Tin tức
Tưởng đau bụng thông thường, đến MEDLATEC khám phát hiện hoại tử ruột non
- 18/10/2013 | Nhồi máu động mạch mạc treo: Bệnh mạch máu dễ nhầm lẫn
- 24/04/2023 | Phương pháp chẩn đoán nhồi máu động mạch mạc treo tràng dưới
- 31/12/2023 | Bệnh nhồi máu não nguyên nhân do đâu? Dấu hiệu nhận biết bệnh lý
Phát hiện hoại tử ruột non từ triệu chứng đau bụng vùng thượng vị
Buổi sáng, anh P.Đ.T. (48 tuổi, trú tại Hà Nội) xuất hiện tình trạng đau bụng vùng thượng vị, đau âm ỉ, có lúc trội lên thành cơn kèm chướng bụng tăng dần, không sốt. Tưởng đau bụng thông thường do ăn uống nên anh chưa đi khám ngay. Đến tối, anh có biểu hiện nôn nhiều, đau quặn bụng từng cơn vùng thượng vị, chướng bụng kèm bí trung - đại tiện nên vào Bệnh viện Đa khoa MEDLATEC khám.
Qua thăm khám lâm sàng, bác sĩ thấy bệnh nhân đau bụng âm ỉ, có lúc trội thành cơn kèm chướng bụng tăng dần, nôn, bí trung - đại tiện. Bệnh nhân có tiền sử huyết khối tĩnh mạch sâu chi dưới cách 10 năm. Bác sĩ đã yêu cầu làm một số xét nghiệm, chẩn đoán hình ảnh cần thiết để xác định bệnh.
Các chỉ số xét nghiệm: bạch cầu, bạch cầu đa nhân trung tính, Glucose và Triglycerid đều tăng cao, trong đó chỉ số CRP đánh giá tình trạng viêm nhiễm tăng lên 20 mg/L (bình thường 0-5mg/L).
Kết quả siêu âm ổ bụng cho thấy, hình ảnh gợi ý viêm ruột, chưa loại trừ khả năng viêm ruột hoại tử, cùng dịch tự do ổ bụng dày 41 mm. Do đó, người bệnh được chỉ định chụp thêm cắt lớp vi tính (CT) có tiêm thuốc để làm rõ nguyên nhân.
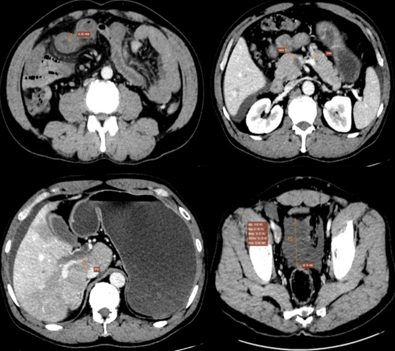
Kết quả CT xác định: Nhồi máu ruột non vùng thượng vị quanh rốn, nghi ngờ có bóng khí trong thành ruột do hoại tử; huyết khối tĩnh mạch cửa và tĩnh mạch mạc treo tràng trên, theo dõi huyết khối tĩnh mạch chủ dưới, tĩnh mạch chậu và tĩnh mạch đùi chung hai bên; có dịch tự do ổ bụng.

Hình ảnh chụp cắt lớp vi tính có tiêm thuốc cản quang của bệnh nhân
Từ các kết quả trên, bác sĩ chẩn đoán, bệnh nhân mắc nhồi máu ruột non do tắc tĩnh mạch mạc treo tràng trên và tĩnh mạch cửa, đã biến chứng hoại tử ruột. Người bệnh nhanh chóng được chuyển tuyến can thiệp phẫu thuật cắt bỏ đoạn ruột hoại tử do thiếu máu. Nhờ xử trí kịp thời, sau phẫu thuật, tình trạng bệnh nhân ổn định dần, phục hồi tốt và đã được xuất viện.
Nhồi máu ruột có thể đe dọa tính mạng người bệnh với tỷ lệ tử vong cao
Theo BSCKI. Nguyễn Thị Bích Ngọc - Chuyên khoa Chẩn đoán hình ảnh, Hệ thống Y tế MEDLATEC, nhồi máu ruột hay còn gọi là thiếu máu mạc treo cấp tính (Acute mesenteric ischemia), đây là tình trạng một đoạn ruột bị hoại tử do thiếu máu nuôi dưỡng, thường xảy ra khi các mạch máu cung cấp máu cho ruột bị tắc nghẽn.
Trường hợp bệnh nhân trên, tĩnh mạch mạc treo tràng trên và tĩnh mạch cửa bị huyết khối (cục máu đông làm tắc mạch), khiến dòng máu tĩnh mạch thoát ra khỏi ruột bị ứ trệ, áp lực trong mao mạch tăng cao, dẫn đến phù nề, thiếu máu cục bộ và cuối cùng là hoại tử ruột non.
Nhồi máu ruột có thể đe dọa tính mạng người bệnh với tỷ lệ tử vong cao, cần được phẫu thuật cấp cứu, cắt đoạn ruột hoại tử ngay. Nếu không được xử trí kịp thời, bệnh có thể gây thủng ruột, viêm phúc mạc, nhiễm khuẩn huyết, suy đa cơ quan.

Cục máu đông làm tắc tĩnh mạch gây ra tình trạng hoại tử ruột non. Ảnh minh họa
Các nguyên nhân gây thiếu máu ruột gồm:
- Tắc nghẽn hoặc huyết khối mạch máu nuôi ruột (động mạch hoặc tĩnh mạch);
- Giảm tưới máu ruột do tụt huyết áp, sốc, mất nước nặng;
- Thuyên tắc do cục máu đông, mảng xơ vữa;
- Co thắt mạch kéo dài;
- Chấn thương hoặc sau phẫu thuật ổ bụng.
Bác sĩ Ngọc cho biết thêm, chẩn đoán nhồi máu ruột thường là thách thức với các bác sĩ vì triệu chứng lâm sàng và các dấu hiệu hình ảnh không đặc hiệu, dễ nhầm lẫn với các bệnh lý đường tiêu hóa khác, đòi hỏi bác sĩ phải luôn nghĩ đến để loại trừ.
Chụp cắt lớp vi tính ổ bụng có tiêm thuốc cản quang là phương tiện đầu tay để chẩn đoán nhồi máu ruột. Phương pháp này giúp chẩn đoán xác định, tìm ra được nguyên nhân (tắc động mạch hay tĩnh mạch), biến chứng (hoại tử, thủng ruột) để từ đó có biện pháp xử trí kịp thời.
Bác sĩ khuyến cáo, người dân khi thấy các triệu chứng như: đau bụng vùng thượng vị hoặc quanh rốn, đau âm ỉ rồi tăng dần, buồn nôn, nôn nhiều, chướng bụng, bí trung - đại tiện... hãy đến ngay các cơ sở y tế để được thăm khám và điều trị kịp thời, tránh những biến chứng nguy hiểm xảy ra.
Hệ thống Y tế MEDLATEC với 30 năm hình thành và phát triển tự hào là đơn vị y tế tư nhân hàng đầu Việt Nam được đông đảo người dân lựa chọn, tin tưởng làm nơi thăm khám và điều trị bệnh các bệnh về đường tiêu hóa.
Đơn vị quy tụ đội ngũ chuyên gia, bác sĩ đầu ngành, đồng thời sở hữu Trung tâm Tiêu hóa, Trung tâm Chẩn đoán hình ảnh, Trung tâm Xét nghiệm với hệ thống máy móc đồng bộ, hiện đại giúp chẩn đoán nhanh chóng, chính xác bệnh.

MEDLATEC - Địa chỉ thăm khám uy tín được người dân cả nước tin tưởng
Bên cạnh đó, để giúp người dân tiết kiệm tối đa chi phí khi khám chữa bệnh, MEDLATEC triển khai Thẻ 555 với chi phí 555.000 VNĐ, người dân có ngay quyền lợi cho 10 thành viên trong gia đình kéo dài suốt 1 năm, cụ thể như sau:
- Miễn phí 10 lần khám và tư vấn;
- Miễn phí 10 lần khám răng tại MEDDENTAL;
- Giảm 15% dịch vụ y tế phát sinh (áp dụng gần 2.500 danh mục, dịch vụ) và dịch vụ lấy mẫu xét nghiệm tận nơi;
- Giảm 15% dịch vụ Nha khoa tại MEDDENTAL;
- Giảm 20% dịch vụ chẩn đoán hình ảnh (Siêu âm, X-quang, CT, MRI…) và tặng thêm ưu đãi khi mua mới thẻ (HPV tự lấy mẫu, NIPT, Spot-Mas 10...), chương trình áp dụng từ nay đến hết ngày 31/12/2025.
Đặt lịch thăm khám tại MEDLATEC, người dân vui lòng liên hệ tổng đài 1900 56 56 56 để được tư vấn, hỗ trợ (24/24h).
Bình luận ()
Lựa chọn dịch vụ
Quý khách hàng vui lòng lựa chọn dịch vụ y tế theo nhu cầu!