Tin tức
Cảnh báo hệ lụy từ món ăn "làm tí cho đỏ" ngày Tết của nhiều gia đình
- 07/08/2024 | MEDLATEC điều trị thành công ca bệnh hiếm gặp - Nhiễm khuẩn huyết do một loại vi khuẩn từ đấ...
- 12/09/2024 | Sốt, rét run, tiểu buốt, nữ bệnh nhân nhận kết quả viêm thận bể thận cấp do nhiễm khuẩn huyết
- 25/12/2024 | Chuyên gia nêu bật giá trị của xét nghiệm Procalcitonin trong chẩn đoán - điều trị nhiễm khu...
Mắc nhiễm khuẩn huyết nguy hiểm từ thói quen ăn tiết canh
Bệnh nhân N.V.B (60 tuổi, Hà Nội) nhập viện tại Bệnh viện Đa khoa MEDLATEC trong tình trạng sốt cao, mệt mỏi kéo dài. Trước đó khoảng 4 ngày, người bệnh xuất hiện đau đầu, chóng mặt, cảm giác mệt lả toàn thân và ho khan. Dù có biểu hiện sốt nhưng bệnh nhân không đo nhiệt độ, các triệu chứng không thuyên giảm nên được gia đình đưa đi khám.
Khai thác bệnh sử cho thấy, bệnh nhân có tiền sử tăng huyết áp đang điều trị ổn định. Đặc biệt, khi hỏi kỹ về yếu tố dịch tễ, các bác sĩ ghi nhận người bệnh có thói quen ăn tiết canh, một chi tiết quan trọng giúp định hướng nguyên nhân gây bệnh.
Trước nghi ngờ nhiễm khuẩn huyết, bệnh nhân được chỉ định thực hiện hàng loạt xét nghiệm chuyên sâu. Kết quả cấy máu dương tính với vi khuẩn Streptococcus suis - tác nhân gây bệnh liên cầu lợn nguy hiểm ở người.
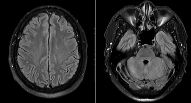
Mặc dù chưa có biểu hiện thần kinh rõ ràng, bệnh nhân vẫn được chọc dò dịch não tủy để loại trừ biến chứng. Kết quả cho thấy dịch não tủy có tăng tế bào và protein, phản ứng Pandy dương tính, xác định viêm não - màng não. Bên cạnh đó, hình ảnh MRI sọ não phát hiện ổ tổn thương nhỏ tại thùy chẩm trái.

Tổn thương phát hiện trên phim chụp MRI của bệnh nhân
Từ các dữ liệu lâm sàng và cận lâm sàng, bệnh nhân được chẩn đoán mắc nhiễm khuẩn huyết - viêm não màng não do Streptococcus suis.
Ngay khi nhập viện, bệnh nhân được điều trị kháng sinh đường tĩnh mạch và hiệu chỉnh khi có kết quả kháng sinh đồ, kết hợp theo dõi sát tình trạng toàn thân và thần kinh. Sau 24 giờ, bệnh nhân cắt sốt, thể trạng cải thiện rõ rệt. Sau 15 ngày điều trị tích cực, các xét nghiệm và hình ảnh học cho thấy tổn thương đã hồi phục hoàn toàn, bệnh nhân xuất viện trong tình trạng ổn định, không để lại di chứng thần kinh.
Những hệ lụy nghiêm trọng khi ăn tiết canh
Tiết canh là món ăn quen thuộc trong nhiều gia đình Việt, đặc biệt trong các dịp lễ, Tết, cưới hỏi. Tuy nhiên, đây lại là nguồn lây nhiễm nguy hiểm của nhiều vi khuẩn và ký sinh trùng, trong đó đáng lo ngại nhất là vi khuẩn liên cầu lợn.
BSCKI. Hồ Mạnh Linh - Trưởng Khoa Nội, Bệnh viện Đa khoa MEDLATEC cho biết, vi khuẩn này tồn tại trong máu, đường hô hấp và đường tiêu hóa của lợn, kể cả những con lợn trông khỏe mạnh. Khi con người ăn tiết canh, thịt lợn chưa được nấu chín kỹ, vi khuẩn có thể xâm nhập trực tiếp vào cơ thể qua đường tiêu hóa hoặc qua các vết trầy xước ở niêm mạc.

Chuyên gia cảnh báo những hệ lụy từ việc ăn tiết canh (Ảnh minh họa - Nguồn: Internet)
Nhiễm liên cầu lợn ở người có thể gây ra hàng loạt biến chứng nguy hiểm như:
- Nhiễm khuẩn huyết, gây sốc nhiễm trùng, suy đa cơ quan;
- Viêm não - màng não, để lại di chứng thần kinh trung ương;
- Tổn thương nhu mô não, rối loạn ý thức, hôn mê;
- Trường hợp nặng có thể tử vong nhanh chóng nếu điều trị muộn.
Điều đáng lo ngại là bệnh thường khởi phát âm thầm, với các triệu chứng không đặc hiệu như sốt, mệt mỏi, đau đầu, buồn nôn. Chính sự chủ quan và chậm trễ trong thăm khám khiến nhiều trường hợp nhập viện khi bệnh đã tiến triển nặng, gây khó khăn cho điều trị.
Bác sĩ khuyến cáo người dân nên từ bỏ quan niệm "làm tí cho đỏ" dịp đầu năm
Mỗi dịp đầu năm mới hay đầu tháng, nhiều người có thói quen, đặc biệt là cánh mày râu thường xuyên truyền tai nhau câu nói "làm tí cho đỏ" - tức ăn tiết canh lấy may, xua đi cái đen đủi, thiếu may mắn của năm cũ, tháng cũ...
Từ ca bệnh trên, bác sĩ Hồ Linh cảnh báo, ăn tiết canh tuyệt đối không an toàn, kể cả khi lợn được cho là khỏe mạnh hoặc có nguồn gốc rõ ràng. Ngoài nguy cơ nhiễm vi khuẩn liên cầu lợn gây nhiễm khuẩn huyết, viêm não - màng não, tiết canh còn có thể là nguồn lây nhiều loại giun sán và ký sinh trùng nguy hiểm như sán dây, giun xoắn, sán lá… Các tác nhân này có thể gây tổn thương gan, não, cơ tim, để lại hậu quả lâu dài, thậm chí đe dọa tính mạng. Đáng lưu ý, việc dùng rượu, chanh hay gia vị cay không có tác dụng tiêu diệt vi khuẩn hay ký sinh trùng trong tiết canh.
Đặc biệt trong dịp Tết - thời điểm các bữa ăn sum họp, liên hoan diễn ra thường xuyên - nguy cơ nhiễm bệnh từ thực phẩm sống, tái càng gia tăng. Để bảo vệ sức khỏe cho bản thân và gia đình, người dân cần:
- Tuyệt đối không ăn tiết canh, không sử dụng thịt lợn sống hoặc tái;
- Thực hiện nguyên tắc ăn chín, uống sôi, lựa chọn thực phẩm có nguồn gốc rõ ràng;
- Sử dụng găng tay, đồ bảo hộ khi giết mổ, chế biến thịt lợn;
- Đi khám ngay khi xuất hiện các triệu chứng như sốt cao, đau đầu, mệt mỏi kéo dài, đặc biệt nếu có tiền sử ăn tiết canh hoặc tiếp xúc với lợn.

Người dân nên tuân thủ nguyên tắc ăn chín uống sôi trong sinh hoạt, đặc biệt là dịp Tết (Ảnh minh họa - Nguồn: Internet)
Bác sĩ Linh cho biết thêm, phát hiện sớm và điều trị kịp thời là yếu tố then chốt giúp cứu sống người bệnh và hạn chế tối đa các biến chứng nguy hiểm.
Với đội ngũ chuyên gia, bác sĩ giàu kinh nghiệm, cùng hệ thống xét nghiệm, chẩn đoán hình ảnh hiện đại, MEDLATEC sẵn sàng đồng hành cùng người dân trong việc tầm soát, chẩn đoán và điều trị các bệnh nhiễm trùng, ký sinh trùng nguy hiểm, góp phần bảo vệ sức khỏe cộng đồng, đặc biệt trong những dịp cao điểm như Tết Nguyên đán.
Người dân có nhu cầu thăm khám, vui lòng liên hệ tới MEDLATEC qua Tổng đài 1900 56 56 56 để được hỗ trợ kịp thời.
Bình luận ()
Lựa chọn dịch vụ
Quý khách hàng vui lòng lựa chọn dịch vụ y tế theo nhu cầu!