi có kế hoạch sinh con nhằm phòng ngừa nguy cơ di truyền.
U xơ da – Nhận biết sớm để xử lý hiệu quả, đảm bảo thẩm mỹ
Theo BSCKI. Trần Quang Toản – Chuyên khoa Ngoại, Phòng khám Đa khoa MEDLATEC Cầu Giấy, u xơ da (Dermatofibroma) là khối u lành tính thường gặp trên da, biểu hiện dưới dạng những nốt sần nhỏ, chắc, màu nâu đỏ, nằm trong hoặc ngay dưới bề mặt da. Tổn thương này hay xuất hiện ở tay và chân của người trưởng thành, phát triển chậm và hầu như không gây nguy hiểm đến sức khỏe. Tuy nhiên, trong một số trường hợp, u xơ da có thể gây cảm giác ngứa, khó chịu hoặc đau nhẹ khi chạm vào.
Hiện nay, nguyên nhân chính xác của u xơ da vẫn chưa được xác định rõ ràng. Nhiều nghiên cứu cho thấy, tình trạng này có liên quan đến phản ứng tăng sinh của các tế bào sợi tại da sau những tổn thương nhỏ như côn trùng đốt, trầy xước, dị vật hoặc chấn thương nhẹ. Ngoài ra, yếu tố tuổi tác (thường gặp ở người trưởng thành), hệ miễn dịch suy giảm và yếu tố di truyền cũng có thể góp phần làm tăng nguy cơ xuất hiện u xơ da.
Phần lớn u xơ da là lành tính và không cần điều trị nếu không gây triệu chứng. Tuy nhiên, trong những trường hợp khối u gây đau, vướng víu hoặc ảnh hưởng thẩm mỹ, người bệnh có thể được chỉ định các phương pháp sau:
- Phẫu thuật cắt bỏ: Là phương pháp phổ biến nhất giúp loại bỏ hoàn toàn khối u, đặc biệt hiệu quả khi u xơ gây khó chịu hoặc có nguy cơ bị kích thích thường xuyên.
- Tiêm steroid: Giúp giảm viêm, giảm đau và có thể làm nhỏ kích thước khối u.
- Phẫu thuật lạnh: Sử dụng nitơ lỏng để làm đông và loại bỏ tổn thương da.
- Theo dõi không điều trị: Áp dụng với các trường hợp u nhỏ, không triệu chứng, không ảnh hưởng sinh hoạt.

U xơ da là u lành tính nhưng có thể gây đau, vướng víu hoặc ảnh hưởng đến thẩm mỹ của người bệnh. Ảnh minh họa Internet
BSCKI. Trần Quang Toản khuyến cáo, người bệnh không nên tự ý xử lý hoặc cắt bỏ u xơ da tại nhà vì có thể gây nhiễm trùng hoặc để lại sẹo xấu. Khi thấy khối u có dấu hiệu phát triển nhanh, đau nhiều hoặc chảy máu cần đến cơ sở y tế để được thăm khám kịp thời.
Việc phát hiện và điều trị sớm khi khối u còn nhỏ (dưới 1cm) sẽ giúp giảm triệu chứng, hạn chế để lại sẹo, đảm bảo tính thẩm mỹ và tiết kiệm chi phí điều trị. Đồng thời, cần chú ý xử lý tốt các vết thương nhỏ trên da, đặc biệt là vết côn trùng đốt hoặc trầy xước, để hạn chế nguy cơ hình thành u xơ da.
MEDLATEC – Đơn vị y tế uy tín hàng đầu trong thăm khám, điều trị bệnh da liễu
Hệ thống Y tế MEDLATEC với 30 năm kinh nghiệm trong lĩnh vực y tế, tự hào là đơn vị y tế tư nhân được đông đảo người dân tin tưởng lựa chọn làm nơi thăm khám, điều trị bệnh.
Tại đây, quy tụ đội ngũ chuyên gia, bác sĩ hàng đầu trong nhiều lĩnh vực, trong đó có Da liễu, Ngoại, Ung bướu… kết hợp với hệ thống máy móc hiện đại, giúp chẩn đoán và điều trị hiệu quả các bệnh lý về da liễu, mang lại sự an tâm và tính thẩm mỹ cho người bệnh.
Bệnh cạnh đó, đơn vị còn đi đầu trong lĩnh vực xét nghiệm. MEDLATEC tiên phong áp dụng song hành 2 chứng chỉ xét nghiệm quốc tế là CAP (Hoa Kỳ) và ISO 15189:2022; giải thưởng Thương hiệu Quốc gia Việt Nam.

MEDLATEC sở hữu nhiều thế mạnh về thăm khám và điều trị các bệnh lý da liễu
Ngoài ra, nhằm giúp người dân tối ưu chi phí khi khám chữa bệnh, MEDLATEC triển khai Thẻ 555 với chi phí 555.000 VNĐ, người dân có ngay quyền lợi cho 10 thành viên trong gia đình kéo dài suốt 1 năm, cụ thể như sau:
- Miễn phí 10 lượt khám cùng bác sĩ (Áp dụng tại khám trực tiếp tại BVPK và khám từ xa)
- Giảm 15% gần 2.500 danh mục: Xét nghiệm, siêu âm, nội soi, CT, MRI...
- Đặc biệt, từ nay 30/06/2026, khi mua thẻ mới Thẻ 555, khách hàng được hưởng thêm ưu đãi vô cùng hấp dẫn, gồm:
- MIỄN PHÍ: Xét nghiệm Glucose và Cholesterol;
- GIẢM 50% các dịch vụ như: xét nghiệm tầm soát nguy cơ ung thư gan, siêu âm ổ bụng, tuyến giáp, vú, siêu âm thai, CT phổi liều thấp, nội soi tai mũi họng, nội soi tiêu hóa…;
- GIẢM 20% XÉT NGHIỆM: Xét nghiệm sàng lọc trước sinh NIPT, xét nghiệm HPV tự lấy mẫu;
- GIẢM 20% DỊCH VỤ BÁC SĨ GIA ĐÌNH.
Link đăng ký mua thẻ 555 tại đây: https://medlatec.vn/dich-vu/the-555
Mọi thông tin thắc mắc, Quý khách hàng vui lòng liên hệ tổng đài MEDLATEC 1900 56 56 56 để được tư vấn, hỗ trợ.
Bình luận ()
Lựa chọn dịch vụ
Quý khách hàng vui lòng lựa chọn dịch vụ y tế theo nhu cầu!