Tin tức
Viêm túi mật cấp do sỏi kẹt cổ túi mật - Cảnh báo nguy hiểm, người phụ nữ được phẫu thuật kịp thời tại Bệnh viện Đa khoa MEDLATEC
- 16/09/2024 | Biểu hiện bệnh sỏi thận và cách đi tiểu ra sỏi ngay tại nhà
- 17/10/2024 | Mổ sỏi thận nội soi: Những ai nên thực hiện? Cần lưu ý điều gì?
- 18/10/2025 | Bệnh nhân sau mổ sỏi thận có ăn được thịt gà không?
- 07/11/2025 | Tìm hiểu chi phí mổ sỏi thận có bảo hiểm y tế
Sỏi kẹt cổ túi mật - “viên sỏi nhỏ” gây ra hậu quả lớn
Túi mật là cơ quan nhỏ nằm dưới gan, có nhiệm vụ chứa và cô đặc dịch mật, giúp tiêu hóa chất béo. Khi túi mật hình thành sỏi, nếu viên sỏi di chuyển và kẹt tại cổ túi mật - vị trí hẹp nối với ống dẫn mật - dòng chảy của dịch mật bị tắc nghẽn. Sự ứ đọng mật kéo dài khiến thành túi mật bị viêm, phù nề, vi khuẩn phát triển gây viêm túi mật cấp, thậm chí hoại tử và thủng túi mật nếu không được xử trí kịp thời.
Chị Đ.H.M (44 tuổi, ở Hà Nội) đến Bệnh viện Đa khoa MEDLATEC là ví dụ điển hình. Trước khi nhập viện, chị có biểu hiện đau bụng vùng hạ sườn phải, đau lan ra sau lưng, kèm theo buồn nôn. Tình trạng đau bụng tăng dần, kèm sốt cao, rét run.
Lo lắng trước những cơn đau bụng “hành hạ” và sốt cao không giảm, chị được gia đình đưa đến khám tại Bệnh viện Đa khoa MEDLATEC.
Bác sĩ thăm khám có hội chứng nhiễm trùng dương tính với biểu hiện sốt cao, rét run.
Để truy tìm nguyên nhân gây triệu chứng bất thường đó, bác sĩ chỉ định chị M. thực hiện xét nghiệm và các kỹ thuật chẩn đoán hình ảnh cần thiết. Kết quả đáng lưu ý như sau:
- Siêu âm ổ bụng: Túi mật có kích thước 127x26mm, thành có lắng đọng cholesterol, thành túi mật dày không đều, giường túi mật phù nề, chỗ dày nhất 6.7mm, trong lòng có vài sỏi, viên lớn kích thước 14mm. Vị trí gần cổ túi mật có sỏi kích thước 12x7mm. Kết luận: Hình ảnh theo dõi viêm túi mật do sỏi kẹt cổ túi mật. Lắng đọng cholesterol thành túi mật.

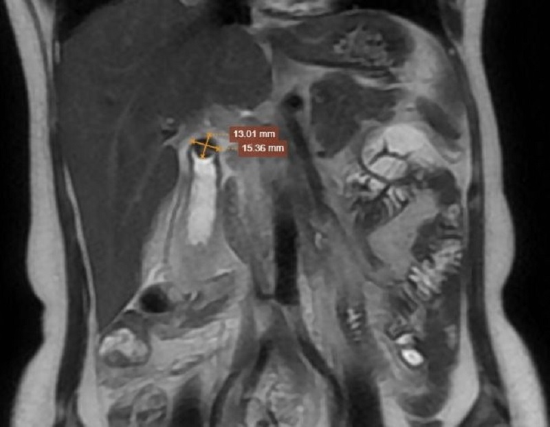
Chụp MRI cho hình ảnh cổ túi mật có sỏi kẹt kích thước xấp xỉ 13x15mm
- Chụp cộng hưởng từ: Túi mật có kích thước xấp xỉ 120x30mm. Thành túi mật dày 9mm, giường túi mật có lớp dịch dày xấp xỉ 9mm, theo dõi có vị trí mất liên tục thành trước vùng đáy túi mật, có thâm nhiễm mỡ xung quanh. Dịch mật: vùng đáy có nhiều sỏi tập trung thành đám kích thước xấp xỉ 41x22mm, vị trí cổ túi mật có sỏi kẹt kích thước xấp xỉ 13x15mm. Kết luận: hình ảnh viêm túi mật cấp do sỏi kẹt cổ túi mật, nghi có hoại tử thành trước vùng đáy túi mật. Gan to. Dịch khoang gan thận bên phải.
- Xét nghiệm: Có các chỉ số gợi ý nhiễm trùng nặng như: Số lượng bạch cầu tăng: 18.05 G/L (bình thường 3.5-10.5), tỷ lệ % bạch cầu trung tính tăng: 92.6% (bình thường 43.0-76.6); CRP định lượng tăng: 163.85 mg/L (bình thường 0-5.00); Procalcitonin tăng cao: 6580 ng/ml (bình thường <0.046).
Từ các kết quả kiểm tra trên, bệnh nhân có chẩn đoán viêm túi mật cấp do sỏi kẹt cổ túi mật.
Phẫu thuật nội soi cắt túi mật - Giải pháp điều trị an toàn và triệt để
BSCKII. Nguyễn Văn Thưởng - Chuyên khoa Ngoại, Bệnh viện Đa khoa MEDLATEC cho biết: “Ngay khi có kết quả chẩn đoán, ê-kíp của chúng tôi gồm bác sĩ nội khoa tiếp nhận ban đầu, các bác sĩ chẩn đoán hình ảnh và bác sĩ ngoại khoa đã nhanh chóng hội chẩn, thống nhất chỉ định phẫu thuật nội soi cắt túi mật nhằm loại bỏ ổ viêm. Kết quả chẩn đoán cho thấy người bệnh đã bước sang giai đoạn biến chứng nguy hiểm; nếu xử trí chậm trễ, có thể dẫn đến thủng túi mật, viêm phúc mạc mật, nhiễm trùng huyết, thậm chí đe dọa tính mạng”.

Những viên sỏi túi mật được ê-kíp bác sĩ phẫu thuật nội soi lấy ra thành công tại MEDLATEC
Tại Bệnh viện Đa khoa MEDLATEC, ê-kíp bác sĩ chuyên khoa Ngoại đã thực hiện phẫu thuật nội soi cấp cứu cắt túi mật cho thấy xung quanh túi mật viêm dính, túi mật thành dày có nhiều sỏi. Ngay sau phẫu thuật, mẫu bệnh phẩm được chuyển đến Trung tâm Giải phẫu bệnh phân tích và cho kết quả chẩn đoán: Viêm túi mật hoại tử.
Sau phẫu thuật, chị M. được theo dõi sát sao. Sau 7 ngày điều trị, sức khỏe chị M. ổn định, không còn đau, vết mổ khô, ăn uống bình thường và được xuất viện. Tái khám sau phẫu thuật 1 tuần, vị trí phẫu thuật hồi phục tốt, không thấy khối bất thường.
Đau bụng vùng hạ sườn phải kèm sốt cao, rét run - Dấu hiệu không được chủ quan
Theo bác sĩ Thưởng, sỏi túi mật là bệnh lý phổ biến, có thể tiến triển âm thầm trong nhiều năm mà không gây triệu chứng. Tuy nhiên, khi sỏi kẹt lại ở cổ túi mật, tình trạng ứ mật, nhiễm trùng xảy ra nhanh chóng. Vì vậy, theo bác sĩ Thưởng, khi xuất hiện các triệu chứng sau, người bệnh cần đi khám ngay:
- Đau vùng hạ sườn phải, đau lan ra vai hoặc sau lưng.
- Đau tăng dần, kèm sốt, rét run, buồn nôn hoặc nôn.
- Vàng da, nước tiểu sẫm màu.
- Có tiền sử sỏi túi mật đang theo dõi mà xuất hiện đau hoặc sốt.
“Sỏi túi mật có thể âm thầm trong nhiều năm, nhưng khi sỏi kẹt ở cổ túi mật, biến chứng có thể xảy ra rất nhanh và nguy hiểm. Rất may mắn trường hợp của chị M. đã được phát hiện sớm và điều trị hiệu quả nên không để lại bất kỳ hậu quả nghiêm trọng nào. Vì vậy, tôi khuyên người dân khi xuất hiện một trong các dấu hiệu cảnh báo viêm túi mật cấp hoặc sỏi kẹt cổ túi mật - tình trạng có thể chuyển biến nặng chỉ trong vài giờ nên đi khám ngay để được chẩn đoán và điều trị kịp thời”, bác sĩ Thương chia sẻ.
MEDLATEC - Địa chỉ khám và điều trị sỏi túi mật uy tín, toàn diện
Với bề dày 30 năm kinh nghiệm, Hệ thống Y tế MEDLATEC sở hữu đầy đủ thế mạnh của cơ sở y tế tin cậy, tiêu biểu như thế mạnh quy tụ đội ngũ chuyên gia, bác sĩ đa chuyên khoa đầu ngành, giàu kinh nghiệm luôn tận tâm, hết mình vì người bệnh.
Bên cạnh đó, MEDLATEC cũng trang bị đồng bộ các phương tiện, kỹ thuật hiện đại phục vụ chẩn đoán và điều trị hiệu quả bệnh lý đa chuyên khoa như: Trung tâm Xét nghiệm tiên phong cả nước áp dụng song hành hai tiêu chuẩn quốc tế ISO 15189:2022 và CAP, Trung tâm Chẩn đoán hình ảnh trang bị đồng bộ máy móc hiện đại như máy siêu âm, chụp X-quang kỹ thuật số, máy CT, MSCT, MRI… cùng máy móc, thiết bị chuyên dụng của đa chuyên khoa.

Khoa Ngoại, Bệnh viện Đa khoa MEDLATEC đầu tư hệ thống phòng mổ vô khuẩn tuyệt đối
Riêng tại chuyên khoa Ngoại, MEDLATEC đầu tư hệ thống Phòng mổ vô khuẩn tuyệt đối, cùng trang bị đồng bộ các thiết bị hiện đại nhằm đáp ứng yêu cầu phẫu thuật an toàn, chính xác và hiệu quả cao cho người bệnh. Theo đó, Khoa Ngoại có điều kiện tốt nhất đáp ứng đầy đủ các dịch vụ phẫu thuật điều trị các bệnh ngoại khoa như Ngoại tiêu hoá (K dạ dày, K đại trực tràng, bệnh trĩ, rò hậu môn, viêm ruột thừa, tắc ruột, sỏi đường mật...), Ngoại tiết niệu (Sỏi tiết niệu, phì đại tuyến tiền liệt, chít hẹp niệu quản, hẹp bao quy đầu...), Ngoại chấn thương (Vết thương, đứt gân, đứt dây chằng, gãy xương...)...
Riêng với bệnh sỏi túi mật, người dân an tâm được phẫu thuật trực tiếp bởi đội ngũ chuyên gia đầu ngành - BSCKII. Nguyễn Văn Thưởng - Trưởng khoa Ngoại, Bệnh viện Đa khoa MEDLATEC với hơn 20 năm kinh nghiệm phẫu thuật thành công hàng ngàn ca bệnh cùng các bác sĩ chuyên khoa Ngoại khác bảo đảm kết quả điều trị chính xác và an toàn.
Mọi thông tin về dịch vụ khám chữa bệnh tại Hệ thống Y tế MEDLATEC, người dân vui lòng gọi ngay tổng đài 1900 56 56 56 để được hỗ trợ 24/24h.
Bình luận ()
Lựa chọn dịch vụ
Quý khách hàng vui lòng lựa chọn dịch vụ y tế theo nhu cầu!